
患者,女性,26岁。患者4年前因26根尖囊肿行根管治疗和囊肿刮除术,2年前因26根尖囊肿复发合并左上颌窦炎,行根尖囊肿刮除术和左上颌窦根治术,现因二次根尖囊肿刮除术后2年愈合不佳就诊。
自诉无明显不适。26牙冠远中
面大面积白色充填物,叩(-),无明显松动,局部牙龈及黏膜未见明显异常。
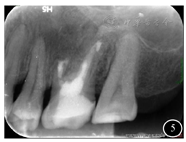
根尖片示26根尖区椭圆形低密度影。CBCT示26根尖区至左侧上颌窦底壁见不规则骨质缺损,缺损边缘见硬化,缺损区偏远中腭侧见一类椭圆形低密度影,边缘硬化,范围约13 mm×10 mm×8 mm,与骨缺损区相通;26见4根管,MB2内未见明显根管充填物影,根管钙化。诊断:26根尖囊肿。
结合口腔多学科诊疗模式,行26显微根尖手术及引导性组织再生术。
患者术后已随访5年,无诉不适。根据Penn影像学分类属于有限愈合,显微根尖手术的效果评价为成功。
口腔科;牙体牙髓病科;口腔颌面外科
版权归中华医学会所有。本文为遵循CC-BY-NC-ND协议的开放获取文章。
根尖囊肿是最常见的颌骨囊肿,属于牙源性炎症性囊肿,是根尖区炎症伴Malassez上皮剩余增生所致,通常继发于龋病或创伤的坏死牙髓。早期无明显症状,X线片典型表现为一个圆形的围绕根尖的低密度影,边界清楚,伴高密度白线环绕,不及时治疗可导致牙松动移位,甚至破坏周围重要解剖结构[1]。我们报道1例口腔多学科诊疗(Oral Multidisciplinary Team, OMDT)的左上颌第一磨牙根尖囊肿,旨在提高对显微根尖手术与传统囊肿刮除术的区别的认识,必要时通过OMDT提高治疗成功率。
患者,女性,26岁。因二次根尖囊肿刮除术后2年愈合不佳就诊。患者4年前因26根尖囊肿于外院行根管治疗和根尖囊肿刮除术,2年前因26根尖囊肿复发合并左上颌窦炎,于我院口腔颌面外科全麻下行根尖囊肿刮除术和左上颌窦根治术,病理结果示:镜下表现符合根尖囊肿。否认家族史、全身系统性疾病、药物过敏史、冶游史等。
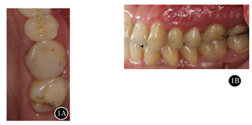
口内检查(图1):26牙冠远中
面大面积白色充填物,未探及牙周袋,叩(-),无明显松动,局部牙龈及黏膜未见明显异常。

面照;B:26颊面照
面照;B:26颊面照影像学检查:根尖片示26根尖区椭圆形低密度影(图2)。锥形束CT(cone beam computed tomography,CBCT)示26根尖区至左侧上颌窦底壁见不规则骨质缺损,缺损边缘可见硬化。缺损区偏远中腭侧见一类椭圆形低密度影,边缘硬化,范围约13 mm×10 mm×8mm,与骨缺损区相通。26见4根管,MB(近颊根管)、DB(远颊根管)、P(腭根管)根管内见充填物影,MB2(近颊根第二根管)内未见明显根管充填物影,根管钙化(图3)。




诊断:26根尖囊肿。诊断依据:1.病史:曾因26根尖囊肿行囊肿刮除术;2.病理学检查:囊肿刮除术标本镜下表现符合根尖囊肿;3.影像学检查:根尖片和CBCT示26根尖区存在边界清楚的低密度影。诊断明确,无需鉴别。
阿替卡因局部浸润麻醉,于25至27切开翻瓣,口腔手术显微镜下见26根尖骨质缺损区,刮除病变区肉芽组织,切除26腭根、近颊根、远颊根各3 mm,亚甲基蓝染色,未见明显裂纹。显微镜下见MB2内无根充物,探及根管钙化。超声工作尖行MB、MB2、DB、P根管根尖倒预备各3 mm,iRoot BP Plus ®分层倒充填,修整根面,庆大霉素浸泡术区,放置Bio-Oss ®骨粉,覆盖Bio-Gide ®胶原膜。复位,缝合(图4)。


术后即刻根尖片示:26的MB、MB2、DB、P根管倒充填致密,原根尖低密度影区见高密度充填物影(图5)。


嘱勿咬硬物,1周后复诊拆线,不适随诊。
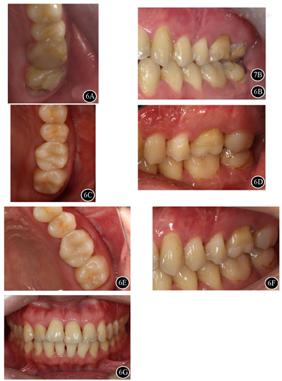
术后定期复查,无诉不适。口内检查:26叩(-),无明显松动,局部牙龈及黏膜未见明显异常(图6)。7B复查根尖片示26根尖区骨密度较术前明显增加(图7)。

面照;B:术后10个月26颊面照;C:术后4年26
面照;D:术后4年26颊面照;E:术后5年26
面照;F:术后5年26颊面照;G:术后5年牙列正面照
面照;B:术后10个月26颊面照;C:术后4年26
面照;D:术后4年26颊面照;E:术后5年26
面照;F:术后5年26颊面照;G:术后5年牙列正面照

术后2年CBCT示:26根尖部分切除,形态平钝,根管倒充填致密;根尖区骨密度较术前明显增加,但其上方至左侧上颌窦底壁以及颊侧骨皮质仍见缺损(图8A、图8B)。术后4年与术后5年CBCT影像表现基本同术后2年(图8C,图8D,图8E,图8F)。


26根尖区骨密度较术前明显增加,但根尖区颊侧骨皮质连续性部分中断,根据Penn影像学分类属于有限愈合。一般认为,无临床症状,并且影像学分类为完全愈合或有限愈合者,可视为成功。故本病例最终评价为成功。其上方至左侧上颌窦底壁存在骨质缺损,考虑为左上颌窦炎行左上颌窦根治术的术后表现。
根尖囊肿是一种牙源性的炎症性的颌骨囊肿,是颌面部常见的良性病变。根尖囊肿根据囊腔与根管系统的关系,可分为2种类型:①袋状囊肿:囊腔与根管系统相通;②真性囊肿:有完整的上皮细胞衬里,囊腔与根管系统不相通。迄今为止,没有临床或影像学的诊断方法可以可靠地鉴别根尖肉芽肿和根尖囊肿,更不用说鉴别袋状囊肿和真性囊肿了。根尖周病变诊断的金标准仍然是组织学检查。文献报道,对影像学检查认为是根尖囊肿的病例行根管治疗,成功率约为75%[2]。有的学者认为,袋状囊肿行根管治疗的效果良好,而真性囊肿行根管治疗的效果不佳,因为其可能处于一个自我维持的状态,不受根管感染的影响。然而,有的学者认为,袋状囊肿与真性囊肿均为炎症性质,而非肿瘤性质,如果行根管治疗的效果不佳,那么其原因是根管内感染和(或)根管外感染持续存在[3]。
根尖周病是根管系统内的微生物感染引起的炎症性改变,可能伴随根管外感染,根尖囊肿的治疗关键是控制感染。根管内感染的治疗方法主要为非手术治疗(如根管治疗)和显微根尖手术治疗。当根管治疗失败后,应仔细分析失败的可能原因:①若存在遗漏根管、充填不致密、未到达工作长度等明显的可纠正问题时,首选非手术根管再治疗;②若根管充填质量尚可,未发现明显问题时,可先行非手术根管再治疗,若失败再行显微根尖手术治疗,此时可能存在根管解剖复杂性(侧支根管、根尖分歧、根管峡区等)或者根管外感染(放线菌病、根管内感染扩散形成根管外生物膜等)等问题;③若存在根管严重钙化、根管重度弯曲、器械分离、根管超充等情况时,非手术根管再治疗无法保证清除感染并严密充填根管,应考虑行显微根尖手术治疗。
本病例中,26行根管治疗和两次根尖囊肿刮除术后,根尖区仍存在大面积低密度影(13 mm×10 mm×8 mm),并且MB2根管钙化未进行充填。故考虑26根尖囊肿复发与根尖区持续存在感染有关。鉴于钙化根管难以从冠方入路行完善的根管治疗,故行26显微根尖手术彻底控制感染,封闭根尖,并刮除囊肿组织。回顾病例病程,26经两次外科根尖囊肿刮除术后未见明显疗效,经显微根尖手术治疗后随访5年,患者无明显自觉症状,影像学检查示根尖区骨密度较术前明显增加。由此可见,对于根尖囊肿而言,单纯的囊肿刮除术是治标不治本,其根本在于控制感染来源。显微根尖手术能同时清除根管内感染和根管外感染,并严密封闭根尖,为根尖周病变创造良好的愈合条件。显微根尖手术的成功要素有很多,如:①使用显微镜、内窥镜等高度放大器械,可以为术者提供良好的视野;②切除3 mm的根尖段,能够去除绝大多数的解剖变异以及根管外生物膜;③使用超声技术进行倒预备,能够有效清除根管内的感染物质;④生物陶瓷类倒充填材料不仅可以严密封闭根尖孔,而且具有生物相容性好、诱导根尖周组织再生、抗微生物等优良性能。
值得注意的是,当根尖囊肿邻近或侵犯重要解剖结构时,需要牙体牙髓病科与口腔颌面外科的密切合作。例如:①上颌根尖囊肿引起慢性上颌窦炎,可行囊肿刮除术和上颌窦根治术;②上颌根尖囊肿造成上颌窦骨壁大范围破坏者,可行囊肿刮除术和自体骨移植[4];③大范围根尖囊肿导致颌骨病理性骨折者,需行囊肿刮除术和开放复位坚固内固定术[5]。
随着引导性组织再生术(Guided Tissue Regeneration, GTR)在牙周手术中促进牙周组织(牙骨质、牙周膜和牙槽骨)再生的作用被广泛认可,许多学者研究GTR技术在显微根尖手术中促进术区愈合的作用[6,7,8,9]。虽然GTR技术在显微根尖手术中的作用尚存在争议,但是许多研究表明,GTR技术可以促进显微根尖手术的骨缺损愈合,特别是对于大型骨缺损(直径>10 mm)和贯通性病变[10]。本病例的骨缺损范围为13 mm×10 mm×8 mm,最大径>10 mm,术中使用骨粉与胶原膜,获得良好效果。
根尖囊肿是一种牙源性的炎症性的颌骨囊肿,是牙体牙髓病科与口腔颌面外科的工作范畴的交叉点,牙周GTR技术有利于术区的组织再生,这与OMDT理念不谋而合。已有文献报道结合OMDT模式处理根尖囊肿,如一例大范围的21根尖囊肿,先行21、22、23根管治疗,再于全身麻醉下行囊肿刮除术和21、22、23根尖切除术,并于缺损处置入富血小板纤维蛋白及髂骨移植物,术后3个月X线片示左上前牙根尖区骨密度明显增加[11]。多学科诊疗(Multidisciplinary Team,MDT)是以患者为中心,针对特定疾病组建多学科团队,为患者提供规范化、个性化、高质量、高效率的医疗服务的临床诊疗模式,是生物-心理-社会医学模式的延伸。OMDT在临床医学MDT的背景下逐渐萌生,是口腔医学发展的必然趋势。OMDT为口腔疑难疾病的诊疗提供了新的思路和途径,通过多学科相互交流,促进各学科在诊断和治疗理念上达成共识,为患者提供"高精尖"的口腔医疗服务。
综上所述,根尖囊肿的治疗方法主要为根管治疗和显微根尖手术,口腔颌面外科手术有助于治疗颌面部受累结构,GTR技术有助于改善骨缺损愈合。这提示我们,在根尖囊肿的治疗中应结合OMDT模式,全面评估病变情况,多角度思考治疗需要,在必要时开展多学科联合治疗,以最大限度地维护患者口颌系统的健康。
所有作者均声明本研究不存在利益冲突





















