
患者,男性,33岁,公司职员,主因"乏力、食欲下降、皮肤巩膜黄染10余天"就诊。14d前患者开始出现全身乏力、呕吐、尿色深黄及皮肤巩膜黄染,症状进行性加重,进展迅速,2d前患者食欲差至几乎不能进食,皮肤及巩膜明显黄染,并发现双下肢水肿至膝盖以上,遂来我院就诊。既往于2年前发现有糖尿病、脂肪肝病史,转氨酶曾轻度升高。饮酒10余年,近3年酗酒,平均每日饮高度白酒500g,折合乙醇约140~200g/d。
患者精神差,全身乏力,食欲极差,皮肤巩膜明显黄染,尿色浓茶样。体格检查示急性病容,皮肤巩膜重度黄染。可见肝掌,心肺检查无明显异常。腹部膨隆,肝脏于脐水平以下约3cm处可触及,质地稍硬,有触痛。双下肢凹陷性水肿至膝关节以上8cm。
根据患者病史、症状体征,结合实验室检查及影像学检查、肝脏病理检查,并排除其他常见导致肝衰竭的病因,根据2018年中华医学会颁发的酒精性肝病防治指南,诊断为重症酒精性肝炎。
给予甲泼尼龙,巴氯芬片、美他多辛减轻戒断反应及改善酒精代谢,护肝、血浆置换、营养支持等治疗,糖皮质激素(激素)治疗7d后Lille评分为1.58,激素无应答,进行MDF评分为81.62,进行MELD评分为34.94,患者有肝移植指征,于入院后25d行肝移植术。
肝移植术后至今,患者恢复良好,病情稳定,肝功能正常,生活、工作正常。
感染病科;消化科
版权归中华医学会所有。本文为遵循CC-BY-NC-ND协议的开放获取文章。
在我国,导致肝衰竭的病因主要为病毒性肝炎[1,2],但近年来,酒精性肝病(alcoholic liver disease,ALD)在肝衰竭中的病因构成比逐年上升[3,4],带来的健康危害和卫生经济负担也日益显现。ALD患者在严重酗酒时或其他因素的作用下可诱发广泛肝细胞坏死,导致重症酒精性肝炎(severe alcoholic hepatitis,SAH),出现肝衰竭的临床表现,如黄疸、凝血机制障碍、肝性脑病、肝肾综合征、内毒素血症等,病情凶险,并发症多,病死率极高,治疗难度大[3]。我们成功救治了1例病情进展迅速、巨大肝脏的SAH患者,通过该报道旨在提高对本病的认识,减少误诊,提高救治成功率。
患者男性,33岁,公司职员。因"乏力、食欲下降、皮肤巩膜黄染10余天"入院。患者14d前大量饮酒后出现乏力、疲劳感,呕吐胃内容物一次,非喷射性,无呕血或咖啡色液体。13d前感乏力加重,并发现尿色深黄色,无皮肤瘙痒、腰痛、发热等不适,食欲变差,进食量较前减少,伴有厌油,当时未予重视,未就诊。2d前乏力及尿色黄的症状明显加重,自觉腹胀明显至不能进食,皮肤及眼睛巩膜明显黄染,并发现双下肢明显水肿,遂来我院就诊。患者精神欠佳,食欲差至几乎不能进食,睡眠欠佳,大便正常,无陶土样大便,小便色浓茶样,量无明显变化。体重变化不明显。2年前发现糖尿病,未服用降糖药物及使用胰岛素,自诉血糖尚可。2年前发现脂肪肝、转氨酶轻度升高,口服护肝药物(具体不详)后转氨酶降至正常。起病前6个月体检未发现肝功能及肝脏B超明显异常。否认肝炎等传染病史,否认输血史、家族性遗传病史。饮酒10余年,近3年酗酒,平均每日饮高度白酒500g,折合乙醇约140~200g/d。
入院体查:体温36.5℃,脉搏90次/min,呼吸18次/min,血压118/80mmHg(1mmHg=0.133kPa)。身高170cm,体重80kg,体重指数(BMI)27.7kg/m2。神志清楚,急性重病容,皮肤巩膜重度黄染。可见肝掌。心肺检查无明显异常。腹部膨隆,腹壁静脉无曲张,腹肌柔软、无紧张,无压痛及反跳痛,肝脏位于脐水平以下约3cm,质地稍硬,有触痛,脾脏肋下未扪及(图1),移动性浊音阴性。双下肢凹陷性水肿至膝关节以上8cm。神经系统检查无异常,病理征阴性。


门诊结果:(1)血常规:白细胞14.5×109/L,血红蛋白115g/L,血小板273×109/L,中性82.9%。(2)凝血功能:PT 19.6s,PTA 45.83%,INR 1.56。(3)肝功能:白蛋白30g/L,总胆红素357.4μmol/L,直接胆红素191.7μmol/L,总胆汁酸206.0μmol/L,ALT 39.4U/L,AST 141.9U/L。(4)肝病酶学:碱性磷酸酶336.5U/L,谷氨酰转肽酶1311.6U/L。(5)葡萄糖6.5mmol/L。
入院后积极完善相关检查,结果示:肝功能:白蛋白22g/L,球蛋白29.7g/L,总胆红素295μmol/L,ALT 28.8U/L,AST 115.9U/L;凝血功能:PT 24.1s,PTA 33.33%,INR 1.94。肝病酶学:碱性磷酸酶275.1U/L,谷氨酰转肽酶929U/L。心肌酶谱、血尿淀粉酶均正常。甲型肝炎病毒抗体、乙型肝炎病毒标志物5项定量、丙型肝炎病毒抗体定量、戊型肝炎抗体IgM、IgG均阴性,EB病毒、巨细胞病毒均阴性;抗核抗体、抗双链DNA、ANA谱、自免肝抗体等自身抗体均阴性;铜蓝蛋白、微量元素正常。腹部彩超:肝大,脂肪肝,胆囊壁水肿,脾大(厚50mm,长148mm)。胸部+肝脾CT:肝脏肿大,密度明显减低(肝/脾CT值<0.5),强化不均匀,胆囊壁水肿,少量腹水,考虑肝脏炎性病变合并重度脂肪沉积所致(图2)。


根据患者病史、饮酒史及腹部彩超及肝脾CT结果,排除其他常见导致黄疸的病因,诊断考虑为"酒精性肝炎"的可能性大。入院后对患者进行了戒酒管理,给予甲泼尼龙40mg /d,予巴氯芬片、美他多辛减轻戒断反应及改善酒精代谢,补充维生素、营养支持等对症治疗。治疗5d后患者的食欲有所改善,黄疸较前下降(图3),凝血功能较前提高(图4)。但因患者出现严重腹泻,考虑继发肠道感染、菌群失调,停用了激素,患者病情再次加重,总胆红素再次升高。于入院后第12天行人工肝血浆置换治疗1次,术后黄疸降至200 μmol/L左右(图3),但此后反弹迅速,总胆红素持续升高、PT进行性延长、PTA进行性下降(图3、图4),精神及食欲极差,患者的肝脏进行性增大至脐水平下5~6cm,质地较前变硬,触痛明显,腹胀越来越明显。




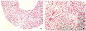
患者主要临床表现为肝衰竭迅速进展、肝脏巨大而疼痛,究竟是因为酒精性肝炎所致还是其他原因导致?有无肝脏血管病变或肿瘤可能?为此,完善肝脏CTA+CTV检查,结果示:肝脏肿大,密度明显减低,强化不均匀,肝血管成像CTA未见明显异常(图5)。完善介入引导下肝脏穿刺活检,病理结果考虑酒精性肝炎(图6)。




患者经过积极的内科保守治疗,效果差,病情进展迅速,Lille评分为1.58,激素治疗无效,根据Maddrey辨别函数(maddrey discriminantfunction,MDF)评分为81.62,进行终末期肝病模型(Model for end-stage iver disease,MELD)评分为34.94,提示预后极差,病死率极高,患者病情已达到了肝移植的标准。因此,患者于入院后25d进行了肝移植手术,术中切除重达4.5kg肝脏,术后病理支持酒精性肝炎诊断。
最终诊断:重症酒精性肝炎。
鉴别诊断:(1)肝脏血管病变:布加综合征、肝小静脉闭塞综合征/肝窦阻塞综合征均可表现为肝脏肿痛,根据患者有无吡咯双烷类生物碱服用史,CTV和肝脏活检结果可进行鉴别。(2)肝脏淀粉样变性:可表现为肝脏肿大,需进行肝脏活检,肝组织进行刚果红染色,电镜下可见淀粉样物质沉积。(3)肝脏原发性恶性黑色素瘤:是一种恶性程度极高、发病隐匿且预后较差的肿瘤。临床上可表现为肝脏可持续增大,临床表现及CT检查结果无明显特征,需进行肝脏病理检查鉴别。(4)肝脏原发性淋巴瘤:患者有发热等淋巴瘤其他表现,CT可能发现肝脏肿块,需通过病理检查进行鉴别。
患者肝移植术后继续戒酒,未再复饮,长期服用抗排异药物,患者恢复良好,肝功能恢复正常,患者术后至今状况良好,可进行正常的生活和工作,保持定期随访。
重症酒精性肝炎(SAH)是指酒精性肝病(ALD)患者出现肝衰竭的表现,如黄疸、凝血机制障碍、肝性脑病、急性肾衰竭、上消化道出血等,常伴有内毒素血症。因此SAH的诊断需要结合饮酒史、临床表现、实验室结果、影像学结果,并排除其他导致肝衰竭的常见原因[3]。
诊断方面,经过本例患者的诊治过程,我们认识到,当患者临床表现为消化道症状、黄疸、巨大肝脏,且既往有大量饮酒史时,诊断需要考虑到SAH的可能,诊断思路见图7;但由于ALD患者出现巨大而疼痛的肝脏,且进行性加重的情况比较罕见,ALD患者本身又缺乏特征性的临床症状、体征及实验室检查结果,因此在明确诊断前需要进一步排除其他导致肝衰竭、肝脏进行性肿大的病因,如肝脏淀粉样变性,肝窦阻塞综合征/肝小静脉闭塞综合征、布加综合征,肝脏恶性肿瘤如黑色素瘤、原发性淋巴瘤等(图7)。对于以巨大肝脏为主要表现的SAH患者,诊断需考虑得更全面,肝脏血管造影、尤其是肝脏活检病理检查对于鉴别诊断至关重要。


治疗方面,SAH的治疗措施包括:戒酒,营养支持,激素治疗,改善酒精代谢等[5,6,7]。其中,戒酒是治疗首要核心措施[8]。另外,我国及欧美国家均把糖皮质激素治疗作为重症酒精性肝炎患者一线治疗,推荐MDF > 32或MELD > 20患者,无禁忌者,口服泼尼松龙每日40mg,连用28d;激素治疗7d后Lille评分确定治疗反应情况,Lille评分>0.45,表明患者对糖皮质激素的反应较差,建议停用[9]。糖皮质激素对改善酒精性肝炎的炎症反应带来获益,但也因其带来的不良反应包括各种感染的风险增加而受到限制,且近年来有研究发现激素治疗并不能显著提高患者的远期生存率[10]。本例患者入院时MDF评分58分,MELD评分为32分,我们对其进行了戒酒管理,并进行护肝、退黄、血浆置换、补充维生素及营养等对症支持治疗,根据国内外指南采用了糖皮质激素疗法,并予巴氯芬、美他多辛等药物改善乙醇代谢、减轻戒断反应。经过积极的保守治疗患者病情一度好转后再次恶化,糖皮质激素治疗在使用1周左右后因出现严重肠道感染而停止。故SAH患者使用糖皮质激素治疗仍然应慎重,在使用激素前应综合评估患者的病情,排除禁忌证,并告知激素所带来的风险和获益,并在激素使用过程中应严密监测各种不良反应和病情变化,及时采取各种应对措施,这对提高患者生存率至关重要。
肝移植是SAH的有效治疗方法[7,11,12]。对于ALD患者,以前欧美指南要求肝移植前患者需戒酒6个月,防止患者发生术后复饮,我国2018年指南仍要求患者肝移植前需戒酒3~6个月[1]。但SAH患者因疾病发展迅速,病情紧急,患者的生存期少于3~6个月,在等待移植期间就可能死亡,如糖皮质激素治疗无应答则病死率可高达50%~75%。有研究发现,对于SAH患者在激素治疗无应答后行肝移植可显著提高患者的生存率[13],2017年美国胃肠病学会建议,当患者MELD评分>26、可有效戒酒时应纳入肝移植名单[14]。欧美最新指南也均废除了必须戒酒6个月才能行肝移植的要求,认为药物治疗无效的SAH患者,若可有效戒酒、再次饮酒风险较低者可行肝移植[15,16]。本例患者保守治疗后的MDF评分>81分、MELD评分>34分,药物治疗无效,肝移植科医师评估患者有肝移植指证且术后复饮风险小,及时给患者实施了肝移植手术,最后患者成功获救,且手术后至今5年恢复良好,可进行正常的工作和生活。
综上,通过本例患者的救治,我们认为,尽快明确诊断、积极综合治疗、及时评估病情及预后、把握肝移植指证是成功救治SAH患者的关键。
所有作者声明本研究不存在利益冲突





















