
患者,男性,75岁,因"吞咽困难伴行走不稳20天"入院。曾有3次脑卒中病史。
神清,言语基本清晰,改良洼田饮水试验Ⅴ级。双侧偏瘫,坐、立位平衡差,MMSE 22分,Barthel指数30分。
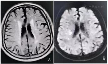
颅脑MRI示双侧侧脑室旁、右侧基底节区及脑干多发梗死灶。
给予吞咽训练、认知训练、物理治疗、心理干预等综合康复治疗。
经过3周治疗,患者可经口安全进食,能在家里安全步行,日常生活能力较治疗前提高。
康复科;神经科
版权归中华医学会所有。本文为遵循CC-BY-NC-ND协议的开放获取文章。
脑卒中(Stroke)为脑血管疾病的主要临床类型,以突然发病、迅速出现局限性或弥散性脑功能缺损为共同临床特征。中国每年新发卒中患者约200万人,其中70%~80%的卒中患者因为残疾不能独立生活[1]。脑卒中后有效的康复治疗能够减轻患者功能上的残疾[2]。该病例发生多次脑卒中,临床表现出吞咽障碍、平衡障碍、双侧偏瘫、认知减退等多种功能障碍,康复治疗策略有别于单次脑卒中,为临床上类似患者的治疗提供一些借鉴经验。
患者,男性,75岁,主因"吞咽困难伴行走不稳20天"收入院。患者于2021年7月18日晨练时突发饮水呛咳、行走不稳,伴口角歪斜、流涎。送院后,完善颅脑核磁检查,诊断:急性脑梗死。给予鼻饲,抗血小板聚集、稳定斑块等治疗。因遗留吞咽困难、平衡差,为进一步康复收住我科。入院见:患者留置胃管,站立不稳、易摔倒、轮椅代步。既往分别于10年、2年、3月前因"脑梗死"住院治疗,遗留右下肢力弱,生活能够自理,高血压病史20年,规律服药。
入院体格检查:神清,言语基本清晰。咽反射减弱,咳嗽反射减弱。左上肢肌力5-级、下肢4级,右上肢肌力5级、下肢5-级(遗留),双侧Babinski’s征阳性,右利手。
康复评定:①吞咽功能:改良洼田饮水试验Ⅴ级,口腔前期唇力度降低、闭合不充分、流涎,口腔期舌体上抬力弱、食团向后推送缓慢。吞咽造影检查显示:进食2号食物2ml口唇闭锁不全、食物外漏、口腔及两颊有残留,4ml食物咀嚼缓慢、形成食团困难、舌推送食团能力减弱、咽启动延迟、误吸后出现咳嗽,环咽肌失迟缓;进食1号食物2ml呛咳明显,有误吸风险;3、4号食物未能完成检查。②认知功能:患者文化程度中学,MMSE 22分,MOCA 20分,主要失分项为视空间与执行功能、记忆、注意。③运动功能:Brunnstrom运动分期:左上肢Ⅴ期、手Ⅴ期、下肢Ⅳ期,右上肢Ⅵ期、手Ⅵ期、下肢Ⅴ期(遗留)。Fugl-Meyer平衡评定2分,Berg平衡评定10分。Holden步行能力I级。④日常活动、参与能力:Barthel指数30分(大、小便20分,活动5分、穿衣5分、进食、修饰、用厕、转移、上楼梯、洗澡0分)。社会参与评估表10分。⑤心理评估:汉密尔顿焦虑量表18分、抑郁量表17分。
颅脑MRI+DWI结果,见图1。


临床诊断:①脑梗死恢复期(右侧大脑中动脉供血区动脉粥样硬化性);②脑梗死后遗症(脑干及双侧侧脑室旁);③高血压病3级(很高危)。
康复诊断:①吞咽障碍、认知功能障碍;②平衡障碍、运动功能障碍(双侧偏瘫)、步行障碍;③ADL重度功能缺陷;④社会参与能力丧失。
①康复存在的主要问题。A.吞咽障碍(口腔准备期、口腔期、咽期)。B.平衡功能障碍。C.认知障碍。D.情绪问题(焦虑、交流态度消极)。E.ADL重度功能缺陷。F.社会参与能力丧失。
②康复目标。A.短期目标:2周内改善唇、下颌、舌运动,调整进食体位姿势,可进食3号食物;注意力改善;立位平衡达到2级,语言指导下步行。3周能安全经口进食2号、3号、4号食物,顺利拔除胃管;独自坐-站转移,独立平行杠内步行;鼓励患者重拾信心;Barthel指数>70分。B.长期目标:3个月内患者能够进食1号食物;Holden步行能力4级;回归家庭,情绪改善。
③干预类型。康复治疗(吞咽治疗、认知治疗、物理治疗、心理干预),药物治疗,健康宣教。
④干预方案。A.吞咽治疗:第一周重点训练口腔感觉(2次/d、每次20min),旨在改善口腔器官的各种感觉功能。使用冰棉棒冷刺激训练;酒精进行嗅觉刺激;用改良的振动棒刷擦口腔内颊部、舌部和面部行振动刺激训练;采用小勺行K点刺激;吞咽电刺激治疗(1次/d)。抬头训练纠正吞咽姿势。同时采用经口间歇鼻饲法,经由口腔将胃管置入以注射流质食物,输注完毕后立即拔除。由吞咽治疗师操作,每4h注射食物1次,每次量约250~300ml,置管时嘱患者配合进行吞咽练习。不仅可以补足营养物质,还可以实现治疗吞咽障碍的目的[3]。第二周以口腔运动训练引导及摄食训练为主,增加吞咽安全性。唇部抗阻练习,舌肌康复器牵拉舌,Masako训练,食物咀嚼对比练习,以加强唇、舌、上下颌的力量及协调性,提高咀嚼功能。治疗2周中期评定:患者进食2、3号食物无呛咳。减少经口间歇鼻饲次数。B.认知治疗(5次/周):采取二分线段,划消实验等跨越中线运动训练注意力;认知功能训练结合作业治疗,练习"串珠"、"开锁"、"手指操"等;记忆力训练。C.物理治疗(1次/日、每次45分钟、5次/周),重点训练躯干的平衡控制、重心转移,提高核心肌群控制能力;鼓励患者平行杆内行走,克服恐惧心理;结合日常生活活动进行上肢及手的实用功能的强化训练。D.心理干预:了解患者病前性格、职业、爱好、人际关系等,每周进行1次心理疏导。E.健康宣教:对病人及家属进行饮食指导及安全教育。
经过3周康复治疗,出院前末期评定:改良洼田饮水试验I级,顺利拔除胃管,可经口安全进食2、3、4号食物;MMSE 26分(计算增1分、记忆增3分),MOCA 23分(记忆增2分、执行功能增1分);能在家里安全步行;Barthel指数75分,能够大部分独立完成进食(自己进食、服药,但不能准备食物),转移(床-椅、坐-站转移),步行(能在家里安全步行),修饰等日常生活活动。回归家庭,情绪好。具体结果见表1。

患者治疗初期、中期及末期评估
患者治疗初期、中期及末期评估
| 时间 | 改良洼田饮水试验 | 认知功能 | 平衡功能 | Holden步行能力 | 改良Barthel指数 | ||
|---|---|---|---|---|---|---|---|
| MMSE | MOCA | Berg平衡评定 | Fugl-Meyer平衡功能评定 | ||||
| 初期评定 | V级 | 22分 | 20分 | 10分 | 2分 | I级 | 30分 |
| 中期评定 | Ⅲ级 | 23分 | 21分 | 24分 | 9分 | Ⅲ级 | 50分 |
| 末期评定 | I级 | 26分 | 23分 | 43分 | 14分 | Ⅳ级 | 75分 |
约2/3脑卒中幸存者遗留不同程度的残疾,其中脑梗死的致残率达50%以上,存活者中40%以上复发[4],再次发病临床症状比第一次重[5]。该例患者先后4次脑卒中,病灶累及双侧大脑半球,考虑双侧皮质脊髓束损伤导致双侧肢体运动功能障碍。运动功能评估提示单侧肢体肌力较好,但躯干平衡差,坐位、立位保持困难,影响患者运动功能和日常生活能力恢复,增加跌倒风险[6]。原因考虑为躯干肌群力量减弱,在物理康复治疗,需强调四肢运动时近端动态稳定的重要性[7]。
本次发病后患者鼻饲饮食,情绪低落,拔除胃管、正常进食是该患者及家属的主要诉求。脑卒中患者中有71%的患者存在吞咽障碍[8]。其中53%发生在口腔期[9]。通过病情分析及吞咽功能评定,该例患者多次脑卒中后双侧皮质脑干束损伤,吞咽障碍考虑为假性球麻痹所致。假性球麻痹吞咽障碍的特点,是与吞咽有关肌肉功能低下,协调性差,用口唇进食差,口唇闭锁不全,流涎现象明显,咀嚼能力低下,食物不能送入舌根部,往往存在吞咽失用,尽管残存有吞咽反射,但吞咽反射诱发困难[8],大多预后相对好[10]。该患者吞咽障碍表现符合假性球麻痹特点,主要在口腔准备期及口腔期,存在口失用情况,临床上吞咽困难表现重,需依赖胃管进食,吞咽康复治疗重点在于多种口腔感觉训练和口腔运动训练技术综合治疗,重点改善吞咽参与器官的感觉及运动功能,康复效果较好。治疗中采用经口间歇鼻饲法,模拟正常人的吞咽生理活动,更有利于改善脑卒中后患者的吞咽功能,安全性更高,具有重要的推广使用价值。
有研究认为对于脑卒中口腔期吞咽障碍的患者,采用目的导向性针刺策略,通过头针联合项针、舌部及面部取穴,并尽可能结合电针治疗的综合方案,可以较好地改善功能[11],在以后的临床治疗中可以尝试。
认知行为干预对卒中后患者早期肢体康复有明显的促进作用,能较好地提高患者的肢体活动功能和日常生活活动能力[12]。为该患者进行每日20min、每周5次的认知干预,可以促进吞咽功能、肢体运动功能、平衡功能的康复,有助于提高患者日常生活能力。
此外,做好心理护理是训练成功的基础和保证[13]。患者发生4次脑卒中,症状叠加,汉密尔顿焦虑、抑郁量表评分处于临界,仍须有效的心理疏导,利于疾病的康复。
所有作者均声明本研究不存在利益冲突





















