
间断抽搐发作36余年,加重5个月余。患者6月龄时开始出现癫痫发作,8月龄时出现左右侧肢体交替性反复偏瘫发作,伴肌张力障碍,直至青年期完善基因检测发现携带ATP1A3基因c.2401G>A(p.D801N)致病性杂合突变确诊AHC。
左右侧肢体交替性反复偏瘫发作,伴肌张力障碍。
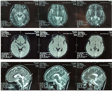
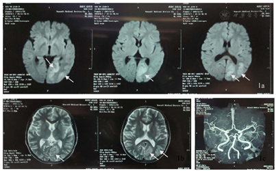
影像学资料存在左侧颞顶枕叶可逆性的病变。
给予氟桂利嗪治疗。
随访过程中其交替性偏瘫发作有所缓解,但肌张力障碍症状较前加重。
神经科;儿科
版权归中华医学会所有。本文为遵循CC-BY-NC-ND协议的开放获取文章。
儿童交替性偏瘫(alternating hemiplegia of childhood,AHC)是一种罕见的神经发育障碍疾病,由Verret和Steele于1971年首次报道[1],发病率约1/100万,发病年龄常小于18个月,主要表现为侧方肢体交替性反复偏瘫发作,也可累及四肢,常伴眼球运动异常、肌张力障碍、自主神经功能紊乱,可合并癫痫、偏头痛等疾病,随着年龄增长会出现不同程度的发育障碍(语言、认知、行为等方面),以及构音障碍、共济失调等[2]。本文报道1例AHC合并癫痫的青年病例,旨在提高对该罕见病的认识,减少误诊和漏诊。
患者,女性,37岁,主因"间断抽搐发作36余年,加重5月余"于2020年11月24日就诊于河北医科大学第二医院神经内科。患者于6月龄时出现抽搐发作,表现为双眼向右上偏斜,四肢抽搐,伴意识不清,呼之不应,持续约数小时缓解。后此症状间断发作,表现同前,每次共3 h左右,发作频率约1次/20 d,共发作3次后未再发作。8月龄时出现发作性肢体活动障碍,表现为哭闹时仅一侧肢体活动,意识清楚,偏瘫侧肢体软,左右侧肢体交替发作,单侧偏瘫持续3天左右交替至另一侧,每次共持续1周左右,发作频率约半个月1次,就诊于当地医院,诊断为"低钙抽搐",给予补钙治疗,症状未见明显好转。1岁半时就诊于北京数家医院,于首都医科大学宣武医院完善头颅CT检查未见明显异常(具体不详),予以口服药治疗(具体不详),服用完后自行停药。后间断就诊于当地医院,诊断为"癫痫",15岁左右开始口服抗癫痫药物(具体不详)。11年前(26岁时)口服卡马西平0.2 g、2次/d,出现发作性肌张力障碍,表现为双上肢伸直,双手腕屈曲外旋,偶伴头眼右偏,意识清楚,为成簇发作,约半个月1簇,3~5 d/簇,数次/d,每次持续约数分钟,月经前或情绪不稳定时易发作;交替性偏瘫发作症状逐渐演变为发作时偏瘫侧肢体伴有强直性肌张力障碍,右侧肢体发作时症状常较左侧重。逐渐停用卡马西平(共服用数月),上述症状仍间断发作,发作表现及频率同前,就诊于北京数家医院,于北京三博脑科医院完善头颅核磁共振、24 h视频脑电图、48h视频脑电图和脑磁图等检查,家属回忆视频脑电图示未见癫痫样放电,头颅核磁共振示有病灶,脑磁图示病灶位置较深不宜手术(因检查结果及报告丢失,具体不详),诊断为"运动障碍性疾病",予以口服美多芭治疗,症状未见好转,数月后自行停用。此后数年间患者除交替性偏瘫发作、肌张力障碍发作外间断于清醒状态下出现全面性强直-阵挛发作2次,发作前有头痛先兆,每次持续约30 min。入院5个月余前患者于清醒状态下突然出现右侧肢体抖动,伴头眼右偏,口角向右侧偏斜,意识丧失,伴流涎,持续约数小时,就诊于当地医院查头颅MR示左侧颞顶枕叶病变,性质待定,后此症状间断发作,偶伴小便失禁,发作前有恶心、呕吐等先兆,发作频率约1次/周,患者逐渐无法自行行走;入院3个月前患者发作形式变化为右手右脚抖动,伴右侧面肌、嘴角抽搐,每次持续约数小时,频率约1次/10 d。现患者口服"丙戊酸钠0.4 g、3次/d,左乙拉西坦每早0.75 g,每晚0.5 g"。个人史:足月顺产,系第一胎第一产,其母亲诉其出生受冻史;运动发育迟缓,6岁会走路;未婚未育,父母及2个妹妹体健。既往史:偏头痛病史20余年,未予诊治;甲状腺功能亢进症病史5年余,口服甲巯咪唑片治疗。月经史、家族史无特殊。入院神经系统查体示神清,智力发育、理解力较差,双瞳孔正大等圆,对光反射稍迟钝,双手肌张力障碍样姿势,右侧肢体肌张力稍高,四肢腱反射(+++),双侧巴宾斯基征(-),余查体不合作。
肌酸激酶38.0 U/L(↓),低密度脂蛋白胆固醇1.99 mmol/L(↓),纤维蛋白原1.88 g/L(↓),铜蓝蛋白0.20 g/L(↓),血氨55 μmol/L(↑),血、尿、便、凝血常规、血电解质、肝肾功能、术前四项、甲功五项、血清维生素测定+叶酸测定均未见明显异常,促甲状腺素受体抗体阴性,住院期间内分泌科会诊建议停用甲巯咪唑。血尿代谢筛查未见异常。线粒体核基因及环基因检测未发现突变。










依据患者症状、体征、辅助检查及基因检测结果,最终诊断"1.儿童交替性偏瘫2.癫痫",考虑鉴别的代谢性疾病、线粒体疾病、肝豆状核变性等疾病诊断依据均不充分。
予以患者丙戊酸钠、左乙拉西坦抗癫痫,吡拉西坦营养神经等治疗,症状较前好转,出院后口服丙戊酸钠缓释片0.5g、2次/d,左乙拉西坦0.75g每早、0.5g每晚,基因检测结果回报后根据查阅文献结果给予患者口服盐酸氟桂利嗪胶囊5mg、1次/d。
目前随访至2021-12,患者口服药物同前,仍间断癫痫发作、肌张力障碍发作,表现、持续时间及频率同前。交替性偏瘫发作程度较前略减轻,每次持续2天左右,持续时间较前缩短,偏头痛症状明显缓解,但肌张力障碍症状较前加重,自理能力较前减退。


AHC主要由编码神经元特异性Na+/K+-ATP酶α3亚基的ATP1A3基因发生变异所致,该基因定位于19q13.2,包含23个外显子,编码1013个氨基酸[3]。Na+/K+-ATP酶α3亚基在大脑皮质、海马、基底节、丘脑、小脑中高度表达,ATP1A3基因突变会导致该酶活性功能的丧失,影响细胞内外离子转运。D801N、E815K和G947R为已报道的ATP1A3基因的3个热点突变,其中D801N突变最常见,其次为E815K突变和G947R突变[4,5]。ATP1A3基因突变相关的3个经典综合征为:速发型肌张力障碍-帕金森综合征(RDP)、AHC、小脑共济失调、反射消失、高弓足、视神经萎缩及感音神经性耳聋综合征(CAPOS),近年来新增的疾病表型有早期婴儿癫痫伴脑病(EIEE)、复发性脑病伴小脑共济失调(RECA)等,此外越来越多具备单种ATP1A3基因相关疾病非典型症状或多种ATP1A3基因相关疾病重叠症状的病例被报道,提示该疾病谱系不断扩增[6]。
AHC诊断主要依靠临床表现和基因检测,需与其他ATP1A3基因相关疾病、偏瘫性偏头痛、癫痫、烟雾病、线粒体疾病等疾病相鉴别[4]。目前较为公认的仍是2007年由Neville提出的AHC诊断标准:(1)18个月前出现症状(2)反复发作性偏瘫,累及身体任何一侧(3)发作性双侧瘫痪或四肢瘫,偏瘫由一侧交替至另一侧或起始即为双侧(4)其他与偏瘫发作同时发生或单独出现的阵发性症状,如强直或肌张力障碍、眼球运动异常(如斜视及眼球震颤)及自主神经功能障碍等(5)睡眠后症状消失,醒后10-20分钟可再次发作(6)发育迟缓和(或)其他神经异常的证据,如肌张力障碍、共济失调或舞蹈手足徐动症(7)不能归因于其他可能的疾病,典型案例满足标准(1)、(2)、(3)和(7)[7]。
本例诊断难点为患者病史长,发作类型多变,缺乏发作期视频资料和既往视频脑电图资料,病史收集中获知偏瘫发作与癫痫发作无明显先后关系,且偏瘫发作通常持续数小时甚至数天,使得癫痫诊断疑点重重。患者青年女性,慢性病程,表现为左右侧肢体交替性偏瘫发作、阵发性肌张力障碍发作和癫痫发作,症状符合上述AHC诊断标准中典型案例诊断标准,且基因检测提示患者携带ATP1A3基因c.2401G>A(p.D801N)错义突变,AHC诊断证据充分。
ATP1A3基因突变可导致生命早期严重癫痫[8]。约半数AHC患者合并癫痫,且多为耐药性癫痫,癫痫发作可与偏瘫发作同时发生或独立出现[2],癫痫类型和癫痫发作类型多样,癫痫发作甚至癫痫持续状态(SE)可以发生在其他类型的AHC发作之前,通常始于新生儿期[9]。携带E815K突变患者通常表现为更严重的AHC表型,癫痫和SE的发生率更高[2,9]。本例患者具备多种癫痫发作类型,常独立出现,多表现为SE,抗癫痫药物反应欠佳。AHC患者影像学表现通常是正常的,少数可出现大脑或小脑萎缩[9,10,11],值得注意的并遗憾的是,本例患者入院前2次于癫痫发作后行头颅MR检查示左侧颞顶枕叶病变,入院后复查头颅MR提示该病变呈可逆性,脑萎缩加重,线粒体环基因及核基因检测未发现突变,最终我们未能明确其性质及原因。国外1项队列研究中观察到1例患者在SE后24 h内进行MRI检查,出现右侧顶叶内侧T2加权液体反转恢复(FLAIR)序列灰质信号增强,并与发作期视频脑电图(EEG)异常及症状学相符,这与本例患者类似[9]。此外该研究还显示AHC患者EEG异常和癫痫样放电的发生率随着监测次数的增加而增加[9]。
AHC治疗可分为以下几类:(1)避免诱因和长期药物治疗;(2)急性发作治疗;(3)癫痫治疗;(4)以睡眠为治疗策略[7]。氟桂利嗪是一种非选择性钙通道阻滞剂,被证明可降低AHC发作的严重程度、发作频率及持续时间,是目前最常用的治疗AHC的药物,但是否有利地影响AHC患者的发展结局仍存在争议[10,11]。此外,托吡酯也是治疗AHC的合理选择[12,13]。近来一些研究提示其他治疗方法如迷走神经刺激术(VNS)[9]、类固醇激素[9,14]、静注免疫球蛋白(IVIG)[12]等用于AHC治疗可能获得积极反应。
综上所述,AHC症状复杂多变,需与多种疾病鉴别,诊断依赖详尽的病史采集和基因检测。AHC治疗仍然主要是支持性的,有必要进一步探索有效的治疗方法。
所有作者均声明本研究不存在利益冲突





















