
患者男性,24岁,无既往病史及异常家族史。10余年前部分乳牙脱落后仅萌出两颗切牙及两颗上后牙,余牙未见萌出,上下颌牙槽嵴严重萎缩。
全身检查:头发稀少细弱或缺如,眉毛稀少,睫毛亦少;指趾甲发育不良、甲板中央凹陷、干燥;汗腺与皮脂腺少,皮肤菲薄、干燥,有鳞屑。口内检查:上颌余留#17,11,21,27,畸形牙;下颌全口牙缺失,牙槽嵴萎缩,角化龈萎缩。
CBCT示余留牙牙根形态完整,缺牙区域牙槽嵴严重萎缩,骨高度和骨宽度均不足,骨质未见明显异常。
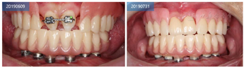
行数字化导板引导的下颌all-on-6种植手术,正畸治疗中切牙,角化龈游离移植,复合基台水平钛支架修复。
患者下颌在治疗后已恢复美观和咬合功能,达到了较为理想的修复效果。
口腔科;儿科;皮肤科
版权归中华医学会所有。本文为遵循CC-BY-NC-ND协议的开放获取文章。
外胚层发育不良(ectodermal dysplasias )是指有两个及以上的外胚层结构,如毛发、牙齿、指甲、汗腺、唾液腺、颅面部、足趾或身体其他部位出现的遗传性发育异常。其中,牙胚发育过程中出现的异常往往可导致牙数目异常(如先天缺牙),牙形态及大小异常(如锥形牙及点状牙等),牛牙症,釉质、牙本质发育不良等[1]。本病例联合运用数字化精确定位下颌切牙管、游离下颌切牙管神经血管、倾斜种植复合基台修复、游离龈移植等多个手术完成种植固定修复,旨在对该罕见病的治疗探索新的思路。
一般情况:患者男性,24岁。主诉:先天多颗牙缺失10余年。10余年前部分乳牙脱落后仅萌出两颗切牙及两颗上后牙,余牙未见萌出。否认特殊系统病史。家族史:父母三代直系、旁系亲属中均未见外胚层发育不良综合征或类似疾病。
全身检查:头发稀少细弱或缺如,眉毛稀少或无毛,睫毛亦少(图1),指趾甲发育不良、粗糙混浊,甲板中央凹陷、干燥(图2),汗腺与皮脂腺较常人为少,皮肤菲薄、干燥,有鳞屑(图3)。






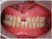
口外检查:颜面部表情自然,意识清楚,无关节弹响压痛,无张口受限,开口4.5cm,最大辅助开口5cm。面部左右不对称,颏点右偏,开口右侧偏斜。口内检查:上颌余留#17,11,21,27,畸形牙;下颌全口牙缺失,牙槽嵴萎缩,角化龈萎缩。唇部肌肉对抗牵拉力量较强,前庭沟浅(图4,图5,图6)。






辅助检查:3D打印上下颌骨模型,可见上颌缺牙区域剩余牙槽嵴菲薄,颧骨厚度不佳,下颌颏孔靠近牙槽嵴顶,牙槽嵴顶向内吸收,咬合空间尚可(图7)。


影像学检查:余留牙牙根形态完整,缺牙区域牙槽嵴严重萎缩,骨高度和骨宽度均不足,骨质未见明显异常(图8)。


诊断:(1)外胚层发育不良;(2)上颌肯氏Ⅲ类缺损;(3)下颌无牙颌;(4)#17、11、21、27畸形牙
术前拍摄CBCT、口外、口内临床照片,进行种植位点分析与牙槽骨测量,从CBCT图像可见余留牙牙根形态完整,缺牙区域牙槽嵴严重萎缩,骨高度和骨宽度均不足,骨质未见明显异常,且下颌神经前环以及和下颌切牙管位置表浅,常规种植位点无法支持种植固定义齿修复(图9)。


术前检查发现患者20多年来的不良咬合,唇部张力过大,拟采用全口活动义齿恢复咬合高度,进行咬合重建。制取印模,并制作诊断蜡型,患者对蜡型的美学效果满意后试戴全口义齿,检查全口义齿就位、咬合高度、边缘、颜色等,均能达到治疗需求。对患者戴用修复体时要注意的问题及口腔卫生维护进行强调。咬合重建3个月后检查,患者不伴有咀嚼肌压痛、关节区压痛及弹响音等症状,无不适感(图10)。


将CBCT的DICOM数据转为STL格式后获得数据模型,找到下颌切牙管前端A,颏孔C,和A与C曲线的中点B,在A点和B点设置两颗固位钉,联合颏孔C形成下颌切牙管指示定位导板(图11,图12,图13,图14,图15)。










牙槽嵴顶切开翻瓣,找到颏孔位置,安放下颌管指示导板。在下颌管指示导板的引导下,去除下颌神经管颊侧骨壁,充分暴露下颌管神经前端和中段,用上颌窦外提升器械将下颌管神经向远中轻推,观察到剥离后下颌管神经向远中回缩(图16)。


安放骨支持式种植导板,在导板引导下用先锋钻在牙槽窝定点和定方向,种植窝直径2.4~2.8mm后停止扩孔,植入Nobel Active 3.5mm×8mm种植体,利用种植体的自攻性到达预定深度,均在骨平面以下,6颗种植体尽量保持在一个平面利于后期修复,所有种植体初期扭矩达到50N/cm,然后平整骨面,安放复合基台(图17)。


2周后行游离龈移植手术,在上颌腭侧左右对称各切取1.5mm牙龈组织,包括角化上皮及其下方少许结缔组织。将游离半厚瓣移植到下颌左右侧前庭沟处,缝合创面(图18)。3周后复查,上颌角化龈缺损区域愈合良好,种植体周围角化龈部分恢复,前庭沟加深,种植体周围软组织移动减少(图19)。




外胚层发育不良属于一种遗传疾病,常导致患者毛发稀少、牙齿缺失以及皮肤汗腺等组织器官严重发育异常,其中,口腔症状常会给患者的生活质量和心理健康带来显著影响[2]。因此,外胚层发育不良患者往往有较强的口腔治疗意愿。然而,由于儿童下颚体积小,且未来下颌发育会影响种植体植入位点,在儿童早期种植上目前存在争议[3]。对于成年外胚层发育不良患者,当患者仅存在个别牙缺失时,由于缺牙数目相对较少,上下颌均有余留牙,因此缺牙对患者牙槽骨的发育影响会相对较小,临床上可采用传统的固定桥或种植固定(冠)桥来修复这两类缺牙,其治疗相对简单,修复效果较好。相反,在多个牙缺失的病例中,患者下颌几乎无牙,其下颌骨的发育会明显差于上颌骨,治疗的难点是如何为严重发育不足的下颌提供义齿固位的根基。无牙或孤立牙属于最严重的一类情况,上下颌同时严重发育不良,全口牙槽嵴往往处于严重萎缩状态,采用传统全口义齿往往不能取得理想的效果,在早期即需要借助种植体实现功能修复,后期随着颌骨的发育还需进一步优化种植治疗方案,实现功能的进一步提升[4,5]。
理想的种植体三维定位不仅有助于术中避免损伤下牙槽神经、血管、上颌窦底,而且可预防术后并发症,提升种植体长期稳定性,有助于上部的冠修复[6]。数字化导板技术是根据获取的口内数据制作模型,在计算提升种植修复的数据准确率,可避免种植修复期间对鼻腔、神经管等重要生理解剖结构产生不良损伤。本病例中患者由于长期缺牙,上下颌牙槽嵴严重萎缩,骨高度和骨宽度严重不足。且在CBCT上观察到患者下牙槽神经反折点靠前,且下颌神经管位置表浅,无法选择常规种植位点。因此,对本病例采取多学科联合治疗,选择数字化导板引导的种植修复治疗,从而避开下颌神经管,并提供精准的手术种植位点,最终达到了较为理想的修复效果,患者满意度较高。
综上所述,对于外胚层发育不良患者的诊断需要综合全身各部位的临床症状,并了解患者的家族病史。外胚层发育不良患者的口腔治疗主要是多学科的综合序列治疗,其中种植手术是恢复患者咬合功能的重要方法。医生通过对患者口腔状况的评估,制定完善的个性化序列治疗方案,避免错过最佳治疗时间。
所有作者声明本研究不存在利益冲突























