
患者,女,54岁,牙龈出血,口腔有异味1年。
患者自述1年来牙龈出血,口腔有异味,出血量中等,易自止,于外院洁治两次后牙龈仍然出血,口腔内有异味,上颚肿胀不适。每年进行1次定期洁治,未行牙周系统治疗,每天刷牙3次,竖刷,使用牙线及牙间隙刷。
全口临床检查,影像学检查。
牙周基础治疗,26行根管治疗后冠修复。
12年后复查时,口腔卫生状况良好,牙龈色偏粉,全口探诊4~6 mm,后牙区个别位点7~9 mm,探诊出血阳性率和PD≥5 mm百分比均下降,全景片显示牙槽嵴顶骨白线清晰、连续。
牙周科;口腔科
版权归中华医学会所有。本文为遵循CC-BY-NC-ND协议的开放获取文章。
牙周炎是一种由菌斑微生物所引起的牙周支持组织的慢性感染性疾病,可导致牙周支持组织的炎症和破坏,牙龈的炎症和出血、牙周袋形成、进行性附着丧失及牙槽骨吸收,在进展的晚期常常会引起牙齿松动、移位甚或牙齿丧失等,是我国成年人牙齿丧失的首位原因[1]。慢性牙周炎的起病和发展非常缓慢,自觉症状不明显,常不被患者重视。很多患者只有当牙龈出血严重,甚至出现牙齿松动、牙龈红肿才来就医[2]。随着年龄增长,疾病严重程度增加。本文介绍了1例慢性牙周炎经牙周基础治疗后主诉症状消失,为中重度牙周炎的牙周基础治疗提供一定经验。
患者,女,54岁,因"牙龈出血,口腔有异味1年"于2009年4月14日来山西医科大学口腔医院就诊。患者自述1年来牙龈出血,口腔有异味,出血量中等,易自止,于外院洁治两次后牙龈仍然出血,口腔内有异味,上颚肿胀不适。每年进行1次定期洁治,未行牙周系统治疗,每天刷牙3次,竖刷,使用牙线及牙间隙刷。既往史无特殊,家族史无特殊。
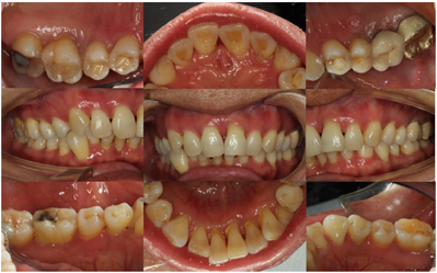
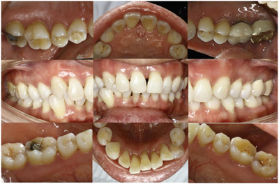
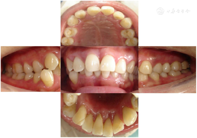
全口临床检查:口腔卫生状况一般,菌斑、软垢少量,下前牙舌侧可见新生牙石,龈下牙石(++)。牙龈色偏红,肿胀,形态圆钝,质软,尤以下前牙舌侧为重,出血指数3~4。全口牙齿探诊深度(PD)5~7 mm,个别位点8~9 mm。全口牙齿均可探及附着丧失,21、24、25、41、43松动I~Ⅱ。46合面金属色充填体,27烤瓷冠复体,近中悬突,可见食物嵌塞,叩痛(-)。咬合关系深覆合,下前牙多生牙,下前牙区拥挤,43位置颊倾,反合,见图1,图2,图3。






本例患者诊断为中重度慢性牙周炎(Ⅲ期C级)[3]。
采用牙周风险评估系统(periodontal risk assessment, PRA)评估患者属于高复发危险度(图4)[4]。


根据牙槽骨吸收程度、PD、附着丧失、松动度、FI等情况,进行个别牙预后判断。16,12~22,26,32~42预后可疑;15预后中等,余牙预后良(图5)。患者全口牙齿存在中重度骨吸收,整体预后中等。


牙周基础治疗、牙周手术治疗、正畸治疗和牙周支持治疗。
牙周基础治疗:①口腔卫生宣教(oral hygiene instruction,OHI);Bass刷牙法,正确使用邻面清洁工具;②洁治、刮治+根面平整(scaling and root planning, SRP);③27重新冠修复(患者拒绝);④拔除18、38、48;⑤SRP4比12周后再评估。牙周手术治疗:36~37,46比47邻面垂直型骨吸收酌情考虑植骨术或引导组织再生术。正畸治疗:拔除下前牙多生牙,正畸排齐牙齿,调整咬合关系(患者拒绝正畸治疗)。牙周支持治疗:每3比6个月定期牙周维护,行预防性洁治及必要的刮治及根面平整,保持长期牙周健康。
2009年4月14—28日完成牙周基础治疗。患者自觉症状明显改善,于外院行定期牙周洁治(6年)。
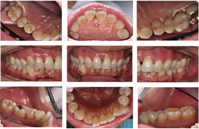
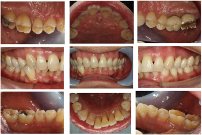
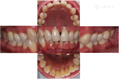
2016年6月1日后复查:口腔卫生状况一般,菌斑、软垢少量,龈下牙石(+-++)。牙龈色稍红,肿胀,形态稍圆钝,质软,出血指数3~。全口牙齿探诊深度(PD)4~6 mm,个别位点7~8 mm,较前略有改善。龈退缩2~3 mm,32~42Ⅰ~Ⅱo松动。48牙冠周围软垢较多,颊侧附着龈缺如(图6,图7,图8,图9,图10)。26远中龋坏,探诊敏感,冷热测激发痛,叩痛(-)。










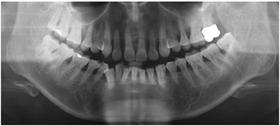
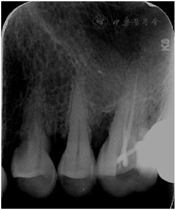
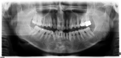
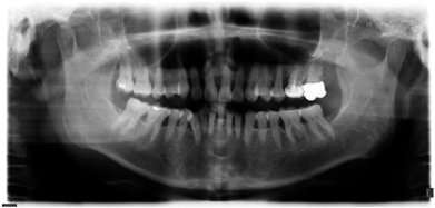
全口影像学检查:12~22、25~26、34~36、45~46牙槽骨吸收进一步加重,但下颌出现骨白线,26远中冠部低密度影像近髓腔,根尖周无低密度影像。
补充诊断:26慢性牙髓炎。
治疗计划:26行根管治疗后冠修复;OHI+SRP;拔除48;SRP4~12周后再评估。




治疗过程:OHI+SRP;SRP4-12周后再评估。


















患者要求先行牙周基础治疗,暂缓进行手术治疗。患者7年进行复查后,每年进行复查并进行牙周维护治疗,包括个性化OHI、预防性洁治以及刮治、根面平整。
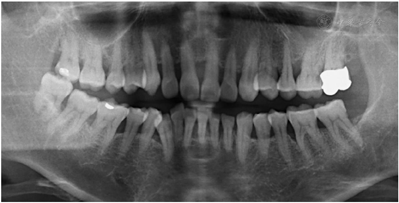
12年后复查时,口腔卫生状况良好,牙龈色偏粉,全口探诊4~6 mm,后牙区个别位点7~9 mm,探诊出血阳性率(89.3%比55.3%)和PD≥5 mm(38.6%比24.4%)百分比均下降,全景片显示牙槽嵴顶骨白线清晰、连续。
完善的牙周基础治疗可以控制绝大多数的牙周炎症,在重度牙周炎的病例中,也可获得良好的治疗效果[5,6]。本病例中经过12年的治疗,影像学显示牙周状况稳定,但对于后牙区垂直型骨吸收应尽早进行牙周手术治疗;另一方面考虑26烤瓷冠对邻面骨吸收的影响。
规范系统的牙周治疗可以消除牙周组织炎症,阻止进一步的附着丧失和骨丧失,然而牙周治疗并非一劳永逸的,如何长久地维护牙周组织健康是牙周医生和患者共同面临的难题。长期控制牙周炎症既需要医生定期为患者彻底清除龈上和龈下菌斑,也需要患者进行仔细的自我口腔卫生维护。事实证明,菌斑控制不理想的患者中,牙周炎的进展速度显著更快,牙周治疗后发生附着丧失也是不可避免的。因此临床医生在治疗过程中需要不断强化患者的口腔保健意识,建立良好口腔卫生习惯,督促其进行良好的自我菌斑控制及规律的牙周定期维护,以利长期维持牙周健康[7]。
本病例中患者有良好的口腔卫生习惯,Bass刷牙法、牙线和牙间隙刷的使用。随着年龄的增长,患者自我菌斑控制的能力下降,应缩短患者复查时间。
临床工作中,患者经过积极治疗后,症状消失,病情明显好转,他们往往认为病已彻底治愈,不愿定期复查。完全依存的患者人数随基础治疗后时间的延长而减少。国外资料显示,依存性为41%~72%。28%的患者并不依存首次维护治疗;能自觉坚持复查的只占患者的16.4%;有34.1%的患者从不复查,这些患者的复发率高,失牙率高3倍[8,9]。我国的现状更为严峻,能复查的患者更少,再次就诊一般是牙龈肿胀更严重或是牙齿松动脱落。只有激发患者本人的主动需求感,才能获得长期的高质量菌斑控制,保持牙周组织健康。
本病例中患者在经过1轮完善的牙周基础治疗后症状明显改善,自此于外院门诊行长达7年的洁治术。与7年前相比,可见牙槽骨有明显的降低。之后每年定期进行牙周维护治疗,可见牙槽骨硬骨板出现,连续。
该病例历经12年的牙周随访治疗,影像学显示牙槽骨维持稳定,患者16、26、36、46仍可探及深牙周袋,与患者反复沟通后,考虑行引导组织再生术以期获得牙周组织再生。
本研究所有作者均声明不存在利益冲突





















