
患者,男,30岁,因"反复胸闷3年,伴双下肢水肿9天"于2014年1月10日入院。患者无既往病史,家族无遗传及特殊病史。
入院时精神尚可,颈静脉无怒张,双肺未闻及干湿啰音,心界扩大,心率104次/分,心律绝对不齐。肝肋下4 cm,双下肢重度凹陷性水肿。多次复查心脏多功能超声等明确右心室和右心房显著增大。
结合患者病史及临床表现,完善心电图、肝肾功、心脏彩超等检查,在综合评估其主要病因后,行冠状动脉造影等。诊断为冠状动脉粥样硬化性心脏病:缺血性心肌病、右心房及右心室增大、三尖瓣重度关闭不全、心房颤动,心功能II级。
予以药物治疗及冠脉搭桥、上腔静脉-右肺动脉连接术等外科手术治疗
患者症状明显缓解。规律服药定期复查,右心大小及心功能逐渐恢复。
心血管内科
版权归中华医学会所有。本文为遵循CC-BY-NC-ND协议的开放获取文章。
心脏结构增大是缺血性心肌病、扩心病等患者常见一种的心脏病理改变,常常合并有心功能下降、水钠潴留等表现。但临床上常以左心增大或全心增大为主,以右心增大为主的心脏改变,临床上比较少见。此外,一般情况下,右心增大常见是右心房的增大,若合并右心室的增大则可能提示病情的进展或心肌病变可能,需要仔细评估其病因。不同于左心疾病,右心系统的疾病可能早期症状隐匿。但当明确了右心室增大后需要尽早干预,如果长期右心室增大不能够得到有效缓解,会引起右心衰竭,出现双下肢水肿、腹腔积液、胸腔积液等体循环淤血的表现,严重时会累及左心,发生全心衰竭,预后较差。本次我们报道的1例以心衰为主要表现,在完善心电图、心脏彩超及冠脉造影后明确的心肌梗死引起巨大右心(右心房、右心室显著增大)的病例,旨在为提高对右心增大临床表现及病因的认识。
患者,男,30岁,农民。因"反复胸闷3年,伴双下肢水肿9天"于2014年1月10日入院。3年前因反复发作性胸闷于当地医院诊断"三尖瓣反流、右心大",予以保守治疗。无心悸、气促,无双下肢水肿。9天前开始出现双下肢水肿、活动时气促及乏力。无既往病史。有吸烟史10年,1包/天;饮白酒,1~3次/周,100g/次。否认冶游史。家族无遗传及特殊病史。患者2010年10月华西医院心脏彩超:左心房32 mm,左心室40 mm,右心房101 mm×92 mm,右心室52 mm;左心室EF 64%,右心室EF 34%;三尖瓣瓣环扩张,关闭时缝隙14 mm,重度反流,流速150 cm/s,压差9 mmHg;考虑诊断:右室心肌病。入院后完善体格检查:血压132/92 mmHg,脉搏86次/分。颈静脉无怒张,双肺未闻及啰音,心界扩大,心率104次/分,心律绝对不齐。肝肋下4 cm,双下肢重度凹陷性水肿。
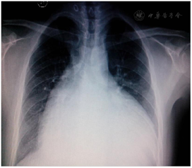
入院后完善检验提示三大常规、凝血六项、肾功能、血气分析、心肌损伤标志物及BNP正常。而肝功能检验提示:ALP、GGT、TBil等显著增高,提示肝功能异常。胸部X片提示:心界明显扩大,心胸比约为0.81(图1)。心电图提示:心房颤动;电轴右偏;完全性右束支阻滞;心脏顺钟向转位;T波改变窦性心律,T波低平(图2)。进一步完善心脏彩超:左心房32 mm、左心室40 mm;右心房横径100 mm、上下径106 mm;右心室前后径65 mm、横径81 mm、上下径62 mm;肺动脉主干24 mm,右室流出道60 mm;右心室EF 34%;左心室EF 66%,室壁未见节段性运动异常;三尖瓣:瓣环52 mm,关闭时瓣口对合差,反流面积37 cm2,流速190 cm/s,压差15 mmHg(图3)。腹部彩超:肝脏:右叶斜径16 mm,肝段面增大,肝静脉明显增宽(右支2.4 mm,中支2.2 mm,左支2.0 mm);下腔静脉内径4.0 mm;胆囊壁粗糙增厚;胰、脾及双肾未见异常。






结合患者病史、心电图、心脏彩超等,初步诊断:右心功能不全;心房颤动;完全性右束支传导阻滞;右心增大原因待查。但患者年轻,血脂、血糖、血压等生命体征基本正常,却存在右心显著增大、心衰症状明显,需要进一步检查明确病因。
患者右心增大原因鉴别诊断如下:(1)右心室心肌梗死,支持点:有胸闷、右心功能不全症状;右心扩大、三尖瓣关闭不全;右心导联T波倒置。不支持点:青年、血脂、血糖、血压正常;心电图无ST段改变、病理性Q波;心肌酶谱及心肌损伤标志物正常。需要完善冠脉造影等明确。(2)致心律失常型右心室心肌病(ARVC),支持点:患者右心扩大、右室流出道增宽;完右、右心导联T波倒置。不支持点:无晕厥、无家族史;未见室性心律失常;窦性心律时未见ε波。需要完善核磁共振显像、心内膜心肌活检等检查。(3)扩张型心肌病(DCM),支持点:双下肢水肿、肝脏增大;右心扩大、右室流出道增宽。不支持点:无左心增大及收缩功能降低;排除性诊断。需要进一步完善核磁共振显像、心内膜心肌活检等检查。(4)右心瓣膜性心脏病,支持点:三尖瓣重度关闭不全、右心扩大。不支持点:患者未见合并三尖瓣狭窄、未见三尖瓣下移、未见马方综合征表现,暂不考虑。综合分析患者主要病因、鉴别诊断后,考虑右室心肌梗死等病因可能性大,需要进一步检查明确。
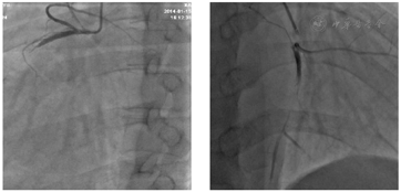
在征求患方同意、拟完善冠状动脉造影检查。2014年1月15日局麻下行冠脉造影术,术中见左冠状动脉走行自然,比光滑,未见明显狭窄;但右冠状动脉显影见近端以远闭塞,近段至中段桥侧支形成。综合患者病史特点、体征、检查检验及冠脉造影等,最后诊断:冠状动脉粥样硬化性心脏病:缺血性心肌病,右房、右室增大,三尖瓣重度关闭不全,心房颤动,心功能II级。




生活干预:戒烟戒酒、低盐低脂饮食、适当运动。药物治疗:阿司匹林肠溶片100 mg qd;氢氯噻嗪片25 mg qd;阿托伐他汀钙片20 mg qN;螺内酯片2 0mg,qd;单硝酸异山梨酯缓释胶囊50 mg,qd;比索洛尔片5 mg,qd;曲美他嗪片20 mg,tid;低分子肝素钙注射液0.4 ml,q 12 h。手术治疗:体外循环下行冠状动脉旁路移植术、人工三尖瓣置换术、上腔静脉-右肺动脉连接术。手术顺利,术中见心脏扩大,右房右室巨大,右室表面见大量散在花斑样梗死灶;三尖瓣瓣环扩大,直径6 cm,瓣口重度关闭不全;右冠状动脉直径1.5 mm
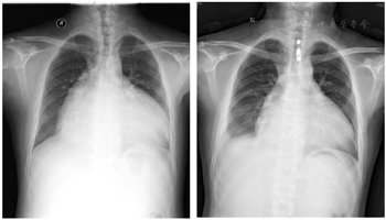
手术前后彩超对比提示右心显著缩小,提示治疗后患者右心结构得到恢复。手术前后胸部X片对比提示心影缩小,心胸比从0.81下降到0.72。结合患者心功能、后期复查结果,提示冠脉重建后右心心肌血供恢复,心肌重塑,大小恢复。术后3个月复查心电图:阵发性房性心动过速(房室传导比例呈2:1传导);电轴右偏;完全性右束支传导阻滞;ST-T改变。通过治疗患者右心大小逐渐恢复正常,心功能恢复,日常生活无明显受限,规律服药、定期复查中,对治疗效果满意。


缺血性心肌病:长期心肌缺血导致心肌局限性或弥漫性纤维化,产生心脏收缩和/或舒张功能受损,引起心脏扩大或僵硬、充血性心力衰竭、心律失常等一系列临床表现的临床综合征。缺血性心肌病是心脏局部或整体增大的重要病因。对于本次典型病例,我们通过冠状动脉造影中证实其右冠近端以远闭塞、结合术中所见右室表面大量散在的梗死灶,可以明确缺血性心肌病在患者右心增大中扮演了重要角色,但是否存在其他病因,仍不能完全排除。
主流观点认为,右心增大原因主要有以下几点:(1)右心后负荷增加,比如左心功能不全、肺动脉高压等,(2)ARVC等右室心肌病,(3)右心瓣膜性心脏病,(4)先天性心脏病,(5)心包疾病(类似右心功能不全)等。本例患者中,我们发现患者年轻、血脂、血糖、血压正常;但有胸闷、右心功能不全症状,而且右心扩大、右心导联T波倒置,提示了缺血性心肌病的病因。但遗憾的是,患者在我科明确冠状动脉粥样硬化性心脏病的诊断后,就转入了外科接受手术治疗来处理右心疾病(包括三尖瓣病变)。患者因自身原因未能完善心脏MRI等检查来明确心肌病的具体病因。故我们也不能排除ARVC、DCM的可能性。虽然患者无晕厥、无家族史,而且心电图未见室性心律失常、窦性心律时未见ε波等典型表现,但仍需要通过外显子测序甚至心肌活检进一步明确ARVC等相关病因。
本例患者通过冠脉造影找到了缺血性心肌病这一病因,并得到及时有效的外科治疗,预后恢复可,提示及时诊断右心增大的基础疾病,早期干预可取得不错的临床效果。但需要注意的是,患者是青年男性,且无典型心绞痛、无低血压休克史,心电图等检查也典型的ST段改变或病理性Q波,提示右室心肌梗死容易存在误诊或漏诊。右室心肌梗死误诊漏诊的常见原因包括:(1)患者因自身原因就诊延迟,右胸导联ST段抬高消失;(2)有高血压病史,发病后血压正常;(3)已应用血管扩张剂,误判血压降低原因;(4)糖尿病患者等无典型心绞痛症状;(5)合并COPD,误诊为肺心病加重期的心电图改变;(6)合并其他部位心梗时未注意右室心梗的存在[1]。说明在上述特殊类型患者中,如果存在不能解释的右心功能异常、伴或不伴心律失常,可能需要考虑右室心肌梗死这个诊断。
本例患者通过冠脉造影等明确了右室心肌梗死是巨大右心的病因,并通过冠状动脉旁路移植术+上腔静脉-右肺动脉连接术给予患者个体化的手术治疗,其显著的手术效果可能源于以下几点:(1)冠状动脉旁路移植术显著改善了右室心肌的血供,促进心肌的炎症消退、心肌细胞的存活、心肌组织的重塑,改善了心肌的收缩力和顺应性,从而提高了右心的射血分数、促进血液排出;(2)上腔静脉-右肺动脉连接术减少了右心的回心血量,降低了右心的前负荷,有助于患者心脏恢复正常大小,血流动力学更加稳定。(3)患者依从性好,坚持合理的生活干预和药物治疗。
不过针对该患者仍存在以下几个问题需要考虑:
(1)冠心病的诊断是否成立?是否有其他导致右冠闭塞性病变的病因?该病例通过冠状动脉造影中证实其右冠近端以远闭塞、外科术中所见右室表面大量散在的梗死灶、右冠状动脉直径1.5mm,而且冠脉搭桥效果存在,提示冠心病诊断是成立的。但是否存在非动脉粥样硬化性冠脉病变?比如冠状动脉炎(心脏淀粉样变性、SLE)、冠状动脉栓塞、冠状动脉痉挛、冠状动脉夹层动脉瘤、冠状动脉外伤、先天性冠状动脉异常等[2];冠状动脉炎由于细菌、病毒、支原体及梅毒等感染或免疫因素造成冠状动脉内皮损伤,使内皮细胞变性、坏死,内膜纤维组织增生和管腔局限性或广泛性狭窄;可表现为急性心肌梗死,亦可引起缺血性心脏病。主要表现为大动脉炎累及冠脉[3];SLE并发的冠状动脉炎及冠状动脉血栓;这些虽然与患者的入院时无明显炎症指标升高,无大动脉炎,无外伤史或既往史,而且其阳性体征和检查检验并不支持以上病因。此外,心脏淀粉样变性也可能是病因。当病变可累及心脏传导系统及冠状动脉,常有劳力性呼吸困难、进行性夜间呼吸困难、心绞痛、乏力及水肿。超声心动图类似限制型心肌病改变,可表现右房室增大、右室心尖闭塞,而左室常不增大、室间隔和室壁呈对称性增厚。心肌中可见散在不规则反射回声、乳头肌肥大增粗。虽然患者超声并不支持,但也不能完全排除,遗憾的是患者转入外科后因自身原因未完成心脏核磁等检查。
(2)为何不选择PCI血运重建?为何选择外科手术治疗?
美国心脏病学会(ACC)和美国心脏学会(AHA)各自组建的专家组于11月7日同时发布了经皮冠状动脉介入治疗(PCI)[4]和冠状动脉旁路移植术(CABG)新版指南[5,6]。这2部指南均明确建议,临床医生应根据"心脏小组"的意见,对每例无保护左主干或"复杂性"CAD患者确定其最佳血管重建方式。值得注意的是,这2部指南还使用了同样的表格,2个指南撰写组在血管重建方法选择这一核心问题上也表现地十分"和谐"。结合中国经皮冠状动脉介入指南,冠状动脉旁路移植术(CABG)在患者的选择范围内。
此外,根据2014年AHA/ACC心脏瓣膜病指南[8],患者有三尖瓣关闭不全的手术指征:1.有重度器质性三尖瓣关闭不全所致的症状,且药物治疗无效(Ⅱa);2.进展的中重度右心室扩大或收缩功能不全的重度三尖瓣关闭不全(Ⅱb)。因此,向患者详述病情、告知各治疗方案后,患者选择外科治疗。
综上所述,巨大右心的病因复杂,病情表现各异,但不能忽视右室心肌梗死这一重要病因。本次我们报告了一例心肌梗死引起的右室心肌重塑、造成右心巨大的病例。通过手术治疗,本例患者右心大小逐步恢复、心功能逐渐改善,提示早期评估、完善检查、及时干预可以有效治疗甚至预防右室心肌病的发生。但遗憾的是患者因自身原因未完善心脏核磁、外显子测序等检查,故不能进一步明确其他病因。
所有作者均声明本研究不存在利益冲突。

























