
患者,女,48岁,因"胸痛5天"入院。患者5天前爬楼后出现胸痛,为胸骨正中绞痛,持续约1小时后缓解。心电图示:V3R-V5R导联呈QS型;超敏肌钙蛋白I:0.103 ng/mL。胸痛三联CTA除外主动脉夹层及肺动脉栓塞;右冠状动脉起于左窦,近段纤细;左冠前降支近段非钙化斑块,管腔轻度狭窄。既往高血压病史5年,血压最高200/100mmHg,未服药。
入院时血压182/90mmHg,心率94次/分,律齐,心前区闻及Ⅱ/6级舒张期杂音。
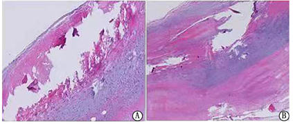
根据术前超声心动图检查诊断为中-重度主动脉瓣关闭不全、主动脉窦部夹层,术中证实诊断,病理提示主动脉瓣及升主动脉窦壁胶原纤维组织黏液样变性合并玻璃样变性。
全麻下行主动脉瓣和升主动脉置换和冠脉移植术(Bentall手术)。
患者术后恢复良好。
超声科;心内科;心外科
版权归中华医学会所有。本文为遵循CC-BY-NC-ND协议的开放获取文章。
急性胸痛起病急,误诊率和病死率高,快速高效地鉴别病因、争取治疗时机,对于降低胸痛死亡率、改善患者预后具有重要意义。目前急性胸痛的常规临床诊断路径大大提升了诊断效率和准确率,但对一些特殊病因鉴别时检查方法的选择仍存在困难。我们报道一例因急性胸痛就诊、胸痛三联CTA漏诊而超声诊断的主动脉窦部夹层病例,旨在提高对此类病因引起急性胸痛时的认识,减少误诊和漏诊。
患者,女,48岁,因"胸痛5天"入院。患者5天前爬楼后出现胸痛,为胸骨正中绞痛,持续约1个小时后缓解。2天前本院门诊心电图示:V3R-V5R导联呈QS型(图1);


超敏肌钙蛋白I:0.103 ng/mL;胸痛三联CTA示:1.主动脉未见明显狭窄、夹层及动脉瘤征象;2.肺动脉未见明显栓塞;3.右冠状动脉起于左窦,近段纤细;左冠前降支近段非钙化斑块,管腔轻度狭窄(图2)。


门诊以胸痛待查:冠心病?收入院。
入院体检:体温36.6℃,呼吸20次/分,血压182/90mmHg。双肺呼吸音清,未闻及明显干湿啰音,心率94次/分,律齐,心前区可闻及Ⅱ/6级舒张期杂音。患者既往高血压病史5年,血压最高200/100mmHg,平日监测血压150~160/80mmHg,未服药。
入院复查超敏肌钙蛋白Ⅰ0.043ng/mL,氨基末端脑钠肽前体211.00pg/mL。复查心电图显示:1.窦性心律2.心电轴轻度左偏3.Ⅲ、aVF导联T波改变(图3);


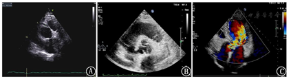
超声心动图所见:左房、左室稍大,升主动脉增宽,窦管连接部基本消失,主动脉根部右冠窦至无冠窦可见一纤细强回声光带,将主动脉根部分为两个腔,左冠状动脉起始部位置正常,内径约0.34cm,右冠状动脉起始部位于大动脉根部短轴约12~1点钟方位,似位于假腔,内径稍宽约0.48cm,升主动脉近端、主动脉根部及降部未见异常光带回声。室间隔与左室壁稍厚,室壁运动可,未见明显节段性室壁运动异常;CDFI示主动脉瓣中-重度反流,呈偏心性,沿二尖瓣前瓣走行。
超声提示:1、主动脉瓣中-重度关闭不全;2、主动脉窦部异常回声光带、右冠状动脉稍增宽(建议CTA除外主动脉窦部夹层累及右冠状动脉及主动脉瓣)(图4)。


为排除主动脉夹层对胸痛三联CTA进行复片,提示升主动脉根部伪影。鉴于超声提示瓣膜病及主动脉夹层可能,患者转入心外科拟行手术治疗。
患者完善术前检查后,在全麻下行主动脉瓣和升主动脉置换和冠脉移植术(Bentall手术)。术中见患者升主动脉稍增粗,直径约3.7cm,主动脉右冠窦和无冠窦内膜自窦管交界内部位水平离断导致右冠窦和无冠窦内夹层形成,累及右、无冠窦和右、无冠瓣交界,余血管未见夹层。遂切除病变部位,置换主动脉瓣及升主动脉,将左、右冠状动脉开口吻合于相对应部位人工血管。术后病理显示主动脉瓣及升主动脉窦壁胶原纤维组织黏液样变性合并玻璃样变性(图5)。术后超声提示:置换的人工血管内径正常,管腔通畅,内未见明显异常(图6)。术后CTA示置换的升主动脉人工血管未见明显异常(图7)。复查心电图提示:1、窦性心律2、心电轴正常3、部分导联T波改变(图8)。








患者术后恢复良好,病情稳定,已出院。出院后对患者进行长达四个月的随访发现,患者恢复良好。
急性胸痛是以胸痛为主要表现的一组异质性疾病群,起病急,发病凶险,误诊率和病死率高,尽早明确病因是对急性胸痛患者急诊救治的关键[1]。临床急性胸痛的诊断方法包括经验性诊断、影像学检查、心电图、血清标志物检测等,仅凭临床症状及血清标志物检查难以及时确诊,实验室和超声心动图则容易忽略主动脉夹层和肺动脉栓塞等的检出[2]。影像学检查中胸痛三联CTA检查一次扫描可同时观察冠状动脉、肺动脉和主动脉,能提高诊断效率和缩短诊断时间,是目前评估急性胸痛患者的首选检查方法。
本例患者首诊行急诊胸痛三联CTA检查除外了主动脉夹层、肺动脉栓塞,但冠状动脉存在一定异常,结合心电图及血清酶学表现,临床初步诊断考虑为急性冠脉综合征。入院后超声心动图提示主动脉瓣中-重度关闭不全及主动脉窦部夹层,对CTA进行复片提示主动脉根部伪影,仍不支持主动脉夹层诊断,但外科术中证实为主动脉窦部夹层。CTA漏诊主动脉窦部夹层的原因可能是:1、CTA检查易受心脏运动产生的图像伪影影响,且伪影多发生于主动脉近端,本例患者主动脉夹层撕裂内膜局限于主动脉窦部,恰好位于CTA伪影多发部位,造成CTA结果判断偏差;2、尽管胸痛三联CTA是实现胸痛一站式诊断的首选检查,但存在充分显示冠状动脉、肺动脉及主动脉的CTA增强目标各不相同的缺陷[3],理论上如果三个血管都显影意味着与此同时四个心腔里都会被造影剂填充,浓度过高的造影剂就会导致硬化线束伪影的产生,从而影响特别是右冠和肺动脉起始部位的观察,本例患者CTA见升主动脉根部见线样低密度影,延伸至腔外,故放射科医师根据经验判断为主动脉根部伪影,导致主动脉窦部夹层漏诊。
累及升主动脉的主动脉夹层若逆向撕裂、内膜片堵塞或假腔血肿压迫,可导致冠状动脉开口及主要分支闭塞或部分闭塞造成心肌梗死或缺血;且由于右冠状动脉开口明显高于左冠状动脉,故右冠状动脉受累概率大。研究报道Stanford A型主动脉夹层累及冠状动脉导致急性心肌梗死的发生率约为3%~11.3%[4,5]。由于临床症状和心电图、酶学检查结果等相似,影像学检查未发现主动脉夹层存在的胸痛患者常被误诊为急性心肌梗死。
本病例主动脉夹层局限于主动脉窦部,患者术前两次心电图均提示右冠状动脉相关供血区域缺血,但并未出现心肌梗死的典型动态演变征象,超敏肌钙蛋白等血清标志物也仅提示心肌损伤,尚未达到诊断心肌梗死标准,推测与主动脉窦部夹层发生发展过程中逐步累及冠状动脉起始部的病程相关。此病例术中见主动脉右冠窦和无冠窦内膜自窦管交界内部位水平离断导致右冠窦和无冠窦内夹层形成,左冠窦及升主动脉均未见夹层,右冠状动脉未见明显起源异常,因受右冠窦和无冠窦处夹层血肿压迫推移误以为右冠状动脉异位起源于左冠窦,且右冠状动脉因受到夹层血肿影响造成相关供血区域心肌缺血,出现胸痛等临床表现及酶学和心电图改变;此外,患者主动脉瓣中-重度反流亦与主动脉窦部夹层导致瓣膜支撑结构异常致瓣膜脱垂有关。
经胸超声心动图虽然对心外结构显示价值有限,但能精细显示主动脉根部病变、主动脉瓣是否受累及瓣膜反流程度、冠状动脉是否受累及合并节段性室壁运动异常等心肌缺血表现,还能准确评估心脏的收缩和舒张功能[6]。此病例患者因其主动脉夹层累及部位特殊且局限,胸痛三联CTA漏诊,而经胸超声心动图对主动脉根部病变的显示优势帮助明确诊断并为临床及时正确处理提供依据。
急性胸痛患者的诊断方法选择上,CTA、超声心动图、心电图和血清标志物等检查方式各有优势,实际操作中除严格按照胸痛的常规临床评估和诊断流程进行外,还应该根据患者病史、胸痛发作的特点及血清标志物检查结果,灵活选用CTA及超声心动图等相关影像学检查,以有效提高诊断效率和避免漏诊、误诊的发生。
所有作者均声明本研究不存在利益冲突





















