
1例合并多种自身免疫性疾病(系统性红斑狼疮、抗磷脂综合征、自身免疫性溶血性贫血、桥本氏甲状腺炎)青年女性,以咳嗽、胸痛、呼吸困难、发热为主要表现,院外抗感染及对症治疗效果不佳。
双肺呼吸音降低,右肺闻及湿啰音。
抗感染治疗后临床症状不缓解,血D-二聚体进行性升高,CT肺动脉造影(CTPA)提示肺栓塞征象。
住院期间使用低分子肝素、甲强龙、环磷酰胺。出院后华法林联合醋酸泼尼松及其他对症药物。
抗凝治疗4个月后复查CTPA结果提示肺栓塞病灶较前减小,建议终生抗凝,定期风湿科、呼吸科门诊随访。
呼吸与危重症医学科;风湿内科
版权归中华医学会所有。本文为遵循CC-BY-NC-ND协议的开放获取文章。
肺栓塞(PE)是一种发生在肺动脉或其分支的栓塞性事件,以血栓较常见,临床上可出现胸痛、咯血、呼吸困难等症状。肺血栓栓塞症(PTE)是PE的常见类型,栓子常源于深静脉血栓形成(DVT),PTE及DVT也被认为静脉血栓栓塞症(VTE)在不同时间及部位的表现。近年来风湿系统疾病与肺栓塞的关系得到了广泛认识,其中抗磷脂综合征(APS)、系统性红斑狼疮(SLE)及自身免疫性溶血(AIHA)均可增加血栓事件的风险[1,2]。我们报道1例存在多种自身免疫性疾病继发肺栓塞的诊治经历,旨在增强对于多种自身免疫性疾病患者发生肺栓塞的风险识别以及强调有关抗凝治疗的要点。
患者入院前20天出现间断咳嗽,入院前15天出现胸痛,入院前10天感活动后呼吸困难,入院4天前胸部CT提示左肺上叶舌段及左下叶舌段炎症,双侧胸腔少量积液,院外给予抗感染及对症处理后效果不佳,入院前3天开始出现发热,体温最高38.5℃,病程中无明显畏寒、寒战、咳痰、咯血、恶心、呕吐、心悸等症状,遂入我院。
既往2年前诊断"结缔组织病,抗磷脂综合征",服用泼尼松、羟氯喹、阿司匹林治疗,已自行停药1年,未随访。否认吸烟及饮酒史。G3P0。无家族史。
查体:呼吸稍促,口唇无紫绀,双肺呼吸音降低,右下肺可闻及湿啰音。心、腹部(-)。双下肢无浮肿。
入院后血常规提示WBC 11.69×109/L,HGB79 g/L,PLT248×109/L,sCRP 111.87 mg/L,血清肿瘤标记物NSE 22.85 ng/mL,PCT 0.16 ng/ml,D-二聚体2.56 mg/L FEU,BNP及肝肾功未见异常。
病原学检查:细菌、真菌、非典型病原体、病毒、结核等病原学检查阴性。
淋巴结彩超提示左侧锁骨上、双侧腋窝多个淋巴结肿大,心脏彩超未见确切异常。
胸水未查见癌瘤细胞,胸膜活检提示慢性炎症细胞浸润、纤维组织增生。
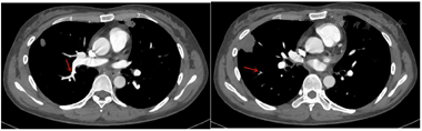
入院后出现胸痛症状加重,查D2聚体进行性升高,心肌酶正常,2020.12.29肺动脉造影(CTPA)提示左肺部分肺动脉分支充盈缺损,双侧上、下肢静脉彩超未见确切异常,诊断为急性肺栓塞,予以低分子肝素抗凝,随后免疫性结果回示抗nRNP/Sm抗体(+++),抗Sm抗体(++),抗SSA抗体(+),抗细胞周期抗体(++),抗核小体抗体(+),抗组蛋白抗体(+),抗核抗体(+)滴度1:3200,抗双链DNA抗体171.01 IU/mL,风湿科会诊后以"结缔组织疾病,抗磷脂综合征"转风湿免疫科进一步诊治。转入后复查HGB 54 g/L,血D-二聚体8.89 mg/L FEU,呈进行性升高趋势,直接抗人球蛋白实验阳性,抗甲状腺球蛋白抗体(anti-Tg)136.75 IU/mL,抗甲状腺过氧化物酶(anti-TPO)129.48 IU/mL。骨髓细胞学涂片、流式细胞术、活检等结果无确切血液系统肿瘤依据。CTPA结果提示右肺上叶尖段肺动脉起始部、右肺下叶前基底段、外基底段肺动脉内肺动脉栓塞,下叶为完全性栓塞(图1)。


1.急性肺栓塞。2.系统性红斑狼疮伴自身免疫性溶血性贫血(重度),继发性抗磷脂综合征。3.桥本氏甲状腺炎。
该病主要与肺部肿瘤、机化性肺炎等疾病相鉴别。
低分子肝素抗凝同时联合甲强龙、环磷酰胺、丙种球蛋白以及其他对症支持治疗
治疗后症状缓解,病情好转出院。出院后调整为华法林抗凝联合泼尼松、羟氯喹及其他对症治疗药物,控制INR(2-3),观察有无出血事件,定期门诊复查D2聚体及静脉彩超。
4个月后门诊复查CTPA结果提示血栓病灶较前明显缩小,无新发血栓征象(图2)。考虑患者存在多种免疫介导疾病,建议终身口服华法林抗凝,监测INR(2-3),定期呼吸科与风湿科随访。


随着近年对肺栓塞的发病机制的认识以及早期临床预防、诊断等水平提高,肺栓塞的发生率及死亡率得到有效降低,自身免疫性疾病(autoimmune diseases,AIDs)在肺栓塞的发生中具有重要的地位,包括抗磷脂抗体综合征、系统性红斑狼疮、自身免疫性溶血性贫血等疾病,这可能与存在不同遗传背景的AIDs患者在机体产生炎症反应后释放的细胞因子有关[3]。其中抗磷脂综合征(APS)患者前五年发生栓塞事件概率为16.6%[4],然而其他AIDs与血栓事件的关系也得到了证实,如SLE患者发生栓塞事件的风险在免疫介导性疾病中最高[1],且合并PE的总患病率为1.62%,女性高于男性[5]。需要注意的是,AIDs中AIHA能增加住院患者发生VTE的风险[2],其继发PE的总体发病率为3.44%[6],因此认为AIHA也是导致血栓事件的重要危险因素。有个案报道SLE合并APS并诊断桥本氏甲状腺炎(HT)的患者发生了PE[7],尽管HT也属于AIDs种的一员,目前尚未有证据显示HT与血栓事件的有关。
该患者存在SLE、APS、AIHA、HT等多种AIDs,而近年来共患多种AIDs与VTE之间的关系越来越得到关注。最近的研究显示继发于不同AIDs(包括SLE、类风湿关节炎、混合结缔组织病等)的APS患者较原发性APS出现血栓栓塞事件比例更高[8]。且以往文献报道SLE合并AIHA患者比单一SLE的患者更容易出现血栓形成[9]。而另一篇研究指出APS合并AIHA人群更容易出现动脉血栓,且有58%的患者发生静脉血栓事件[10]。因此认为共患多种AIDs可能具有协同作用,较单一AIDs更易发生VTE,应值得临床医生的关注,必要时合理制定预防抗凝及长期监测策略。
近年发现一些AIDs与血栓事件有关的标志,如在住院SLE中,抗磷脂抗体阳性、体重指数(BMI)>25 kg/m2、糖皮质激素最高剂量>0.5 mg/kg/d、hsCRP >3 mg/L、病程小于1.5年、低白蛋白血症被认为是发生PE的独立危险因素[11],血清半乳糖凝集素3结合蛋白(G3BP)被认为是SLE患者出现VTE的预测因子[12]。另一方面,在APS患者中狼疮抗凝物(LA)及抗心磷脂抗体(aCL)显著增加了发生血栓形成风险[13],并且aCL水平升高也是健康人群发生VTE及PE的危险因素[14]。在AIHA人群中,患者发生血栓事件与当时的Hb水平(≤8 g/dL)、LDH水平升高(中位数837U/L)和既往脾切除等因素有关[15],另外LA也是被证实增加AIHA患者发生VTE的风险[16]。该患者存在aCL、LA阳性、Hb降低、hsCRP>3 mg/L等因素,因此进一步增加了血栓事件的风险。
对于AIDs出现血栓事件的患者,应科学规范给予治疗方案,2011年《抗磷脂综合征诊断和治疗指南》以及2018年《肺血栓栓塞症诊治与预防指南》强调APS患者继发血栓事件时,宜尽早启动抗凝治疗,然而并未就抗凝药物选择及疗程给出详细指导意见。2019年欧洲心脏病(ESC)与欧洲呼吸病(ERS)协会共同制定的急性肺栓塞诊疗指南中明确提出,对于APS患者无论是维持治疗还是预防复发,推荐使用维生素K拮抗剂(IA),而不推荐使用新型直接口服抗凝剂(NOACs)作为中低危肺栓塞患者的初始治疗(IIIC)[17],另一篇有关APS诊疗的荷兰专家共识中也推荐使用治疗剂量低分子肝素(LMWH)和维生素K拮抗剂作为首次或复发的APS相关血栓事件的一线治疗药物,不推荐使用NOACs,而对于首次发生VTE的APS患者,建议终生抗凝,并且在急性期推荐使用LMWH,随后可序贯为华法林,目标INR范围2.0-3.0[18]。
患者存在多种自身免疫抗体异常,除LA、APL外,还存在抗核抗体(ANA)、anti-TPO、anti-Tg以及异常红细胞抗体等,这些抗体是否全身炎症状态而直接或间接参与了血栓事件的发生以及与预后相关,则需长期随访并期待更多大样本临床研究分析。
所有作者均声明本研究不存在利益冲突





















