
患者男性,29岁,2个月前开始出现头部闷痛,伴双侧鼻塞、脓涕及涕中带血,伴左侧面部及上列牙痛,抗生素治疗无好转,患者逐渐出现低热、咳嗽咳痰症状。发病以来体重下降约7.5公斤。
鼻内镜下见双侧鼻腔大量血水样分泌物,伴鼻黏膜大范围糜烂坏死。
鼻窦CT示左侧下鼻甲骨质破坏;肺部CT提示双肺多发结节;血清自身免疫指标PR3-ANCA阳性;鼻腔黏膜活检病理提示弥漫性坏死伴不规则肉芽肿形成,最终确诊肉芽肿性多血管炎。
500mg甲强龙每日一次冲击治疗,后逐渐减量至80mg每日一次,联合环磷酰胺0.2g每周一次静脉输液
入院后出现腹腔出血、脾梗死、失血性休克,经上述治疗后腹腔出血情况稳定,鼻腔逐渐上皮化,肺部病变明显好转,3个月后口服激素减量至每日6mg甲强龙维持,至治疗3年,2次复发。
耳鼻喉科;风湿免疫科
版权归中华医学会所有。本文为遵循CC-BY-NC-ND协议的开放获取文章。
肉芽肿性多血管炎(Granulomatosis with polyangiitis,GPA)既往称为Wegener肉芽肿,是一种坏死性肉芽肿性炎症,主要影响上下呼吸道,伴坏死性肾小球肾炎和中小血管的纤维素样坏死[1]。GPA发病率低,患者可因受累器官的不同而表现出多样的临床症状,往往容易误诊为局部的感染性炎症,造成治疗的不当和疾病的快速进展[2]。本文报告一例以鼻部症状起病的典型GPA病例,回顾了该病例最初误诊为鼻窦炎未给予免疫抑制治疗而造成疾病快速进展的过程,以期提高同行对该病的认识。
患者男性,29岁,因"持续性头痛伴鼻塞、脓涕2个月"就诊于北京大学第三医院耳鼻咽喉科。患者2个月前无明显诱因出现头部闷痛,无固定疼痛部位,无明显时间规律,伴双侧鼻塞、脓涕,伴涕中带血,伴左侧面部及上列牙痛,伴左眼球胀痛,无发热、恶心、呕吐、嗅觉下降,无复视及视力下降,于当地医院就诊,诊断为"鼻窦炎",予抗生素静脉输液治疗20余天(具体药物名称不详),期间行左侧上颌窦穿刺及冲洗治疗,冲洗出脓性分泌物,未行病原学检查,前述症状无明显好转。2周前就诊于我院,门诊行鼻内镜检查提示双侧鼻腔及中鼻道脓涕,予口服头孢克洛、黏液促排剂等鼻窦炎药物治疗,患者症状仍无明显好转,并逐渐出现低热,体温波动于37.2~37.5℃,伴嗅觉丧失、咳嗽、咳白粘痰,伴张口受限,为进一步诊治收入耳鼻喉科病房。患者自发病来,精神差,食欲、睡眠可,体重下降约7.5公斤。
既往合并肛周脓肿病史个月余,右耳后皮肤皮脂腺囊肿继发感染3天,已破溃。患者否认结核、梅毒、艾滋等传染性疾病感染史,否认冶游史,否认疫区、疫水接触史。吸烟10年,平均20支/天,偶饮酒。患者母亲患肝细胞癌,已故。
患者入院查体:体温37.8℃,脉搏78次/分,呼吸18次/分,血压126/81mmHg,神志清,精神差,发育正常,营养良好。全身皮肤黏膜无黄染,浅表淋巴结未触及肿大,双肺呼吸音清,心音有力,心率78次/分,心律齐,腹软,全腹无压痛、反跳痛,肝脾肋下未及,肾区无叩痛,肠鸣音正常,双下肢不肿。肛周手术切开创面,局部水肿,可见少许脓血性分泌物。专科查体见鼻背略增宽,鼻内镜检查见左侧鼻腔黏膜弥漫性坏死,伴血水样分泌物(图1A),右侧鼻腔鼻中隔后部穿孔(图1B)。左上列牙齿疼痛,上颌窦前壁压痛,鼻背部未触及压痛。右耳后可见脓肿,已破溃结痂,周围皮肤略充血,咽喉部未见明显异常。


入院行血常规提示白细胞14.03×109/L、红细胞3.85×1012/L、血红蛋白111g/L、淋巴细胞百分数4%、中性粒细胞百分数89.4%,余无明显异常。鼻窦CT及MRI检查提示左侧鼻腔、上颌窦、额窦及双侧筛窦、蝶窦、鼻咽部软组织病变,不均匀强化,伴下鼻甲骨质破坏(图2)。


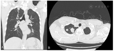
肺部CT见双肺上叶、右肺中叶多发散在结节状高密度影,边缘欠规则,密度均匀,大者位于右肺尖,大小约31mm×26mm,周围散在多发索条影及小结影,并见索条影牵拉胸膜。左下肺胸膜下小结节高密度影,边界清,气管及主支气管通畅,肺门、纵膈未见肿大淋巴结,胸腔内未见积液征。不除外真菌感染或结核(图3)。


血清G/GM试验(-),痰涂片及培养未见分枝杆菌,不支持真菌及结核菌感染。肝肾功能检查未见异常,尿常规未见红白细胞,尿蛋白阴性。血清抗核抗体及抗ENA抗体谱未见异常,抗中性粒细胞胞浆抗体(Anti-neutrophil cytoplasmic antibody,ANCA)结果提示PR3-ANCA滴度278,较正常值0-20明显升高。
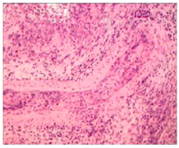
鼻腔黏膜活检提示黏膜重度慢性炎,多量中性粒细胞渗出伴脓肿形成,大面积坏死,并可见不规则肉芽肿形成,坏死组织内可见血管壁炎症细胞浸润,抗酸染色未见阳性杆菌,PAS及PASM特殊染色未见霉菌,免疫组化结果:CD20(部分+),CD3(部分+),CD56(个别+),GRAMB(个别+),Ki-67(+),MP0(+),Perforin(+),TIA-1(部分+),目前暂不甚支持结核、真菌感染及淋巴瘤,比较符合血管炎导致的组织大面积坏死(图4)。


患者青年男性,亚急性病程,以头痛、鼻塞、脓涕起病,进行性加重,伴发热、咳嗽咳痰、体重下降,常规鼻窦炎治疗无效,考虑诊断与鉴别诊断如下:
患者血清PR3-ANCA滴度明显升高,肺部CT提示双肺多发结节,鼻腔病理学检查提示中性粒细胞浸润,血管炎所致大面积坏死及不规则肉芽肿形成,故考虑肉芽肿性多血管炎诊断。
此病患者多有上呼吸道感染病史,主要表现为鼻塞、脓涕,伴头痛、嗅觉下降,查体表现为鼻腔黏膜充血肿胀,中鼻道及嗅裂脓涕,抗感染治疗及鼻腔局部治疗有效。该患者临床症状与之相符,但抗感染治疗无效,且症状逐渐加重,不支持此诊断。
此病多见于免疫功能低下或缺陷者,病变进展迅速,临床表现为发热、鼻腔结构破坏,可出现面部肿胀、眼球突出、活动受限,严重者可出现昏迷甚至死亡,查体表现为鼻腔黏膜充血肿胀、脓性分泌物,CT可见鼻窦骨质的广泛破坏,组织病理学检查可见真菌病理学改变,血G/GM试验可有阳性结果。该患者疾病进展迅速,鼻腔结构呈破坏趋势,鼻腔可见充血及脓性分泌物,有长期使用抗生素治疗病史,需考虑此诊断可能,但目前血G/GM试验阴性,且病理学检查未见真菌感染证据,暂不支持此诊断。
鼻腔淋巴瘤是非霍奇金淋巴瘤累及鼻部所致,表现为鼻塞、浆液性或血性鼻分泌物,可伴外鼻肿胀、鼻腔内坏死性溃疡,逐渐累及鼻窦、硬腭等,全身表现有淋巴结肿大,病理活检可明确诊断。该患者有鼻塞及鼻腔血性分泌物,伴外鼻肿胀及鼻腔内坏死性溃疡,但查体及胸部CT未见其他肿大淋巴结,且病理结果不支持淋巴瘤,考虑此诊断可能性小。
患者入院后等待病理结果过程中出现腹腔出血、脾梗死、失血性休克,经积极输血抗休克治疗后腹腔出血情况逐渐稳定。根据病理结果诊断明确后请风湿免疫科协助治疗,予3日500mg QD甲强龙序贯1日200mg QD甲强龙静脉冲击治疗诱导缓解,后予甲强龙80mg QD维持治疗,期间联合环磷酰胺0.2g QW静脉输液2次。针对患者耳后及肛周脓肿病原学检查结果,予斯沃0.6g Q12h联合泰能0.5g Q8h抗感染治疗。
按前述治疗方案治疗2周后患者全身情况稳定,耳后脓肿结痂,肛周脓肿好转,3个月后鼻腔逐渐上皮化,肺部病变明显好转,口服激素减量至每日6mg甲强龙维持。至治疗3年,患者鼻腔局部病情稳定,遗留有鼻中隔穿孔及部分鼻甲结构缺如,无鼻腔血性分泌物,但反复出现全身性病情活动,表现为皮肤脓肿溃疡不愈合、肺部病情进展,反复于我院风湿免疫科住院治疗2次,予甲强龙冲击治疗及环磷酰胺控制病情有效,目前仍在随访中。
GPA是一种免疫介导的血管炎,主要累及上下呼吸道和肾脏,若不治疗,其平均生存时间仅有5个月。头颈部是GPA最常累及的部位,约78%~93%的患者在诊断时有头颈部表现,超过一半的GPA患者在确诊前因耳鼻喉部症状就诊于耳鼻喉科[3],因此如何准确识别出这些患者极为重要。
既往文献表明,在合并头颈部表现的GPA患者中,鼻部为最常见的受累部位[3],部分患者甚至可以鼻部症状为唯一表现[2]。鼻堵是常常是GPA患者鼻部受累时的首发症状,当鼻粘膜的炎症继续进展时,可逐渐出现嗅觉下降,合并细菌感染后可出现鼻腔异味[4]。以上症状在临床上并无明显特异性,与急性鼻窦炎极容易混淆,正如本例患者在发病初期表现为鼻塞、脓涕、头痛等急性鼻窦炎症状,先后于外院及我院门诊按照急性鼻窦炎进行诊断和治疗。但GPA与急性鼻窦炎又存在显著的差异,GPA疾病活动期的鼻部症状主要表现为鼻腔结痂,伴有鼻腔血性分泌物、鼻部疼痛和嗅觉丧失,鼻腔黏膜在鼻内镜下表现为炎症肿胀、质脆,伴溃疡或肉芽肿形成[5],常规抗感染治疗无效,部分患者在就诊时可有骨或软骨的破坏,表现为CT上的骨质侵蚀或鼻中隔穿孔。本例患者在经过常规鼻窦炎药物治疗2个月症状无显著改善,后续患者逐渐出现了鼻腔血性分泌物及肺部结节、发热咳嗽症状,鼻内镜下黏膜大面积溃疡、质地脆,提示患者诊断并非急性鼻窦炎。因此,在面对临床症状符合急性鼻窦炎,但抗感染治疗无效的患者时,需注意患者的全身症状,进行更全面的检查。
值得一提的是,由于CT和MRI检查对于鉴别GPA与其他非特异性炎症并无助益,对于可疑的病例,提倡在局部麻醉下进行鼻腔黏膜的活检进行诊断[6]。针对本例患者,我们进行了特殊感染性疾病(侵袭性真菌、结核菌)、非感染性炎症及淋巴瘤等潜在鉴别诊断方面的检查,通过对病原学、血液学检查、胸部影像学检查及组织病理学检查对患者进行综合评估。
GPA尚无国际统一的诊断标准,主要根据患者的临床表现、血清ANCA的水平以及组织病理学进行临床诊断。需要注意的是,血清ANCA阴性并不能除外GPA的诊断,对于ANCA阴性的患者组织病理学的检查具有更为重要的意义。根据是否存在肾脏受累,GPA又被分为局限型和系统型两类[7]。局限型GPA常见耳鼻喉受累表现,容易复发,ANCA阳性率仅有50%~80%,主要病理表现为肉芽肿性炎,而系统型GPA则有肾脏受累,ANCA阳性率超过90%,病理表现主要为血管炎。本患者在疾病的临床表现方面,未见肾脏受累的证据,有明显的鼻部症状,鼻腔病理活检结果提示肉芽肿性炎改变,应归为局限型GPA,患者对免疫抑制剂的治疗反应良好,但在3年随访中有2次疾病复发需住院治疗,符合局限性GPA的疾病进程特点。
另外,针对耳鼻喉受累的GPA病例,目前已有多种监测指标用于评估患者的疾病是否活动[8,9],其中重要的指标包括鼻腔血性分泌物、内镜下鼻腔或喉部黏膜溃疡、呼吸困难、持续鼓膜炎或肉芽、突发性感音神经性听力下降等。本患者在随访过程中,2次疾病复发,但无显著鼻腔血性分泌物、鼻腔黏膜的溃疡复发等耳鼻喉局部表现,主要以皮肤感染不愈及肺部病变进展为表现,因此对累及耳鼻喉的GPA患者随访过程中仍需密切关注患者全身情况的变化,以及时发现患者病情活动并予治疗。
本例患者虽然是预后较好的局限型GPA,但初诊时随着疾病进展,逐渐出现了肺部、腹腔、脾脏的受累,病情仍旧十分凶险。最终患者疾病进展得以良好的控制,转危为安,得益于耳鼻喉科、普通外科、风湿免疫科、危重医学科等多个学科的通力合作,因此,我们认为GPA的诊治过程中需要多学科协作,耳鼻喉科在疾病的早期识别中发挥着至关重要的作用。
GPA作为一种系统性疾病,可累及任何器官及系统,疾病进展快,及时诊断治疗是挽救患者生命的唯一途径。耳鼻喉是GPA患者常见的首诊科室,需对此疾病有充分的认识。对于常规药物治疗效果欠佳、临床表现不典型的鼻炎、鼻窦炎患者,需考虑到GPA的可能,关注患者全身情况,及时进行血清ANCA检查及组织病理活检,并组织多学科会诊,以尽快明确患者诊断,改善患者预后。
所有作者均声明本研究不存在利益冲突





















