
患者,男,63岁,因"脾气暴躁1年,举止反常伴记忆减退3个月余"入院。
患者于2020年初,因疫情防控居家隔离期间,逐渐出现脾气急躁,易激惹,越来越固执,不听劝说,稍不如意就对老伴发火,甚至有动手打人的冲动。近3个月以来常常记错事情,有时提醒可以纠正,但自己不承认记忆力减退;做事没有条理,以前很爱整洁,现在房间乱七八糟;下午经常一个人出门,熟悉的环境下不会迷路。夜间时常起来在房间里转悠,性欲明显增强。
患者入院前1个月在当地医院神经内科就诊,头部MRI平扫未见明显异常,遵医嘱口服盐酸美金刚10 mg 2次/d,奥氮平5 mg 2次/d,服药一月,仍有易激惹,性欲亢进,记忆减退有加重趋势。来我院后,我院立即详细询问病史及完善相关评估量表和影像学检查。患者的11C-PIB显像示:大脑皮层PIB浓聚程度增高,以左侧顶枕颞叶更明显,提示淀粉样斑块沉积。结合病史情况和PIB PET显像结果,根据2014年IWG-2非典型AD诊断标准[1],我院诊断考虑为额叶变异型阿尔茨海默病。
加用盐酸多奈哌齐5 mg 1次/d,奥氮平减量为2.5 mg 1次/n。1个月后美金刚减量至10 mg 1次/d,安理申加量至10 mg 1次/d,奥氮平停用。
3个月后症状基本维持稳定,情绪较平稳,固执较前减轻,容易相处,性欲亢进稍有好转,记忆减退改善不明显。
神经科
版权归中华医学会所有。本文为遵循CC-BY-NC-ND协议的开放获取文章。
阿尔茨海默病(Alzheimer’s disease,AD)是发生于老年和老年前期、以进行性认知功能障碍和行为损害为特征的中枢神经系统退行性病变。典型的AD早期以显著的情景记忆障碍为突出表现,精神行为异常往往出现在疾病中晚期。超过15%的患者早期并不表现为记忆障碍,而以非典型的临床特征起病,称为非典型AD[1],主要包括后皮质萎缩(PCA)、logopenic变异型原发性进行性失语(lvPPA)、额叶变异型AD(Fv-AD)和唐氏综合征4大类,其中以前3类为主[1]。现报道一例主要由精神行为异常起病而海马型遗忘较轻的Fv-AD。
患者,男,63岁,中专文化,退休工人。"脾气暴躁1年,举止反常伴记忆减退3月余"入院。患者于2020年初,因疫情防控居家隔离期间,逐渐出现脾气急躁,易激惹,越来越固执,不听劝说,稍不如意就对老伴发火,甚至有动手打人的冲动。近3个月以来常常记错事情,有时提醒可以纠正,但自己不承认记忆力减退;做事没有条理,以前很爱整洁,现在房间乱七八糟;下午经常一个人出门,熟悉的环境下不会迷路。夜间时常起来在房间里转悠,性欲明显增强,每晚都有性需求。1个月前在当地医院神经内科就诊,头部MRI平扫未见明显异常,遵医嘱口服盐酸美金刚10 mg 2次/d,奥氮平5 mg 2次/d。服药后,入睡困难较前改善,但夜间仍会醒来,在房间走动,仍然每晚都会去老伴房间,提出性要求。起病以来,精神、食欲正常,体重减轻,睡眠差,大小便正常。平素身体健康,高血压病史11年,长期口服降压药。无糖尿病、冠心病、肝炎、结核及肿瘤病史。否认痴呆家族史及其他遗传性疾病家族史。不吸烟;偶尔饮酒,每次不超过50 g白酒。
T 36.8℃,P 72次/min,R 15次/min,BP 130/80 mmHg(1 mmHg=0.133 kPa)。查体合作,内科系统查体无明显异常;神经系统查体:意识清楚,颅神经检查无异常,四肢肌力、肌张力正常,腱反射对称存在,病理征(-),感觉检查无异常,共济运动正常,姿势步态无异常,脑膜刺激征(-)。入院后血、尿常规、肝、肾功能、叶酸、VitB12、甲状腺功能、梅毒艾滋抗体等检验结果均未见异常。心电图:窦性心律,正常心电图。
简易智能精神状态检查量表(MMSE)27/30分,蒙特利尔认知评估量表(MoCA)21/30分,日常生活活动能力量表(ADL)34/80分,神经精神量表(NPI)27/144分,临床痴呆评定量表(CDR)1.0/3.0分,额叶行为评估量表(FBI)35/72分。
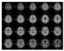
Flair序列显示:双侧脑结构对称,脑灰白质对比正常;双侧额顶叶及双侧侧脑室周围可见少许小斑片状稍长T2高FLAIR信号,相应部位未见明显弥散受限改变;SWI序列显示:脑内未见明显异常低信号影(图1)。


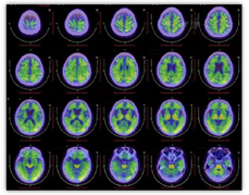
MRI示双侧额叶及颞叶脑沟加深,皮层变薄,以右侧更著。18F-FDG显像示:大脑皮层显像剂分布较普遍稀疏,以双侧额叶内侧皮质、前扣带回及颞叶为著(右侧更明显)(图2)。


淀粉样蛋白PET成像:11C-PIB显像示大脑皮层PIB浓聚程度增高,以左侧顶枕颞叶更明显,提示淀粉样斑块沉积(图3)。


诊治过程:患者入院前1个月在当地医院神经内科就诊,头部MRI平扫未见明显异常,遵医嘱口服盐酸美金刚10 mg 2次/d,奥氮平5 mg 2次/d,服药1个月,仍有易激惹,性欲亢进,记忆减退有加重趋势。来我院后,我院立即详细询问病史及完善相关评估量表和影像学检查。患者的11C-PIB显像示:大脑皮层PIB浓聚程度增高,以左侧顶枕颞叶更明显,提示淀粉样斑块沉积。结合病史情况和PIB PET显像结果,根据2014年IWG-2非典型AD诊断标准[2],我院诊断考虑为非典型AD——额叶变异型AD。遂加用盐酸多奈哌齐5 mg 1次/d,奥氮平减量为2.5 mg 1次/n。1个月后复诊,后家属诉患者激惹明显好转,态度温和许多,但性欲仍然很强,记忆损害无改善。美金刚减量至10 mg 1次/d,安理申加量至10 mg 1次/d,奥氮平停用。3个月后再次复诊,症状基本维持稳定,情绪较平稳,固执较前减轻,容易相处,性欲亢进稍有好转,记忆减退改善不明显。
典型AD的临床表型为早期显著情景记忆障碍,其中包括早期和进展性的记忆下降和海马型遗忘综合征的客观证据。非典型AD又分为后皮质萎缩(PCA)、logopenic变异型原发性进行性失语(lvPPA)、额叶变异型(Fv-AD)、唐氏综合征4类。其中Fv-AD与典型AD相比发病年龄较早,一般在65岁以前,有早期、突出及进展的行为改变,包括相关的淡漠或行为脱抑制,或认知测试发现突出的执行功能受损[2]。额颞叶变性是一类非阿尔茨海默病的痴呆综合征,在早发性痴呆中约占第2位,仅次于AD[3]。目前将FTD分为行为变异型FTD(bvTFD),进行性非流利性失语(PNFA)和语义性痴呆(SD)[4]。bvFTD是FTD最常见的亚型,人格、情感和行为改变出现早且突出,并贯穿于疾病的全过程,患者常常表现为固执、易激惹或者情感淡漠,之后逐渐出现行为异常、举止不当、刻板及脱抑制行为、对外界漠然、无同情心以及冲动行为。Fv-AD和bvFTD两者临床症状极为相似,较难区分。根据本病例的额叶行为评估量表(FBI)的结果35分也可看出,该患者有明显额叶行为异常的表现,类于bvFTD。
影像学能为两者鉴别提供一定帮助,但并不能成为鉴别两者的标准。有研究显示,在MRI影像学上FTD患者主要为非对称性的结构改变,FTD患者中额叶、前扣带回、眶窝、前岛叶和颞叶萎缩明显,AD患者颞叶中部包括海马及附近区域萎缩明显[5,6]。SPECT灌注成像和18F-FDG PET显像中FTD患者常见额叶和颞叶不对称性血流和代谢降低,AD患者常见顶叶、颞叶、额叶,尤其是双侧颞叶的海马区血流和代谢降低。以上的影像学检查能够为Fv-AD和bvFTD的临床鉴别提供一定的帮助,但其两者的影像学表现也常常有相互混淆的时候,比如有研究显示AD的18F-FDG PET显像也可以呈现非对称性颞叶血流和代谢降低[7]。
为鉴别两者,病理生理标志物应该被更加重视。2010年IWG诊断标准将那些可以直接提示脑的淀粉样沉积和tau蛋白病的指标划分为了"病理生理学性标志",包括淀粉样蛋白示踪剂扫描和CSF的Aβ1-42、T-tau及P-tau的浓度。2014年IWG-2诊断标准将这些反应AD病理生理标志物变化的结果规定为AD诊断的核心标准:①CSF中Aβ1-42水平下降及T-tau或P-tau水平上升;②淀粉样蛋白PET成像中示踪剂滞留增加;③存AD常染色体显性遗传突变(PSEN1、PSEN2或APP突变)[2]。且根据bvFTD的国际标准,"生物标记物强烈提示AD或者其他神经退行性病变"是bvFTD的排除标准之一。
文中分享的病例于外院就诊时诊断为"额颞叶痴呆",并给予了美金刚、奥氮平予以治疗,但服药1个月后症状并未减轻。来我院住院后,仔细询问病史并完成MMSE、MoCA、CDR、ADL、NPI、FBI等量表后发现,该患者仅为轻度痴呆,临床症状以精神和行为损害为主,其记忆损害较轻且经线索提示能够有所纠正,并不符合海马型遗忘的特点[8],不倾向诊断为典型AD。完善了MRI、18F-FDG PET显像、PIB PET显像等检查后,其中11C-PIB显像示:大脑皮层PIB浓聚程度增高,以左侧顶枕颞叶更明显,提示淀粉样斑块沉积。结合病史情况和PIB PET显像结果,根据2014年IWG-2诊断标准诊断为"额叶变异型AD",推翻了外院"额颞叶痴呆"的诊断。明确诊断后,加用了AChEI制剂多奈哌齐,将奥氮平减量,1个月后患者患者激惹明显好转,态度温和许多,但性欲仍然很强,记忆损害无改善;继续加量多奈哌齐,考虑美金刚对性欲亢进的影响,将美金刚减量,停用奥氮平,3个月后复诊,患者情绪较平稳,固执较前减轻,容易相处,性欲亢进稍有好转,记忆减退改善不明显。随诊情况也进一步证实了患者的诊断为Fv-AD,因为AChEI制剂对bvFTD患者无效,甚至有可能加重其症状。
从上面的报告中我们可以得到如下几点经验:1、并非所有AD均以早期及显著的情景记忆障碍起病,非典型AD早期的记忆损害可能并不明显。2、发病较早且以精神行为改变发病的痴呆,应警惕Fv-AD的可能,避免误诊。3、β淀粉样蛋白PET成像可以证实Aβ在脑内沉积,在AD早期精准诊断中具有重要价值。
所有作者均声明本研究不存在利益冲突





















