
患者,男性,72岁,因确诊肺癌1个月入院,患者2020年7月因咳嗽咳痰入院,完善相关检查,气管镜见右上叶尖段开口新生物,活检提示肺鳞癌,PET-CT未见远处转移。
无特殊不适,双肺呼吸音减低
气管镜活检病理提示鳞状上皮高级别上皮内瘤变,局部癌变,PET-CT提示右上叶支气管尖段开口处狭窄,代谢升高,符合恶性病变。
患者因肺功能差,无法行手术切除,于2020年8月起行卡瑞利珠单抗免疫治疗联合吉西他滨+顺铂化疗5周期,后2021年1月起卡瑞利珠单抗免疫维持治疗13周期。
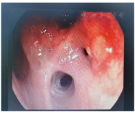
2020年9月复查气管镜提示右上叶管腔内新生物消失,后多次复查评估肿瘤控制稳定,患者无明显药物毒副反应,体力状态良好。
肿瘤内科;胸外科
版权归中华医学会所有。本文为遵循CC-BY-NC-ND协议的开放获取文章。
据统计,肺癌发病率居全球癌症之首,其中肺鳞癌约占非小细胞肺癌新发病例的30%左右[1]。随着靶向治疗的迅猛发展,肺腺癌患者的总体生存时间已大幅提升。与肺腺癌相比,肺鳞癌驱动基因突变率低,治疗方案选择相对较少,目前一线方案仍以化疗为基础,药物毒副反应大。近年来,免疫治疗的出现为肺鳞癌的治疗带来新的突破。研究显示,免疫联合化疗、放疗或抗血管治疗等模式,可显著延长肺鳞癌患者的无进展生存期,已纳入指南一线推荐。未来,探索更多的免疫联合模式,选择精准化治疗方案,对患者的长期生存获益至关重要。
患者,男性,72岁,因"确诊右肺鳞癌1个月"入院。患者2020年7月9日因反复咳嗽、咳痰伴发热入住我科。胸部CT提示右肺中下叶支气管扩张伴感染,双肺肺气肿,右侧胸腔积液。给予患者抗感染、胸腔穿刺抽液体等对症处理。胸水常规生化提示渗出液,细胞学未查见癌细胞。后患者体温正常,咳嗽、咳痰好转,但右肺下叶病变未完全吸收。2020年7月15日行气管镜检查提示右上叶支气管尖段开口见新生物生长,右肺中下叶及左侧支气管未见异常。活检病理提示鳞状上皮呈高级别上皮内瘤变,局部考虑癌变。进一步行PET-CT:右肺上叶支气管尖段开口处狭窄,18F-FDP代谢增高,符合恶性病变。诊断右肺鳞癌,后出院拟至外院手术治疗,但外院考虑患者高龄肺功能差,手术风险较大,未行手术治疗,为行进一步治疗再次就诊我科。
既往有长期大量吸烟史,吸烟40余年,20支/d,已戒烟。3年前因咳嗽咳痰就诊发现右肺支气管扩张。否认其他慢性基础疾病。
体格检查:全身浅表淋巴结未触及肿大,双肺呼吸音减低。心脏腹部及神经系统体格检查无特殊。
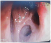
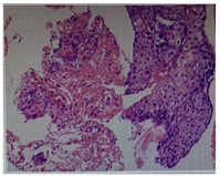
2020年7月15日气管镜:左支气管各管腔通畅,未见新生物及狭窄;右上叶支气管尖段开口见新生物生长,堵塞管腔(图1),活检易出血;右中、下叶管腔通畅,未见新生物及狭窄。刷检涂片查见癌细胞,活检病理提示鳞状上皮呈高级别上皮内瘤变(图2),局部考虑癌变。




2020年7月16日右侧胸水脱落细胞学:淋巴细胞及间皮样细胞,未查见癌细胞。
2020年7月20日PET-CT:1.右肺上叶支气管尖段开口处狭窄,18F-FDP代谢增高,符合恶性病变;2.纵隔及右肺门数个淋巴结,18F-FDP代谢增高,首先考虑反应性增生,请随诊;3.右肺中下叶支气管扩张伴感染,右肺下叶炎性增殖灶;4.双肺局限性肺气肿伴散在纤维化灶及钙化灶;5.右侧胸腔积液。
根据气管镜活检病理与PET-CT检查诊断该患者为右肺鳞癌,支气管扩张。
分别于2020年8月5日、2020年9月5日行卡瑞利珠单抗免疫治疗+吉西他滨(1.2 g d1)+顺铂(100 mg d1)方案化疗两周期,期间出现II度骨髓抑制,予以对症处理后好转,均未行第8天吉西他滨治疗。2020年9月行气管镜检查提示右上叶管腔内新生物消失,管腔通畅,粘膜光滑,胸部CT提示右肺下叶支气管扩张,未见新发肺部病变,疗效评价为完全缓解。故于2020年9月28日、2020年11月12日、2020年12月9日再次行卡瑞丽珠单抗联合化疗3周期,具体用药方案同前,期间患者反复出现II度骨髓抑制,予以相关处理。肝肾功能、肿瘤指标及胸部CT稳定,未见明显消化道反应及其他毒副反应。
考虑到患者高龄,化疗期间反复出现骨髓抑制,后续治疗选择免疫单药维持治疗,于2021年1月至2021年11月行卡瑞利珠单抗免疫维持治疗共13周期,期间肝肾功能及血常规稳定,未见明显毒副反应。
肺鳞癌好发于男性吸烟人群,基因突变复杂,治疗更具挑战,既往针对肺鳞癌常见突变的靶向药物研究多以失败告终,均未取得实质性进展[2]。标准的含铂双药化疗方案仍然是晚期肺鳞癌一线治疗的基础,但其毒副反应大,患者的中位生存期有限[3]。临床上,肿瘤的治疗强调个体化、精准化,兼顾患者的耐受情况及经济条件等,如何选择最大临床获益的方案主要需参考循证医学证据。近年来,国内外开展了大量的晚期肺鳞癌免疫治疗的多中心、随机对照研究,免疫治疗在肺癌中的探索,经历了从晚期二线到晚期一线治疗的过程,其中KEYNOTE-407研究[4]结果显示,在Ⅳ期肺鳞癌患者中,帕博利珠单抗联合化疗对比安慰剂联合化疗组,显著提高了患者的客观缓解率并延长患者的中位总生存期,不良反应轻微可控。KEYNOTE系列研究的亮眼数据成功改写NCCN指南,奠定了PD-1抑制剂联合化疗在晚期肺癌中的一线地位。随着越来越多的国产免疫药物的涌现,中国肺癌患者免疫治疗的可及性更高,无论是临床试验还是真实世界观察,都验证了免疫治疗的价值及优势。由周彩存教授领导的CameL-sq研究[5],评估了卡瑞利珠单抗联合卡铂和紫杉醇一线治疗晚期或转移性肺鳞癌的有效性和安全性。联合治疗组中位无进展生存期延长,且未出现非预期的不良反应。BGB-A317-307研究[6]、ORIENT-12研究[7]肯定了替雷利珠单抗及信迪利单抗联合化疗在晚期肺鳞癌中的疗效。此外,亦有关于卡瑞利珠单抗联合抗血管治疗、单药治疗的研究探索[8]。基于此,2021CSCO指南将免疫治疗联合化疗推荐为晚期肺鳞癌的一线治疗,免疫单药治疗推荐为后续维持治疗[9]。
值得注意的是,高龄肺鳞癌患者,常因合并基础疾病多,肺功能差,难以选择手术、同步放化疗等治疗措施,免疫治疗则显示出更好的安全性及耐受性。本文报道为一例72岁高龄肺鳞癌患者,合并支气管扩张,肺功能差,无法手术治疗,一线方案选择卡瑞利珠单抗联合含铂双药化疗,效果显著,但出现骨髓抑制不良反应,后选择免疫单药维持治疗,肿瘤持续控制,且未出现明显不良反应。患者依从性及耐受性好,已规律免疫单药治疗1年余,临床获益明显,后续将继续免疫单药维持治疗。该例患者的诊治提示卡瑞利珠单抗在肺鳞癌一线治疗中可发挥较好疗效。
综上所述,免疫治疗为晚期肺癌患者带来新的选择和希望。未来,我们期待能够更精准的寻找免疫治疗获益人群,探索更多免疫联合治疗的有效机制及可行性。
所有作者均声明本研究不存在利益冲突























