
患者3月前左下后牙出现自发性、间歇性疼痛,冷热刺激加重疼痛,随即于外院行"牙髓治疗",疼痛缓解,术中发现根管不通,建议转诊,于2020年12月至首都医科大学附属北京口腔医院牙体牙髓病科就诊。
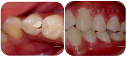
34远中邻合面可见白色暂封材料,部分脱落松动,叩痛(±),不松动,牙龈龈缘稍红肿,无窦道口,牙髓活力测试:无反应,咬合:无异常动度。术前行完善的根尖片和锥形束CT(cone beam computed tomography,CBCT)检查。
依据慢性牙髓炎诊断要点、Keene提出"牛牙症指数( taurodontism index,TI)"及Fan等对下颌第一前磨牙C形根管的分类。CBCT测量34的TI值,观察牙根横截面形态进行诊断。
34慢性牙髓炎(重度牛牙症伴C形根管)。
34显微根管治疗。
术后3月复诊,34无特殊不适,并完善冠部永久修复。
牙体牙髓病科;口腔综合科
版权归中华医学会所有。本文为遵循CC-BY-NC-ND协议的开放获取文章。
牛牙症(taurodontism)是一种少见的髓腔形态变异,由Keith[1]于1913年首次命名,以髓室垂直高度增大、根分叉移向根尖区、根干长牙根短和颈缩变小甚至消失为主要特征[2]。牛牙症在乳牙列和恒牙列的前磨牙和磨牙发生,但在下颌第一前磨牙发生率仅为0.4%[3]。C形根管是牙齿的根管横断面呈C形的根管系统,临床研究报道下颌第一前磨牙发生率为4.10%~5.56%[4,5]。我们报道1例下颌前磨牙重度牛牙症伴C形根管,旨在对下颌前磨牙C形根管和牛牙症的形态、结构特点提高认识,展示CBCT影像学分析和显微根管技术的联合应用。
患者,男,22岁,学生,于2020年12月至首都医科大学附属北京口腔医院牙体牙髓病科就诊。主诉:左下后牙自发性疼痛3月余。现病史:3月前左下后牙出现自发性、间歇性疼痛,冷热刺激加重疼痛,随即于外院行"牙髓治疗",疼痛缓解,术中发现根管不通,建议转诊。既往史:否认心脏病、高血压及糖尿病等系统性疾病;否认乙肝和结核等传染病,否认药物过敏史。
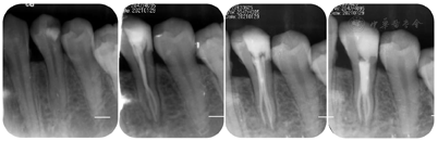
34远中邻牙合面可见白色暂封材料,部分脱落松动,叩痛(±),不松动,牙龈龈缘稍红肿,无窦道口,牙髓活力测试:无反应,咬合:无异常动度。见图1。根尖片示:34牙冠远中邻合面高密度充填影像达髓腔;髓腔高大,髓室底低,根分叉向根方移位,牙根中下1/3膨大,根管影像不清,根周膜影像不清。见图2A。CBCT示:⑴横断面:髓腔高大,髓室底低,牙根下段根管形态复杂,中下1/3牙根横截面呈C形(见图3A、3B);⑵近远中观:颊侧通路影像清晰,舌侧通路影像不清,髓室底距颊尖约:14.0mm,髓室底距CEJ约:7.6mm(见图3C、3D),测量牛牙症指数(taurodontic index,TI),AB:15mm、AC:7.6mm,AB / AC x100%= 50.7%,为重度牛牙症(见图5);⑶颊舌侧观:舌侧通路弯曲明显,呈"S"形,根尖1/3根管影像不清(见图3E)。








诊断标准:⑴慢性牙髓炎诊断要点[6]:可以定位患牙的长期冷、热刺激痛病史和(或)自发痛史;肯定可查到引起牙髓炎的牙体硬组织疾病或其他病因;患牙对温度测验的异常表现;叩诊反应可作为很重要的参考指标。⑵Keene[7]提出"牛牙症指数(taurodontic index,TI)",TI=(AB/AC)×100,将其分为犬牙状(0~19.9)、轻度(20.0~29.9)、中度(30.0~ 39.9)和重度(40.0~75.0)4种类型(见图4)。⑶Fan等[8]使用显微CT对下颌第一前磨牙C形根进行了连续的横断面研究,并对C形根管进行分类(见表1)。



下颌第一前磨牙C形根管横断面形态分类
下颌第一前磨牙C形根管横断面形态分类
| 下颌第一前磨牙C形根管横断面形态分类 | |
|---|---|
| C1型 | 根管连续似字母C形 |
| C2型 | 根管形态被牙本质分隔开来,形似中文分号";"形 |
| C3型 | 2个分开的根管,其形状均为圆形、卵圆形或扁圆形根管 |
| C4型 | C4a圆形根管 |
| C4b卵圆形根管 | |
| C4c扁圆形根管 | |
| C5型 | 3个或更多根管 |
| C6型 | 在横断面没有根管或根管不完整(通常位于根尖孔的横断面) |
诊断证据:⑴根据主诉和现病史中疼痛性质和特点,临床检查中牙髓活力测试:无反应,影像学检查(X线片和CBCT)示:根尖周未见明显病变,诊断34慢性牙髓炎。⑵左下颌第一前磨牙CBCT近远中向TI测量,AB:15mm、AC:7.6mm,AB / AC x100%= 50.7%诊断为重度牛牙症(见图5)。⑶CBCT横断面示:34牙根中下1/3牙根横截面呈C形(见图3B),诊断为34 C形根管。
诊断:34慢性牙髓炎(重度牛牙症伴C形根管)。
鉴别诊断:⑴慢性根尖周炎[6]:口内检查牙龈无窦道口,影像学检查(X线片和CBCT)示:根尖周未见明显病变,以此与慢性根尖周炎进行鉴别。⑵[9]伴发牛牙症的综合征,如毛发骨综合征和成骨不全症等,除牛牙症,其主要鉴别点是综合征的体征,如毛发骨综合征以头发卷曲、釉质发育不良和骨皮质增厚为主要特征[10,11]。早期牙本质发育不全:髓室高大,但牙冠呈琥珀色,呈半透明,牙颈部缩窄明显,牙冠呈球根状;髓腔壁薄。发育期的磨牙:髓室高大,但髓腔壁薄,根尖孔大,呈喇叭状,牙根未发育完全,发育完成后髓腔形态正常。患者现22岁,下颌第一前磨牙完全萌出,发育为成熟的恒牙,以此可与早起牙本质发育不全和发育期磨牙进行鉴别。在临床检查中未见患者头发卷曲,全口牙齿未见明显的釉质发育不全,所以可与伴发牛牙症的综合征进行鉴别。
治疗计划:OHI;34显微根管治疗;牙周系统治疗;34择期冠修复。
治疗过程:34去除暂封材料及棉球,洞壁见大量腐质,颊侧及舌侧的髓室顶未完全揭除(见图7A);去净腐质,玻璃离子制作假壁,上橡皮障,揭净髓室顶,显微镜下见髓腔狭窄,髓室底深。依据术前CBCT测量数据:髓室底距颊尖:14.0mm,髓室底距釉质牙本质界CEJ:6.5mm,在显微镜下,使用超声ET20去除牙本质领,修整、扩大髓室壁,建立直线通路。见髓室底有钙化物,同时去除髓室底钙化物,充分暴露髓室底,DG16仅探及颊侧通路,C+疏通,扩大至15#。在CBCT上对远舌通路进行定位,远舌通路位于颊侧通路远中舌侧约2.0mm(见图3F),显微镜下,ET25逐层去除根管口牙本质领,充分暴露远舌通路根管口,根管弯曲细小,伴有弥漫性钙化,依次使用6#、8#、10# C锉,尖端2mm预弯,结合EDTA凝胶逐号疏通根管,1%NaClO大量冲洗,回挫,电测根管长度:B=21.0mm,DL=19.0mm,镍钛预备根管,B:25# 6%,DL:25# 4%。试主尖,根尖片发现根管有遗漏(见图2B)。再次结合CBCT对近舌通路进行定位CBCT颊舌观:近舌牙根弯曲,根管影像不清(见图6B);横断面:近舌通路根管口位于颊侧通路远中舌侧1.5mm,远舌通路近中颊侧约1.0mm,近舌通路根管口牙本质领较厚(见图6A),显微镜下,ET25少量缓慢逐层去除1~2mm钙化物及牙本质领,小号锉反复探查,探及近舌通路根管口;疏通方法同远舌通路,电测根管长度:ML=19.0mm,EDDY尖结合1%NaClO声波活化荡洗,试主尖,X线片示:到达工作长度(见图2C),根管内封入Ca (OH )2糊剂,玻璃离子暂封。2周后复诊,患牙未诉不适,iRoot sp单尖充填3通路,髓腔热牙胶回填,完成根管治疗。术后拍摄X线片显示,根管充填恰填(见图2D)。




牛牙症患牙形态改变大,拉长的髓腔、多样的根管形态,对临床医生来说无论是从诊断还是治疗都是一种挑战。目前国内大多数地区仍然通过传统X线片检查诊断牛牙症,但是,许多因素如根管的变异、不同的拍片投射角度、解剖关系的重叠等都会干扰医生的判断,这给牛牙症的正确诊断和治疗带来了困难[12]。而对于C形根管是在牙根横断面呈C形,X线片不能观测牙齿的横断面情况,临床上,X线片辨别只能根据C形根管的牙根和根管走向来间接判断。本例患牙术前X线片仅发现患牙髓腔高大,髓室底低,根分叉向根方移位,牙根中下1/3膨大,根管影像不清等特征,并不能确诊患者是否存在牛牙症和C形根管。随即我们术前拍摄了CBCT,发现患牙髓室高度增加,髓底向根尖方向移位,牙根较短小,中下1/3牙根横截面呈C形,舌侧牙根弯曲明显、呈"S"形,根尖1/3根管影像不清,同时在CBCT近远中向测得TI= 0. 57,诊断为重度牛牙症伴C形根管。Darw azeh[13]等报道高达26. 7%的牛牙症患牙存在不同程度的髓石及根管钙化,伴随其特殊的髓腔形态给根管治疗造成很大的困难[14]。发生于前磨牙的C形根管系统形态复杂,存在较大变异,容易遗漏根管,这为治疗增加了难度[15]。本例牛牙症患牙舌侧通路根管口牙本质领较厚,根管细小弯曲,并伴有不同程度的钙化,在治疗过程中发现舌侧根管口难以寻及。因此,在治疗过程中我们也反复借助了CBCT三维导航作用,准确定位远舌根管口和近舌根管口的位置,并从多个角度更准确直观地反映根管走向、弯曲程度、钙化长度、位置及变化,为弯曲、钙化根管的治疗提供了可靠的信息。通过本病例我们建议在复杂根管治疗过程中要充分利用和分析CBCT,结合根管显微镜的照明和放大功能准确定位钙化根管口,采用超声设备精细去除牙本质领和钙化物。同时,配合使用小号C锉(尖端2mm预弯)和EDTA根管凝胶疏通根管,疏通时特别注重回锉和冲洗液的大量冲洗,避免台阶、侧穿及根管偏移等不良并发症的发生。预备舌侧弯曲根管使用可预弯的记忆型镍钛锉,防止出现器械分离。对于弯曲根管的化学预备,国外学者[16]发现EDDY具有较好的清洁作用,本病例我们选用了EDDY声波工作尖越过根管弯曲部位,到达距根尖1mm进行荡洗,通过这些措施提高了牛牙症根管治疗的成功率。在病例中我们也学到了:通过认真细致地临床检查,利用X线片、CBCT和显微镜观察对根管形态进行准确的判断,选择合适的器械,临床医生细致耐心的操作以及病人的配合,是治疗成功的重要因素。
所有作者均声明本研究不存在利益冲突























