
患者,男性,53岁,因"左胸痛、气促半个月"入院。
体检仅发现左下肺呼吸音稍减弱,颈部浅表淋巴结无肿大,无其他阳性体征。
胸部CT提示双侧少量胸腔积液(左侧较多)、纵隔及腋窝淋巴结肿大。予支气管镜检查并在超声实时引导下行纵隔淋巴结针吸活检,病理未能明确诊断,随后便予超声引导下经皮胸膜活检,病理确诊为小B细胞淋巴瘤。
予泽布替尼治疗后患者症状改善,复查发现胸腔积液吸收,且纵隔淋巴结明显缩小。
患者总体治疗效果佳,并无明显不良反应,现继续密切随访中。
呼吸与危重症医学科;血液科;影像科;病理科
版权归中华医学会所有。本文为遵循CC-BY-NC-ND协议的开放获取文章。
胸腔积液是呼吸科常见病,导致胸腔积液的病因繁多,临床上以肺炎旁积液、结核性胸膜炎、结缔组织病、肺癌胸膜转移、胸膜间皮瘤等多见。现报道1例以胸腔积液为主要表现的淋巴瘤患者,以提高临床医师在诊治胸腔积液过程中对特殊类型淋巴瘤侵及呼吸系统的认识。
患者男,53岁,因"左胸痛、气促2周"于2020年11月29日入院。患者2周前无明显诱因出现左前胸阵发性隐痛,与呼吸相关,伴轻微活动后气促。胸部CT提示:双下肺炎,纵隔及腋窝稍大淋巴结,双侧胸腔积液及胸膜增厚;外院予抗感染(口服头孢类抗生素)无好转。起病后,患者无发热、咳嗽、咳痰、咯血、盗汗、消瘦等症状。患者无职业相关危险因素接触史,既往无特殊疾病史,不嗜烟酒,未接触放射性毒物。无药物过敏史,家族史、婚育史无特殊。
入院时体检:体温36.3℃,脉搏78次/分,呼吸20次/分,血压122/74 mmHg(1 mmHg = 0.133 kPa),外周SpO2(吸空气下)98%;颈部浅表淋巴结未触及肿大。呼吸节律规整,双肺叩诊清音,双肺呼吸音清,左下肺呼吸音稍减弱,未闻及干湿性啰音。心腹及四肢体查无异常。
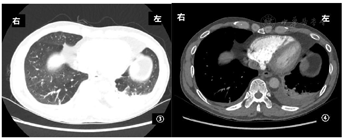
血气分析示:pH值7.394,PaO2:71.2 mmHg,PaCO2:40.1 mmHg,HCO3-:24 mmol/L;血白细胞:13.40×109/L,以淋巴细胞增加为主[中性粒细胞5.5×109/L(0.410),淋巴细胞6.5×109/L(0.485)],血红蛋白137 g/L,血小板288×109/L。肝肾功能、二便常规、凝血功能及D-二聚体未见异常;乳酸脱氢酶(LDH)164.3 U/L;红细胞沉降率97 mm/1 h,C反应蛋白0.87 mg/dL;其余感染相关抽血指标(降钙素原、血EB病毒DNA、T-Spot、G试验、GM试验均阴性;痰细菌学相关指标(细菌、真菌涂片及培养,抗酸杆菌涂片及结核杆菌DNA)均阴性;血肿瘤指标提示:CA125增高(77.5 U/mL),其余神经元特异性烯醇化酶(NSE)、癌胚抗原、CA153、TPS、FPSA均阴性;抗核抗体增高,效价为1∶100(核颗粒型);抗核抗体谱抗组蛋白抗体弱阳性,余项均阴性;ASO、类风湿因子、血管炎指标均阴性;血IgM 12.2 g/L、补体C3:0.735 g/L、补体C4:0.114g/L,IgG、IgA均正常范围内;免疫固定电泳显示免疫球蛋白Kappa弱阳性、IgM弱阳性,IgG、IgA及Lamda均阴性;血清蛋白电泳:白蛋白为47.8%、γ-球蛋白为28.1%;2020年12月1日胸部CT(图1,图2)提示双肺多发实性小结节影(大小3~5 mm),双侧胸腔少量积液,纵隔多发增大淋巴结,肺动脉造影未见异常。




超声提示胸腔积液量少未能定位穿刺;浅表淋巴结彩超:双腹股沟及双颈部多发肿大淋巴结,最大约7~9 mm×15~19 mm,双侧腋窝超声未见肿大;经外科评估无法淋巴结活检。心脏彩超无异常,腹部彩超提示肝脾不大,余无异常。正电子发射计算机断层扫描(PET-CT):两肺门、纵隔、肝门区、腹膜后多发淋巴结增大,最大者14 mm×18 mm,SUVmax:10.1。双侧胸膜增厚,右侧胸膜多发小结节,双侧胸腔少量积液。
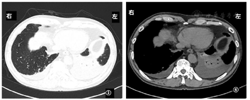
因患者拒绝有创检查,遂先予抗感染(左氧氟沙星0.5 qd静脉滴注)7 d。至2020年12月8日复查胸部CT(图5,图6)提示病情进展,双肺多发实性小结节影较前增多,两下肺渗出及胸腔积液增多。


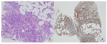
再次劝说患者行有创检查,并经患者同意后于2020年12月8日气管镜检查,为排查有否特殊病原体感染,送检(左下基底段)BALF抗酸杆菌、TB-DNA、Xpert、分枝杆菌DNA、细菌、真菌、结核菌培养、曲霉菌抗原、隐球菌抗原均阴性;7组淋巴结活检见破碎淋巴样组织、组织细胞,PAS、GMS、抗酸染色均(-),未见肉芽肿及肿瘤。行B超引导下左胸腔穿刺及胸膜活检。送检胸腔积液为黄色,稍浑浊、李凡他试验阳性、潘氏试验阳性、白细胞计数913×109/L、红细胞计数13 687×109/L、单个核细胞比例96%、葡萄糖8.09 mmol、总蛋白49.4 g/L,LDH 210.6 U/L,ADA 9.20 U/L;考虑为渗出液;抗酸杆菌涂片、TB-DNA、细菌+真菌+结核菌培养、病原学宏基因高通量测序均阴性;CA125(明显增高)1 146 U/mL,癌胚抗原、CA153阴性;未见肿瘤细胞。左胸膜病理:符合惰性小B细胞淋巴瘤,免疫组织化学示:CD20(+),CD21(滤泡树突状网破坏),CD3(-),CD10(-),bcl-6(-),bcl-2(+),CD5(+),Cyclin D1(-),p53(个别阳性),MUM1(少量+),CD79α(+),C-MYC(-),Ki-67(10%+),CD38(少量阳性),CD30(-),CD19(+),CD22(+),CD23(滤泡树突状网破坏)。原位杂交结果:EBER阴性(图7,图8)。


骨髓穿刺及骨髓活检示增生稍活跃,粒红比例大致正常,粒红系增生以中晚幼阶段为主,巨核系可见,以成熟分叶核为主,另见少许小淋巴样细胞聚集灶,考虑CD5阳性CD10阴性的B细胞淋巴瘤累及骨髓。骨髓流式细胞术检测:可见CD5部分阳性、CD10阴性的单克隆B淋巴细胞,占有核细胞13.51%。荧光原位杂交(FISH)结果:Rb1/ATM/P53/13q14缺失阴性,CEN12三体阴性,CCND1/IgH重排阴性,IgH重排阳性,API2/MALT重排阴性,染色体为46,XY,+4,-19。
最终诊断:慢性淋巴细胞白血病/小B细胞淋巴瘤(Ⅳ期A),累及胸膜、骨髓。因患者有胸腔积液、全身多发淋巴结肿大故需与结核、结节病相鉴别,但经检查未有结核感染的血清学及病原学依据,同时病理中未见肉芽肿病变,故结核性胸膜炎、结节病均可排除。
患者于2020年12月29日开始使用口服泽布替尼(160 mg bid口服)治疗,无明显不良反应,予出院,门诊随访,定期监测血常规、肝肾功能及胸部CT。
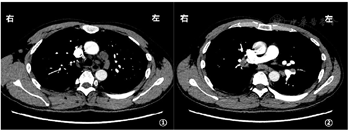
经3个月余治疗后患者胸痛、气促症状缓解,一般状态好,无明显不良反应。当地医院2021年4月6日复查胸部CT提示胸腔积液已吸收,纵隔淋巴结较前明显缩小,目前继续使用泽布替尼(剂量同前),已随访9个月余,随访继续中。
肺癌、乳腺癌、淋巴瘤是恶性胸腔积液的3大病因,淋巴瘤排第3位,约占10%[1]。性别分布上患淋巴瘤的男性多于女性,淋巴瘤合并胸腔积液的发生率为20%~30%,以霍奇金淋巴瘤多见,其中T淋巴细胞淋巴瘤更容易合并胸腔积液,但以胸腔积液为首发症状及主要表现的淋巴瘤少见[2]。慢性淋巴细胞白血病(CLL)/小淋巴细胞淋巴瘤(SLL)是主要发生在中老年人群的一种具有特定免疫表型特征的成熟B淋巴细胞克隆增殖性肿瘤,以淋巴细胞在外周血、骨髓、脾脏和淋巴结聚集为特征[3]。胸膜累及很少见,尤其以胸腔积液为主要临床症状的更少见。SLL病理特征是以在外周血、骨髓及淋巴组织克隆性表达CD5+CD23+的B淋巴细胞为主。根据患者的分期,基因特点和预后因素,生存期在1~20年,5年生存率约84.2%[4]。淋巴瘤所致胸腔积液的原因包括下述两点:(1)淋巴瘤直接侵犯胸膜,导致胸膜的通透性增加,此类型以非霍奇金淋巴瘤多见;(2)淋巴瘤累及淋巴结、淋巴管,导致淋巴液回流障碍,此类型以霍奇金淋巴瘤多见[5]。这类患者临床上表现为:活动后气促,咳嗽,消瘦,发热;体征有胸腔积液体征,浅表淋巴结肿大。实验室检查可出现贫血,C反应蛋白升高,红细胞沉降率增快,LDH、CAl25升高等。影像学常表现为双侧胸腔积液,肺门或纵隔淋巴结肿大,肺门或纵隔占位,胸膜增厚,多浆膜腔积液。PET-CT可见胸膜糖代谢增高。胸腔积液为渗出液,以淋巴细胞为主,ADA、LDH、CAl25升高,见异型淋巴细胞;部分为乳糜胸腔积液[6]。
CLL/SLL是一种主要发生在中老年人群的具有特定免疫表型特征的成熟B淋巴细胞克隆增殖性肿瘤,以淋巴细胞在外周血、骨髓、脾脏和淋巴结聚集为特征[3]。CLL/SLL病理特征是以在外周血、骨髓、以及淋巴组织克隆性表达CD5+CD23+的B淋巴细胞为主。根据患者的分期,基因特点和预后因素不同,生存期波动在1~20年,其中84.2%的患者生存期超过5年。预后差的高危因素包括伴有11q-或17p-,TP53突变,IGHV突变状态(≤2%),患者年龄大,处于疾病晚期,难治或有合并症治疗上根据TP53缺失和/或突变、年龄及身体状态。这类患者多以血液系统症状为首发症状,胸膜累及很少见,尤其以胸腔积液为主要表现的更少见。治疗上进行分层,可选择含嘌呤类似物的化学免疫治疗;或以苯丁酸氮芥为基础的化学免疫治疗、BTK抑制剂(伊布替尼,泽布替尼,pirtobrutinib)、Bcl-2抑制剂、PI3K抑制剂或CD20单抗联合化疗等[7]。
本例患者以胸痛为首发症状,影像学表现为胸腔积液、全身多发淋巴结肿大,需鉴别的疾病包括结核性胸膜炎、结节病、淋巴瘤、白血病。患者经气管镜活检7组淋巴结未能获得阳性结果,考虑可能是经支气管针吸活检的针偏小(22G),穿刺物太小难以对组织结构进行分析而未能诊断。虽PET-CT发现胸膜结节但未见其氟代脱氧葡萄糖代谢浓聚,对临床诊断造成一定的干扰。完善胸腔穿刺后发现患者的胸腔积液CA125升高明显,同时已排除感染的前提下,根据既往文献总结,需警惕恶性胸腔积液的可能[8]。最终,我们通过胸膜活检确诊,所用的穿刺针较大(16G),且为切割活检,组织条较大,可以对细胞形态和组织结构有较好的分析观察,从而明确诊断。
对于有胸腔积液的患者,常规治疗及胸腔穿刺未能明确诊断时需尽早进行胸膜活检。当临床中遇到胸腔积液的患者、有淋巴结肿大,如胸腔积液CA125升高明显需积极排查有否恶性肿瘤所致,尤其需警惕淋巴瘤,此时穿刺针型号应偏大以获取足够大的组织标本以明确诊断。
所有作者均声明本研究不存在利益冲突





















