
青年男性,急性起病,有长期饮酒史,因"腹痛3天"急诊来院,为大量饮酒后起病。当地医院查"CT胰头部边缘模糊、淀粉酶450 U/L",考虑"急性胰腺炎",予禁食、补液、抑酶制酸等治疗无好转,转我院消化内科。
持续腹部剧痛,伴后背放射痛,体温38.3 ℃,脉搏103次/min,血压108/76 mmHg(1 mmHg=0.133 kPa),呼吸25次/min,腹壁紧张,中上腹压痛,无反跳痛,肠鸣音4~6次/min。
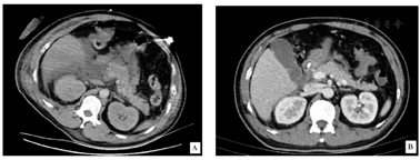
血、尿淀粉酶,血常规、生化、血气等化验检查,腹部增强CT示胰腺肿胀、胰周多发渗出、腹腔多发积液,氧合指数PaO2/FiO2<200,诊断"重症急性胰腺炎"。
入院第2天出现呼吸费力转入ICU,予集束化滴定反馈治疗,先后予无创、有创呼吸支持,连续性肾脏替代治疗,镇静镇痛,抗感染,抑酸,抑酶,补液,监测腹围与腹内压等。
呼吸、腹内压好转,3周后转回消化内科,开放饮食无不适,康复出院。
重症医学科;消化内科;肝胆外科
版权归中华医学会所有。本文为遵循CC-BY-NC-ND协议的开放获取文章。
重症急性胰腺炎(severe acute pancreatitis,SAP)又称急性重症胰腺炎,指急性胰腺炎伴有持续(>48 h)的器官功能障碍,患者常合并急性呼吸窘迫综合征(acute respiratory distress syndrome,ARDS)、急性肾功能不全等并发症,死亡率高,住院时间长,治疗费用高。本文报道1例内科保守治疗成功救治重症急性胰腺炎患者,旨在提高保守治疗在本病中的应用认识,减少手术和非感染原因的导管引流等有创操作。
患者,男,36岁,主诉"腹痛3天"于2021年4月4日来院急诊。3天前大量饮酒后出现腹痛,呈持续性,较剧,逐渐加重,伴后背部放射痛,无明显皮肤巩膜黄染,无血便、黑便等伴随症状。至当地医院查"腹部CT:胰头部边缘模糊,右肾前筋膜增厚;C-反应蛋白23.21 mg/L、淀粉酶450 U/L",诊断为"急性胰腺炎",予禁食、补液、抑酶、抑酸、止痛等治疗,患者腹痛症状持续加重伴腹胀,复查"腹部CT:急性胰腺炎伴十二指肠降段水平段肠壁水肿增厚,两肾前肾筋膜增厚,右侧结肠旁沟、腹腔、盆腔积液,淀粉酶1180 U/L",救护车转至我院急诊。患者既往高血压病史3年余,规律服药,自诉血压控制可;长期饮酒史;3年前外院行"体外碎石术",否认其他手术史。
体格检查:体温38.3 ℃,脉搏103次/min,血压108/76 mmHg,呼吸25次/min。神志清,皮肤巩膜无黄染。两肺呼吸音清,未闻及啰音。心律齐,各瓣膜区未闻及杂音。腹膨隆,腹壁静脉无曲张,未见胃肠型和蠕动波。腹壁紧张,中上腹压痛,无反跳痛,未触及肿块,肝脾肋下未触及,胆囊未触及,Murphy征阴性。肝浊音界在正常范围,肝区、肾区无叩击痛,移动性浊音(-)。肠鸣音4~6次/分。双下肢无浮肿。神经系统无异常。
患者入消化内科住院,予吸氧、禁食、补液、抑酶、抑酸、止痛、头孢哌酮舒巴坦2 g静滴q8h抗感染治疗。2021年4月5日患者出现呼吸费力,呼吸频率40~50次/分,鼻导管3 L/min吸氧下氧饱和度波动在93%~94%,后改5 L/min吸氧下氧饱和度波动在95%~96%,急诊血气:氧分压69.4 mmHg,二氧化碳分压36.8 mmHg,乳酸(全血)3.2 mmol/L。故转ICU进一步治疗,予无创呼吸机辅助通气(呼吸模式:BiPAP+PSV+PEEP,呼吸频率:12次/分,FiO2:40%,PEEP:4 cm H2O),继续头孢哌酮舒巴坦针2 g q8h抗感染,加用白蛋白针补充胶体,布托啡诺针止痛。4月7日晚,患者呼吸费力,急促,大汗淋漓,全身湿冷,无创呼吸机支持下血氧饱和度无法维持,考虑腹压增大膈肌上抬,合并ARDS,予紧急气管插管。
腹部增强CT示胰腺肿胀,增强扫描实质未见明显异常强化,胰腺周围、右侧结肠沟多发渗出,积液影,腹盆腔积液,两肾肾周少许渗出,十二指肠壁肿胀。诊断为"重症急性胰腺炎"。
肝胆胰外科及消化内科会诊均建议腹腔穿刺引流。重症医学科考虑患者持续高热,炎症指标高,穿刺可能引起继发感染,未予腹腔穿刺,抗生素升阶梯,改为亚胺培南西司他丁针抗感染,每日监测腹围、腹内压。因患者容量过负荷,多器官功能不全,于4月10—21日行床旁连续性肾脏替代治疗(continuous renal replacement therapy,CRRT),辅以清胰汤灌肠,患者腹围腹压较前明显好转。4月22日成功拔除气管导管,雾化面罩5 L/min给氧下呼吸平稳。病程中患者体温仍有波动,血象高,2日后改为美罗培南针抗感染。
经治疗患者生命体征平稳,于4月28日转回普通病房,并于次日行内镜下鼻腔肠管置入,予以肠内营养,并逐渐开放饮食。进食半流后无腹痛,无发热,复查血象及炎症指标、淀粉酶好转,予以出院。


急性胰腺炎发病率近年呈上升趋势[1]。在我国,胆源性胰腺炎仍是急性胰腺炎的主要病因,其次为高甘油三酯血症及过度饮酒,后两者以青年男性居多,而胆源性胰腺炎多见于老年患者[2]。
本例患者为大量饮酒诱发急性胰腺炎,继而出现腹腔多发渗出及积液、呼吸衰竭,C-反应蛋白最高355.6 mg/L,降钙素原2.81 ng/ml,入ICU第一个24 h APACHE Ⅱ评分8分,Ranson评分4分,进展为重症急性胰腺炎,"外科干预还是保守,是否冲洗引流,引流后感染风险是否增加"是需要重点考虑的问题。
近年来急性胰腺炎在诊治理念、方式、策略等方面取得了长足进步,非胆源性胰腺炎保守治疗效果好,尤其高脂血症引起的胰腺炎,早期血浆置换可明显缩短病程[3]。一项多中心、随机、对照试验对感染性坏死性胰腺炎立即干预与延迟干预进行了比较,共计104例患者被随机分为接受立即引流组(55例患者)与延迟引流组(49例患者),在延迟引流组中,19例患者接受抗生素保守治疗,无需引流,结果发现立即导管引流并未优于延迟引流,且导致患者接受了较多干预[4]。
本例患者肝胆胰外科和消化内科均建议穿刺引流,重症医学科鉴于穿刺引流增加继发感染风险而选择继续保守治疗。急性胰腺炎属于化学性炎症,本例在治疗初期因大量液体复苏以及疾病本身进展,腹压迅速升高、腹围增大,腹痛剧烈影响呼吸,但此类问题在ICU内可通过镇静镇痛和呼吸机、CRRT超滤并清除炎症因子等治疗得以解决,早期治疗需抢时间,此段治疗重点在于维持好患者生命体征,防止病情进一步进展,防治并发症。
SAP患者可合并腹腔间隔室综合征(ACS),当腹内压>20 mmHg时,常伴有新发器官功能障碍,是急性胰腺炎患者死亡的重要原因之一[5],不建议在急性胰腺炎早期将ACS作为开腹手术的指征[6],本例患者腹内压最高23.5 mmHg,体温炎症指标高,采取镇静镇痛、胃肠减压、灌肠、CRRT超滤减轻液体负荷、抗生素升阶梯等措施,有效控制腹内压,未继续升高并缓慢下降。
急性胰腺炎所致的死亡主要由前两周的全身炎症反应综合征和器官功能衰竭导致,而两周后通常是因全身感染及其并发症导致。如何熬过前两周很重要,生命支持好,炎症一般可自然转归,本例患者完全保守治疗下两周时间炎性指标及腹压下降,撤除呼吸机,病情好转,转科后最终康复出院。
腹部外科学泰斗钱礼教授曾写道:"笔者已届耄耋之年,虽然不敢说是否能看到急性胰腺炎归入内科范围,但坚信这一天必会到来,哪一科能很好地掌握EST去石技术和ICU监护治疗,急性胰腺炎患者自会归入该科。"[7]
一旦发现SAP患者,应尽早转重症监护室,运用集束化滴定反馈危重症复苏体系,早期大量快速补液,严密监测腹围、腹压,适当镇静镇痛,必要时予生命支持如机械通气、CRRT,量出为入。
所有作者均声明本研究不存在利益冲突





















