
患者,男性,19岁。出生时左侧唇腭裂、牙槽突裂,分别于6个月及3岁时行唇腭裂修复术,未行牙槽突修复术。替牙后逐渐牙列拥挤,反
。
患者为左侧唇腭裂术后,上颌重度拥挤,上下牙量及骨量严重不匹配。
口外检查:上颌骨颧部后缩,开口型,开口度正常,重鼻音。口内检查:全牙列反合。头颅侧位片检查:骨性三类反合。CBCT检查:双侧关节头不对称。
利用牙支持式骨牵张技术,开辟充足间隙,增加牙弓长度,再行正畸-正颌治疗,改善面型及咬合关系。
共治疗时间36个月。术后给予患者采用压膜保持器(12个月),后换用Hawley保持器至今。嘱患者继续进行牙体治疗及鼻唇整复术。
正畸科;颌面外科;唇腭裂
版权归中华医学会所有。本文为遵循CC-BY-NC-ND协议的开放获取文章。
唇腭裂患者在早期唇腭裂手术后,往往因手术组织缺如、手术创伤及疤痕挛缩等,继发上颌骨与牙槽骨三维方向上的异常,主要表现为上颌骨发育不良伴有牙列缺失、牙槽突缺损等;严重者需要通过正畸-正颌联合治疗的方式进行改善;我们报道1例以上牙列重度拥挤、骨性三类反合为主要表现的单侧唇腭裂患者,对其进行牙支持式骨牵张技术联合正畸正颌治疗,旨在对本疾病治疗时提供新的思路。
患者,男性,19岁,学生。主诉:牙齿不齐,"地包天"。
病史:出生时左侧唇腭裂、牙槽突裂,分别于6个月及3岁时行唇腭裂修复术(具体不详),未行牙槽突修复术。替牙后逐渐牙列拥挤,出现反合。既往体健,无正畸史,无不良习惯,否认传染病史及手术外伤史,否认家族遗传史,否认系统性疾病史。
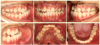
口外检查(图1):


正面观:下颌及颏部右偏3mm,双侧鼻翼稍不对称,上唇术后瘢痕挛缩导致长度不足。
侧面观:凹面型,面中1/3发育不足,上颌骨颧部后缩,开口型,开口度正常,重鼻音。
口内检查(图2):恒牙列;全牙列双侧磨牙近中关系,上中线左偏1mm,下中线右偏3mm,全牙列反合、牙弓中段开合5mm,上牙弓呈三角尖形12,25腭侧阻生,22缺失,左侧21、23牙槽突裂,软腭后壁部分缺如,无口鼻瘘;口腔卫生不佳


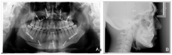
曲面断层片检查(图3-A):B1、B3间骨量不足,牙根远中倾斜,第三磨牙阻生。


头颅侧位片检查(图3-B)表1:ANB-4.5,骨性三类反合。

治疗前头影测量值
治疗前头影测量值
| 测量项目 | 治疗前 | 正常参考值 |
|---|---|---|
| SNA | 75.5 | 82.8±4.0 |
| SNB | 80 | 80.1±3.9 |
| SND | 78 | 77.3±3.8 |
| ANB | -4.5 | 2.7±2.0 |
| U1-NA | 30 | 22.8±5.7 |
| U1-NA(mm) | 4 | 5.1±2.4 |
| L1-NB | 20 | 30.3±5.8 |
| L1-NB(mm) | 3 | 6.7±2.1 |
| U1-L1 | 132.5 | 124.2±8.2 |
| OP-SN | 21 | 16.1±5.0 |
| GoGn-SN | 34 | 32.5±5.2 |
| Po-NB | 1 | 1.0±1.5 |
| FMA | 28 | 30.3±5.0 |
| FMIA | 63 | 54.9±6.1 |
| IMPA | 89 | 93.9±6.2 |
CBCT检查(图4):双侧关节头不对称,开闭口、间隙正常。


1.唇腭裂术后畸形,安氏三类、骨性三类。
2.全牙列反覆合,反覆盖。
3.牙列重度拥挤,个别牙缺失。
4.左上牙槽突裂隙,软腭裂。
5.上颌发育不足。
6.面部偏斜。
正畸-正颌联合治疗。
1.术前正畸:拔除12及18、28、38、48;排齐整平上牙列,牵张开辟25间隙,纳入25;下颌前牙控根排齐整平;术前匹配上下牙弓。
2.正颌手术:上颌Lefort-I型截骨切开术,下颌矢状劈开后退术及颏成形术。
3.术后正畸:精细调整咬合。
4.保持。
5.建议术后继续鼻唇部及软腭整形治疗。
6.牙周洁治及口腔宣教。
1.转诊行牙周洁治;颌面外科拔除12及18、28、38、48;采用标准直丝弓矫治技术,上下牙列粘托槽及磨牙带环,逐步更换弓丝,排齐整平上下牙弓;
2.外科辅助放置牙支持式牵张器(图5):上颌弓丝换至0.019*0.025"SS",外科于左侧24、26根尖下0.5mm处做梯形切口,行骨皮质切开术,粘接牙支持式骨牵张器;牵张器由螺旋扩弓器(杭州新亚,0.4 mm螺距)制成,打磨抛光多余金属部件,焊接于24、26带环;术后7 d开始加力,每日1次,每次旋转1/2圈,2周复诊1次。


3.开辟足够间隙,稳定后开始唇向牵引25(图6)。


4.术前调整(图7):25纳入牙弓,去除牵张器,继续排齐整平牙列,匹配牙弓,去除咬合干扰;患者口腔卫生差,给予牙周洁治,加强口腔宣教。


5.双颌手术建立终末咬合,术后精细调整(图8)。


6.完成(图9,图10):患者因异地无法继续复诊,与其协商后结束治疗。主动矫治共36个月,术后给予患者采用压膜保持器(12个月),后换用Hawley保持器至今。嘱患者继续进行牙体治疗及鼻唇整复术。











头影测量治疗前后测量值对比
头影测量治疗前后测量值对比
| 测量项目 | 治疗前 | 治疗后 | 正常参考值 |
|---|---|---|---|
| SNA | 75.5 | 79.5 | 82.8±4.0 |
| SNB | 80 | 77 | 80.1±3.9 |
| ANB | -4.5 | 2.5 | 2.7±2.0 |
| SND | 78 | 76.5 | 77.3±3.8 |
| U1-NA | 30 | 28 | 22.8±5.7 |
| U1-NA(mm) | 4 | 3.5 | 5.1±2.4 |
| L1-NB | 20 | 26 | 30.3±5.8 |
| L1-NB(mm) | 3 | 5.5 | 6.7±2.1 |
| U1-L1 | 132.5 | 125 | 124.2±8.2 |
| OP-SN | 21 | 20 | 16.1±5.0 |
| GoGn-SN | 34 | 29.5 | 32.5±5.2 |
| Po-NB | 1 | 2 | 1.0±1.5 |
| FMA | 28 | 27 | 30.3±5.0 |
| FMIA | 63 | 58 | 54.9±6.1 |
| IMPA | 89 | 95 | 93.9±6.2 |
唇腭裂患者的正畸矫治一直是正畸医师的难题,虽然经过腭部手术,但多数牙槽突裂仍存在,引起患者的侧切牙或尖牙的异常萌出[1],该位置骨量缺失,术前正畸牙移动风险较大,正颌术中可能出现牙槽突裂处再次断开。治疗中为了保存牙量及骨量,保持骨块连续性,上颌一般尽可能避免拔牙[2,3]。
本病例为骨性三类伴上牙列重度拥挤的唇腭裂术后患者,矫治难度大,需依靠正畸-正颌联合治疗改善其牙列及面型。检查可见该患者22牙缺失,缺隙处明显骨缺损,12、25均腭侧萌出,上牙弓呈三角尖形。如何解除拥挤,同时改善牙弓宽度不调,则是术前正畸亟待解决的问题。为保证双侧牙弓对称性,治疗计划拔除12,保留25。但开辟25间隙难度大,时间长,且前段牙槽骨不连续,因此选择在充分整平上牙弓后,在左侧后牙段行牙支持式骨牵张术。
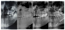
牙支持式牵张成骨术[4],即将牵张器固定在牙上,经水平根尖下及牙根间垂直截骨形成牙骨复合体,以连续的牙列作支抗,通过螺杆的旋转牵张力将牙骨复合体送到预定的位置,在牵引力作用下促进新骨的生成,实现骨缺损的修复。常作用于存在大量牙槽骨组织缺损导致植骨难以存活,需要在缺损区形成连续的牙槽骨桥的唇腭裂患者[4,5];也可以用于牙槽裂间隙小,无法通过常规牙槽骨移植修复的患者[6];同时,在缺损的上下颌骨中需要获得充足牙槽骨量及软组织覆盖的病例中,也可选择使用[7]。该方法优点在于保留牙齿,解除拥挤,增加骨量,避免广泛的牙槽骨移植,促进腭咽功能[4];牵张同时产生了新的牙槽骨和牙龈,用于快速正畸牙齿移动[4,8]。有学者[9,10]认为该术式损伤小,有效牵张时间短,患者接受度好,简单高效。由于传统牵张中采用的截骨术创伤大,易发生分离骨段骨坏死,故本病例仅在根尖下行部分骨皮质切开,以期刺激牙周骨质反应。牵张后在短时间内分离出足够间隙(近9 mm),稳定1个月后利用滑动杆的刚性,弹性牵引25。最终通过正颌手术解决患者凹面型,术后建立稳定咬合,治疗效果良好,患者满意度高。X片显示牵张段新骨骨量充足,21、23间裂隙减小,牵张过程中患者无明显不适,未出现牙根吸收、松动,周围牙槽骨段连续(图14)。邻牙牙髓活力测试良好,裂隙周围黏膜可见进一步粘连。最终通过正颌手术解决患者凹面型,术后建立稳定咬合,治疗效果良好,患者满意度高。但由于患者治疗中口腔卫生不佳,导致牙颈部出现明显釉质脱矿,需要多学科的进一步治疗。


唇腭裂畸形的特殊性使得患者的正畸治疗复杂,周期长,正畸医师应需与其他学科高效合作[11]。本病例患者由于疤痕挛缩、腭中缝发育不良等导致上牙弓严重缩窄,术后后牙覆合覆盖略浅,研究表明[12,13]可以采用分段截骨辅助匹配牙弓宽度,以达到更好的治疗效果。同时,唇腭裂患者正畸/正颌治疗后应使用加强活动保持器,增加保持的时间,有的患者甚至需要终生保持。唇腭裂患者稳定的矫治效果有赖于正畸、修复、外科医师、语音师的紧密配合[14]。
所有作者均声明本研究不存在利益冲突





















