
患者,男性,30岁,自觉上前牙间缝隙5年余,影响美观要求诊治。
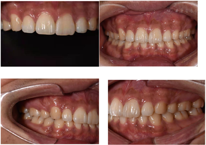
颌面外形对称,开口度及开口型正常,双侧颞下颌关节无明显异常,前牙浅覆合浅覆盖,下前牙中线偏右约1 mm;11、21间间隙约为2 mm,双侧磨牙均为安氏Ⅰ类关系,牙体色泽、形态无明显异常,叩(-),牙不松,牙龈无红肿及压痛。X线片示:11、21牙周膜间隙无明显增宽,根尖区未见明显异常。
牙列不齐。
11、21牙贴面修复(邻面贴面)。
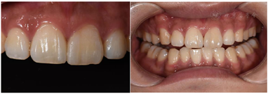
11、21贴面试戴,邻接可,外形佳,边缘密合,色泽与天然牙匹配,患者满意同意粘接,粘结后检查正中颌、前伸颌及侧方颌,咬合无明显异常。粘结后3个月复诊检查,11、21牙邻面贴面固定在位无折裂,边缘密合且无明显着色、修复体颜色无明显改变,检查正中颌、前伸颌及侧方颌,咬合无明显异常。
口腔专业
版权归中华医学会所有。本文为遵循CC-BY-NC-ND协议的开放获取文章。
上前牙区散在间隙是临床上一种较为常见的牙列异常,患者常因其影响美观、发音、咬合甚至是身心健康就诊并要求修复治疗[1]。随着技术的发展,关闭前牙散在间隙的方式越来越多样化,正畸治疗不再是所有患者的首选治疗方案,成年患者更愿意接受微创修复方式。微创修复方式包括美学树脂、瓷贴面修复等[2];美学树脂修复具有损伤小、成本低、修复速度快等优点,但其长久耐磨性以及颜色稳定性均较差[3,4];瓷贴面具有颜色稳定美观、生物相容性好、耐磨损等优点,但其备牙量远大于美学树脂修复,且临床上可能会出现修复后敏感等症状[5,6]。因此,本病例采用邻面贴面修复上前牙区散在间隙,与传统修复方式相比较,探讨其在创伤性、术后美观性以及稳定性方面的差异。
患者,男性,30岁。主诉自觉上前牙间缝隙5年余,影响美观要求诊治。患者自诉10余年前于诊所行正畸治疗,治疗后未佩戴保持器,5年多前发现上前牙区出现散在间隙,近年来间隙无明显改变,现自觉不美观要求修复治疗。既往史:否认"高血压、糖尿病、心脏病"等系统性疾病,否认药物、食物过敏史、传染病史及家族史。
颌面外形对称,开口度及开口型正常,双侧颞下颌关节无明显异常,前牙浅覆合浅覆盖,下前牙中线偏右约1 mm;11、21间间隙约为2 mm,双侧磨牙均为安氏Ⅰ类关系,牙体色泽、形态无明显异常,叩(-),牙不松,牙龈无红肿及压痛,见图1、图2。口腔卫生情况一般,可见少量菌斑及烟斑;余未见明显异常。X线片示:11、21牙周膜间隙无明显增宽,根尖区未见明显异常。术前检查:


诊断为牙列不齐。
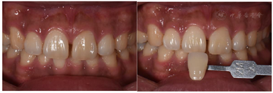
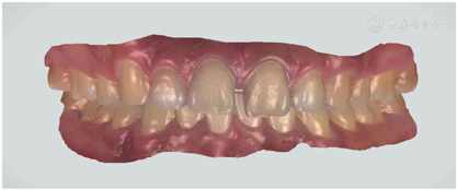
治疗计划为11、21贴面修复(邻面贴面)或正畸治疗。患者选择行贴面修复;龈上洁治,排龈,备牙前进行常规术前照相及比色(VITA2M2)。牙体预备:由11、21近中面扩展至唇近中线角,预备量约0.3 mm,基牙颈部预备与牙龈外形保持一致,肩台呈浅凹形,比色(VITA2M2)口扫;贴面试戴,邻接可,外形佳,与牙面边缘密合,色泽与天然牙匹配,患者满意同意粘接,粘结后检查正中颌、前伸颌及侧方颌,咬合无明显异常。见图3,图4,图5,图6,图7。






随着生活水平的不断提升,人们对口腔美观问题的关注度也越来越高,中青年人群尤为突出。由于牙列不齐、个别前牙缺失、锥形牙、过小牙等原因常导致上前牙区出现散在间隙,其不仅影响患者发音、进食,更因为破坏了牙齿的美观性从而影响患者心理健康。
以前,对于前牙散在间隙的患者通常建议行正畸治疗,必要时再行修复治疗,但往往由于其时间长,费用高等问题患者放弃治疗。因此,随着技术及材料的发展,患者更愿意接受疗程短,费用低,美学效果佳的微创美学修复。
微创美学修复包括美学树脂,全瓷贴面以及本病例采用的邻面贴面修复方式。美学树脂修复式,采用不备牙或微备牙的方式,利用树脂材料修复缺损牙体。美学树脂修复优点:(1)对基牙磨除量少甚至无备牙;(2)能够恢复患牙的形态、颜色及邻接等。然而由于树脂具有易氧化的特性,其维持时间较瓷贴面短,同时,对于邻接及形态的恢复均依赖于医生的技术,因此大部分患者更愿意选择行瓷贴面修复。瓷贴面修复是指通过使用粘接剂将薄层瓷修复体固定于患牙唇面,以恢复牙体形态、改善色泽、关闭缝隙的微创美学技术[7]。传统瓷贴面需要从唇面预备牙体约为0.3~0.5 mm,邻面适当向舌侧预备,预备量较美学树脂修复大且术后可能会出现牙体敏感等症状。因此,随着数字化印模及CAD/CAM的发展,针对仅存在前牙散在间隙(<4 mm)的患者,借用美学树脂修复方式,采用邻面瓷贴面关闭缝隙既能获得美学修复的长期稳定性,又降低了因备牙量较多导致的牙敏感症状等术后并发症的发生率。
针对邻面贴面修复,适用于仅存在前牙区散(<4 mm)在间隙而无牙体缺损、牙周情况稳定、无明显咬合问题的患者。对于前牙间隙>4 mm的患者,不建议采用邻面贴面修复,修复后可能由于牙体长宽比不协调导致新的美观问题,因此建议直接进行正畸治疗,或采用正畸治疗均分间隙后再行修复治疗。同时,若患者处于牙周炎活动期或正畸治疗后不稳定时期,同时又伴有咬合问题,常常会在修复完成后出现新的间隙,邻接消失的情况,严重影响修复的长期效果。
邻面贴面仅对牙齿的邻面部分进行牙体预备,最大限度的减少了对牙体组织的磨除量,满足了患者少磨牙的心理需求。同时,在其牙体预备过程中,越过唇舌面的线角的边缘线可以在重新塑形牙体外形的同时可以增加固位以及改善邻接。由于邻面贴面仅覆盖小部分牙面,所以修复体的颜色、质地和透光性都要应与天然牙相适应,以达到贴面与牙面在粘结区域自然过渡,以假乱真的程度,这也满足了患者对美学效果的需求。故对修复体的精度要求较高,要求术前拍摄记录和比色、粘接材料颜色的选择精确,同时制作过程中及时与技师的沟通交流,以达到较好的美学修复效果。
综上所述,在邻面贴面微创美学修复流程中,使用微创的手段,达到美学与功能兼备的修复效果,临床上往往更容易被患者所接受[8]。通过综合分析设计,考虑前牙美学区域的整体协调性,并通过术中精确的牙体预备,清晰的模型制备以及术后对应的粘结系统,保证邻面贴面的长期稳定性,提高患者对美学修复效果的满意度。但由于病例数较少,观察时间有限,邻面贴面修复的长期修复效果还有待于进一步观察研究。
所有作者均声明本研究不存在利益冲突
























