
患者,女性,55岁,1周前体检发现双乳肿块,不伴疼痛、红肿、乳头溢液等不适。
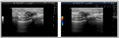
彩色多普勒超声检查示左乳数个结节融合,内可见强回声,周边腺体无扭曲,导管无扩张。超声提示实性结节伴钙化(BI-RADS 4a类)和实性结节。手术见左乳2点方向距乳头约4 cm处可及一最大径约1.5 cm质中肿块,边界不清。病理标本巨检灰白质硬结节样物。
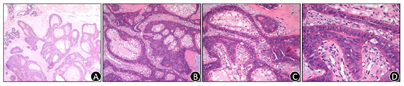
组织学低倍镜下显示瘤体被致密的纤维结缔组织分隔成结节状。高倍镜下部分区域可观察"极性翻转"的特征。免疫表型显示癌细胞弥漫表达细胞角蛋白CK5/6、Calretinin。P63显示癌组织周围肌上皮缺失。ER、PR及HER2阴性,提示为三阴性乳腺癌。分子遗传学检测结果提示第15号染色体IDH2(p.R172G)点突变。诊断为乳腺伴有极性翻转的高细胞癌。
乳腺象限切除术(左侧)+乳腺部分切除术(右侧)+皮下筋膜瓣术(双侧)。
随访7个月,未见复发和转移,预后良好。
病理科;两腺外科;肿瘤科
版权归中华医学会所有。本文为遵循CC-BY-NC-ND协议的开放获取文章。
乳腺伴有极性翻转的高细胞癌(Tall cell carcinoma with reversed polarity,TCCRP)是原发性乳腺肿瘤的一种特殊亚型。2003年由Eusebi等[1]首先报道,因其组织结构及细胞形态均与高细胞亚型甲状腺乳头状癌相似而将其命名为"类似高细胞变型甲状腺乳头状癌的乳腺肿瘤"。2012年Masood等[2]的研究显示,尽管该肿瘤在形态上与高细胞亚型的甲状腺乳头状癌非常相似,但是二者的免疫表型与遗传学改变却不尽相同,前者缺乏甲状腺乳头状癌中发生的BRAF基因突变或RET基因重排。另外,甲状腺乳头状癌的结构和细胞特征不只见于这一种亚型的乳腺癌,部分经典的乳腺乳头状癌中亦可见甲状腺乳头状癌的一些细胞核特征,尤其是核重叠及核沟[3]。因此Masood等[2]建议将该类特殊形态乳腺肿瘤命名中的"甲状腺癌"删掉,更名为"高细胞亚型的乳头状癌",以避免混淆及增加不必要的检查和治疗。2019年第5版WHO分类第一次纳入了此罕见肿瘤,经WHO分类编委会及专家组讨论,最后采用了"伴有极性翻转的高细胞癌"这个名称。
本文报道一例TCCRP,和导管内乳头状瘤混合存在移行,推测TCCRP来自于导管内乳头状瘤恶变。TCCRP罕见,属于三阴性乳腺癌,但其预后良好。
患者为55岁女性,1周前体检发现双乳肿块,不伴疼痛、红肿、乳头溢液等不适,于我院就诊。完善乳腺B超及乳腺钼靶检查后,于2021年3月8日入住我院两腺外科进行治疗。2020年5月痔疮手术,无其他特殊病史、手术史及冶游史,无遗传性及传染性疾病病史。
2021年3月2日彩色多普勒超声检查示:左乳2~3点钟方向距乳头约35 mm处一个大小约18.5 mm×8.7mm,边缘不光整,不规则形,平行位,由数个结节融合而成,内可见强回声,周边腺体无扭曲,导管无扩张(图1)。超声提示:左乳2~3点钟方向实性结节伴钙化(BI-RADS 4a类),右乳11点钟方向实性结节,不排除来源于导管内(BI-RADS 4a类),余双乳实性结节(BI-RADS 3类)。


手术所见:左乳2点方向距乳头约4 cm处可及一最大径约1.5 cm质中肿块,边界不清。
病理标本巨检:乳腺组织11.5 cm×7.5 cm×4.5 cm,上附梭形皮肤6 cm×1.2 cm,切面见一1.3 cm×1 cm×0.7 cm灰白质硬结节样物。
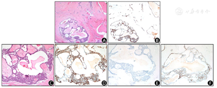
左侧乳腺肿块最大径约1.3 cm,镜下上皮增生呈乳头状、滤泡状、条索状结构,位于玻璃样变的间质内,部分区域可见上皮包绕间质。免疫组化P63染色提示大部分区域肌上皮缺失,CK5/6示增生上皮均一阳性,ER阴性,Calretinin阳性表达[4],支持诊断TCCRP(图2,图3)。另有局部区域P63染色提示肌上皮细胞存在,CK5/6示上皮镶嵌状表达,ER的表达具有异质性,证实为导管内乳头状瘤成分(图4)。其中,导管内乳头状瘤成分位于肿瘤的中央,TCCRP成分位于导管内乳头状瘤的周围,两者之间存在移行过渡。






分子遗传学检测:检测位点IDH1(NM-005896.3)基因4号外显子R132、IDH2(NM-1290114.1)基因4号外显子R172。检测结论:IDH2基因第4号外显子发生c.514A>G(p.R172G)错义突变(图5);IDH1基因R132位点未发生突变。


病理诊断:(左侧)乳腺导管内乳头状瘤伴导管上皮普通型增生及局部早期癌变—伴有极性翻转的高细胞癌。未检出脉管或神经侵犯;
患者另有右侧乳腺肿块,诊断(右侧)乳腺纤维腺瘤合并纤维囊性增生症。
鉴别诊断:其他乳腺乳头状病变:包括导管内乳头状瘤伴普通型增生、包裹性乳头状癌、实性乳头状癌和浸润性微乳头状癌等。包裹性乳头状癌、实性乳头状癌、导管内乳头状癌和浸润性乳头状癌等都可能会出现甲状腺乳头状癌样的细胞学特征:含有胶样物质的滤泡结构、核拥挤、核沟、核内包涵体等[5]。但是在这些肿瘤中未检出细胞核的极性翻转。TCCRP癌组织表达CK5/6,Ki67增殖指数低,细胞形态温和,大部分为1级核,极易误诊为导管内乳头状瘤。结合该病独特的组织学形态、免疫组织化学表型和分子遗传学特征进行鉴别。
(2)转移性甲状腺癌:尽管二者形态学上有一定程度的相似性,但是通过临床资料,借助于免疫组织化学或分子生物学检测,即能做出鉴别诊断。
诊断依据:(1)瘤组织被致密的纤维结缔组织分隔成巢,以纤维脉管为轴心和被覆增生的肿瘤细胞组成乳头状、滤泡状结构,腔内含有无定型嗜伊红胶样物质,类似甲状腺滤泡胶质。局灶可见肿瘤细胞核远离乳头的基底侧,靠近胞质顶端,呈现"核极性倒置"的特征性改变。免疫组织化学染色显示部分区肌上皮存在,部分区肌上皮缺失,并呈三阴性表型。CK5/6及Calretinin弥漫表达。(2)该病例存在特征性的IDH2基因热点突变,是TCCRP特异性的分子生物学特征。
2021年3月12日行手术治疗:乳腺象限切除术(左侧)+乳腺部分切除术(右侧)+皮下筋膜瓣术(双侧)。
2021年3月16日出院,定期复查,不适随诊。
2021年9月13日复查B超:左乳2点钟方向距乳头约32mm处手术切口上方一低回声结节大小约6.5×3.4 mm,椭圆形,平行位,边缘光整。CDFI:结节内未见明显血流信号。诊断:乳腺实性结节(BI-RADS 3类),结节位于手术切口旁,考虑为术后改变。
目前随访7个月,未见复发和转移,预后良好。
2017年Foschini等[6]报道了13例类似于甲状腺高细胞亚型乳头状肿瘤的乳腺浸润性实性乳头状癌(breast tumor resembling the tall cell variant of papillary thyroid carcinoma,BTRPTC)。所有患者均为女性,平均年龄63岁。肿瘤最大径0.6-2.5cm。组织学上所有病例以乳头状、滤泡状或实性结构为特征。ER、PR和HER-2一致性阴性。Ki67增殖指数低,甲状腺起源相关免疫组化染色标记物TTF-1和Tg均为阴性。5例Mammoglobin和GATA3阳性。所有病例都具有侵袭性,其中2例分别表现为腋窝和乳腺内1枚淋巴结转移,后1例还出现局部复发。然而所有患者术后均存活,无病生存24~132个月,其中8例没有接受进一步治疗。以上表明BTRPTC是一种原发乳腺的惰性的浸润性癌。目前建议采取相对保守的治疗策略。
讨论问题:(1)TCCRP一定是三阴性吗?文献报道[6]大部分病例为三阴性,但也可有ER/PR的局灶阳性。(2)是否所有TCCRP均有IDH2基因突变?文献报道,并非所有TCCRP均具有IDH2基因突变,有突变和无突变者的形态和免疫表型的差异尚缺乏报道。可能有其他基因异常(如PRUNE2基因突变)与该病变相关[7,8,9]。(3)在乳腺肿瘤中,IDH2基因突变是TCCRP所特有吗?文献报道,6例浸润性微乳头状癌、6例包裹性乳头状癌、6例导管内乳头状瘤伴普通型增生、6例实性乳头状癌中均未见IDH2基因突变[4]。因此,在乳腺癌中,目前IDH2基因突变是TCCRP的独特特征。
所有作者均声明本研究不存在利益冲突





















