
患者,女性,52岁,因"鼻塞流涕1个月"于2015年12月诊断为鼻咽未分化型非角化性癌并左侧咽后左上颈部淋巴结转移,T4N1M0 IVA期。2015年12月至2016年4月行多西他赛+奈达铂(TP方案)化疗3周期联合根治性同步放化疗,治疗后肿瘤完全缓解。2019年6月复查提示鼻咽局部复发,rT4NOM0,2019年7月行复发灶放疗。2021年3月患者出现右侧颌面部肿物,进行性增大,局部出现红肿热痛。于2021年5月就诊于本科。
右侧颌面部肿物,进行性增大。右侧颌下至颈部皮肤明显红肿、皮温升高、触痛,肿块大小8 cm×5 cm,局部溃疡表面干痂形成。
EBV-DNA 7.58×103 copies/ml。鼻咽颈部MRI提示右颌下软组织肿胀,渗出,淋巴结肿大,短径41 mm。行右颌下肿物穿刺活检,病理检查提示鼻咽未分化型非角化性转移癌。
吉西他滨+顺铂(GP方案)联合特瑞普利单抗治疗4周期。
2周期疗效评价部分缓解,4周期疗效评价完全缓解。
肿瘤科;放疗科;头颈外科
版权归中华医学会所有。本文为遵循CC-BY-NC-ND协议的开放获取文章。
鼻咽癌是具有中国地域特色的恶性肿瘤,其高发区域主要分布在中国南方、中国香港及东南亚地区。10%的鼻咽癌患者经调强放射治疗(intensity-modulated radiation therapy,IMRT)联合或不联合化疗后出现局部、区域复发,4%~10%初诊的鼻咽癌患者出现远处转移。一线含铂方案治疗晚期复发/转移性鼻咽癌中位总生存期(overall survival,OS)约17个月[1],合并放疗其中位OS可提高到21个月[2]。因此,临床需要探索更有效的方案以提高复发/转移性鼻咽癌患者预后。EB病毒是鼻咽癌的致病因素之一,EB病毒阳性鼻咽癌肿瘤间质中淋巴细胞浸润明显,且鼻咽癌中PD-L1高表达,这提示免疫治疗可改善鼻咽癌患者的预后[3]。本研究报道GP方案联合特瑞普利单抗治疗1例鼻咽癌放化疗后复发再程放疗后复发/转移的鼻咽癌患者的近期疗效和安全性。
患者,女性,52岁。因"鼻塞流涕1个月"于2015年12月在外院诊断为鼻咽未分化型非角化性癌并左侧咽后左上颈部淋巴结转移T4N1M0 IVA期,2015年12月至2016年1月行多西他赛+奈达铂(TP方案)化疗3周期,2016年2月至2016年4月行同步放化疗,PGTVp 70Gv/32次, PGTVn 70Cy/32次,顺铂同期化疗,治疗后肿瘤缓解,定期随访。2019年6月复查提示鼻咽癌复发,分期为rT4N0M0。2019年7月行复发灶放疗54Gy/27次,不定期随访。2021年3月患者出现右侧颌面部肿物,进行性增大,局部出现红肿热痛,于2021年5月就诊于本科。既往健康,无家族史。出生长期居住于海南本地。
体格检查:KPS 80分,右侧颌下至颈部皮肤明显红肿、皮温升高、触痛,8 cm×5 cm,局部溃疡表面干痂形成。
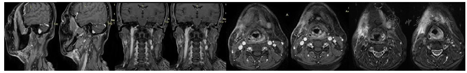
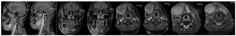
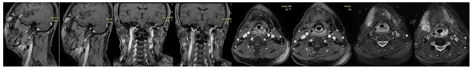
辅助检查:MRI提示右侧颌下软组织肿胀,渗出,邻近皮肤增厚,双侧颈部IB区多发小淋巴结,较大者为右侧,短径41 mm(图1)。病理提示颌下软组织非角化性未分化癌,免疫组织化学(Immunohistochemistry,IHC):P63(+),CK5/6(+), EGFR(+),S-100(个别细胞+),SOX10(-),P53(70%+), Ki-67(80%+)。EBV-EBER部分+。Epstein-Barr病毒(EB virus, EBV)脱氧核糖核酸(deoxyribonucleic acid, DNA) 7.58×103 copies/ml。


诊断:鼻咽癌放化疗复发再程放疗后右侧颌下复发。
鉴别诊断:
1.辐射诱发第二原发癌(radiation-induce second malignancy neoplasm, RISMN),患者既往有放疗病史,鼻咽原发病灶出现复发接受再程放疗,本次发病部位位于首次放疗射野,高度可疑RISMN,鼻咽癌RISMN常见于骨肉瘤、未分化肉瘤、恶性纤维组织细胞瘤、纤维肉瘤、肌纤维母细胞瘤、鳞癌、腺癌、基底细胞癌等。且RISMN一般位于中线或近中线部位。本患者结合病理诊断非角化性未分化癌,与首次治疗病理相同,排除RISMN。
2.第二原发癌,即重复癌。复阅MRI资料,本次发病病灶位于右侧颌下淋巴结(IB区),该部位原发疾病常见于鳞癌、腺癌、腺样囊腺癌、淋巴瘤等。本患者病理类型非角化性未分化癌最常见于鼻咽癌,且与患者首次治疗病理类型相同,暂不考虑重复癌。
外科会诊考虑手术难度大,需整形科协助,且患者不同意手术。于2021年5月至2021年8月行4周期吉西他滨+顺铂方案(GP方案)化疗联合特瑞普利单抗免疫治疗。
鼻咽癌是具有地区特异性和种族相关性的头颈部恶性肿瘤,亚洲和北非发病率较高。中国华南地区鼻咽癌高发。放疗是鼻咽癌的主要治疗方法。近20%的局部晚期鼻咽癌患者初次放疗后出现局部复发[4,5]。对于局部复发鼻咽癌,手术、化疗或再程放疗是主要治疗手段。研究认为初次放射治疗预后良好(如局部复发小、淋巴结负荷低、间隔时间长;>3年)的患者可能从再程调强放疗(60-70Gy)中获益[6,7,8]。本病例经过初次放化疗后40个月左右出现鼻咽局部复发,给予再程放疗。遗憾的是,再程放疗后不到2年即再次出现颌下进展。由于肿瘤累及部位邻近既往放疗野或位于低剂量区,距离首次治疗5年左右,需要鉴别鼻咽癌治疗后复发进展或是放疗诱发第二原发恶性肿瘤(radiation-induce second malignancy neoplasm, RISMN)。经病理学检测提示鼻咽癌治疗后进展,与首次治疗病理类型相同,根据RISMN目前诊断标准[9],考虑鼻咽癌复发治疗后再次复发。与首次鼻咽部复发不同的是,二次复发位于颌下及颈部区域。对于局部或区域复发性鼻咽癌,可推荐手术或放疗。挽救性手术仅适用于可切除的复发性病灶[10]。本病例病变范围偏大,患者为再程放疗后复发,涉及颌面部手术重建、手术难度大、严重并发症等问题,以及患者对手术治疗的意愿,不考虑手术治疗。再程放疗后复发鼻咽癌,复发时间、放疗剂量及其预期疗效、潜在严重并发症提示该患者不宜行放疗。因此,局部治疗(外科,放疗)难以实施。化疗是不可手术切除或不可再次放疗患者的选择[8],吉西他滨联合顺铂(GP方案)是复发转移性鼻咽癌的标准一线治疗方案[11,12]。由于患者是二次复发,推荐使患者有更大获益的治疗方案。患者EB病毒阳性,这类患者鼻咽癌淋巴细胞浸润密集,50%~80%的患者PD-L1表达阳性,基础和临床研究均提示复发转移性鼻咽癌患者可从PD-1/PD-L1治疗中获益[13,14,15,16,17,18,19,20,21]。特瑞普利单抗是一种人源化IgG4 PD-1抗体,在多中心II期研究(POLARIS-02)中[15]分析了可评估的190例复发转移性鼻咽癌患者,特瑞普利单抗治疗客观缓解率(overall response rate, ORR)为20.5%,疾病控制率(disease control rates, DCR)为40%,中位反应时间为1.8个月,缓解持续时间(duration of response,DOR)12.8个月,中位生存期(median survival time)17.4个月。14.2%患者出现3-5级免疫相关副反应,治疗相关副反应主要包括甲状腺机能减退(2.6%)、肝功能异常(1.6%)等。研究还显示治疗28天后EBV-DNA下降大于50%的患者ORR高于EBV-DNA下降低于50%的患者[15],这提示特瑞普利单抗可作为复发转移性鼻咽癌的二线治疗方案。GP方案是复发转移性鼻咽癌的标准一线治疗方案,JUPITER-02研究比较了特瑞普利单抗与安慰剂联合GP方案一线治疗复发转移性鼻咽癌的疗效,中期结果提示特瑞普利单抗组和安慰剂组中位无进展生存期(progression free survival,,PFS)分别为11.7个月和8个月;1年无进展生存率分别为49%和28%;ORR分别为77.4%和66.4%(P=0.033);中位DOR为10.0个月和5.7个月。两组毒副反应相似,这提示特瑞普利单抗联合GP方案有望成为复发转移性鼻咽癌患者新的治疗方案[22]。考虑到本例患者为治疗后第二次复发,其首次复发仅接受调强放疗,且该患者再次复发治疗时上述成果尚未发表,参考复发转移性鼻咽癌治疗方案,给予GP方案联合特瑞普利单抗治疗,患者治疗后28天内EBV-DNA降至正常,2周期化疗部分缓解(partial remission,PR),4周期化疗后达完全缓解(complete remission,CR),未出现明显毒副反应。患者后续治疗是维持治疗或观察,尚不明确,其长期预后需进一步观察。
总结该病例,局部晚期鼻咽癌二次复发,给予GP方案联合特瑞普利单抗,未出现明显毒副反应,近期疗效明显。
所有作者均声明本研究不存在利益冲突























