
患者,男性,67岁,8年前逐渐出现关节活动受限,肩、肘、腕、髋、膝、踝关节均受累,日常生活轻度受限。后逐渐出现双上肢麻木疼痛,伴烧灼感。3年前关节活动受限较前加重,各关节明显增生肥大,弯腰、下蹲困难,伴双下肢麻木,伴吞咽困难、声音嘶哑,双手肌肉萎缩,曾多次就诊于外院,诊断不明。
双股外侧色素沉着。脊柱前屈,各关节增生肥大活动受限。神经系统查体:声音嘶哑,伸舌居中。四肢肌力肌张力均正常,双下肢震动觉减退,四肢腱反射减弱。
膝关节磁共振提示关节淀粉样变;肌电图示上下肢多发周围神经损伤;肌肉及神经活检均见刚果红染色阳性物质沉积,免疫组织化学染色示κ轻链阳性;血轻链及血免疫固定电泳提示外周血κ轻链升高;骨髓穿刺细胞学示符合多发性骨髓瘤。
行多疗程"硼替佐米+地塞米松"方案化疗。
部分缓解。
神经科;骨关节科;影像科;血液科
版权归中华医学会所有。本文为遵循CC-BY-NC-ND协议的开放获取文章。
淀粉样变性是一类因β片层样结构纤维蛋白于细胞外沉积而引起的疾病[1]。淀粉样蛋白沉积于人体各组织可引起多种脏器损害,包括肾脏、心脏、肝脏、骨骼肌、周围神经、关节、皮肤等。关节受累可表现关节肿胀、活动受限;骨骼肌受累可表现肌肉肥大或萎缩;周围神经受累可表现肢体麻木疼痛。由于其临床表现多样,极具迷惑性。本文报道1例同时累及关节、神经、肌肉组织的系统性轻链型淀粉样变性,旨在提高对该病的认识,避免误诊。
患者,男性,67岁,主诉"关节活动受限8年,加重伴吞咽困难3年"。于8年前无明显诱因逐渐出现关节活动受限,肩关节、肘关节、腕关节、髋关节、踝关节均受累,表现为行走姿势异常,程度较轻,不影响日常生活,无关节红肿、疼痛,无关节增生肥大,未予重视及治疗。7年前,患者出现双上肢麻木、疼痛,以双手桡侧四指为重,放射至前臂,至外院诊断为"双侧腕管综合征",并行双侧腕管减压术,术后双上肢疼痛麻木症状较前好转。同年出现姿势异常,表现为腰背部被动前屈,弯腰受限。3年前,患者各关节活动受限较前明显加重,表现为颈部前屈困难,双臂平举、伸直困难,腕部屈伸活动及手指屈伸活动均明显受限,膝关节呈被动屈曲位,伸直困难,各关节明显增生肥大,无法下蹲,行走困难较前加重。并出现双下肢麻木,吞咽困难,饮水呛咳,声音嘶哑,且出现双手肌肉萎缩。病情缓慢进展,曾多次就诊于外院,查右肩关节、双膝关节、双髋关节、双腕关节磁共振,报告示:右肩、双膝、双髋、双腕多发性色素沉着性绒毛结节性滑膜炎。左膝关节滑膜病理示:滑膜组织增生伴慢性炎症,其内查到软骨组织。查电子喉镜,示左声带白斑,颅脑磁共振示未见明显异常。外院诊断"骨关节病",未予针对性药物治疗。2020年4月,患者为求进一步诊疗来到山东大学齐鲁医院,门诊以"肌无力原因待查"收入神经内科病房。
除上述因"腕管综合征"行"双侧腕管减压术"外,其有"心房颤动"病史8年,于6年前行"射频消融术";2014年因"腰椎压缩性骨折"行手术治疗。否认其他慢性病、传染病病史,否认外伤、输血史。否认烟酒史,否认冶游史。否认家族重大疾病史。
体格检查:体温35.8 ℃,心率69次/min,呼吸频率17次/min,血压132/73 mmHg(1 mmHg=0.133 kPa)。老年男性,神志清,精神可,查体合作。双股外侧色素沉着。腰背部见约24 cm手术疤痕,双腕部见约6 cm手术疤痕。心肺腹查体未见异常。脊柱前屈,各关节增生肥大,活动受限(图1)。神经系统查体:声音嘶哑。高级智能粗测正常,双瞳孔等大等圆,直径约3 mm,对光反射灵敏,眼球各向活动到位,未见眼震,双侧额纹及鼻唇沟对称,咽反射减退,舌体肥大,伸舌居中。四肢肌张力无法查,四肢肌力5级,双手骨间肌萎缩。双上肢指鼻稳准,双上肢快速动作减慢,因双下肢关节活动受限,跟膝胫试验不能完成。浅感觉查体未见异常,双下肢震动觉、位置觉减退。四肢腱反射(+),Babinski征阴性,Chaddock征阴性。脑膜刺激征无法查。


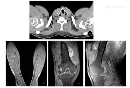
患者入院后,予完善常规检查。血尿便常规、血生化、肝肾功、凝血功能、肿瘤标记物、梅毒二项、乙肝五项、风湿系列等均未见有意义的异常指标。Pro-BNP 462 pg/ml,心脏彩超示左房扩大,室间隔增厚,二尖瓣反流(轻度),主动脉瓣硬化并返流(轻度),三尖瓣返流(轻度)。肌电图检查,示上下肢多发周围神经损伤,运动感觉均受累,部分符合长度依赖性,部分神经易卡压部位受累显著。复查电子喉镜示咽反射减弱,右侧声带活动减弱。复查右膝关节及双小腿磁共振成像(magnetic resonance imaging,MRI)检查(图2B,图2C,图2D),结果示右膝关节组成之股骨远端、胫骨近端与腓骨小头以及髌骨增生,股骨远端、胫骨近端多发片状质子密度加权像(proton density weighted image,PDWI)高信号,滑膜不规则增厚,部分呈团块状,T2WI高低混杂信号,双侧小腿软组织呈网格样改变,提示右膝病变,考虑:(1)色素沉着绒毛性结节滑膜炎;(2)滑膜软骨瘤待排。颈部、胸部CT(图2A)示颈椎周围软组织增厚,双侧胸锁关节、肩关节、胸壁软组织对称性增厚并肩关节骨质改变,纵膈及双肺门淋巴结肿大,双肺散在结节,肉芽?


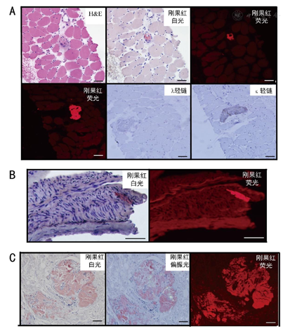
结合患者的膝关节MRI及颈胸部CT肌电图检查结果,提示该患者所患为一累及多关节、周围神经、肌肉、皮肤组织的多系统受累疾病。患者舌体肥大,提示系统性淀粉样变相关肌病可能。为进一步明确诊断,予行神经、肌肉活检(图3)。肌肉活检病理(图3A)提示轻度肌源性损害,刚果红染色见淀粉样物质沉积。神经活检(图3B)刚果红染色提示小血管壁见淀粉样物质沉积。为进一步明确患者为何种类型的淀粉样物质沉积,关节病变是否为淀粉样物质沉积所导致,是否合并骨髓瘤,我们对其关节活检标本进行刚果红染色,检测其血尿轻链、血免疫固定电泳、骨髓细胞学,并对其肌肉组织进行免疫组织化学染色。关节活检标本刚果红染色(图3C)结果显示:关节腔内大量均质红染物质沉积,其在荧光显微镜下呈红色,在偏振光下呈苹果绿/苹果黄色,证实其关节病变为淀粉样物质沉积所致。血轻链示游离κ链4 755.00(3.30~19.40)mg/L,游离λ链14.80(5.71~26.30)mg/L,游离轻链κ/λ:321.2838(0.26~1.65)。尿轻链示游离κ链4 125.00 (0.39~15.10)mg/L,游离λ链5.85(0.81~10.10)mg/L,游离轻链κ/λ:705.1282(0.461~4.000)。血清免疫固定电泳示在β区可见一条单克隆轻链κ成分。对肌肉进行免疫球蛋白κ、λ链免疫组织化学染色,结果显示血管周κ链阳性沉积。骨髓细胞学示:多发性骨髓瘤,原、幼浆细胞占30%。流式细胞学示:总浆细胞占总细胞26.06%,其中95.44%表达CD38,CD138,CD56,CD117,CD27dim,不表达CD19,CD45,CD81,符合异常浆细胞表型。骨髓活检示:符合异常浆细胞增生,不除外骨髓瘤。


确诊淀粉样变性后,患者转至血液科进一步进行多发性骨髓瘤相关评估及治疗。检查结果示:β2-MG 2.63 mg/L,白蛋白38.1 g/L,LDH 195 U/L。荧光原位杂交(FISH):IGH异位,13号染色体缺失,RB1缺失阳性,无P53缺失,无1q21扩增。
诊断:(1)原发性系统性淀粉样变性(累及关节-肌肉-周围神经,I期);(2)多发性骨髓瘤(κ轻链型,ISS分期I期,DS分期Ⅲ期A组)
诊断依据:(1)原发性系统性淀粉样变性:根据《系统性轻链型淀粉样变性诊断和治疗指南(2021年修订)》标准,该患者①临床表现及体格检查:多关节肿大、活动受限,伴吞咽困难、饮水呛咳、声音嘶哑,有肢体麻木、双手肌肉萎缩;实验室检查:肌电图示周围神经病变,易卡压部位受累显著;影像学检查:膝关节MRI示关节骨质破坏,关节腔内不均质团块样物质沉积;颈胸部磁共振示双肩关节骨质改变,软组织增厚;证实有关节、周围神经、肌肉器官受累。②肌肉、神经、关节活检均证实淀粉样物质沉积,免疫组织化学染色结果提示为κ轻链蓄积,血尿轻链、免疫固定电泳示血及尿液中异常κ链升高。符合系统性淀粉样变性诊断标准。根据"梅奥2004分期系统",患者Pro-BNP,nTnT均低于阈值,分为I期,预后中位生存期26.4个月。(2)多发性骨髓瘤:根据《中国多发性骨髓瘤诊治指南(2017年修订)》标准,该患者①骨髓单克隆浆细胞比例>10%;②血清和尿出现单克隆M蛋白;③影像学显示多处溶骨性病变。符合有症状(活动性)多发性骨髓瘤诊断标准。根据"Durie-Salmon分期体系",该患者符合Ⅲ期A组标准;根据"修订的国际分期体系",该患者β2-MG<3.5 mg/L,白蛋白>35 g/L,LDH水平正常,符合R-ISS I期标准。
鉴别诊断:(1)关节病变需与下列疾病相鉴别[2]:①色素沉着绒毛性结节滑膜炎:该病为滑膜的一种增生性病变,临床表现为关节部位局限性的结节或无痛性软组织肿块。肿块可能起源于关节滑膜、剑鞘、筋膜层或韧带组织。单关节发病多见,但也有罕见的多关节病变。其MRI表现为关节腔内结节或团块影,通常为低密度影,但可因其所含组织类型不同,表现出T2像上高密度或混杂密度。26%~32%的患者可伴有骨质破坏。其MRI表现与淀粉极为相似,鉴别需行关节活检。本例患者关节活检证实其关节腔内增生肿块为淀粉样物质沉积,故除外该疾病。②滑膜软骨瘤:是一种少见的关节良性病变,以滑膜上形成软骨结节为特征。多累及单关节,很少有多关节受累的情况,膝关节为最常见受累部位。体检时可发现关节肿胀、压痛,病程较长者可出现肌肉萎缩和关节僵硬。影像学表现主要为关节腔内结节性游离体,游离体多呈单环状或多环状钙化影,可有临近骨骼侵蚀,骨骼侵蚀多发生在髋关节和颞下颌关节等间隙狭窄的关节。MRI表现为T1相接近肌肉密度的团块影,T2相对低信号密度。确诊需行组织病理。本例患者组织病理不符合滑膜软骨瘤的诊断。③类风湿性关节炎:为一种慢性进行性的自身免疫肌病,受累关节晨僵,对称性关节疼痛,活动时明显,对称性关节肿胀,功能障碍,关节有积液,关节周可见软组织肿胀,肌肉萎缩,关节附近可有皮下结节。血清学检查可见类风湿因子阳性。关节MRI可见滑膜增厚、骨髓侵蚀,但少有关节腔内结节或团块样物质。本例患者关节疼痛不明显,类风湿因子呈阴性,关节磁共振有关节腔内团块,故不支持此诊断。(2)周围神经及肌肉病变需与以下疾病相鉴别:①POEMS综合征:是一组以多发性周围神经病和单克隆浆细胞异常增生为主要表现的多系统受累的临床症候群。其临床表现包括多发性周围神经病,脏器肿大,内分泌改变,单克隆浆细胞异常增生,皮肤改变。其典型周围神经损害电生理表现为中间段脱髓鞘,其血清M蛋白主要为IgA λ型。本例患者周围神经变现为轴索损害为著,血清M蛋白为κ轻链型,无脏器肿大,无内分泌异常,不符合POEMS综合征诊断。②甲状腺功能减退相关肌病:为甲状腺功能减退相关的肌肉疾病,可表现为Hoffmann综合征和类多发性肌炎综合征。Hoffmann综合征表现为:伴有黏液性水肿的,以肌强直和假性肌肥大为主要表现的甲减。其肌肉强直以小腿、上肢、舌最常见,肌电图可见自发电位。类多发性肌炎综合征表现为近端肌无力和血CK升高的甲减。本例患者无甲状腺功能减退,故不考虑该疾病。
明确诊断后,患者于我院血液科针对多发性骨髓瘤行多疗程化疗。初始方案为"来那度胺联合地塞米松"并应用"双磷酸盐"治疗骨病,具体方案为:来那度胺25 mg qd+地塞米松40 mg qw,伊班膦酸4 mg qw。21 d/疗程。2个疗程结束后患者出现皮疹,考虑与来那度胺相关,更改化疗方案为"硼替佐米联合地塞米松",具体方案为:硼替佐米1.3 mg/m2 ih d1+地塞米松20 mg po d1+d2。2次/周,连续2周后停10 d,应用1个疗程后,加用来那度胺25 mg qd,治疗2周后再次出现皮疹,停用来那度胺,继续应用"硼替佐米+地塞米松"方案治疗2个疗程(共计4个疗程)。第5疗程起始前,对患者行病情评估,患者关节活动受限、言语不清情况较前明显好转。再次行骨穿,骨髓细胞学未见异常浆细胞,流式细胞学示总浆细胞占有核细胞0.01%,表现未见异常。达到血液学部分缓解。第5疗程应用"硼替佐米+地塞米松+来那度胺"方案化疗,由于患者对25 mg来那度胺不耐受,调整来那度胺计量至10 mg/d。1周后,患者再次出现皮疹,予停用来那度胺,继续应用"硼替佐米联合地塞米松"方案化疗3个疗程(共计7个疗程)。患者自第5疗程后期开始反复出现肺部感染,予针对性药物治疗后好转。
第7疗程化疗结束后对患者行系统评估。其关节肿胀、活动受限、肢体麻木、饮水呛咳、声音嘶哑等症状均明显改善,复查血尿轻链均恢复至正常范围,免疫固定电泳未见异常单克隆蛋白条带,骨穿细胞学示片尾端偶见骨髓瘤细胞,流式细胞学检测结果示总浆细胞占总细胞0.48%,其中正常浆细胞84.75%,异常浆细胞占3.29%,LDH 251 U/L,Pro-BNP 1 172.00 pg/ml。胸部CT示多发关节骨质改变,范围较前未见明显改变。评估为部分缓解。患者后因反复肺部感染就诊于外院,自服"中药"调理,自行服用来那度胺10 mg/d,未再来院。最近一次电话随访为2021年10月,患者病情稳定,目前关节活动、肢体麻木较前改善,仍有吞咽困难,生活可自理。
原发性系统性淀粉样变性是由单克隆免疫球蛋白积聚所引起的,其中轻链型最为常见。其可以累积人体各个脏器,其中肾脏、心脏、胃肠道、肝脏、肺、周围神经、皮肤、皮下组织、肌肉、关节均为其损害的靶器官。其中关节受累只占所有系统性淀粉样变患者的3.7%[3]。相比而言,肌肉受累在系统性淀粉样变中并不罕见,但其中很多患者为非症状性,是因其他系统受累而在进一步诊疗中发现的。而且,淀粉样关节病、肌肉病临床表现多样,影像学、电生理、常规实验室检查,甚至常规病理检查均表现多样,且无特征性,所以,当关节肌肉受累为临床首发症状时,极易发生漏诊与误诊,从而失去治疗先机。
本例患者病史长达8年,曾反复辗转于多家医院,曾行膝关节滑膜活检,均未能明确诊断。其就诊于我院时,最显著的临床表现仍是关节肿胀与活动受限,但由于其吞咽困难、饮水呛咳、声音嘶哑逐渐加重,使患者和医生逐渐认识到,其罹患的疾病受损范围超出了关节的范围。通过详细的查体发现,除关节肿大变形外,患者有舌体肥厚,咽反射减退,双下肢震动觉减退,双手骨间肌萎缩等,提示患者有周围神经、肌肉、关节多系统受累。特别值得注意的是患者的巨舌,这是淀粉样变性相关肌病的特征性表现。同时,患者肌电图显示为符合长度依赖性的感觉运动周围神经病变,符合淀粉样变性相关周围神经病的表现。此外,患者既往房颤,心脏彩超所示的室间隔增厚和心房扩大,也是淀粉样心肌病可出现的改变。仔细阅读患者双下肢MRI,发现其皮下软组织呈现网格样改变,这也符合淀粉样变性的特征。由此,强烈怀疑患者患有淀粉样变性相关周围神经肌肉病。在获得患者知情同意后,对其行腓肠神经及肌肉活检,结果证实在周围神经和肌肉组织病理切片上,刚果红染色显示其均有淀粉样物质沉积。确诊淀粉样变性后,对其病理切片行免疫组织化学染色,明确了其肌肉组织内的淀粉为κ轻链沉积。血清及尿游离轻链、血清免疫固定电泳也表现出异常单克隆κ轻链升高。对患者行骨髓穿刺细胞学、流式细胞学、骨髓活检,结果证实患者患有多发性骨髓瘤。
在该患者的整个病程中,关节肿胀、活动受限是影响该患者生活的主要因素,也是患者最显著的症状。患者于外院及我院行关节MRI检查,结果均为"色素沉着绒毛性结节滑膜炎",其院外的关节滑膜活检结果似乎也支持该诊断。为了进一步阐明患者关节病变的性质,我们一方面与影像科专家一起进行了文献回顾,另一方面对患者院外关节滑膜活检的病理白片行刚果红染色。经过文献回顾发现,淀粉样关节病磁共振表现与色素沉着绒毛性结节滑膜炎非常相似,可表现为关节周骨质破坏伴关节腔内T2WI高低混杂的结节或团块样滑膜增厚[4],关节滑膜活检刚果红染色也证实了关节腔内淀粉样物质沉积。至此,"系统性淀粉样变性(累及关节、肌肉、周围神经)合并多发性骨髓瘤"的诊断成立。
治疗方面则根据指南选择了经典的"硼替佐米联合地塞米松"方案,患者一度采用"来那度胺",但其因皮疹而无法耐受,最后停用。经过7个疗程的治疗,患者达到部分缓解,生活质量得到较大改善。值得注意的是,虽然患者血液学指标改善,但患者pro-BNP持续上升,pro-BNP是影响淀粉样变性预后非常关键的指标,因此,后续仍需继续对患者进行积极的治疗及评估。
系统性淀粉样变性患者中,有很多患者伴有多发性骨髓瘤。曾有报道称,患有多发性骨髓瘤的患者其同时患系统性淀粉样变相关关节及软组织损害的风险是正常人群的3.9~4.3倍[5]。Elsaman等[6]曾对101位骨髓瘤相关的淀粉样关节病进行了文献回顾分析,发现绝大多数患者为多关节受累,单关节受累者罕见,而这些患者中30%曾被误诊为类风湿性关节炎。大多数淀粉样关节病患者存在特殊的表征,例如腕管综合征、巨舌、肩垫征以及软组织水肿或肿块等,这些特殊表现可以成为临床诊断的线索。影像学上,淀粉样变性相关关节病表现多样,通常表现为弥漫性的结节样滑膜增厚,其在T1序列上可为低或等信号,T2序列上多为低信号,也可呈高低混杂信号。绝大多数患者不伴有骨质侵蚀,但也有少数患者存在骨质破坏。伴有肌肉受累的患者,可在MRI上见到软组织网格样改变,这也是其特征性表现。
诊断淀粉样变性的金标准是在组织中找到淀粉样物质沉积的证据。刚果红染色是观察组织淀粉样变性推荐的方法,在偏振光下观察刚果红染色切片呈苹果绿或苹果黄样的折射光被认为是诊断淀粉样物质的金标准。但该方法敏感性低,需要组织切片厚度大于8 μm,而且在组织内存在少量淀粉样物质沉积时,其阳性率过低,从而导致漏诊。曾有文章推荐应用免疫荧光显微镜观察刚果红染色切片敏感性较高,可提高淀粉样变性的检出率[7]。目前更加多的指南指出,在组织中获得刚果红染色阳性的结论后,必须进一步行免疫组织化学染色或质谱分析明确其所沉积的淀粉类型,才能确诊淀粉样变性。
在此,本文报道一例系统性淀粉样变累及关节-肌肉-周围神经合并多发性骨髓瘤的病例,该病例在临床上罕见。由于淀粉样变性相关关节、肌肉、周围神经病表现多样,影像学缺乏特异性,使其极具迷惑性。对于表现多发性关节病变,腕管综合征,巨舌,软组织水肿,肢体无力但肌肉体积增大的患者需警惕系统性淀粉样变性的可能。在影像学上,滑膜增厚伴软骨性损害,尤其是伴有周围软组织网格样改变的患者,需进一步行淀粉样变性相关针对性检查,以明确诊断。其诊断需依赖组织病理学刚果红染色及免疫组织化学染色或质谱分析。治疗上,对于年轻、身体状态良好的患者可采用造血干细胞移植,而无法满足该条件的患者可采用化疗方案进行控制。
所有作者均声明本研究不存在利益冲突





















