
患者,男性,56岁,2020年3月12日因眼黄尿黄1个月余就诊于我院胆胰外科,既往体健无家族史及手术史。
皮肤、巩膜黄染,腹部平坦,无腹肌紧张,无压痛、反跳痛,Murphy氏征(-),肝、脾肋下未触及。腹部叩诊鼓音,移动性浊音(-),肝区叩击痛(-)。
结合患者症状、体征、影像学检查及病理结果诊断肝门部胆管细胞癌
给予患者介入治疗,胆囊切除治疗,卡瑞利珠单抗免疫治疗联合阿帕替尼靶向治疗。
目前患者卡瑞利珠单抗联合阿帕替尼维持治疗中,未来期待继续控制病灶,以寻求手术根治的可能。
介入科;肝胆外科;肿瘤科
版权归中华医学会所有。本文为遵循CC-BY-NC-ND协议的开放获取文章。
胆管细胞癌是第二大常见的原发性肝脏恶性肿瘤,约占所有肝胆恶性肿瘤的10%~15%[1]。按照解剖分型可分为肝内胆管细胞癌和肝外胆管细胞癌( extrahepatic cholangiocarcinoma,ECC),ECC中发病率最高的为肝门部胆管癌,其在肿瘤早期常无明显症状,多数患者因肿瘤引起的胆道梗阻前来就诊,发现时因疾病进展而失去根治性手术机会[2]。近年来,免疫检查点抑制剂和分子靶向药物在治疗ECC的众多临床研究中展示出了良好的安全性及有效性[1,2]。本文报道1例无法经外科手术切除的局部晚期肝门部胆管癌病例,在接受14个周期卡瑞利珠单抗联合阿帕替尼治疗后,成功控制病灶进展并解除置管状态,减少肿瘤负荷,大大提高生活质量。
患者男性,56岁,2020年3月12日因眼黄尿黄1个月余就诊于我院胆胰外科,既往体健无家族史及手术史。体格检查:神清,精神可,皮肤、巩膜黄染,腹部平坦,无腹肌紧张,无压痛、反跳痛,Murphy氏征(-),肝、脾肋下未触及。腹部叩诊鼓音,移动性浊音(-),肝区叩击痛(-),肠鸣音正常,4次/min。
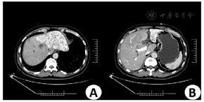
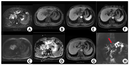
3月12日上腹部增强CT提示肝门部胆管癌可能(图1)。3月13日B超提示肝门部至胆总管上段占位,考虑肿瘤伴胆管受侵可能。3月16日上腹部增强MR提示肝门部胆管癌伴胆道梗阻可能(图2)。3月12日实验室检查示,AFP为8.1 ng/ml,CEA为1.61 ng/ml,CA50为68.76 IU/ml,CA19-9为80.89 IU/ml,ALT为126 IU/L,AST为76 IU/L,TBIL为77.7 umol/L,DBIL为62.5 umol/L。




为解除患者恶性胆道梗阻所致的黄疸症状,3月20日于我科行"经皮经肝穿刺胆道置管引流术(percutaneous transhepatic cholangiography drainage,PTCD)",术中示:肝门部肝总管上段呈截断征,左肝管扩张,右肝管部分分支显影,且多支不通,遂仅于左侧置入PTCD外引流管。术后1周复查生化ALT为57 IU/L,AST为40 IU/L,TBIL为93.7 umol/L,DBIL为74.6 umol/L。
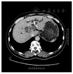
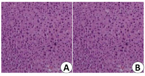
考虑到患者较年轻且患者及家属治疗欲望强烈,希望予以手术根治。为防止患者术后残肝脏体积不足发生肝衰竭,目前国内外多数学者主张采用术前行保留侧肝脏的PTCD和(或)切除侧肝门静脉栓塞(portal vein embolization,PVE)以使保留侧肝脏获得代偿性增生从而降低广泛肝切除的危险性[3]。4月3日患者于我科行PVE,术中予以生物胶+碘油+弹簧圈组合充分封堵门静脉左支主干。4月16日复查CT示左肝大片状碘油沉积,右肝代偿性增生(图3)。4月30日拟行胆管癌根治术,术中示肿瘤位于肝门汇合部,包裹肝十二指肠,大小约8 cm×4 cm,质硬,肝门部可见肿大淋巴结,无法行肝门部胆管癌根治术,遂行"剖腹探查术+开腹肝活检术+胆囊切除术"。术后免疫组化结果(图4)示肝脏: CA199 (小胆管+),CK19(小胆管+) ;CK7(胆管上皮+),HepPar-1(+),GPC3(-),AFP(-);CK20(-),K1-67(+,2%);淋巴结Kappa(+),Lambda(+),CK(-)。




根据"2020 NCCN肝胆癌指南",对于不可切除的胆管细胞癌,首选为全身治疗。对于黄疸患者,在切除和全身治疗前考虑进行胆管引流,胆道减压后考虑行CA19-9基线检查。根据美国癌症联合委员会(American Joint Committee on Cancer,AJCC)第8版肝内胆管细胞癌分期系统,本病例诊断为肝门部胆管细胞癌,T4N1M0 IIIC期,外科评估无法切除(2020年4月30日)。患者因手术未能切除导致疾病进展,7月因胆管梗阻再次入院,检测CA19-9为185.99 IU/ml,TBIL为169.4 umol/L,DBIL为126.8 umol/L。为解决梗阻性黄疸症状,于7月6日行PTCD引流并置入3根引流管。随着部分胆管再通,患者一般情况好转,拟对肝内病灶进行治疗。于10月11日行肝动脉化疗栓塞术(transcatheter arterial chemoembolization,TACE),造影示肝右叶见一团块状浅淡肿瘤染色,主要由肝右动脉供血,术中用药为吉西他滨1.2 g,洛铂50 mg,48%碘化油5 ml。术后予以保肝、退黄等对症处理。 11月复查CT示肿瘤稍有变大,且肝门部及腹膜后可见肿大淋巴结。结合患者病情,建议患者行卡瑞利珠单抗(200 mg静脉滴注,每3周一次)免疫治疗联合阿帕替尼(250 mg口服,1次/d)靶向治疗,患者同意。2020年11月至2021年9月,患者入院接受卡瑞利珠单抗治疗14次,治疗后病灶明显缩小,且液化坏死明显,根据实体瘤改良疗效评估标准(mRECIST)评估为完全缓解(complete remission,CR);其中在2021年5月及2021年9月CT随访中显示肿大淋巴结已明显减小或消失(图5)。CA19-9是胆源性肿瘤关系密切的标志物,CA19-9值的降低能够预测肿瘤大小的减少,可用于潜在地判断对当前治疗的反应[1,2]。此时,CA19-9指标也明显降低并维持正常水平(图6)。




目前患者卡瑞利珠单抗联合阿帕替尼维持治疗中,未来期待继续控制病灶,以寻求手术根治的可能。
ECC是一种侵袭性肝胆恶性肿瘤,由于晚期、耐药和缺乏有效的治疗方案,预后较差。近年来,ECC的发病率和相关死亡率呈上升趋势[2]。手术切除被认为是ECC唯一根治的方法,本病例系ECC伴肝门部淋巴结转移,属于局部晚期,无法行根治性手术切除。对于不可切除的ECC,NCCN、CSCO等指南推荐使用吉西他滨和顺铂的一线化疗方案[4]。在二线治疗中,目前还没有标准的全身治疗方法。随着靶向免疫时代的到来,越来越多的治疗方案被证实足够的安全性及有效性,为患者提供了更多的选择。
卡瑞利珠单抗是一种抗程序性死亡(PD-1)单抗,PD-1阻断可使肿瘤对抗血管生成治疗敏感,提高其疗效[5]。阿帕替尼是一种抗血管生成靶向药物,是血管内皮生长因子受体2(VEGFR-2)的高选择性小分子酪氨酸激酶抑制剂,通过改善肿瘤微环境,抑制肿瘤新生血管的形成,控制肿瘤进展[6]。以往经验显示小剂量阿帕替尼的疗效似乎更好,高剂量或长期抗VEGF治疗可能会加重肿瘤微环境的缺氧和免疫抑制[6,7]。因此,考虑到安全性和有效性,我们建议患者联合治疗中使用较低剂量的阿帕替尼(250 mg,1次/d),1个疗程(4周)后评估患者一般情况及不良反应,如出现较为严重或不能耐受的不良反应,则减量为125 mg/d,甚至停药。Mo等[8]研究表明,卡瑞利珠单抗联合阿帕替尼作为原发性肝癌的二线治疗较卡瑞利珠单抗单药治疗显示更高的疾病控制率(disease chontrol rate,DCR)(67.9% vs. 44.2%),更长的中位无进展生存期(progression free survival,,PFS)(3.7个月vs. 2.1个月)和更高的6个月总生存率(85.7% vs. 74.4%),与阿帕替尼的联合应用有可能进一步提高卡瑞利珠单抗的疗效。Wang等[1]在卡瑞利珠单抗联合阿帕替尼治疗晚期胆管癌的前瞻性研究中发现,卡瑞利珠单抗联合阿帕替尼治疗毒性可控,在客观缓解率(objective response rate,ORR)、PFS和总生存期(overall survival,OS)方面也显示了较强的疗效,且优于单独使用阿帕替尼的疗效。顾杰等[9]研究TACE联合阿帕替尼对比单独TACE治疗中晚期原发性肝癌的疗效发现,TACE联合阿帕替尼治疗中晚期肝癌可显著延长患者mOS(19个月vs. 14个月)和mPFS(12个月vs. 4个月),且较单纯TACE组可明显提高肿瘤应答率及控制率。
介入治疗是已成为不可切除ECC患者姑息治疗的重要选择,包括动脉内治疗、消融治疗和近距离放射治疗(碘-125粒子植入)[10],其中TACE是目前中晚期肝癌的基础性治疗手段。然而,大多数ECC瘤体为乏血供,仅靠栓塞治疗效果一般。本病例病灶体积大、肿瘤负荷重且伴有肝门部淋巴结转移,不宜行消融治疗和碘-125粒子植入治疗;由于病灶乏血供,传统TACE疗效也不佳,患者又拒绝全身化疗,在临床上也是属于比较棘手的晚期肿瘤病例。刘金等[6]研究卡瑞利珠单抗联合阿帕替尼在治疗载药微球-肝动脉化疗栓塞(D-TACE)后进展的中晚期肝癌中的临床疗效与安全性中发现,卡瑞利珠单抗联合阿帕替尼联合治疗后的1个月ORR为47.8%、DCR为60.9%,治疗后3个月ORR为73.9%、DCR为78.3%,mPFS为126天,不良事件发生率为87.0%(20/23),均未超过3级且对症治疗后好转,对于D-TACE治疗后进展的中晚期肝癌患者,应用卡瑞利珠单抗联合阿帕替尼的疗效确切、不良反应可控。本例患者在使用卡瑞利珠单抗联合阿帕替尼治疗后,CA19-9等肿瘤指标迅速下降并维持在正常水平,随着病灶明显的进行性缩小和液化坏死,部分胆管再通,患者解除了置管状态,生活质量明显提高。在治疗和随访的十个月时间里,患者病情始终稳定,体力状况有明显好转,体重也有所上升,可能与肿瘤负荷降低,部分胆道相通,肝功能好转等因素有关。而治疗中主要的不良反应为轻度的恶心、呕吐、乏力以及皮肤瘙痒等,无严重不良反应,多为可耐受的1级或2级不良反应。总结该病例经验,对于病灶范围大,肿瘤负荷重的手术无法切除的ECC患者,卡瑞利珠单抗联合阿帕替尼治疗是一种安全有效的治疗手段,可以显著降低肿瘤负荷,提高生活质量,可为患者转化治疗以寻求根治手术提供选择和可能。
本研究所有作者均声明不存在利益冲突





















