
患者女性,61岁,全身皮肤散在大小不等结节31年,手术治疗3次后再次复发11个月入院,有支气管炎、肾炎病史,具体时间不详,未系统治疗。否认家族遗传病史及类似疾病史。
全身皮肤见大小不等结节,半球形或微隆起于皮肤表面,质软,无粘连,无触痛、破溃及瘙痒。左肩部见1长约8cm手术切口,愈合良好,皮肤无破溃,皮下可触及1鸡蛋大小肿物,质软,活动度较差。左上肢感觉及运动未见明显异常。
结合病史及术后病理检查。
皮肤病损切除术+皮下组织病损切除术。
术后恢复可,随访2个月,生活正常,嘱择期门诊复查决定下次复查时间及进一步治疗。
病理科;皮肤科;整形外科;放射科
版权归中华医学会所有。本文为遵循CC-BY-NC-ND协议的开放获取文章。
神经纤维瘤是1组良性的周围神经鞘膜肿瘤,在病理诊断工作中,神经纤维瘤、陈旧型神经纤维瘤(ancient neurofibroma),也称神经纤维瘤伴有不典型性(neurofibroma with atypia)、非典型神经纤维瘤(atypical neurofibroma,AN)、恶性外周神经鞘膜肿瘤(malignant peripheral nerve sheath tumor,MPNST)之间存在形态学的连续性,良恶性的界限并不清晰,而临床医师需要确切的病理诊断以指导制定临床治疗方案。美国国立卫生研究院的专家共识[1]提出的生物学潜能未定的非典型神经纤维瘤样肿瘤(atypical neurofibroma neoplasm of uncertain biological potential, ANNUBP)旨在解决这一困惑,最新版的WHO软组织肿瘤分类中纳入了这一诊断用词,将其与AN合并视为同一种肿瘤,记为AN/ANNUBP。本文介绍1例ANNUBP,旨在提高临床与病理医师对本病的认识。
患者女性,61岁,全身皮肤散在大小不等结节31年,手术治疗3次后再次复发11个月入院。患者于31年前发现全身无诱因多处肿物,无触痛、破溃及瘙痒。曾就诊于当地医院行左肩、左肘部手术切除后复发,3年前来我院就诊,诊断为"神经纤维瘤病"行左肩部、右上臂及右腕肿物切除术,左肩病理结果符合MPNST,右腕及右上臂病理符合皮肤神经纤维瘤。18个月前发现左肩肿物复发,进行性增大,偶有放电感,左上肢不适感;左胫前发现无诱因异常肿物,无触痛,于1年前行左肩、左胫前肿物切除,病理结果考虑为神经纤维瘤,其中左肩部肿瘤细胞丰富。11个月前发现左肩肿物复发,进行性增大,遂来院就诊。患者有支气管炎、肾炎病史,具体时间不详,未系统治疗。否认家族遗传病史及类似疾病史。
体格检查全身皮肤见大小不等结节(图1),半球形或微隆起于皮肤表面,质软,无粘连,无触痛、破溃及瘙痒;左肘部、左胫前、右腕部各见1长约2.5cm手术切口,右上臂外侧见1横行长约10cm手术切口,愈合良好。左肩部见1长约8cm手术切口,愈合良好,皮肤无破溃,皮下可触及1鸡蛋大小肿物,质软,活动度较差。左上肢感觉及运动未见明显异常。


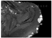
行磁共振左肩关节平扫(图2)示:左侧肩关节表皮可见多发结节状长T2信号,左侧肩胛骨可见小片状稍长T2信号,肱骨内可见类圆形长T2信号。左侧肩关节滑膜囊内、喙突下可见少量条片状长T1长T2信号。左侧冈上肌肌腱可见斑片状稍长T2信号,左侧肩关节肱二头肌长头腱周围可见液体信号影。诊断提示左侧肩胛骨骨髓水肿。左侧肱骨内小囊变。左肩关节滑膜囊、喙突下滑膜囊少量积液。左侧冈上肌腱信号增高,不除外损伤。左侧肩关节肱二头肌长头腱腱鞘少量积液。


对其1年前左腿、左肩部病理切片进行复习(图3),镜下可见细长的梭形细胞交错分布,部分细胞呈波浪状,一端尖细,细胞密度低,局部间质呈疏松黏液样,并见有"绳索状"胶原,符合神经纤维瘤特征。其中左肩部肿瘤细胞丰富,但患者未行免疫组化染色并要求出院。


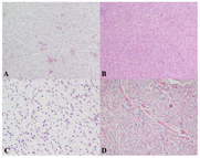
本次术后病理送检,大体检查(图4A):带皮组织1块,体积6.5cm×3.5cm×2.0cm,皮肤面积6.5cm×3.5cm,局部见有类圆形隆起,直径0.2~1.0cm,切开,切面灰白质韧。镜下(图4B~I)见肿瘤浸润上皮下脂肪组织,瘤细胞呈梭形,胞核小而深染,波浪状,部分区域细胞丰富,有异型,核分裂像约3个/10HPF,偶见肥大细胞。免疫组化染色结果:NF(-)、CD34(部分+)、S-100(+)、SOX10(+)、Ki67(阳性率8%)、GFAP(-)、EMA(-)、TRK(pan)(-)、INI-1(+)、H3K27me3(+)、PR(-)、P53(阳性率60%),结合病史及形态学符合ANNUBP。


行皮肤病损切除术+皮下组织病损切除术。
随访2个月,患者生活正常,无不适。
本例患者全身皮肤散在大小不等结节,左肩部肿物复发再次行手术切除,依据前述大体及镜下观察及免疫组化染色结果诊断为ANNUBP。ANNUBP的诊断标准应包括以下特征中的至少两项:瘤细胞有异型性;细胞密度增加;失去神经纤维瘤的结构特点(束状生长模式和/或缺乏CD34+成纤维细胞网络),可见核分裂像(>1/50且<3/10HPF或<1.5/mm2)。尽管免疫组化有助于评估神经纤维瘤的结构和增殖指数,但目前并不能用于确定其恶性潜能[1]。
在神经纤维瘤病的相关疾病谱系中,ANNUBP应与陈旧型神经纤维瘤、富于细胞性神经纤维瘤、低级别MPNS-T鉴别,以避免过度治疗或治疗方案不足。陈旧型神经纤维瘤和富于细胞性神经纤维瘤在第5版WHO肿瘤分类中均属于神经纤维瘤的亚型,且均存在神经纤维瘤结构。陈旧型神经纤维瘤可见到散在的奇异性核,但核分裂像罕见。"陈旧"一词用于描述退行性奇异性核,但并没有已知的临床意义。富于细胞性神经纤维瘤肿瘤细胞丰富但无异型性,无核分裂像。对于该类肿瘤应多取材以避免漏诊ANNUBP或MPNST的区域。低级别MPNST的核分裂像应为3~9个/10HPF,S-100和SOX10一般为局灶阳性,弥漫阳性表达较为少见。约35.4%的MPNST出现H3K27me3完全丧失,31%出现部分丧失,在高级别MPNST中则高达80%出现完全失表达。较高的Ki67增殖指数(>10%)可能有助于检测神经纤维瘤恶变为MPNST[1]。患者本次肿瘤复发Ki67指数约为8%,核分裂像约3个/10HPF,H3K27me3阳性,SOX10弥漫阳性,符合ANNUBP的诊断。
NTRK重排梭形细胞肿瘤是一种以NTRK基因重排为分子特征的软组织肿瘤,多发生于婴幼儿和青少年,成年人较少见。其在形态上可以类似周围神经肿瘤或MPNST,免疫组化以CD34、S-100阳性为特征,但不表达SOX10。本例出现CD34局灶阳性,但SOX10阳性,同时结合临床特征及病史可以鉴别。本例CD34局灶网格状阳性,提示局部仍存在正常神经神经纤维瘤结构。此外,ANNUBP还需与去分化脂肪肉瘤、纤维肉瘤、平滑肌肉瘤等其他软组织肿瘤进行鉴别[2]。
神经纤维瘤恶变常发生于神经纤维瘤病1型(neurofibromatosis type 1, NF1),大量孤立性神经纤维瘤常提示为NF1。NF1又称von Recklinghausen病,是一种常染色体显性遗传病,由位于染色体17q11.2的NF1基因突变引起[3],神经纤维瘤是其最为常见和具有特征性的临床表现之一[4]。8%~15%的NF1多发神经纤维瘤患者会恶变为MPNST[1,5,6,7]。NF1是一种完全外显(即在杂合子状态下表现出相应表型的的百分率为100%)的基因,但在表达的特征上出现了实质性的变化,许多临床特征的表现与年龄密切相关。其诊断标准为至少出现以下2种特征:6个或以上咖啡牛奶斑(在青春期前直径>5mm或在青春期后直径>15mm);2个或以上任何类型的神经纤维瘤或1个丛状神经纤维瘤;腋窝或腹股沟区雀斑;视神经胶质瘤;2个或以上Lisch结节(虹膜错构瘤);特征性骨病变,如蝶骨发育不良或长骨皮质增厚伴或不伴假关节;有一级亲属根据上述标准被诊断为NF1[8]。NF1患者的预期寿命可能会缩短10~15年,常见的死亡原因是恶性肿瘤[9]。2021年国际神经纤维瘤病诊断标准共识组对NF1的诊断标准进行了修正[10],加入了基因学诊断标准。本例虽然可疑为NF1,但由于患者本人及其亲属拒绝做进一步裂隙灯或其它体格检查,并拒绝行基因检测,按照目前的NF1诊断标准,无法确定其是否为NF1患者。NF1目前没有有效的根治方法,传统的手术切除[11]、放化疗以外的治疗靶点仍在探索中[12],中国I型神经纤维瘤病多中心治疗协作组撰写的专家共识[4]对目前NF1的诊断及临床治疗方法进行了详细阐述。
最近的共识认为ANNUBP复发风险较低,基本没有转移风险[1],第5版WHO肿瘤分类中将其与陈旧型和富于细胞性神经纤维瘤同样归为神经纤维瘤的亚型,但在正文中指出ANNUBP为癌前病变或恶变的早期阶段。张笑盈等[2]对7例ANNUBP进行了回顾性分析,其中4例多次复发,2例进展为MPNST,这与该研究中的7例患者中有6例肿瘤位于腹膜后有关。本例患者左肩部的肿瘤首次切除后符合MPNST的诊断,第一次复发形态学支持神经纤维瘤且细胞较丰富,第二次复发符合ANNUBP的诊断,为这一形态学谱系的发展提供了一定的理论支持,我们认为3次术后诊断的不一致与该病变的发展时期不同有关,由于皮下肿物相比腹膜后肿物更易于发现,因此患者可在其恶变为MPNST之前即发现并切除,表明ANNUBP可能是神经纤维瘤恶性进展的早期变化。
由于ANNUBP的概念较新,目前对其治疗方案并没有共识或指南。在相关病理诊断共识[1]中认为ANNUBP虽然可能是恶化的早期阶段,但其本身并不是恶性病变,应避免过度治疗。本例患者行手术切除后未进行放化疗等辅助治疗措施,但由于其多次复发及MPNST相关病史,建议其密切随访,目前患者状态稳定。
所有作者均声明本研究不存在利益冲突





















