
患儿,女,胎龄34周,出生体重2 760 g,13 d,生后出现肺出血、休克,心超示左心功能衰竭,肺动脉高压,予呼吸支持、强心、抗感染治疗后好转。撤机4 d后再次肺出血,多次复查心超提示左心功能衰竭。
体温38.8℃,心率166次/分,呼吸72次/分,血压68/47 mmHg,前囟平,自主呼吸存,呼吸促,可见三凹征,双肺呼吸音粗,未及干湿啰音,心律齐,心音中等,未及杂音,肝肋下2 cm。
CTA示主动脉及其分支血管壁广泛钙化,部分管腔偏窄。基因检查示ENPP1基因杂合突变。钙、磷、维生素D正常。无骨骼、皮肤、眼底病变。
呼吸支持、强心、限液治疗。未使用双磷酸盐疗法。
家属考虑预后差放弃治疗。
儿科
版权归中华医学会所有。本文为遵循CC-BY-NC-ND协议的开放获取文章。
婴儿泛发性动脉钙化(generalized arterial calcification of infancy,GACI)又称特发性婴儿动脉钙化症(idiopathic infantile arterial calcification,IIAC),是一种罕见的常染色体隐性遗传疾病,大部分由ENPP1基因变异引起,少部分由ABCC6基因变异引起,也可能存在其他未知的变异。临床表现多样,常见胎儿窘迫、心功能衰竭、呼吸窘迫、高血压等[1],生后6个月内死亡率55%~85%[2]。病理以大中动脉弹力层钙化、狭窄为特点。现报道1例我院收治的以心功能衰竭、肺出血为主要表现的案例,旨在提高对本病的认识。
患儿,女,13 d,因"早产后13天,心肺复苏后半天"于2021年8月从外院转入。患儿生后即在外院住院,生后第2天血常规:白细胞21.2×109/L,中性粒细胞38.7%,淋巴细胞50.9 %,血红蛋白128 g/L,血小板148×109/L,超敏CRP 49.53 mg/L,予抗感染治疗。入院前半天大气吸入下突发呼吸费力,面色苍白,心率增快,肺出血,伴氧饱和度、血压下降,考虑"感染性休克",予扩容、气管插管有创呼吸支持,升级抗生素,血管活性药应用后转至我院治疗。患儿为G2P2因"胎动减少"剖宫产出生,胎龄34周,出生体重2 760 g。母亲孕期患"阴道炎"曾治疗。10岁姐姐健康状况良好。直系亲属无心肺疾病史。
入院查体:气管插管呼吸机辅助通气,反应一般,体温38.8℃,脉搏166次/分,呼吸72次/分,血压68/47 mmHg,前囟平,双侧瞳孔对光反射灵敏,自主呼吸存,呼吸促,可见三凹征,双肺呼吸音粗,呼吸音对称,未及干湿啰音,心律齐,心音中等,心前区未及杂音,腹软,肝肋下2 cm,CRT>3 s。外院检查:胸片(8月14日):两肺渗出性病灶,考虑肺出血可能。心超(8月14日):EF 41.7%,房间隔中断2.2 mm,肺动脉高压,二、三尖瓣轻度反流。入院后检查:血常规(8月14日):白细胞14.41×109/L,中性粒细胞66.6%,淋巴细胞29.9%,血红蛋白113 g/L,血小板127×109/L,超敏CRP 14.06 mg/L。病原学:TORCH、CMV、肠道病毒、痰培养、血培养均阴性。PT+APTT、血氨、脑脊液正常。血气+电解质+乳酸、生化正常。病因检查:心肌酶谱+BNP:AST、CK-MB正常,LDH升高,BNP升高(>5000 pg/mL)。新生儿足底血筛查:正常。尿筛:蛋氨酸和N-乙酰酪氨酸增高。血钙、血磷、维生素D水平、四肢长骨片、双眼及眼底检查未见异常。
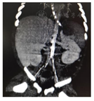
心超多次提示左心收缩功能减退,反复肺动脉高压(表1)。胸部CTA:升主动脉、胸主动脉、主动脉弓部及其分支血管壁广泛钙化;动脉导管部分未闭;冠状动脉未见异常(图1)。腹部CTA:腹主动脉及其分支(腹腔干、肠系膜上动脉、双肾动脉、双侧髂动脉及其分支)广泛血管壁钙化;腹主动脉管腔偏窄,腹主动脉分支纤细;肝、脾、胰腺、肾脏未见局灶性密度异常(图2)。基因检查(全外显子高通量测序,父母Sanger验证):ENPP1基因杂合突变,分别为来源母亲的NM_006208;exon7;c.783C>G(p.Y261X)。来源父亲的NM_006208;exon18;c.1786A>G(p.S590G),见图3。







入院后心脏超声变化
入院后心脏超声变化
| 入院天数(d) | EF(%) | 有无肺高压 | |
|---|---|---|---|
| 1 | 52 | 有 | 三尖瓣反流压差49 mmHg |
| 3 | 65 | 无 | |
| 10(再次肺出血当天) | 45 | 有 | 三尖瓣反流压差44 mmHg |
| 11 | 40 | 无 | |
| 14 | 43 | 无 |
诊断:根据患儿反复心力衰竭,CT提示广泛大中动脉钙化,基因检查提示ENPP1基因突变,明确诊断为婴儿型泛化性动脉钙化。鉴别诊断:(1)先天性心脏病及肺血管发育异常:反复心力衰竭,肺动脉高压,需考虑心脏病及肺血管异常,可结合心超及胸部CTA鉴别。(2)Singleton-Merten综合征:表现为牙齿发育不良、青光眼、银屑病、主动脉钙化和骨骼异常。可结合有无皮肤、牙齿、眼睛异常鉴别。
第一次治疗后好转:入院后予有创机械通气,美罗培南联合万古霉素抗感染,多巴胺强心。入院当天心超提示EF下降,肺动脉高压,加用米力农。入院第3天心超提示无肺动脉高压,EF正常,停用多巴胺。入院第6天撤机改无创呼吸机辅助通气,第7天改鼻导管吸氧,停用米力农,第8天停抗感染治疗。再次肺出血:入院第10天反复面色发绀,伴心率、氧和下降,再次肺出血,予气管插管机械通气,复查心超提示EF下降,肺动脉高压,再次予米力农应用,同时限液治疗。第11天肺高压正常,肺出血控制,多次复查心超EF波动于40%~52%。考虑反复心力衰竭、肺出血,完善胸部及腹部CTA检查发现主动脉及其分支广泛钙化、局部管腔偏窄,完善基因检查最终明确患儿ENPP1基因突变,明确诊断为婴儿型泛化性动脉钙化。
入院第20天患儿家长未等基因结果回报放弃继续治疗自动出院。
GACI病理改变的基础是由于ENPP1基因突变减少了无机焦磷酸(PPi)的产生或ABCC6基因突变降低了细胞外PPi的浓度。而PPi是一种钙化抑制剂,缺乏时引起羟磷灰石沉积,出现异位钙化。
临床症状在胎儿时期即可出现,异常钙化在胎龄18周时即有报道[3],胎儿时期可表现为羊水过多、胎儿窘迫、胎儿水肿。生后1周内起病的多数表现为心力衰竭、高血压、呼吸窘迫、发绀。后期起病的除上述表现外,也可表现为呕吐、拒奶、易激惹、生长迟缓[1]。随着年龄增长,也会出现血管外钙化,包括关节和内脏钙化。病理虽是确诊的金标准,但检查受限。实验室检查钙、磷、维生素D在正常水平[4]。有文献[5]对长期存活的患儿进行了随访,发现所有患儿在出生时血磷正常,随年纪增长平均在1岁半时出现低磷血症,2岁时出现佝偻病的比例为20%,而到13岁半时出现佝偻病的比例是100%。本案例中患儿查生化血磷在正常范围,四肢长骨片无骨质改变,与报道相符。影像学检查主要包括超声和CT。超声可帮助评估心功能,也可发现主动脉系统的广泛性管壁增厚、回声增强和管腔狭窄。CT可发现心脏瓣膜、肺动脉、主动脉及主动脉系统等大中动脉的钙化,部分病例还能发现关节周围软组织的钙化[6]。本案例为明确反复心功能衰竭和肺出血的原因进行了CTA检查,在平扫过程中即发现了广泛的主动脉系统钙化、部分管腔狭窄,提示CT平扫即可对本病有诊断作用,而增强扫描进一步排除了先天性心脏病及肺血管发育异常。基因检查多数可发现ENPP1基因异常,少数可发现ABCC6变异,其他基因变异有待进一步发掘。但需要注意的是这两个基因变异并不一定就表现为GACI,可有其他不同的疾病谱,如弹力纤维性假黄瘤、低磷血症佝偻病[7,8],故临床诊断中仍需结合病史及影像学、病理综合判断。
GACI的患儿除了改善心功能、控制血压等对症支持治疗外,对于病因治疗药物报道最多的是使用PPi类似物双膦酸盐治疗[9]。总体来说该病预后不佳,大多数病例在生后1年内死于心血管系统并发症[2]。临床工作中遇到不明原因心功能衰竭、高血压、呼吸衰竭患儿时,应考虑到GACI的可能性。当家族中有该病确诊时,应做好遗传咨询。
所有作者均声明本研究不存在利益冲突





















