
患者,男性,61岁,因"活动后憋气伴咳嗽半年余,胸痛5 d"为主诉于2020年4月21日就诊于我院。
神志清,精神尚可,口唇无紫绀,听诊双肺呼吸音粗,两肺可闻及胸膜摩擦音,右肺明显。
胸部CT示右肺下叶团片影,较前2020年1月27日CT片范围增大。入院后完善胸部增强CT,淋巴结超声示双侧锁骨上区淋巴结肿大。经评估,考虑肺穿刺活检风险较大,遂行超声引导下右侧锁骨上淋巴结穿刺活检术。病理结果示肺鳞状细胞癌转移。明确患者诊断为肺鳞癌IIIb期,双肺间质纤维化。
患者肺功能差,无法手术切除,故予以化学治疗联合免疫(程序性死亡配体1抑制剂)治疗。
患者近1年半内于我院定期随访,目前一般状况稳定。
呼吸科;肿瘤科;胸外科
版权归中华医学会所有。本文为遵循CC-BY-NC-ND协议的开放获取文章。
肺癌一直占据全球癌症发病率与死亡率的首位,它是指起源于气管、支气管黏膜或腺体的恶性肿瘤,根据病理学特点,可以分为小细胞癌和非小细胞癌,其中非小细胞癌主要包括鳞癌、腺癌和大细胞癌。近年来,肺癌的靶向治疗进展飞快,但受益患者多为肺腺癌类型,由于鳞癌独特的组织学性质及其不同的分子背景决定了肺鳞癌治疗的局限性。但是近来随着化疗方案的不断优化及免疫治疗的巨大突破,肺鳞癌的治疗方法有了更多的选择。本文主要介绍1例化疗与免疫治疗联合的肺鳞状细胞癌病例,旨在提高对本类型肺癌治疗方案的认识,尽可能延长患者生存期。
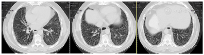
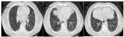
患者,男性,61岁,因"活动后憋气伴咳嗽半年余,胸痛5 d"入院。患者半年前(2019年11月)受凉后出现胸闷、憋气,活动后为著,伴咳嗽,无痰,休息后症状可缓解,就诊于我院,行胸部CT示肺间质纤维化,右肺下叶团片影(图1),予以抗感染、止咳、平喘等治疗。患者拒绝进一步检查明确右肺下叶团片影性质,后症状好转,准予出院。5天前(2020年4月16日)受凉后出现胸痛,深呼吸时加重,仍有活动后胸闷憋气,伴咳嗽,夜间可平卧入睡。患者自发病以来,饮食、睡眠尚可,大小便正常,近期体重无明显改变。患者既往有肺间质纤维化、干燥综合征、高血压等病史,无吸烟史。


入院查体:神志清,精神尚可,口唇无紫绀,听诊双肺呼吸音粗,两肺可闻及胸膜摩擦音,右肺明显,心率104次/min,律齐,双下肢无水肿。余查体未见明显异常。
2020年4月22日实验室检查:糖类抗原125(CA125) 38.47 U/ml,糖类抗原153(CA153) 33.28 U/ml(参考值0~28 u/ml),糖类抗原19-9(CA19-9) 45.28 U/mL,神经元特异性烯醇化酶(NSE) 29.77 ng/ml,可溶性细胞角蛋白19片段(CYFRA21-1)148.2 ng/ml,鳞癌抗原(SCC) 1.7 ng/ml,癌胚抗原(CEA)13.66 ng/ml(参考值0~5.2 ng/ml)。尿常规、粪便常规+潜血、血沉、肝肾功、凝血常规、心肌标志物+BNP、血常规+CRP、细菌培养+药敏、真菌涂片检查、抗结核抗体、浓缩集菌抗酸菌检测等均无异常。
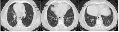
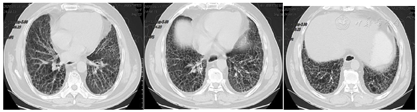
2020年4月21日胸部CT平扫(图2):1.双肺间质纤维化合并感染,建议治疗后复查;2.右肺下叶团片影,较前2020年1月27日CT片范围增大,肺癌不能除外,建议穿刺活检;3.右肺门及纵隔肿大淋巴结较前增大;4.主动脉壁硬化;5.双侧胸膜肥厚;6.脂肪肝。2020年4月27日浅表包块彩色多普勒超声:双侧锁骨上区淋巴结肿大,建议必要时超声引导下穿刺活检。于2020年4月27日在超声引导下右侧锁骨上淋巴结穿刺活检术。2020年4月28日病理回报:(右颈部淋巴结)灰白穿刺组织3条,长均0.8 cm,直径均0.1 cm。病理诊断:(右颈部淋巴结穿刺组织)穿刺组织中见淋巴组织、坏死及异型细胞团,诊断为鳞状细胞癌转移。基因检测:EGFR(-),PD-L1 TPS 78%。


完善全身骨显像、颅脑磁共振及肾上腺平扫等检查,综合评估后未见其他明显远处转移征象。
结合患者症状体征及相关检查,明确诊断为肺恶性肿瘤(鳞癌IIIb期),锁骨上淋巴结继发恶性肿瘤,肺门淋巴结继发恶性肿瘤,纵膈淋巴结继发恶性肿瘤,肺间质纤维化伴感染,干燥综合征,高血压。
入院后予以左氧氟沙星联合氟氯西林抗感染、止咳、小剂量激素平喘及抑制渗出等治疗。确诊肺鳞癌后,于2020年5月9日起行度伐利尤单抗500 mg免疫治疗,21 d为1周期,同时于2020年5月15日起予GP方案化疗,具体为奈达铂70 mg d1~2+吉西他滨1.8 g d1,d8,21d为1周期。免疫治疗联合GP方案化疗5周期后,改为度伐利尤单抗500 mg,21d为1周期,单药维持治疗。
患者治疗初期躯干部有散在皮疹出现,经抗过敏治疗后皮疹消失。
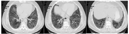
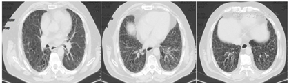
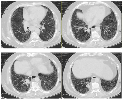
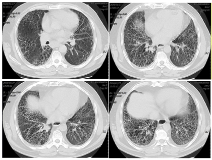
患者经治疗后肿瘤病灶明显缩小(图3,图4,图5,图6,图7,图8),定期于我院随访复查,目前一般情况良好,未见复发及远处转移。












肺癌是当今危害人类健康最常见的恶性肿瘤之一,肺癌是起源于气管、支气管黏膜或腺体的恶性肿瘤,根据病理学特点,可以分为小细胞癌和非小细胞癌,其中非小细胞癌主要包括鳞癌、腺癌和大细胞癌。在肺癌中,非小细胞肺癌约占新诊断肺癌的85%,非小细胞肺癌中30%为鳞状细胞肺癌[1]。鳞状细胞肺癌的发病与吸烟密切相关,且多为中央型肺癌,容易累及大血管,出现中心空泡和大出血,从而危及生命。大多数患者在确诊肺癌时已处于晚期(IIIb期/IV期),且大部分患者是不能接受手术治疗的,对于不可手术的局部晚期非小细胞肺癌,含铂的两药联合化疗是目前的主流治疗方案,但治疗效果并不令人满意。在传统的放疗和化疗等手段无法进一步改善局部晚期肺癌患者预后的时候,随着肿瘤相关分子靶点的筛选及相关信号通路的研究,针对驱动基因的靶向治疗在肺腺癌中取得了一定效果,但在肺鳞癌中收效甚小。随着免疫治疗的不断进步与发展,免疫检查点抑制剂的相关研究进展为肺鳞癌的治疗打开了新思路,目前主要以表达程序性死亡配体1(PD-L1)作为可使用程序性死亡受体1(PD-1)/程序性死亡配体1抑制剂患者的筛选标准。其中,帕博丽珠单抗是FDA首个获批的PD-1抑制剂,可作为PD-L1高表达(TPS≥50%)并且没有EGFR、ALK基因突变的转移性非小细胞肺癌的一线治疗,而PD-L1抑制剂——阿替丽珠单抗可用于晚期肺鳞癌的二线治疗。
PD-L1是一种跨膜糖蛋白,属于B7家族成员之一,一级结构包括290个氨基酸,亦由胞外区、疏水跨膜及尾部胞浆区组成[2]。有研究发现,PD-L1蛋白广泛表达于活化T淋巴细胞、巨噬细胞、B细胞等免疫细胞,还表达于多种类型的恶性肿瘤细胞表面,比如乳腺癌、胶质瘤、恶性黑色素瘤等[3]。PD-L1与其受体程序性死亡分子1 (PD-1)结合形成PD-1/PD-L1通路,该通路可介导形成机体的免疫抑制微环境,参与肿瘤细胞的免疫逃逸,继而促进肿瘤的发展。研究发现,27%~50%的肺癌患者可表达PD-L1[4,5],Koh等人[6]发现,在肺腺癌组织中PD-L1的阳性表达率为59%,且其阳性表达与患者淋巴结转移、组织分化程度及吸烟有关。有研究结果表明,肺鳞癌组织PD-L1阳性表达明显高于正常肺组织,PD-L1阳性表达与患者pTNM分期、淋巴转移有关,提示PD-L1在肺鳞癌的发生、进展过程中具有重要作用[3]。但目前单独研究PD-L1对肺鳞癌患者预后影响的报道甚少,尤其是伴有肺间质纤维化的肺鳞癌患者的相关研究更少,有待于大规模的临床试验。PD-L1抑制剂虽然可以达到预期的抗肿瘤效果,但这是一个非常复杂的过程,也有发生免疫相关不良事件的风险,包括诱发各种器官的炎症反应[7,8]。目前,其背后的机制仍不清楚,但先前的肺部疾病可能是免疫检查点抑制剂诱发肺炎的一个危险因素[9],所以由于肺炎的风险增加,肺间质纤维化合并肺癌患者接受免疫检查点抑制剂治疗的报道甚少。在以往的研究中,与传统非小细胞肺癌的化疗方案相比,抗PD-1治疗导致重度免疫相关性肺炎的发生率较高,但抗PD-L1治疗则不然[10]。也有研究显示,使用PD-1抑制剂患者3/4级免疫相关性肺炎的发生率仅略高于使用PD-L1抑制剂的患者[11]。此例病人为肺鳞状细胞癌伴肺间质纤维化,肿瘤细胞的PD-L1阳性表达百分比高达78%,因此在GP方案化疗的同时联合应用PD-L1抑制剂度伐利尤单抗,并在化疗与免疫联合治疗5疗程后以度伐利尤单抗单药维持。复查时可见右肺下叶的肿瘤病灶迅速且明显缩小,肺间质纤维化未见进展。患者治疗初期躯干部有散在皮疹出现,经抗过敏治疗后皮疹消失。患者1年半来复查病情稳定,未见复发及除淋巴结以外的其他部位转移,没有报告过除散在皮疹以外的免疫相关不良事件发生,也进一步证实了肺鳞癌病人化疗联合抗PD-L1药物作为一线治疗方案的可行性和安全性,为临床工作中肺鳞癌病人的治疗提供了新的思路。但目前病例数少,有待于大规模的临床试验。我们期望,在不远的未来,免疫治疗可使越来越多的肺癌患者获益。
所有作者均声明本研究不存在利益冲突





















