
患者,男性,85岁,以"外伤后下肢活动受限4个月余"之代诉入院,当地医院针对外伤治疗期间并发肺部感染,行气管切开,吞咽困难、鼻饲管置管,后外院行"左侧股骨头置换术",遗留左下肢活动受限,不能独自维持坐位、不能站立行走,左腕部活动疼痛,气管切开状态,仍有咳嗽、咳痰,鼻饲管置管,大便肠造瘘状态收住我科。
消瘦,鼻饲管置管状态,颈正中可见气管造口,金属套管置入。双肺呼吸音粗,双肺底散在湿啰音。左下腹可见肠造瘘口,造瘘口周围组织红润,造瘘袋内可见黄色粪便。左髋关节被动屈曲ROM 0~70 °。神志清楚,言语不能(气管切开状态),吞咽障碍,高级智能减退,颅神经查体大致正常。左上肢近端肌力Ⅳ+级,远端Ⅲ级,左下肢肌力Ⅱ级。右上肢肌力V-级,右下肢肌力Ⅲ级。双下肢肌肉萎缩,左下肢为著。四肢肌张力正常,腱反射活跃对称,双病理征阴性。双上肢指鼻不准,双下肢跟膝胫试验不能完成。Romberg征不能完成。小便正常,大便肠造口状态。
依据临床症状及影像学检查、实验室检查、量表评估,同时以ICF为框架进行综合康复功能评估。得出临床诊断、功能诊断。
予感染、化痰、抗抑郁等对症药物治疗。依据康复评估结果给予综合康复治疗,针对顽固性低氧血症,血D2-二聚体:12810.00 ng/ml,CTPA显示肺动脉分支栓塞,双下肢静脉彩超:双下肢静脉血栓形成。加用抗凝药物治疗,予佩戴说话瓣膜。
经综合治疗后患者肺部感染控制,可耐受封堵气管套管4 h,无明显气管症状;可完成床上翻身,部分辅助下卧坐转移;坐位平衡能力达3级;看护下助行架辅助下完成室内短距离步行。
康复医学科
版权归中华医学会所有。本文为遵循CC-BY-NC-ND协议的开放获取文章。
跌倒综合征:高龄老年人(≥80岁)由于肌力、平衡功能减退,步态不稳等因素,很容易发生跌倒。跌倒不但可通过骨折引起卧床不起,且可产生心理损伤,恐惧再次跌倒,逐渐减少活动,体质更加衰弱,更易跌倒的恶性循环。误用综合征:指由于治疗或康复不当导致卧床不起。本例高龄患者85岁,因跌倒骨折后外院手术治疗后患者出现跌倒综合征、误用综合征,致长期卧床,产生多种并发症,于我科住院期间通过及时、正确、全面康复治疗避免了人为卧床不起的发生。伴随我国人口老龄化帷幕的拉开,高龄患者跌倒综合征、误用综合征的识别、避免及诊治变的越发重要。
患者,男性,85岁,以"外伤后下肢活动受限4个月余"之代诉于2021年1月19日收住我科。
家属诉4个月余前行走时不慎被汽车撞倒在地,出现左侧髋部疼痛、活动受限,当时未有意识丧失,就诊于汉中市中心医院行X线检查示"左尺骨桡骨远端骨折,左股骨颈骨折",给予对症支持治疗,住院期间出现咳嗽、咳痰,吞咽困难,胸片"两肺中下野炎症可能,双侧少量胸腔积液",给予鼻饲饮食、气管切开、抗感染治疗,期间曾使用呼吸机。3个月前转至西安交大一附院骨科行"左侧股骨头置换术",术后一直于该院康复科行康复治疗。遗留左下肢活动受限,不能独自维持坐位、不能站立行走,左腕部活动疼痛,气管切开状态,仍有咳嗽、咳痰,体温正常,患者为行进一步康复治疗收住我科。患者自发病以来,神志清,精神欠佳,鼻饲饮食,夜修尚可,小便如常,大便肠造瘘状态,性质、量正常。
既往史:2年余前因排便不畅使用工具辅助排便时损伤肠道,行"肠造瘘术";否认高血压、冠心病、糖尿病等慢性病史,否认肝炎、结核、伤寒、疟疾等传染病史,否认输血史,否认药物、食物过敏史。预防接种史不详。
个人史:生于原籍,无外地久居史,否认疫区,疫水接触史,否认特殊化学品及放射性物质接触史。无吸烟饮酒等不良嗜好。
婚育史:适龄婚育,育有2子1女,配偶及子女体健。
家族史:否认家族中有类似疾病史,否认家族性精神病、肿瘤病、遗传性疾病病史。
查体:体温36.1 ℃,脉搏84次/min,呼吸21次/min,血压132/91 mmHg(1 mmHg = 0.133 kPa)。消瘦,鼻饲管置管状态,颈正中可见气管造口,金属套管置入。双肺呼吸音粗,双肺底散在湿啰音。左下腹可见肠造瘘口,造瘘口周围组织红润,造瘘袋内可见黄色粪便。左髋关节被动屈曲ROM 0~70 °。神志清楚,言语不能(气管切开状态),吞咽障碍,高级智能减退,颅神经查体大致正常。左上肢近端肌力Ⅳ+级,远端Ⅲ级,左下肢肌力Ⅱ级。右上肢肌力V-级,右下肢肌力Ⅲ级。双下肢肌肉萎缩,左下肢为著。四肢肌张力正常,腱反射活跃对称,双病理征阴性。双上肢指鼻不准,双下肢跟膝胫试验不能完成。Romberg征不能完成。小便正常,大便肠造口状态。
功能评估:(1)饮水实验:3级;染料实验:阳性。(2)转移活动:左侧至右侧需辅助,右侧至左侧需辅助;卧坐转移:依赖;床椅转移:依赖;行走:不能完成;从地上捡起物品:不能完成。(3)平衡能力:坐位平衡2级;站位平衡0级。(4)ADL:20分(进食0分,转移5分,修饰0分,如厕0分,洗澡0分,行走0分,上下楼梯0分,穿衣5分,大便控制0分,小便控制10分)。
康复短期目标:(1)少量辅助下可完成床上翻身、卧-坐转移活动;(2)改善呼吸模式,提高肺活量,提高膈肌力量改善呼吸功能;(3)坐位平衡达二级;(4)提升运动耐力,延长训练时间。
康复长期目标:(1)一人辅助下借助助行器可完成室内短距离步行;(2)监护下完成床上翻身、卧-坐转移活动,提高步行距离。
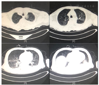
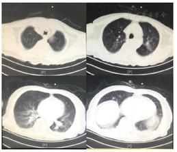
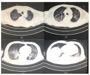
患者医学影像学检查如图1,图2,图3,图4,图5,图6,图7,图8所示,实验室检查结果如图9,图10,图11所示。






















初步诊断:(1)左侧股骨颈骨折;(2)左髋关节置换术后;(3)肺部感染,气管造口状态;(4)左侧尺骨骨折;(5)左侧桡骨骨折;(6)肠造瘘术后;(7)轻度贫血;(8)低蛋白血症。
功能诊断:(1)认知功能障碍;(2)构音障碍;(3)吞咽障碍;(4)呼吸功能障碍;(5)平衡功能障碍;(6)步行功能障碍;(7)左髋关节活动受限;(8)情绪障碍;(9)日常生活完全依赖。
患者外伤后左侧股骨颈骨折,结合外伤史及临床影像学资料左侧股骨颈骨折诊断明确,患者高龄,骨折后卧床,因外院住院期间未行康复早期介入,患者出现肺部感染,行气管切开术,气管插管状态,身体衰弱,且患者高龄头颅CT示:脑萎缩,脑白质变性,双侧基地节区多发腔隙性脑梗死,患者脑功能减退,外院住院期间出现吞咽障碍,鼻饲管置管,入住我院后康复治疗合作差,患者时常拒绝康复治疗,且情绪低落,依据整体病情演变结合病史及临床症状、影像学及实验室检查患者诊断明确。
入院后完善相关检查,并给予感染、化痰、抗抑郁等对症治疗。以ICF为框架进行综合康复功能评估。
(1)关节活动度:左手第一掌指关节(完全受限);颈椎、胸椎、腰椎活动均受限;双肩关节活动受限:(L:肩前屈PROM:0~80 °AROM:0~60 °。R:肩:前屈PROM:0~100 °AROM:0~80 °)。(2)左下肢髋关节活动受限:(髋:前屈:PROM:0~40 °AROM:0~20 °外展;PROM:0~25 °AROM:0~15 °)(3)肌张力:背部肌群张力较高。感觉:正常。肌力:L:肩:Ⅳ-级,肘:Ⅳ-级,手:Ⅲ级。R:整体Ⅳ +级。L:髋:Ⅲ-级,膝:Ⅱ级,踝:Ⅱ级。R:Ⅲ+级。平衡功能:坐位一级、站位零级。ADL:完全依赖。膈肌参与度较差(徒手评估膈肌——肋部;肋缘部;剑肋区域)。胸廓扩张度较差。咳嗽效能评级:1级:咳嗽时有气流音,但无咳嗽音。痰液性状评级:P1:1/3肉眼可见脓痰,2/3粘液痰。训练不耐受:训练过程氧饱和度维持在85%左右,吸氧3 L/min,氧饱和度维持在90%左右。步态分析:站位平衡零级,暂无独立步行能力。
(1)依据康复评估结果给予综合康复功能训练:大关节传统粘连松解术、平衡功能训练、有氧训练、等速肌力训练、呼吸训练、电子生物反馈治疗、低频脉冲电治疗、超声波治疗、磁热疗法、电针、电动起立床训练、吞咽功能障碍训练、认知功能障碍训练、经颅直流电治疗等。(2)训练重点:改善双肩及髋关节活动度,牵伸背部肌群,增强耐力,呼吸模式改肋间肌放松,膈肌力量训练,咳嗽训练、提高坐位平衡功能训练及坐站转移安全性,床上辅助翻身、坐起活动训练。
2021年3月24日患者出现顽固性低氧血症,血D2-二聚体:12810.00 ng/ml,CTPA显示肺动脉分支栓塞,双下肢静脉彩超:双下肢静脉血栓形成。加用抗凝治疗,调整康复治疗方案:(1)吸氧,监测血氧饱和度下完成康复训练项目;(2)依据患者耐受调整康复训练项目;(3)加强床旁呼吸功能训练。经上述治疗后,患者血氧饱和度有所上升,痰量有所下降,吸痰次数减少。结合患者肺部状况改善的情况给予佩戴说话瓣膜,约4 h/d,同时行语音训练,患者发音逐渐较前稍清晰,痰液可经口咳出,但仍有大量痰液瘀滞于咽部,需要辅助清除,血氧饱和度为85%~95%。2021年5月11日突发寒战、高热、皮肤花斑、咳嗽、大量咳痰,氧饱和度下降至60%。血象、感染相关指标升高;胸部CT:双肺炎症较前加重,双肺间质性病变;支气管三维重建:气管、支气管内分泌物,下叶各段支气管开口显示不清;痰培养:铜绿假单胞菌。经美罗培南抗感染治疗,并加强化痰、气管管理,加强翻身、拍背、排痰宣教后,患者未有发热,咳嗽、咳痰较前好转、感染指标正常;复查支气管三维重建:气道结构通畅;指脉氧饱和度:88%~97%。
关节活动度:左手第一掌指关节(完全受限);颈椎、胸椎、腰椎活动均受限。双肩关节活动受限(L:前屈PROM:0~100°AROM:0~60°R:肩:前屈PROM:0~120 °AROM:0~80 °)。左下肢髋关节活动受限(髋;前屈:PROM:0~50 °AROM:0~20 °外展;PROM:0~25 °AROM:0~15 °)。肌张力:背部肌群张力仍较高。感觉:正常。肌力:L:肩:Ⅳ-级,肘:Ⅳ-级,手:Ⅲ级。R:整体Ⅳ+级。L:髋:Ⅲ-级,膝:Ⅱ级,踝:Ⅱ级。R:整体Ⅲ+级。平衡功能:坐位二级、站位零级。ADL:完全依赖。膈肌活动较好转(徒手评估膈肌—肋部;肋缘部;剑肋区域)。咳嗽效能评级:3级:可听到明显咳嗽音(1~>3)。痰液性状评级:M2:大部分粘液状液体,肉眼可见白脓痰(P1~>M2)。训练可耐受:氧饱和度维持在90%以上,偶有低于90%,但恢复90%以上较快。步态分析:一人辅助下可完成室内两点步行,重心偏向躯干前方,双下肢摆动期屈髋屈膝不充分,支撑期伸髋不充分,步行时左髋外旋;步长缩短,步宽增大,步速减慢。
(1)综合康复治疗:运动疗法;关节活动训练;关节松动训练;吞咽训练;气道廓清技术;主动循环呼吸技术;呼吸训练;耐力训练;平衡功能训练;步行训练;针灸;低频脉冲电疗;电子生物反馈疗法;吞咽功能障碍训练、认知功能障碍训练、经颅直流电治疗等。(2)训练重点:持续改善双肩及髋关节活动度,继续增强耐力,继续呼吸肌训练,提高站位平衡及重心转移能力,辅助坐起活动及助行器步行训练。(3)康复目标:1)患者及家属目标:可独立行走,经口进食,能进行简单交流,日常生活自理。2)短期目标:监护下可完成床上翻身、卧-坐转移活动;掌握自主循环呼吸控制,强化咳嗽训练,提高呼吸相关肌群力量;坐位平衡达3级。3)长期目标:一人监护下借助助行器可完成室内步行。
经临床及综合康复治疗后患者肺部感染控制,可耐受封堵气管套管4 h,无明显气管症状;可完成床上翻身,部分辅助下卧坐转移;坐位平衡能力达3级;看护下助行架辅助下完成室内短距离步行。
高龄85岁患者,因碰撞致摔倒左侧股骨颈骨折,出现跌倒综合征,且早期外院诊疗期间未有康复早期介入出现多种并发症,入住我科后针对患者的肺功能、认知功能、运动功能、吞咽功能等行全面评估及临床症状的全面检查,依据评估结果及影像学实验室检查结果给予全面诊疗。肺部经美罗培南抗感染治疗,并加强化痰、气管管理,加强痰液体位引流、翻身、拍背、排痰宣教、肺功能训练等,患者未有发热,咳嗽、咳痰较前好转、感染指标正常;复查支气管三维重建:气道结构通畅;指脉氧饱和度:88%~97%。经综合临床及康复治疗后患者肺部感染控制,可耐受封堵气管套管4 h,无明显气管症状;可完成床上翻身,部分辅助下卧坐转移;坐位平衡能力达3级;看护下助行架辅助下完成室内短距离步行。
该病例为1例高龄85岁患者外力致摔倒后左侧股骨颈骨折,早期未重视患者跌倒综合征、误用综合征的问题,未及时康复治疗全面介入,患者出现多种并发症,严重影响了患者的生活质量,外院行左髋关节置换术后仍遗留肺部感染、气管造口状态、鼻饲饮食、肢体活动障碍,收住我科。在我科经全面临床与功能的评估后给予全面综合的临床及康复诊疗,患者一般情况及肢体功能均较前好转。结合该病例病情演变过程提示注意跌倒患者的早期心理干预及全面正确的临床及康复干预对高龄患者并发症的预防、运动功能的恢复及避免人为长期卧床均至关重要,可极大程度的保证高龄患者的生活质量。
该病例中患者整体功能得到改善,达到了患者及家人的目标,但患者仍有继续康复治疗的必要性,继续康复治疗的难点和下一步康复治疗方案值得进一步探讨,患者肺功能差,肺栓塞,痰液清除能力差,血氧饱和度波动在88%~97%,并且存在误吸和吞咽功能障碍,依据气管拔管指标,目前患者不满足拔除气管套管的指标,下一步康复治疗方案进一步加强气道廓清技术、改善呼吸功能为主,促进呼吸功能恢复,为拔除气管套管做准备。针对吞咽困难,气管插管影响吞咽相关结构,且长期鼻饲饮食、从未经口进食,也会导致患者的吞咽失用。并且患者存在认知功能减退,合并情绪障碍,不与外界交流,生活质量极低,康复治疗配合程度差。针对颅脑情况继续改善患者的认知、情绪问题。继续加强对患者外界刺激输入,重燃患者生存的希望和信心。在确保吞咽安全的情况下吞咽训练时加入食物训练,令患者再次品尝到自己熟悉并喜爱的味道,提升配合治疗的意愿,避免在摄食训练时误吸的发生。引导患者家属多与患者沟通,鼓励患者增强康复的信心。实现ICF全面评估全面康复,避免高龄患者人为卧床,提高高龄患者的生活质量。
所有作者均声明本研究不存在利益冲突





















