
患儿7岁时来诊,3年前开始出现两侧后牙发黑,1月前右下后牙曾因有洞于外院治疗后临时充填,1周前曾拔除松动未脱落乳牙,前来要求充填右下后牙并检查其他牙齿检查。
混合牙列,51、61口内未见;16、26、36、46均萌出;14、24萌出,松动I度;84MOD、85O、B大面积白色样充填物;73MD、74MOD、75DO龋洞;83无松动,仅余留牙根;53D、55O、P、65O、P龋坏;52、62松动Ⅱ度,腭面近中呈黄褐色。牙龈粉红,质地韧、探诊无出血,上下牙列唇舌侧牙颈1/3有软垢附着。dmft为15。
83、85牙体缺损(根管治疗后);84慢性根尖周炎(根管治疗后);74、75慢性根尖周炎;53D、55O、P、65O、P、73M、D中龋;52、62浅龋;14、24早萌。
口腔卫生宣教(患儿家长、患儿)。85行金属预成冠修复。84金属预成冠修复,若根尖周反复肿包及时拔除行间隙保持。83前牙透明冠恢复外形。74、75行根管治疗后金属预成冠修复,75治疗后若牙周反复肿包及时拔除行间隙保持。53、55、65、73行树脂充填术。14、24暂不制作阻萌器,定期(3个月)复查,调整咬合,观察牙根发育情况。52、62因松动,临近替换,暂不处置。定期3个月复诊,行口腔维护。
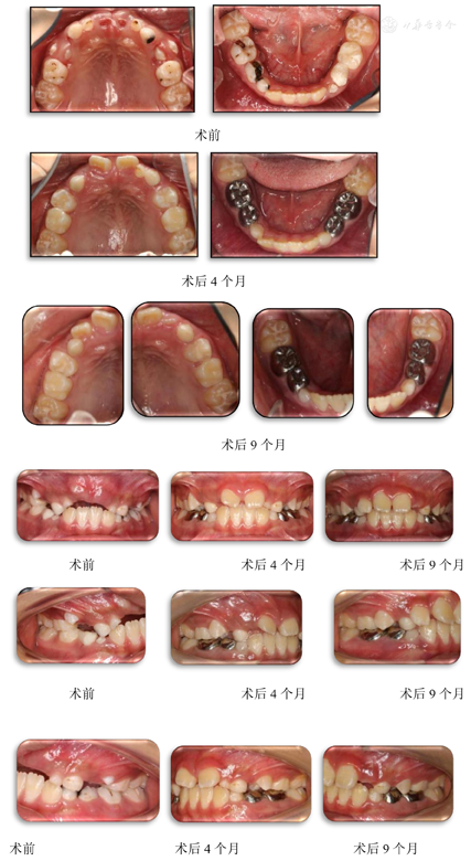
经过9个月的治疗与随访,患儿12、11、21、22萌出。74、75、84、85牙冠与邻牙邻接关系良好,行使功能正常。无新增龋齿。14、24无松动,与对颌牙建立咬合关系。牙弓长度、宽度有效保持。
口腔全科;儿童口腔科
版权归中华医学会所有。本文为遵循CC-BY-NC-ND协议的开放获取文章。
儿童龋病是儿童口腔疾病中常见疾病,具有发病时间早,牙数多,龋损发展快等特点,影响儿童口腔健康,颌面部发育及全身健康。2018年国家卫生健康委发布的第四次全国健康流行病学调查报告中显示:我国儿童患龋呈快速增长趋势[1]。不同龋病风险在临床诊疗过程中的方案也存在不同。根据邹静等[2]从行为习惯、临床检查、全身情况、家庭情况四个方面整理的6~18岁儿童龋风险评估,乳牙龋失补牙面数>1的邻面极为高龋风险。以此标准,临床存在大量高龋风险儿童。本研究报道1例高龋风险儿童的口腔综合诊疗,旨在提出对此类患者,临床中应该按照一个什么样合理的顺序,正确的治疗措施进行诊疗,从而达到更好的治疗效果。
患者,男性,7岁3个月,两侧后牙发黑3年余。患儿3年前开始出现两侧后牙发黑,1月前右下后牙曾因有洞于外院治疗,后临时充填,1周前曾拔除松动未脱落乳牙,前来要求充填右下后牙并检查其他牙齿。龋齿充填史,根管治疗史,拔牙史,窝沟封闭史。否认重大疾病史;否认药物过敏史。每天刷牙1次,每次不足2 min。混合喂养,3岁之前有夜奶习惯。
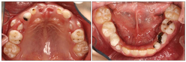
85O,B、84MOD白色样充填物,充填物完整,根尖区黏膜无异常。83无松动,仅余留牙根,牙根断面可见白色样充填物,充填物完整,根尖区黏膜无异常(图2)。


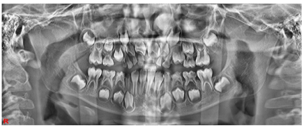
X线影像显示:85根管内阻射影像,达根尖,近中根管根尖有根充物溢出影像,根尖周未见透射影像。84根管内阻射影像,达根尖,远中根尖周有透射影像,波及44恒牙胚硬骨板,近中根尖有根充物溢出影像。83根管内阻射影像,致密,根尖有糊剂溢出,根尖周未见透射影像。73M、D、74MOD、75DO龋洞,发黑,探诊质硬,冷诊未诉不适,叩痛(-),根尖区黏膜无异常(图3)。


X线影像显示:73M、D透射影像,达牙本质中层,根尖周未见异常。74MOD透射影像,近髓腔,根分叉处可见透射影像,34恒牙胚硬骨板完整,根尖周未见异常。75DO透射影像,近髓腔,根分叉处可见透射影像。远中根尖周可见透射影像,波及35恒牙胚硬骨板。55O、P、65O、P龋坏,探诊质硬,冷诊正常,叩痛(-)。14、24萌出,松动I度,牙合面近远中向牙龈覆盖(图4)。


X线影像显示:14、24未见牙根影像。53D龋洞,发黑,探诊硬,冷诊正常,叩痛(-),根尖区黏膜无异常(图5)。X线影像显示:53D透射影像,达牙本质中层,根尖周未见异常。52、62松动II度,腭面近中呈黄褐色,探诊质硬。51、61拔牙创区牙龈无红肿,牙龈黏膜未完全愈合。16、26、36、46牙面窝沟白色样封闭物,封闭物完好(图6)。


注:牙周:下牙龈粉红,质地韧、探诊无出血,上下牙列唇舌侧牙颈1/3有软垢附着。咬合:双侧第一磨牙远中牙合关系。黏膜:色红,质软,舌体活动自如。颌面部:颏部居中,面部左右两侧基本对称;无畸形。双侧颞下颌关节无弹响及压痛;开口型、开口度正常。侧貌直面型。龋风险评估:dmft=15


83、85牙体缺损(根管治疗后);84慢性根尖周炎(根管治疗后);74、75慢性根尖周炎;53D、55O、P、65O、P、73M、D中龋;52、62浅龋;14、24早萌。
1.口腔卫生宣教(患儿家长、患儿)。
2.85行金属预成冠修复。
3.84金属预成冠修复,若根尖周反复肿包及时拔除行间隙保持。
4.83前牙透明冠恢复外形。
5.74、75行根管治疗后金属预成冠修复,75治疗后若牙周反复肿包及时拔除行间隙保持。
6.53、55、65、73行树脂充填术。
7.14、24暂不制作阻萌器,定期(3个月)复查,调整咬合,观察牙根发育情况。
8.52、62因松动,临近替换,暂不处置。
9.定期3个月复诊,行口腔维护。
1.口腔卫生宣教(患儿家长、患儿)。
2.85行树脂充填术。
3.84行树脂充填术,若根尖周反复肿包及时拔除行间隙保持。
4.83前牙透明冠恢复外形。
5.74、75行根管治疗后树脂充填,75治疗后若牙周反复肿包及时拔除行间隙保持。
6.53、55、65、73行树脂充填术。
7.14、24行阻萌术。
8.52、62因松动,临近替换,暂不处置。
9.定期3个月复诊,行口腔维护。
1.口腔卫生宣教(患儿家长、患儿)。
2.85行树脂充填术或金属预成冠修复。
3.83前牙透明冠恢复外形。
4.74行根管治疗后树脂充填或金属预成冠修复。
5.84、75治拔除行间隙保持。
6.53、55、65、73行树脂充填术。
7.14、24行阻萌术。
8.52、62因松动,临近替换,暂不处置。
9.定期3个月复诊,行口腔维护。
多个治疗方案与患者家长沟通、患者家长要求保留84、75,沟通治疗费用及可能存在风险后,患者家长选择治疗方案一。选择后制定如下治疗计划:
(1)口腔卫生宣教、指导刷牙、使用牙线。(患儿家长、患儿)。(2)氟化物应用。(3)饮食控制。
(1)74、75行根管治疗。(2)53、55、65、73行树脂充填术。(3)调整14、24咬合,轻咬合状态。
(1)74、75、84、85金属预成冠修复。(2)83前牙透明冠恢复外形。
(1)观察14、24牙根发育情况,调整咬合。(2)3个月复诊检查;评价治疗效果。(3)复查时关注患儿菌斑控制情况。(4)3个月涂氟。(5)及时对有深窝沟恒牙进行窝沟封闭。
6~18岁儿童高龋儿童的临床治疗与随访与低龋风险与中龋风险不同,需要3~6个月复诊,每日2次含氟牙膏,每3个月定期涂氟,饮食要控制以及及时充填新发龋与继发龋[2]。
对于6岁以上高患龋风险儿童,应每3个月复诊,每6个月拍摄x线片;每天2次使用0.5%含氟牙膏;每3个月专业性局部涂氟,干预饮食,窝沟封闭预防龋齿,并修复所有龋损牙体组织[2,3]。
对于根尖周病造成根方骨质破坏、波及恒牙胚的乳磨牙应予以拔除[4]。但也有学者提出对于这类牙齿是否拔除值得商榷。治疗方案应该结合患牙临床表现、继承恒牙胚钙化情况等综合评估[5,6]。
对早萌牙是否进行阻萌,需要医生根据牙齿情况做出决定。对于乳磨牙缺失的患者,需要仔细检查患者口内牙列及咬合情况,结合X线片分析。如果后继恒牙尚未萌出,作常规间隙维持器观察,定期复诊;若后继恒牙开始萌出,X线片示牙根尚未发育或不足1/2,需要使用阻萌器控制牙齿萌出,待牙根发育到1/2以上去除阻萌器;若后继恒牙已经完全萌出与对颌牙有咬合接触,牙根尚未发育或不足1/2,可以考虑对颌乳磨牙调牙合或者颊舌侧黏接固定丝保护早萌牙[7,8]。
所有作者均声明本研究不存在利益冲突
























