
2020年11月至2021年2月山东大学齐鲁儿童医院住院并临床疑诊为中枢神经系统布鲁氏菌感染的2例患者。2例患者均有羊接触史,均为急性起病伴发热
1例头晕,1例颈肩部疼痛伴有呕吐。影像学检查表现为半卵圆中心受累。脑脊液常规白细胞计数升高,以单核细胞为主,蛋白质水平增加,葡萄糖水平降低。脑脊液mNGS检测出布鲁氏菌的核酸序列数为(175~389)条,覆盖度为(0.05~0.11)%。
血常规、脑脊液常规和脑脊液生化检查,MRI,病原微生物mNGS检测
2例患者均给予多西环素(0.1g,1次/12h),同时联合头孢曲松(3.0g,1次/d)和利福平(0.5g,1次/d)治疗,并辅以降颅压、营养神经等对症支持治疗。
脑脊液和血液的常规、生化及影像学检查均明显好转,2例患者的头痛、发热等症状均消失。疗程14~28d后均未留下任何后遗症并治愈出院。
微生物科;影像科
版权归中华医学会所有。本文为遵循CC-BY-NC-ND协议的开放获取文章。
布鲁氏菌(Brucella)是一种革兰阴性杆菌,容易感染猪、牛、羊等家禽,布鲁氏菌病通过直接接触受感染的动物、割伤和擦伤、吸入气溶胶或摄入未经巴氏消毒的牛奶或奶制品传染给人类。布鲁氏菌病在地中海盆地、中东和拉丁美洲最为流行,在全球范围内,每年诊断出50万例新增布鲁氏菌病例,代表着世界上最流行的细菌性人畜共患病[1, 2] 。然而,由于诊断不准确、监测不充分,许多病例仍未被识别,在不完整的报告中,这个惊人的数字只能被认为是最小的估计。根据世界卫生组织(WHO)的数据,实际发病率可能至少高出一个数量级。全球牲畜的疾病负担甚至更大,保守估计全球14亿牛中有3亿牛感染了这种病原体[3] 。目前陆生布鲁氏菌属包括6个种:马耳他布鲁氏菌、流产布鲁士菌、猪布鲁氏菌、犬布鲁氏菌、绵阳布鲁氏菌和沙林鼠布鲁氏菌。由布鲁氏菌感染所致的布鲁氏菌病(brucellosis)是一种人畜共患病,其临床特点为长期反复发热(地中海弛张热,马耳他热或波浪热)、多汗、关节痛及肝脾肿大等症状,易侵犯中枢神经系统和脊柱[4] 。中枢神经系统受累的布鲁氏菌病被称为神经型布鲁氏菌病(Neurobrucellosis NB),是由布鲁氏菌侵犯中枢神经系统引起的人畜共患病[5, 6] 。主要累及脑脊髓膜及半卵圆,临床相对少见(发病率低于5%)[7] 。NB可在疾病的任何阶段发展,可能有广泛的不同的表现,包括脑炎、脑膜脑炎、神经根炎、脊髓炎、周围神经和颅神经病变、蛛网膜下腔出血和精神症状[8, 9] ,NB患者既没有典型的临床表现,也没有特定的脑脊液表现。NB的临床诊断无特异性,实验室检查无特征性指标,该病很容易与其他疾病混淆。目前国内外对儿童NB的报道较少,NB的治疗在临床多选用多西环素联合其他药物的治疗方案,与其他儿童化脓性脑炎的治疗方案多经验性选择头孢曲松或美罗培南完全不一致,因此尽早确诊NB有助于及时规范治疗减少后遗症的发生,而且对公共卫生也具有重大意义。本文通过对儿童中枢神经系统布鲁氏菌感染患者的临床和脑脊液宏基因组二代测序(metagenomic next generation sequencing, mNGS)结果进行分析,探索mNGS在儿童布鲁氏菌脑炎感染诊治中的临床应用价值。
对2020年11月至2021年3月在我院神经内科住院并临床疑诊为NB的2例患儿进行回顾性分析。详细记录每例患者的病史体征、实验室检验及其他辅助检查结果。本研究得到济南市儿童医院伦理委员会批准,患者家属均已签署知情同意书。2例患儿均为男性,年龄分别为11岁和12岁。1例冬季起病,1例春季起病,2例患儿经流行病学调查均与羊有密切接触史。2例患者均急性起病,均表现为不明原因的弛张热。1例患儿伴头晕,1例颈肩部疼痛,伴有呕吐,此外2例患者均合并肺部感染。
根据血常规、脑脊液常规和脑脊液生化检查结果,脑脊液抗酸染色和结核分枝杆菌及利福平耐药基因检测鉴别结核分枝杆菌感染,同时检测脑脊液新型隐球菌荚膜抗原以排除隐球菌感染。
诊断标准[10]: NB应符合下列任一标准:(1)符合神经布鲁氏菌病的症状和体征;(2)从脑脊液中分离布鲁氏菌和(或)在脑脊液中存在抗布鲁氏菌抗体;(3)脑脊液中淋巴细胞增多,蛋白水平升高,葡萄糖水平降低;(4)头颅磁共振成像或CT诊断结果。
脑脊液mNGS检测: (1)标本收集:腰椎穿刺留取1-2ml脑脊液应在30min内放入-80℃冰箱保存。(2)作为山东省首个建成的病原微生物高通量测序平台,本实验室自2020年6月开始独立开展mNGS检测工作,进行DNA提取和文库构建:使用病原破壁试剂盒(华大生物科技有限公司,武汉)在生物安全柜内严格无菌操作,对脑脊液中的病原体进行玻璃珠破壁处理,使用核酸提取试剂盒(武汉华大科技有限公司,武汉)提取脑脊液样本中的DNA,并用DNA酶切试剂盒(华大生物科技有限公司,武汉)将提取的DNA酶切至200~300bp的片段;使用PMseq TM文库制备试剂盒(华大生物科技有限公司,武汉)进行文库构建。(3)质控:使用华大基因提供的阴性和阳性质控,进行全流程质控监测。(4)DNA测序:使用BGISEQ50测序平台(华大生物科技有限公司)对质控合格的DNA纳米球进行测序分析。
测序数据下机后,剔除低质量、测序长度<35bp的读数,以获得高质量的测序数据,然后应用华大数据分析平台独立进行病原菌数据库比对,从而对微生物进行初步鉴定和序列数统计分析。
2例患者血液布鲁氏菌凝集试验阳性;血培养1例阳性,1例阴性(表1);2例患者颅内压均升高;2例患者脑脊液常规白细胞计数升高,以单核细胞为主;葡萄糖水平降低,蛋白质水平升高;氯化物水平降低;脑脊液普通培养阴性,脑脊液血培养瓶增菌3.5天以后血培养仪器报警,质谱鉴定为羊布鲁氏菌,菌液转种到血平板24小时后长出细小菌落(图1)。


注:A脑脊液血培养瓶增菌后血培养仪报警曲线,B脑脊液增菌后转种血平板培养24小时,C患者1(蓝色),患者2(红色)脑脊液增菌后质谱鉴定为羊布鲁氏菌

2例中枢神经系统布鲁氏菌感染患者的实验室检查结果
2例中枢神经系统布鲁氏菌感染患者的实验室检查结果
| 病例 | 血液 | 脑脊液 | ||||||||||
|---|---|---|---|---|---|---|---|---|---|---|---|---|
| 白细胞X109/L | 单个核细胞% | 培养 | 虎红试验 | 压力mmH2O | 白细胞X106/L | 单个核细胞% | 蛋白质g/L | 腺苷脱氨酶U/L | 葡萄糖mmol/L | 氯化物mmol/L | 增菌培养 | |
| 1 | 12.67 | 16.70 | - | + | 330 | 28 | 92.9 | 0.78 | 24 | 1.59 | 113 | + |
| 2 | 8.57 | 33.40 | + | + | 185 | 30.3 | 77.6 | 0.99 | 56 | 1.02 | 112 | + |
注:1mmH2O=0.0098kPa;+:阳性,-:阴性;血液白细胞的正常范围为(3.50~9.50)X109/L;脑脊液压力正常值80~180mmH2O;脑脊液常规正常值:白细胞数(0~5)×106/L;脑脊液生化正常值:蛋白0.15~0.45g/L,葡萄糖2.5~4.5mmol/L,氯化物120~132mmol/L
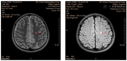
影像学检查:2例患者均行磁共振成像(MRI)检查,MRI示双侧半卵圆中心见小片状长T1长T2异常信号,FLAIR呈高信号(图B箭头),DWI呈高信号,ADC图低信号(图2)。


注:双侧半卵圆孔中心见小片状长T1长T2异常信号(图A箭头),FLAIR呈高信号(图B箭头),DWI呈高信号,ADC图低信号。
病原微生物mNGS检测:以脑脊液mNGS检测到的细菌序列数>1条为判定条件,1例检出细菌5属8种,检出真菌1属1种,其中病毒、原生生物(寄生虫等)微生物未检出,脑脊液mNGS检测出布鲁氏菌序列数为175条,剔除背景菌,致病菌仅为羊布鲁氏菌。另1例检出细菌2属8种,检出真菌1属1种,均为检出结核分枝杆菌和新型隐球菌,同时其他病毒、寄生虫等微生物亦均未检出,脑脊液mNGS检测出布鲁氏菌序列数为389条,剔除背景菌,致病菌仅为羊布鲁氏菌,2例患儿mNGS测序基因组的覆盖度为(0.05~0.11)%,测序深度为1.00(表2)。

2例布鲁氏菌脑炎患者的宏基因组二代测序结果
2例布鲁氏菌脑炎患者的宏基因组二代测序结果
| 病例 | 发病至检出时间(d) | 序列数 | 覆盖度(%) | 深度 | 临床诊断 |
|---|---|---|---|---|---|
| 1 | 30 | 175 | 0.05 | 1 | 羊布鲁氏菌脑膜炎 |
| 2 | 6 | 389 | 0.11 | 1 | 羊布鲁氏菌脑膜炎 |
对分离到的2株菌株进行基因组序列比对。经数据过滤和组装后,获得部分基因组序列。将其与公共数据库下载国内外流行株比较,构建系统进化树(图3),证实2株布鲁氏菌与2019年印度Veeraraghavan B等已报道的CP044983.1株羊布鲁氏菌在进化系统中亲缘性最为相近[11]。


2例患者均给予多西环素(0.1g,1次/12h),同时联合头孢曲松(3.0g,1次/d)和利福平(0.5g,1次/d)治疗,并辅以降颅压、营养神经等对症支持治疗。脑脊液和血液的常规、生化及影像学检查均明显好转,2例患者的头痛、发热等症状均消失,疗程14~28d后均未留下任何后遗症并治愈出院。
中枢神经系统布鲁氏菌感染是布鲁氏菌感染机体后引起的一种少见的急危重症疾病,约占布鲁氏菌病患者的3%~5%[7] ,NB于1896年由Hughes首次报道[5] ,引其极易漏诊和误诊,极易造成临床的致残和致死,文献报道其病死率可高达7%[12] ,无论布鲁氏菌从哪个入口进入人体,布鲁氏菌都会迅速通过上皮层易位,并被黏膜巨噬细胞和树突状细胞吞噬[2] 。内化的布鲁氏菌最初定位于局部淋巴结,然后通过血液扩散。进入富含巨噬细胞的组织,如肝脏,脾脏,淋巴结,或骨髓。在那里,它们采取细胞内生活方式,逃避先天和适应性免疫反应和许多抗生素的作用[13],诱发持续感染。当机体宿主免疫力下降时,布鲁氏菌侵袭脑膜,通过受损的血脑-屏障侵犯中枢神经系统,引起各种神经系统症状[14]。NB发病的具体机制目前仍不明确,有研究报道可能与细菌直接侵犯或其内毒素成分对神经系统产生影响有关[15]。
NB临床上最常累及脑脊髓膜和中枢神经系统,以脑膜炎/脑膜脑炎、脊髓炎为主要临床表现[16],我院的这2例患者均有脑膜炎的症状,但是NB感染的临床表现与许多疾病都相似,不易区分。目前布氏菌的实验室检测主要有以下几种方法:(1)病原学检查:是布氏杆菌病的诊断"金标准"。但体外培养生长繁殖缓慢,检测周期长、阳性率低,常规脑脊液培养布鲁氏阳性报道极少[10, 17, 18]。(2)血清学检查:血清学检测缺乏特异性,不能区分既往感染还是现症感染,容易出现假阳性和假阴性。(3)布鲁氏菌脑炎患者的脑脊液实验室检查指标与结核性脑膜炎相似,也缺乏特异性。(4)PCR技术及一代测序由于检测的序列有限,并受到仪器设备限制难于常规普及[19]。
NB是一种可治性疾病,早期治疗效果良好,但是一旦误诊或漏诊,致残率很高,故需要探索新的临床诊断方法,帮助临床医师早期、灵敏、特异地诊断中枢神经系统布鲁氏菌感染。近年来mNGS以其病原诊断的高通量、快速精准的优势,能有效协助临床诊治NB。
本文通过对这2例患者的临床与mNGS结果分析,发现2例患者均有发热和脑膜刺激症。血常规中白细胞计数为(8.57~12.67)×109/L,以中性粒细胞分叶核为主,单核细胞占比在16.70%~33.40%。脑脊液常规白细胞计数轻度升高(28~33.3×106/L),与血常规中细胞分类相反,以单核细胞为主(77.6%~92.9%),葡萄糖水平均降低(1.02~1.59 mmol/L),蛋白质水平均升高。患儿A血培养阴性,患儿B血培养培养5天为阳性。脑脊液普通培养为阴性。神经影像学和神经生理学评估,同时结合微生物学诊断工具有助于并发症的诊断和评估。磁共振成像可以显示实质性病变和神经受累,PET/CT常用于软脑膜受累的影像学检查[20]。本研究影像学病灶多集中于双侧半卵圆中心等部位。2例患者的血清学布鲁氏菌凝集实验均为阳性,但血清学检测本身容易出现假阳性。2例患者均检测出布鲁氏菌序列,序列数分别为(175~389)条。2例患者临床表现、流行病学史、血清学布鲁氏菌凝集实验、脑脊液常规检查结果,若加上mNGS的分析结果,便能在早期证明该微生物感染的存在,故2例患者均被诊断为中枢神经系统布鲁氏菌感染。mNGS结果显示布鲁氏菌感染后我们实验室将先前普通培养保存的脑脊液1ml打入血培养瓶,增菌培养三天血培养仪报警,质谱鉴定均为羊布鲁氏菌,对于条件受限的实验室在高度怀疑布鲁氏菌感染时可先打入血培养瓶增菌,后再培养也能增加培养的阳性率。
mNGS采用宏基因组高通量测序技术基于对样本中病原微生物核酸序列进行分析,通过与数据库中已有微生物的核酸序列进行比对,鉴定样本中潜在存在的可疑12593种致病微生物,本研究中的mNGS可检测范围包括基因组序列已知的6039种细菌(其中包括174种分枝杆菌和137种支原体/衣原体/立克次体)、4945种病毒、1064种真菌和234种寄生虫。脑脊液mNGS通过对脑脊液标本中病原菌的DNA片段进行核酸序列进行测序分析,进而明确病原菌的属种,早期指导临床对感染性疾病的精准诊治,促进抗微生物药物的合理使用。mNGS技术对标本中存在微量的病原菌DNA即可被检出,对病原微生物的覆盖检出谱也是常规微生物技术难以企及的,且不受死菌的影响。通过mNGS我们还对分离到的2株菌株进行全基因组测序,经数据过滤和组装后获得基因组序列。将其与公共数据库下载的国内流行株和国际参比菌株进行比较,我们构建了系统进化树,证实该2例患者的脑脊液均为羊布鲁氏菌,且与2019年印度Veeraraghavan B等报到的CP044983.1株羊布鲁氏菌在进化系统中亲缘性最为相近,将mNGS引入临床领域将提高诊断水平。
虽然有越来越多的mNGS应用的成功报道,但仍有--些问题,如何区别感染与定植菌,识别外源性核酸污染,参照王辉教授牵头,我们实验室参与发表的《宏基因组高通量测序技术应用于感染性疾病病原检测中国专家共识》[21],聚力与标准化NGS检测过程,以及存储、分析和解读NGS数据结果[22]。同时本研究存在样本量少,测序深度低等缺陷,后期会进一步扩大样本量和加大测序深度,从而为mNGS在中枢神经系统感染患者脑脊液中的应用提供灵敏性及特异性的评估,促进mNGS在儿童布鲁氏菌脑炎精准诊治中临床推广应用。
所有作者均声明本研究不存在利益冲突





















