
患儿,男性,6岁1月龄学龄前儿童,在幼儿期即出现全面发育迟缓、身材矮小、骨骼畸形及泡沫尿。多次于当地医院诊断为"佝偻病",口服钙剂及维生素D制剂治疗,骨骼畸形无改善,泡沫尿未予重视。
患儿乏力,不能独站,说单音节,视力和听力正常。体格检查示非匀称性身材矮小,存在方颅、肋骨外翻、手足镯征及双膝内翻等佝偻病体征,四肢肌力Ⅳ-级,肌张力低下。
患儿智力及运动发育落后,有范可尼综合征表现,基因分析发现OCRL基因c.2568dupT(p.A857Cfs*10)新发半合变异,诊断为Lowe综合征。
对症及支持治疗,予纠正酸中毒、补充磷剂及骨化三醇等。
2年后随访运动能力明显改善,能慢跑,身高增长9 cm/年,无视力障碍,可简单语言交流,学习成绩差。
儿科;遗传代谢科;内分泌科;神经内科;康复科;肾内科;眼科;骨科
版权归中华医学会所有。本文为遵循CC-BY-NC-ND协议的开放获取文章。
Lowe综合征又称为眼脑肾综合征(oculocerebrorenal syndrome),由Lowe[1]于1952年首次提出,主要临床表现为先天性白内障、智力发育落后及肾小管功能障碍,是罕见的X连锁隐性遗传病。本病常于新生儿或婴儿期发病,以眼部症状为首诊的主诉,但眼、脑、肾病变也可分别出现在不同年龄,导致诊断困难。本报道通过总结不合并眼部病变的Lowe综合征患儿的临床表现特点,以期提高对Lowe综合征的认识,有助于减少误诊和漏诊。
患儿,男性,6岁1个月,因"全面发育迟缓伴骨骼畸形5年余"入院。患儿9月龄抬头,12月龄独坐,24月龄扶站,30月龄扶走,曾因骨骼畸形外院多次就诊诊断为"佝偻病",予口服钙剂及维生素D制剂治疗,骨骼畸形及运动能力无改善。4年前发现患儿有泡沫尿,无伴肉眼血尿、夜尿增多、浮肿等表现,外院查尿蛋白阳性,未予重视。6岁1个月就诊时能独坐,不能独站,会喊"爸、妈",只能发单音,能执行简单指令,视力和听力正常。患儿系其母第1胎第1产,足月顺产,出身体重3.4 kg,出生身长不详,生后无窒息抢救史,无抽搐病史。否认父母近亲结婚及家族遗传病史。妹妹4岁,弟弟1岁,均发育正常,健康。
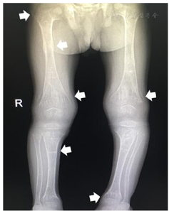
入院体格检查:身高85.5 cm(<-3SD),体重11.75 kg(<-3SD),神志清,乏力,非匀称型身材矮小,皮下脂肪菲薄。方颅,前额宽大突出。双眼轻微内斜视,视力正常,眼球运动正常。双侧耳位偏低,耳廓正常。牙列不齐,伴龋齿,脸颊饱满。肋骨外翻,7~10肋可见肋骨串珠,心肺查体未见明显异常,腹部膨隆。四肢短小,可见手镯征、脚镯征,双膝内翻,膝间距8 cm,四肢肌力Ⅳ级,肌张力减低(图1)。


实验室检查:血气分析pH 7.328,BE 7.8 mmol/L,HCO3 17.2 mmol/L,AG 23.2 mmol/L,提示存在代偿性代谢性酸中毒。血钾血钠血钙水平大致正常,血磷0.8 mmol/L低于正常参考值范围。碱性磷酸酶1 352 U/L,骨碱性磷酸酶>300 U/L均明显升高。25羟维生素D测定24.8 nmol/L,血常规、肝功能、甲状腺功能、甲状旁腺功能、肾上腺皮质功能、血串联质谱检查、尿有机酸分析、尿黏多糖电泳分析结果均未见异常。尿液分析:pH 8.0,尿蛋白1(++)g/L,尿葡萄糖1.7(±)mmol/L,尿β2微球蛋白150 mg/L,尿Ca/Cr 0.57,计算尿磷排泄分数为20.4%(低磷血症患者的磷排泄分数>15%,考虑低磷由肾磷消耗所致)。
影像学检查:X线片可见四肢长骨骨质稀疏,干骺端边缘模糊不规则,呈杯口样变形,先期钙化带呈毛刷状改变,符合佝偻病(活动期)改变(图2)。头颅MRI示双侧侧脑室前角及后角旁白质异常信号,双侧侧脑室前角旁分别一囊状信号影,边界清,左右侧大小约8.2 mm×3.5 mm、8.7 mm×6.5 mm。


结合患儿有精神运动发育迟缓、骨骼畸形和肾脏病变等多系统病变表现,考虑其可能存在相关综合征。在经家属同意后,采集患儿及其父母外周血各2 ml,送本院遗传与内分泌科行全外显子组测序,检出患儿OCRL基因(NM_000276)c.2568dupT(p.A857Cfs*10)半合变异,该变异在父母中未检出,暂无该变异人群携带频率和致病性的相关文献报道,该变异导致基因编码区序列发生移码,提前出现终止密码子,可能影响蛋白结构和功能,利用MutationTaster软件进行蛋白功能预测,结果为有害。根据患者临床表现和疾病遗传模式解读变异结果,依据美国医学遗传学与基因组学会(ACMG)基因变异解读标准,该变异判定为致病性变异。
患儿查体及影像学检查提示骨骼存在佝偻病改变,25羟维生素D降低及骨碱性磷酸酶升高,应注意鉴别常见的营养性佝偻病(维生素D或钙缺乏),以及维生素D代谢和作用缺陷疾病。但患儿血钙及甲状旁腺激素水平正常,长期口服钙剂及维生素D制剂骨骼畸形无改善,不支持诊断低钙性佝偻病。
患儿体征及X线片提示骨骼佝偻病改变,骨碱性磷酸酶升高、血磷降低、血钙及甲状旁腺激素正常,考虑诊断低磷性佝偻病。(1)磷摄入不足及磷吸收障碍:计算尿磷排泄分数升高,可以排除由于磷摄入不足及磷吸收障碍导致患儿出现低磷血症。(2)FGF23升高相关的低磷性佝偻病:检测该患者FGF23水平,结果为0 ng/L,排除FGF23升高相关的遗传性和获得性低磷佝偻病,如X连锁低磷佝偻病、常染色体显性遗传低磷佝偻病、常染色体隐性遗传低磷佝偻病等。(3)遗传性高尿钙低磷性佝偻病:患儿有蛋白尿且基因结果不支持。(4)范可尼综合征:患儿有低磷血症、尿排磷增多及尿钙增高,有蛋白尿、肾性糖尿、肾小管酸中毒的反常性碱性尿表现,支持诊断范可尼综合征,由肾小管功能障碍导致低磷性佝偻病。
患儿骨骼畸形,有多器官受累,需警惕如黏多糖贮积病、过氧化物酶体病的可能,但患儿肌酶不高,肝脏及心脏彩超未见贮积病表现,尿黏多糖定性阴性,家系全外显子检查未见相关基因变异。
患儿有神经系统发育异常,肾小管功能障碍的实验室检查证据,全外显子测序检出OCRL基因半合变异,虽无眼部病变,但该病具有临床表现多样性的特点,考虑诊断Lowe综合征。
该病目前以对症及支持治疗为主。维持酸碱平衡:口服10%枸橼酸钠口服液10 ml/次,3次/d;碳酸氢钠片0.5 g/次,3次/d。缓解佝偻病表现:口服中性磷酸盐口服液12 ml/次,1次/4 h;骨化三醇0.25 ug/次,2次/d。
治疗2年后随访:身高增长18 cm,体重增长6 kg,骨骼畸形好转,运动能力显著改善,独走稳,可慢跑,无视力障碍,可简单语言交流,入读普通小学,学习成绩差。体检肋骨串珠、手足镯征明显减轻,复查X线示骨密度较前增加,双侧长骨干骺端增宽,无毛刷样改变,呈佝偻病恢复期改变。
Lowe综合征以眼、神经系统及肾脏受累为特征的罕见多系统疾病,在胎儿期、婴儿期及儿童期均可出现症状,发病率约为1/500 000[1,2]。该病的致病基因OCRL定位于Xq25-26,长约58 kb,含24个外显子,编码包含105 kb的高尔基复合物蛋白,该蛋白具有磷酸酰肌醇(4、5)二磷酸-5-磷酸酶活性,可以催化一系列磷酸肌醇发生转化。OCRL基因变异后将影响多个磷酸肌醇的水平,从而影响高尔基复合体中小泡的转运,这种高尔基复合物功能的异常最终导致眼晶体、肾及神经系统发育上的缺陷[3,4]。
OCRL基因变异与临床表型的关系目前尚未完全明确。OCRL基因外显子主要编码4个关键结构域[2](PH结构域、磷脂酰肌醇磷酸5-磷酸酶结构域、ASH结构域、Rho GAP结构域),不同基因变异位点导致不同的结构域功能发生改变,从而导致患者临床表现具有多样性。外显子1-7编码PH结构域,该结构域无催化活性[5],变异临床表现为2型dent病。外显子16-18和19-23分别编码ASH结构域和Rho GAP结构域,其主要调控OCRL蛋白与其他蛋白质相互作用,在蛋白的膜转运中起到关键作用[6],变异临床多表现为Lowe综合征[7]。外显子8-15编码磷脂酰肌醇磷酸5-磷酸酶,变异临床表现可为Lowe综合征,也可为2型dent病[8]。有报道发现,酶活性结构域以外的位点变异,如在ASH和Rho GAP结构域的变异,临床表型可能较轻[9]。OCRL突变患儿的临床表型不仅与突变位点有关,还与突变类型相关。有研究报道,18号外显子错义突变患者表现为肾外症状较轻的Lowe综合征或无明显肾外症状的2型Dent病,但无义突变和移码突变患者,则表现为典型的Lowe综合征[7]。有研究发现,其他基因的表达也可能影响OCRL基因变异的临床表型。在基因敲除的小鼠模型中,OCRL蛋白的缺失不会导致小鼠出现白内障、神经或肾功能障碍表现。但若同时缺乏OCRL和另一个与OCRL高度同源的磷酸酶基因(Inpp5b)则会获得致死性表型,这表明Inpp5b磷酸酶在一定程度上可以补偿OCRL的缺乏[10]。
本例患儿基因变异位点于第23号外显子,编码Rho-GAP结构域,不合并眼部病变,可能与本例基因变异位点及变异类型有关,也可能存在某种补偿机制使临床表型存在差异。本文报道1例不合并眼部病变的非典型Lowe综合征患儿,扩展了Lowe综合征的临床表型谱,旨在提高对本病的认识,减少误诊和漏诊。
所有作者均声明本研究不存在利益冲突





















