
患者男,62岁,因"咳嗽喘憋伴智力减退半个月余"之主诉于2019-08-06入院,患者曾于半个月前受凉后出现喘憋和咳嗽咳白色泡沫痰,喘憋持续不能平卧,同时伴有智力和认知能力减退。8月2日于当地医院行胸部CT结果报右下肺大片实变影,诊断肺部感染,给左氧氟沙星和头孢吡肟治疗3天后效果不佳。
体温36.2℃,脉搏82次/分,呼吸20次/分,血压139/78mmHg,胸廓对称无畸形,局部无隆起及凹陷,胸壁和肋骨无压痛,胸骨无压痛,肋间隙正常,胸壁静脉无扩张。双肺呼吸运动两侧对称,呼吸运动及呼吸频率正常,双肺语颤正常两侧对称,未触及胸膜摩擦感。双肺叩诊呈清音,听诊两肺呼吸音粗,双下肺闻及湿啰音。神志谵妄,精神可,发育正常,营养良好,匀称,主动体位,查体合作,语言模糊,声音清晰,对答不切题。既往2型糖尿病、冠心病、陈旧性脑梗,金属义齿。
2019年8月8日送检右下叶肺泡灌洗液送检病原学基因检测回报鹦鹉热衣原体。
患者入院后给予亚胺培南西司他丁钠(0.5g 1/8小时)和莫西沙星(0.4g 1/日)抗感染治疗,2019年8月8日停用泰能,改用米诺环素100mg BID,次日咳嗽明显减轻,长期口服。
2019年8月14日复查血常规:白细胞总数(WBC)4.6×109/L、中性细胞百分比(Grn%)50.0%。2019年8月15日复查胸部CT:右肺下叶大片密度增高模糊影,实变影,反晕征,边界不清,较前明显好转。中性粒细胞百分比恢复正常,无咳嗽,结束住院治疗,出院带药米诺环素继续口服。
呼吸科
版权归中华医学会所有。本文为遵循CC-BY-NC-ND协议的开放获取文章。
鹦鹉热衣原体(Chlamydophila psittaci,Cps)感染禽类引起的一种接触性传染病,也就是民间常说的鸟疫。Cps可以通过呼吸道传染人类,同时存在人和人之间以及任何鸟之间的途径。Cps是一种革兰染色阴性,细胞内寄生的病原体,且适合体外存活[1]。鹦鹉热肺炎潜伏期一般5~15天,临床表现上不明确,一般以类感冒症状为主,初期以发热、头痛、寒战和肌痛最为常见。也可出现咽痛、肝脾和淋巴结肿大,或以腹泻和消化道表现为主[2]。鹦鹉热为全身多系统疾病,最常累计肺脏,可并发心包炎、心肌炎或心内膜炎,由于临床表现多种多样,诊断难度颇大,易与其他社区获得性肺炎混淆。临床不熟悉鹦鹉热可能误诊为病毒性肺炎、脑膜炎或肠胃炎,因此诊断的要点,就是要明确患者是否有鸟类接触史。本例患者无明确的鸟类接触史因此为诊断和初始治疗造成了困难。
患者,男,62岁,因"咳嗽喘憋伴智力减退半个月余"之主诉于2019-08-06入院,患者曾于半月前受凉后出现喘憋和咳嗽咳白色泡沫痰,喘憋持续不能平卧,同时伴有智力和认知能力减退。8月2日于当地医院行胸部CT结果报右下肺大片实变影,诊断肺部感染,给左氧氟沙星和头孢吡肟治疗3天后效果不佳。入院时进行查体:36.2℃脉搏:82次/分呼吸:20次/分血压:139/78mmHg,胸廓对称无畸形,局部无隆起及凹陷,胸壁和肋骨无压痛,胸骨无压痛,肋间隙正常,胸壁静脉无扩张。双肺呼吸运动两侧对称,呼吸运动及呼吸频率正常,双肺语颤正常两侧对称,未触及胸膜摩擦感。双肺叩诊呈清音,听诊两肺呼吸音粗,双下肺闻及湿啰音。神志谵妄,精神可,发育正常,营养良好,匀称,主动体位,查体合作,语言模糊,声音清晰,对答不切题。既往2型糖尿病、冠心病、陈旧性脑梗,金属义齿
于2019年8月7日查心梗三项、血凝四项、便常规、ENA抗体13项、抗核抗体、肿瘤标记物、支原体抗体、1型糖尿病自身抗体、心电图、心脏超声未见异常。血常规:白细胞总数5.44×109/L,淋巴细胞绝对值(Lym#)0.83×109/L↓,中性细胞百分比(Grn%)77.1%↑,C反应蛋白151.72mg/L,血气加离子分析+生化(动脉血)pH7.476↑,二氧化碳分压30.6mmHg↓,氧分压71.6mmHg↓,血糖13.8mmol/L↑,肝功:丙氨酸氨基转移酶ALT85.4U/L↑,天冬氨酸氨基转移酶AST 106.3U/L↑,B型利钠肽前体797.1pg/ml。血氨91 umol/L,尿常规:尿糖(++),尿胆原(++),血沉46mm,降钙素原0.096mg/ml,白介素-6 11.22pg/ml。2019-8-2外院CT报:右下肺大片实变影,左肺上液条索影,双肺多发小结节影。次日头颅CT汇报:1.双侧基底节区多发缺血梗死灶可能;2.老年性脑改变。
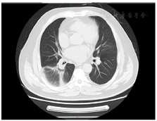
治疗2天后咳嗽喘憋症状未见好转,2019年8月8日行气管镜检查:各级支气管黏膜无充血水肿,少量分泌物。右下叶肺泡灌洗液送检病原学基因检测回报鹦鹉热衣原体。除此之外,影像学上回报:可见右中叶和右下叶晕征和下叶纤维空洞样改变(图1)。根据病原学和影像学结果诊断鹦鹉热衣原体肺炎明确。


2019年8月8日停用泰能,改用米诺环素100mg bid,次日咳嗽明显减轻。
2019年8月14日复查血常规:白细胞总数4.6×109/L、中性细胞百分比(Grn%)50.0%。2019年8月15日复查胸部CT:右肺下叶大片密度增高模糊影,实变影,反晕征,边界不清,较前明显好转。中性粒细胞百分比恢复正常,无咳嗽,结束住院治疗,出院带药米诺环素继续口服。出院后随访,至今未再复发。
鹦鹉热衣原体肺炎在我国的农村发病屡见不鲜,但有在mNGS出现之前仍没有准确的诊断方法,也有很多常规血液学检测可以借鉴。如常规血液检查时可发现,大多数患者白细胞数正常[3],并且出现肝酶异常、低钠血症和血尿素氮/肌酐升高[4]。除此之外,针对衣原体的血清学检验也可以帮助诊断鹦鹉热衣原体。2007年前国际上标准的且是最常用的衣原体血清学诊断方法是补体结合(CF)试验。目前是微量免疫荧光法(MIF),抗体效价在1∶16以上的测试结果被认为是暴露的证据[5]。
针对鹦鹉热衣原体,病原学检测是金标准。近年来最常见的Cps培养方法为鸡胚培养,绝大多数衣原体可在5~9天龄鸡胚卵黄囊内生长繁殖。其余非特异性的培养方法还有动物接种和细胞培养。目前特异、灵敏、快速的Cps分子生物学检测方法为用套式PCR扩增检测和DNA测序方法,患者急性期血、痰、咽拭子、鼻拭子分泌物均可分离病原体,从而进行二代测序或基因序列扩增[6,7]。
文献报道鹦鹉热肺部X线主要表现不同程度的浸润,无特异性,可有眼胸膜下分布的单发结节、实变或磨玻璃影。本例患者存在右下肺单发结节影,但更有特异性反晕征多发磨玻璃影以及右下肺贴近胸膜处的纤维化影,且病原学和血清检测均不支持真菌感染[8,9]。曾有文献报道的鹦鹉热衣原体肺炎的CT表现为右下肺结节伴晕征[10]。更有很多学者认为晕征是Cps的典型表现[11]。关于鹦鹉热的治疗方面,细胞内活性高四环素类为首选药物,或者大环内酯。一般常用四环素500 mg口服,4次/d,7~10天左右症状消失,影像学检测好转。本例患者采用米诺环素100 mg 2次/日,效果明显,症状消失,血常规回报正常。但初期应用碳青霉烯类和喹诺酮类药物治疗效果欠佳。
鹦鹉热衣原体的临床症状多样,诊断手段也越来越多,初诊中鸟类接触史的问诊最为重要,同时医务人员应采取更加严格的防护措施,对患者应立即隔离,同时消除接触的病原动物。Cps是一种细胞内感染的人畜共患病,一般都有鸟类接触史,但本例患者否认鸟类接触,因此对诊断此病增加了难度。但肺泡灌洗液在高通量二代基因测序和PCR的辅助下可以快速精准地诊断疾病,相信在以后随着高通量测序检测手段的普及对Cps的诊断率会有更进一步的提升。
所有作者均声明本研究不存在利益冲突





















