
患者36岁,孕3产2,剖宫产2次,孕37周,因"胎动减少伴下腹痛3.5 h,阴道流血15 min"急诊入院。入院生命体征尚平稳,宫缩无间歇,板状腹,未及胎心,阴道较多积血及血块约500 ml并有继续活动性出血,宫口未开,紧急床边B超提示宫内死胎,胎盘早剥可能。积极开通静脉通道做好术前准备,紧急送手术室全麻剖宫取胎,术中见胎盘完全剥离,积血块约600 ml,手术进行至缝合腹膜层时,患者出现明显术野渗血,并突然出现室颤继而心脏骤停,经积极心脏按压反复电除颤心肺复苏约20 min,恢复自主心跳,经多学科合作输血输液生命支持、切除子宫止血。患者病情平稳痊愈出院。
入院生命体征尚平稳,宫缩无间歇,板状腹,未及胎心,阴道较多积血及血块约500 ml并有继续活动性出血,宫口未开。
紧急床边B超提示宫内死胎,胎盘早剥可能。
积极开通静脉通道做好术前准备,紧急送手术室全麻剖宫取胎,术中见胎盘完全剥离,积血块约600 ml,手术进行至缝合腹膜层时,患者出现明显术野渗血,并突然出现心室颤动继而心脏骤停,经积极心脏按压反复电除颤心肺复苏约20 min,恢复自主心跳,经多学科合作输血输液生命支持、切除子宫止血。
患者病情平稳痊愈出院。目前随诊健康状态良好。
妇产科;麻醉科;急诊科
版权归中华医学会所有。本文为遵循CC-BY-NC-ND协议的开放获取文章。
羊水栓塞(amniotic fluid embolism)是由于羊水进入母体血液循环,而引起的肺动脉高压、低氧血症、循环衰竭、弥散性血管内凝血以及多器官功能衰竭等一系列病理生理变化的过程[1]。以起病急骤、病情凶险、难以预测、病死率高为临床特点,是极其严重的分娩并发症。发病率(1.9~7.7)/10万,病死率19%~86%[2]。快速诊断、积极有效的多学科团队救治,是抢救成功的关键[3,4]。我们报道我院2021年9月20日成功救治的1例胎盘早剥并发羊水栓塞且出现心脏骤停案例并对相关文献进行复习,旨在提高对本病的认识,积累临床救治经验。
患者,女性,36岁,孕3产2,因"停经37周,胎动减少伴下腹痛3 h余,阴道流血15 min"2021年9月20日23:14急诊入院,患者末次月经2021年1月1日,早孕B超核实孕周与停经孕周相符,预产期2021年10月11日,规律产检9次,常规产检未见异常,诉3 h余前自觉胎动减少,伴下腹痛,不规则,阵发性,有间歇,约10~15 min一次,持续数秒至几十秒不等,无阴道流血流水,初未重视,后自觉腹痛有加重变频趋势,约6~8 min一次,持续几十秒,遂就诊于我院急诊,急诊B超提示胎盘早剥可能,见微弱胎心,并在检查过程中出现阴道流血,明显大于月经量。急送入产房未闻及胎心,床边B超提示:胎盘早剥,死胎,拟"胎盘早剥、死胎"急诊收入院。孕前体重58 kg,身高160 cm,孕前体重指数22.7 kg/m2,查体:体温36.5 ℃,脉搏78次/min,呼吸20次/min,血压137/96 mmHg(1 mmHg = 0.133 kPa),板状腹,可触及强直宫缩,未及间歇,宫高37 cm,腹围100 cm,胎方位触不清,未闻及胎心,外阴大量血污,阴道大量鲜红色积血及血块,估计约500 ml,拭去积血及血块组织见宫口未开,仍有中等量活动性出血自宫口流出。停留尿管无尿液引出。患者2007年及2019年各足月顺利剖宫产1次。其余家族史、既往史、月经婚育史无特殊。

血常规结果
血常规结果
| 时间 | 血红蛋白(g/L) | HCT | 血小板(109/L) |
|---|---|---|---|
| 8月17日 | 119 | 0.351 | 208 |
| 9月20日23:23 | 116 | 0.337 | 103 |
| 9月21日5:31 | 115 | 0.344 | 118 |
| 9月21日17:41 | 87 | 0.243 | 81 |
| 9月22日6:03 | 78 | 0.223 | 92 |
| 9月28日7:49 | 95 | 0.293 | 268 |
| 10月19日10:50 | 125 | 0.386 | 230 |

凝血功能检查结果
凝血功能检查结果
| 时间 | 凝血酶原时间(s) | APTT(s) | 凝血酶时间(s) | 纤维蛋白原(g/l) | 3P | D二聚体(mg/L) |
|---|---|---|---|---|---|---|
| 9月20日23:23 | 18 | 36.5 | 29.5 | 0.3 | + | 10.52 |
| 9月21日2:01 | 18.3 | 42.7 | 27 | 0.63 | 235.27 | |
| 9月21日6:03 | 12.2 | 29.2 | 19.1 | 3.03 | 79.2 | |
| 9月21日17:42 | 12.1 | 28.6 | 16.6 | 3.99 | ||
| 9月28日7:49 | 4.52 |

生化检查结果
生化检查结果
| 时间 | 丙氨酸氨基转移酶(U/L) | 白蛋白(g/L) | 肌酐(μmol/L) | 尿素氮(pg/ml) | PCT(ng/ml) |
|---|---|---|---|---|---|
| 9月20日23:23 | 8 | 30.7 | 90 | ||
| 9月21日5:31 | 61 | 37.8 | 86 | 53.8 | 0.47 |
| 9月22日6:02 | 44 | 28.9 | 78 | ||
| 9月23日5:41 | 0.36 |
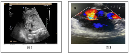
(1)2021年9月20日急诊B超:宫内单胎妊娠;宫内异常回声团块,考虑血块可能,胎盘显示不清,以上征象未排胎盘早剥可能。未及胎心。BPD:93 mm,HC:323 mm,AC:285 mm,FL:66 mm。宫腔内见一高回声为主团块,范围约136 mm×49 mm(图1)。(2)术中床旁经食管心脏超声提示右心室增大,肺动脉高压声像(图2)。


诊断:(1)羊水栓塞,(2)休克,(3)心脏骤停,(4)弥漫性血管内凝血功能障碍,(5)Ⅲ级胎盘早剥,(6)严重产后出血,(7)死胎,(8)孕3产3宫内妊娠37周剖宫取胎,(9)重度子痫前期,(10)中度贫血,(11)绝育,(12)瘢痕子宫(妊娠合并瘢痕子宫),(13)剖宫产术后。
诊断依据:两次剖宫产史,围分娩期出现典型的无法用其他原因解释的突发心脏骤停,凝血功能障碍,术中食管心脏超声见肺动脉高压声像图,典型的腹痛、阴道流血、无间歇的宫缩、板状腹、未闻及胎心,B超见宫内异常回声考虑血块可能,未见胎儿心跳,凝血功能检查提示APTT、凝血酶原时间延长,纤维蛋白原极低,3P阳性,D二聚体异常升高,产后24 h估计总出血量4 100 ml。紧急行剖宫取胎术,住院期间最低血红蛋白78 g/L,入院血压稍高,术后血压超过160/110 mmHg,产后一直需要降压药控制约10 d,伴器官功能损害。
患者入院后考虑Ⅲ级胎盘早剥,死胎,存在休克早期表现,立即吸氧,开通静脉通道,加强补液,做好术前准备,9月20日23:35紧急送入手术,全麻下23:55剖宫取出一死男婴,宫腔积血块约600 ml,胎盘完全剥离状态,子宫部分卒中,申请新鲜冰冻血浆800 ml输注,考虑产前有大量出血,予地塞米松40 mg静推,缩宫素、卡贝缩宫素、麦角新碱加强宫缩后宫缩好,出血不多,考虑患者胎盘早剥凝血功能障碍出血风险大,放置宫腔水囊压迫止血,行双侧输卵管结扎术,关至腹膜层时,出现术野广泛渗血,左侧腹壁腹直肌后方形成巨大血肿约10 cm×10 cm×8 cm,请普外科医师协助手术,9月21日0:22凝血功能检测结果回复显示明显异常,血气分析提示中度贫血继续申请10单位冷沉淀、浓缩红细胞4单位输注。1:14心电监测提示室颤继而心脏骤停,暂停手术,立即启动院内急救团队心肺复苏,胸外按压及电除颤,血管活性药物维持循环,并呼救院内体外膜肺氧合(ECMO)团队床旁做好随时体外呼吸循环支持准备,患者1:35恢复窦性心律,查看术野渗血明显,子宫收缩转差,布袋样,活动性出血,继续20 mg地塞米松静推,积极补充血制品,纠正贫血及凝血功能障碍,迅速行子宫次全切除术,清除腹壁血肿,术野止血确切,关腹,术中共输浓缩红细胞12 U、血浆1 800 ml、冷沉淀20 U、纤维蛋白原4 g,4:30术毕送重症监护室继续监护治疗,术后患者一直血压高,需要降压药治疗,9月23日病情稳定转入普通病房,9月29日痊愈出院。
该患者经积极的抢救治疗住院9 d痊愈出院,产后约1个月即10月26日回院复查:无自觉不适,血压120/62 mmHg,心肺听诊无异常,血常规恢复正常,B超提示,右下腹壁弱回声团,血肿?大小约25 mm×24 mm×5 mm,建议复查。子宫未见显示。符合子宫切除术后声像改变(图3)。未发现心、脑、肺、肝、肾等重要脏器并发症,恢复良好。盆腔未见明显肿块。


羊水栓塞是围分娩期的严重并发症,目前尚无国际统一的羊水栓塞诊断标准和实验室指标,羊水栓塞应基于临床表现和诱发因素进行诊断,是排除性诊断。《羊水栓塞临床诊断与处理专家共识(2018))》建议诊断标准如下:诊断羊水栓塞需以下5条全部符合[4]:(1)急性发生的低血压或者心脏骤停。(2)急性低氧血症:呼吸困难、紫绀或呼吸停止。(3)凝血功能障碍:有血管内凝血因子消耗或纤溶亢进的实验室证据,或者临床上表现为严重的出血,但无其他可以解释的原因。(4)上述症状发生在分娩、剖宫产术、刮宫术或是产后短时间内(多数发生在胎盘娩出后30 min内)。(5)对于上述出现的症状和体征不能用其他疾病来解释。
羊水栓塞的诊断主要是依靠具有相关高危因素的患者的典型临床表现进行的,辅助检查主要作用是在抢救过程中监测病情进展和进行回顾性确认。回顾本例患者临床经过,患者符合上述诊断条件,羊水栓塞诊断明确。程宁宁等[5]分析了61例羊水栓塞病例报道,发现仅2例(3.3%)没有高危因素。本例患者存在高龄、经产妇、宫缩过强等多个羊水栓塞高危因素,临床医师需在围分娩期对有羊水栓塞高危因素患者进行提高警惕性严密监测和管理。程宁宁等[5]分析文献报道资料显示羊水栓塞临床表现涵盖多个系统的功能障碍复杂多样,主要有循环功能障碍85.2%,呼吸功能障碍77.0%,血液功能障碍63.9%,神经功能障碍45.9%,肾功能障碍8.2%,肝功能障碍1.6%。本文作者亦复习了国外11例羊水栓塞合并心脏骤停[6,7,8,9,10,11,12,13,14,15]文献资料发现有循环功能障碍11/11,血液功能障碍11/11,呼吸功能障碍6/11,神经功能障碍5/11,肾功能障碍1/11,胎盘功能障碍1/11,3个以上系统功能异常11/11。本例患者病程中出现了胎盘功能障碍、肾功能障碍、循环功能障碍、血液功能障碍,到院时均已存在,各系统累及的先后顺序已很难追溯,本案例和相关的文献资料提醒临床医师,当一个既往孕产史及病史无特殊的孕妇围分娩期出现任何一个突发的功能障碍均应疑诊,出现多个功能障碍时更应警惕暴发性羊水栓塞,尽快启动抢救流程。国外11例羊水栓塞合并心脏骤停[6,7,8,9,10,11,12,13,14,15]。文献资料显示11例患者抢救过程中经食管超声均显示有右心衰表现,和本文病例相符,其中1例在心脏骤停抢救后1 h左右,病情相对平稳时复查经食管超声发现右心功能已经恢复基本正常[13]。提示有条件的医疗机构在羊水栓塞抢救中进行该项检查可以协助诊断和指导治疗。
羊水栓塞的处理原则是维持生命体征和保护器官功能。根据美国的孕产妇管理数据报表,56%的羊水栓塞死于发病后2 h,预后与疾病的严重程度以及是否伴随心脏骤停更相关[16]。因此,对突发的心脏骤停复苏并不需要羊水栓塞的特定诊断,即可开始母体治疗,即基础的生命支持和高级生命支持[17]。我们复习的国外11例羊水栓塞合并心脏骤停文献资料救治成功10例[6,7,8,9,10,11,12,13,14,15],心肺复苏时间2~75 min不等,3例使用了ECMO救治成功[8,9,11]。
本例患者救治过程中,患者以严重胎盘早剥死胎伴有休克症状急诊入院,羊水栓塞不能排除,入院即启动了抢救流程,予吸氧及积极补液,并立即完善术前准备迅速转至手术室全麻气管插管呼吸机辅助呼吸,进行了严密而全面的血压、呼吸、心率、血氧饱和度、心电图、中心静脉压、动脉血气等监测。产科迅速剖宫取胎终止了妊娠。当心脏骤停发生时高效启动了多学科团队的生命支持抢救,有效心肺复苏21 min患者恢复窦性心率,出现严重产后出血凝血功能障碍时及时切除了子宫,快速补充血制品纠正凝血功能障碍,集中了产科、妇科、外科、麻醉科、重症监护室、输血科、检验科、超声影像科、心内科、药学部等多个学科的优势力量,最终使患者抢救成功并顺利,随诊无并发症。总结本例救治经验,羊水栓塞的抢救关键在只要怀疑羊水栓塞即开始启动多学科团队急救流程,不要追求羊水栓塞的确诊而错失救治良机[18]。平常训练有素才能做到有效心肺复苏,本例患者心肺复苏21 min患者恢复窦性心率,随诊无并发症就有赖团队的有效心肺复苏,当然ECMO可以作为心肺复苏困难患者的有力补救措施,最大程度的抢救患者生命,没有ECMO团队的医疗机构,应尽量和有ECOM救援团队的医疗机构建设良好的合作关系,心脏骤停羊水患者救治时要坚持做到有效的心肺复苏,不应轻易放弃,保持有效灌注,必要时呼叫区域内ECMO团队救援,Hession等[11]报道的1例羊水栓塞合并心脏骤停孕妇心肺复苏75 min未恢复自主心率应用ECMO支持治疗成功,随访无并发症,说明区域性的ECMO救援团队建设可有利于该类患者的救治,提高救治成功率。
综上所述,羊水栓塞的诊断是综合高危因素、症状、体征相关临床辅助检查得出的一个排他性的临床诊断,主要表现为呼吸、循环及凝血功能障碍,关键在早发现、早诊断、早救治,有效的多学科团队生命支持、积极止血纠正凝血功能障碍以及尽快终止妊娠,必要时果断切除子宫是救治成功的关键点,ECMO是救治困难的羊水栓塞的一种考虑手段。
所有作者均声明本研究不存在利益冲突





















