
患者,女,34岁。因车祸和术后感染导致上颌多牙缺失前来就诊。
患者"国字脸",双侧下颌角及颧骨突度明显,侧面观上颌区骨性凹陷,上唇唇红菲薄,可见术后瘢痕且唇珠消失。恒牙列,16-25缺失,17近中牙根外露,I°松动,26牙冠部分缺损。缺牙区牙槽突不平整,前庭沟变浅。
X线片和颌面CT检查发现双侧下颌角肥大、上颌骨重度骨缺损。
经下颌轮廓成型和上颌骨游离植骨术、上颌骨Le Fort I型截骨术和下颌骨矢状劈开术、种植体植入术、上颌前庭沟加深术和脂肪充填术,以及种植支持固定义齿修复。
经过约2年的治疗,最终完成了咬功能重建、颌骨轮廓重建、颜面美学重建和患者心理健康重建。该病例至今随访1年半,效果稳定。
口腔科;整形科;颌面外科;种植科;修复科;创伤科
版权归中华医学会所有。本文为遵循CC-BY-NC-ND协议的开放获取文章。
上颌骨血运丰富、抗感染能力强,上颌骨骨折术后感染的发病率并不高。一旦发生,往往伴有颌骨坏死和牙列缺损,其功能重建存在极大的挑战。我们报道的病例即为上颌骨骨折术后感染,清创后导致硬组织缺损(上颌骨骨量不足合并牙缺失)、软组织缺损(前庭沟消失合并上唇畸形)、功能缺损(咬合关系丧失合并心理异常)的复杂病例。旨在提高对该类疾病的认识,重视多学科合作,提倡功能重建的综合序列治疗方案。
患者,女,34岁,主诉:车祸致上牙缺失约8个月,要求种植修复。患者2017年10月骑电动车发生车祸,当地医院全麻行上颌骨骨折切开复位内固定术、上唇开放伤清创缝合术。术后出现伤口感染,2018年再次手术行上颌骨死骨清除术、钛板拆除术。患者为种植修复缺失牙,2018年6月前来我院就诊。患者既往体健,否认疾病病史。
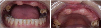
专科检查:双侧颧骨、下颌角过大,面中部凹陷。上唇唇正中可见术后瘢痕,红唇菲薄、唇珠消失(图1)。恒牙列,16-25缺失,17近中牙根外露,I°松动,26牙近中牙冠缺损。患者缺牙区牙槽突不平整,前庭沟变浅,水平向、垂直向咬合关系丧失(图2)。




该病例存在硬组织缺损(上颌骨骨量不足合并牙缺失)、软组织缺损(前庭沟消失合并上唇畸形)、功能缺损(咬合关系丧失合并心理异常)的复杂病例。
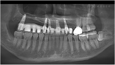
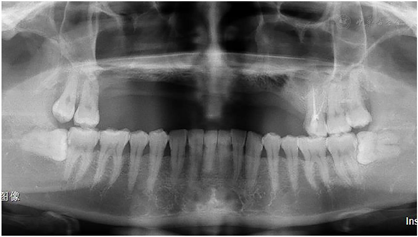
全口曲面断层片示16-25牙缺失(图3)。标准头颅侧位X线片以及头影测量分析结果显示上颌牙槽骨水平向骨缺损伴骨性反颌(图4)。CT结果显示上颌缺牙区牙槽骨缺损,骨性反颌。上颌16牙位窦嵴距离约1 mm,上颌前牙区牙槽骨高度不足7 mm,双侧下颌角肥大,呈方脸形态(图5)。






鉴于患者病史和术前检查,术前诊断为:颧骨肥大、下颌角肥大;上颌骨缺损;上颌牙列缺损;创伤性骨性反he(牙合);上唇术后畸形。诊断明确。
治疗前经颌面外科、种植科、修复科等多学科会诊。鉴于患者主诉要求种植固定义齿修复口内缺失牙,由于创伤事故患者就诊时表现生活不自信、过度焦虑。专科检查见上颌前庭沟过浅,余留17松动且近中骨壁缺失、26冠缺损,前牙区牙槽骨高度不足伴骨性反颌、双侧上颌后牙区窦嵴距宽度、高度均不足,需要游离植骨增加上颌骨强度预防意外骨折并改善种植位点骨量。正颌手术纠正骨性反颌重塑颌骨相对三维空间位置,完成种植体植入并行上颌前庭沟加深、种植修复义齿重建咬合。制定治疗方案如下:I期行颌骨轮廓成型同期行上颌骨游离植骨术;Ⅱ期正颌外科纠正骨性反he(牙合);Ⅲ期行种植外科;Ⅳ期行上颌前庭沟成形术、唇畸形整复术;最后行义齿修复重建咬合关系。
术前评估该案例上颌骨重度骨缺失,自体骨需求量大,患者双侧下颌角肥大,为此制定个性化治疗方案。双侧下颌角截骨轮廓成形术和颧骨轮廓成形术(图6.2),同时将获取的下颌角皮质骨塑形植入上颌骨缺失区域(图6.1)。


上颌骨植骨术后半年,伤口愈合良好。完善影像学检查和头影测量分析,按照治疗方案进行Ⅱ期正颌手术纠正骨性反he(牙合)。数字化虚拟方案如下,上颌骨Le Fort I型截骨前徙3mm,下颌骨矢状劈开术后退2mm(图7)。


鼻腔插管全麻,设计口内前庭沟黏骨膜切口,沿骨面剥离翻瓣显露并拆除植骨区固位钛钉,松解眶下神经,剥离并保护鼻腔黏膜,应用来复锯行上颌骨Le Fort I型截骨,因17牙近中牙槽骨菲薄且上颌窦前壁局部骨不连,术中注意防护意外骨折。应用薄骨刀凿断鼻旁支柱和翼上颌连接,应用上颌骨复位钳宕下上颌骨并充分松解,戴入后牙支持的可摘义齿和中间咬合导板,行颌间结扎,确认上颌固定位置,分别应用小型钛板固定双侧鼻旁支柱和颧上颌支柱。拆除颌间导板,设计双侧前庭沟黏骨膜切口,骨面剥离显露外斜嵴及下颌骨体部,应用来复锯完成下颌骨矢状截骨,薄骨刀辅助行下颌骨矢状劈开,去除影响复位的骨尖骨棱,戴入最终咬合导板行颌间结扎,复位下颌骨分别应用小型钛板固定双侧下颌骨近远心骨段,关闭黏骨膜切口。
正颌术后半年颌骨愈合良好,上下颌骨骨性反he(牙合)得到纠正,术后影像学显示右侧上颌窦嵴距骨高度不足,17牙临床牙冠伸长且伴松动,前牙区骨量充足,但缺牙区前庭沟变浅伴有角化黏膜量缺损。为减小手术创伤、缩短治疗周期并能够达到长期稳定的治疗效果,设计在前牙区倾斜植入带有光滑颈圈的拓美超亲水种植体,根据植入位点设计并制作2副牙支持式种植手术导板。局部浸润麻醉,牙槽顶黏骨膜切口,翻瓣显露牙槽嵴顶,戴入双侧后牙支持的第一副前牙区种植手术导板(图8.1),逐级备孔,前牙区植入4颗ø4.0*8 mm拓美种植体,初期稳定性均>30Ncm(图8.2)。拔除17、18患牙,戴入左侧后牙支持的第二副种植手术导板(图8.3),17牙位点逐级备孔并植入1颗ø5.0*12 mm拓美种植体,初期稳定性20Ncm,跳跃间隙内植入自体骨屑,所有种植体均埋入式愈合,对位缝合黏骨膜。


种植体周围角化黏膜厚度不足可导致牙槽嵴边缘骨吸收,增加种植体周围疾病的发病风险,不利于种植体周围组织健康。目前研究认为采用软组织移植术等方式可有效增加种植体周围角化黏膜厚度,改善种植体周围软组织健康状况,提高种植成功率。由于颌骨创伤和骨折术后感染、多次手术等因素,上颌缺牙区种植体唇侧角化黏膜不足2mm,上唇唇珠丧失(图9)。设计在种植体达到骨结合时,制备双侧硬腭角化黏膜游离移植增宽种植体唇侧角化黏膜量,重建患者上颌前庭沟。手术设计上颌前牙种植区牙槽嵴顶黏膜切口,骨膜上向唇侧钝性分离至前庭沟底,将唇侧游离黏膜与前庭沟底骨膜缝合固定,显露受区创面。为减轻术后供区疼痛不适故保骨膜上制取双侧上颌第二磨牙至尖牙对应腭侧角化黏膜,将其植入受区骨膜上(图9.1)。同期,应用自体脂肪充填术纠正外伤术后唇红畸形(图9.4)。术后2个月可见愈合基台唇侧角化黏膜宽度显著增加(图9.2)。


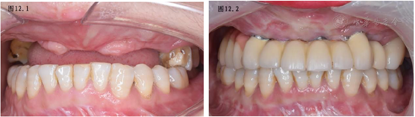
种植体骨结合良好,无炎症。佩戴临时可摘义齿3个月,无颞颌关节功能不适,完成上颌种植体水平取模(图10),马龙桥修复缺失牙(图13),26、27全瓷冠修复,按临时义齿咬合关系完成最终咬合重建(图12)。






上颌骨是一对形态复杂的骨骼,对语音、吞咽和咀嚼功能有重要作用。由于这一多功能区的复杂三维解剖特点,上颌骨缺损后要修复达到术前状态极具挑战性[1]。颌面部外伤常会导致牙外伤、牙槽骨缺损以及黏膜缺损。该病例即为上颌骨骨折术后感染导致牙列缺损和牙槽骨缺损的典型病例。该类疾病由于牙槽突部分缺失,严重影响患者的美观和咀嚼功能。种植牙被广泛应用于牙列缺损的治疗,但该类复杂病例需要多学科会诊讨论制订方案,有序治疗,达到功能重建的目的[2]
该病例的难点为创伤导致上唇和牙龈软组织缺损,合并骨组织缺损,客观存在治疗难度。此外,患者曾多处就诊,主观态度消极。该病例的序列治疗遵循先行骨组织手术,重建正常的颌骨骨量和三维空间位置,再行软组织手术,重建前庭沟和角化黏膜。根据不同组织的愈合时间,整体安排治疗时间间隔,缩短整体治疗周期。综合患者的全身和局部情况,首先设计上颌骨游离植骨进行颌骨增量,再应用正颌术式改善上下颌骨相对空间位置,数字化辅助完成种植体植入,待种植体骨结合后再进行角化黏膜游离移植的软组织增量手术。颌骨增量常用的方法包括游离自体骨移植、非自体骨移植等[3],常用的自体骨供区包括髂骨、颅骨、下颌骨升支外侧板、颏部等。该病例巧妙地应用患者肥大的下颌角,进行颌骨轮廓重建的同时减少了额外的创伤。此外,患者的骨性反he(牙合)为义齿修复带来难度,利用成熟的数字化正颌外科技术重建正常的上颌骨-下颌骨相对空间位置关系,为后期种植修复创造条件。由于患者上颌窦腔的特殊解剖形态,应用数字化导板技术辅助完成种植外科,减小手术创伤,增加手术精度,缩短治疗流程。种植体周围软组织对种植体的长期稳定性及美观具有积极作用,特别是角化龈组织[4]。该病例前庭沟过浅且伴种植体唇侧角化龈组织量不足,保留骨膜的根向复位瓣,有利于游离角化黏膜的生长,同期安装愈合基台,缩短了整体的治疗时间。
该病例应用的技术均为临床常用技术,治疗此类复杂病例前建议完善检查,组织多学科会诊,根据患者的主观要求,制定个性化的治疗方案。继而按照讨论方案,有序地逐步开展硬组织增量和软组织增量治疗,最终完成功能重建。需要强调的是,功能重建不仅要恢复咀嚼功能,还需要关注患者的形貌重建、心理健康重建。最终,及时分析治疗效果,不断改进治疗方案,为后续的临床救治积累经验。
所有作者均声明本研究不存在利益冲突






















