
女,67岁,无诱因下间歇性右下腹痛8年,反复阴道出血2年。外院宫颈细胞学示ASCUS,HPV阴性,经阴道B超及CT示右附件区多个囊性灶,较大者53mm。妇科查体见宫颈外口处黄豆大小赘生物,活检病理(本院会诊):宫颈浸润性低分化癌,腺鳞癌可能。
经阴道B超检查后会阴部疼痛加重,并影响行走。妇科检查:宫颈轻糜、无触血,右附件区扪及直径约9cm肿块,固定、光滑。
HE及免疫组织化学法(En Vision法)、HR-HPV RNA原位杂交(RISH)和HR-HPV检测(罗氏cobas4800)
行"广泛全子宫+双侧附件+部分大网膜切除+右侧闭孔淋巴结清扫"术,术后规律放化疗(TP方案)。
化疗结束后CR;术后8个月、末次化疗(TP方案)后3个月发现双肺多发转移灶,腹膜多发病灶,再行EP方案化疗4次;患者于术后20个月死亡。
妇产科
版权归中华医学会所有。本文为遵循CC-BY-NC-ND协议的开放获取文章。
宫颈大细胞神经内分泌癌(large cell neuroendocrine carcinoma,LCNEC)是宫颈神经内分泌癌的一种组织学类型,是高核级别、并伴神经内分泌分化的大细胞癌[1]。
子宫内膜胃型腺癌(gastric-type endometrial adenocarcinoma, gEA)是第5版《WHO女性生殖系统肿瘤分类》中子宫内膜癌的新增组织学类型[2],较罕见,其组织学特点与宫颈同类型肿瘤相同。
我们汇报1例宫颈LCNEC,合并gEA累及附件、大网膜,并在宫颈管黏膜表面种植的极为罕见的病例,旨在提高对这两种肿瘤的认识。
主诉:右下腹痛8年,阴道出血2年,发现宫颈癌1月余。
现病史:患者,女,67岁,已绝经13年。2012年起无明显诱因下出现右下腹间歇性隐痛,自诉外院阴超未见明显异常,未予处理。2018年4月始出现反复阴道出血,色鲜红,量少于之前月经;B超示右附件区囊性病灶(未见报告),予止血药物口服,无明显好转。2019年5月再次阴道出血,当地医院查宫颈脱落细胞学示ASCUS,HPV检测为阴性。2019年7月阴道出血自行停止,但右下腹痛较前逐渐加重、直至2019年12月不能耐受而再次就诊;外院就诊时发现宫颈外口黄豆大小赘生物,遂行"宫颈活检+宫颈管搔刮",病理:宫颈分化差的癌,考虑鳞状细胞癌。盆腹腔CT示"右附件区囊性灶,较大者53mm"。2020年1月23日于我院门诊就诊,病理会诊:宫颈低分化癌,腺鳞癌可能;妇检:阴道畅,宫颈轻糜、无触血;右附件扪及囊实性肿块9cm,固定、光滑;阴超:宫腔积液,颈管近外口处混合结构,子宫右上方较大囊性占位,部分输卵管来源可能,部分卵巢来源可能。患者阴超检查后出现会阴部疼痛,影响行走。2020年2月11日盆腔MRI:宫颈外口右侧壁异常信号灶,结合病史考虑恶性肿瘤(Malignant tumor, MT);右侧附件区囊性灶,囊内伴附壁结节,MT不能除外。术前PET-CT(2021年2月26日)示:宫颈管壁软组织增厚,伴FDG代谢异常增高(范围14mm×12mm,max7.84),结合病史,符合宫颈MT;子宫右上方囊性病灶伴分隔,囊壁局灶性FDG代谢异常增高,结合病史,考虑为恶性病变可能性大(附件来源?)(最大截面90 mm×58mm,max6.38)。左附件区局灶性FDG代谢增高灶,建议随访。
家族史:其哥哥肝癌;否认家族性遗传病史。无冶游史、手术史等。
大体检查及取材:(宫颈病灶全取、宫颈病灶与右宫角内膜病灶间黏膜组织、左侧输卵管全取):宫颈一周见内生型灰白色质硬界不清肿块,大小3.0 mm×1.4cm,病灶厚0.8cm,距外侧壁0.5cm,向下未累及阴道壁;近右宫角内膜见一内生型灰白色肿块,大小1.6 mm×0.8cm,病灶厚0.4cm,距浆膜面0.5cm;宫颈病灶与内膜病灶相距约3.5cm,两病灶间黏膜未见异常。右输卵管长12cm,近端管腔内充满黄褐色坏死肿瘤组织,与右宫角内膜病灶相延续,输卵管伞端闭锁、远端呈囊性扩张,直径8cm,囊内外壁散在多灶灰白色结节,直径0.5~2.5cm,囊外壁粘连少量脂肪组织,内见多枚灰白色结节;左输卵管未见异常;双侧卵巢实性,大小分别为1.5cm×1.0cm×0.7cm(右侧)和2.0cm×1.5cm×1.0cm(左侧),局部表面毛糙,切面均见灰白色病灶。
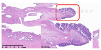
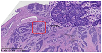
镜下检查:宫颈浸润性病灶(图1):呈大小不等的不规则实性巢状分布,散在见坏死;肿瘤细胞核中-重度异型,染色质呈粗颗粒状,核仁显著,易见核分裂像和凋亡细胞,细胞胞浆粉染,较丰富。子宫内膜病灶(图2):大小不一、扩张的黏液腺体杂乱分布,不规则侵犯子宫肌层,细胞呈高柱状,胞浆丰富,粉染或半透明状,核深染、中度异型,核分裂像易见,向下累及宫颈管近内口处黏膜腺体形成赘生物样病灶,最大径0.2cm(图3);并广泛播散至右侧输卵管、双侧卵巢表面及皮质区和大网膜。






免疫组化、HR-HPV RISH和HR-HPV检测结果:
宫颈浸润性病灶:免疫组化(图4):AE1/AE3(+),p63(-),p16(弥漫强+),p53(突变表型:弥漫强+),CgA和Syn(+),ki67(约80%+),CD31(局灶脉管内见癌栓)。HR-HPV RISH(图5)和HR-HPV检测(HPV16和HPV18的cut-off值分别为43.6和41.36,均大于检测阈值41;其它12型HR-HPV无cut-off值),分别从RNA和DNA水平证实HPV阴性,与患者2019年外院和术前本院宫颈分泌物HPV检测结果一致。




右宫角内膜病灶:免疫组化(图6):CK7(+),CK20(+),p16(弥漫强+),p53(突变表型:弥漫强+),ER和PR(-),SMAD4、CDX-2和SATB-2(-),MUC6(+),CgA和Syn(-)。


诊断:1.宫颈大细胞神经内分泌癌(LCNEC位于宫颈移行区及外口区),浸润灶大小3.0cm×1.4cm×0.8cm,浸润中1/3纤维肌层,局灶脉管内见癌栓;2.子宫右宫角内膜胃型黏液腺癌,病灶大小1.6cm×0.8cm×0.4cm,广泛脉管内见癌栓,浸润子宫浅肌层(<1/2),向下累及宫颈管近内口处黏液腺体(种植),广泛播散至右输卵管、双侧卵巢和大网膜。
鉴别诊断:宫颈浸润性病灶为高级别癌,需鉴别的有低分化鳞状细胞、腺癌或腺鳞癌。癌细胞既无角化、细胞间桥等鳞癌的形态学特点,免疫组化P63(-),也无腺样或筛样结构,结合CgA和Syn呈强阳性,尽管宫颈分泌物HPV检测、宫颈肿瘤组织HR-HPV RISH和HR-HPV检测均提示HPV阴性,仍然考虑为LCNEC。
子宫内膜病灶的鉴别诊断有子宫内膜样癌或黏液性癌。三者均可出现大小不等囊管状腺体,但黏液的分布(内膜样癌黏液主要在腺腔,局限性分布;而另两种癌黏液弥漫分布在腺腔和胞浆内)及类型(HE切片中,内膜样癌和黏液性癌的黏液常为淡蓝染的酸性黏液、而胃型腺癌黏液为粉染或半透明状的中性黏液)、肿瘤细胞核级别(内膜样癌细胞低至高核级均可出现,黏液性癌一般为低核级,胃型腺癌一般低或中级别核)、免疫组化表型(内膜样癌和黏液癌ER、PR强表达,MUC-6和HIK1083阴性,而胃型腺癌则正好相反)等均有差异。本例子宫内膜病灶形态学及免疫组化结果均符合胃型腺癌。
排除手术禁忌择期行"广泛全子宫+双侧附件+部分大网膜切除+右侧闭孔淋巴结清扫"术,术后规律放疗和化疗(TP方案)。
化疗结束后患者获得了CR并规律随访;于术后8个月、末次化疗(TP方案)后3个月发现双肺多发转移灶,腹膜多发病灶;经院内MDT讨论,予EP方案化疗4次;末次化疗结束后,并未获得CR,患者于术后20个月死亡。
宫颈神经内分泌癌(Neuroendocrine carcinoma,NEC)是宫颈癌的罕见类型,约占宫颈癌的2%,相同分期的NEC总体预后较常见的鳞状细胞癌和腺癌都差,给妇瘤科医生带来巨大挑战[1,3,4]。宫颈NEC绝大多数与HR-HPV相关,尤以HPV18和HPV16常见[5,6,7,8],在第5版《WHO女性生殖系统肿瘤分类》中将其列入HPV相关的宫颈癌,并按肿瘤细胞学特点进一步分为小细胞神经内分泌癌(small cell neuroendocrine carcinoma,SCNEC)和大细胞神经内分泌癌(LCNEC);虽然文献中LCNEC的HPV阳性率较高,但仍可见少量HPV阴性病例,单纯性LCNEC和混合性LCNEC均有报道[9,10,11]。Grayson等[9]的研究中,12例LCNEC中3例HPV阴性(HPV16+的7例,HPV18+的2例)。Cavalcanti等[11]发现一例混合性NEC的HPV检测结果呈阴性,并且通过对NEC和中肾腺癌两种癌组织进行大规模平行测序,发现两者有相同的突变位点,进而得出两种肿瘤成分为单克隆性,而非碰撞瘤的结论。我们提供的一例HPV阴性的LCNEC,进一步说明HR-HPV并非所有LCNEC肿瘤发生的驱动性事件,宫颈癌筛查中HPV阴性并不能否定患者罹患LCNEC的可能。正如本病例因阴道反复出血1年余,尽管在外院进行了宫颈癌筛查项目,因HPV阴性、细胞学仅ASCUS而未能及时阴道镜检查,直到出血近2年、患者因腹痛难以忍受就诊时妇检才发现宫颈占位。故HPV阴性的女性出现不明原因的反复阴道流血,在考虑内膜病变的同时,也需警惕宫颈非HPV相关病变存在的可能。
第5版《WHO女性生殖系统肿瘤分类》承认了子宫内膜胃型腺癌(gEA)的"合法性"[2]。gEA极为罕见,仅在文献中个案报道。Abiko K [12,13]所在研究团队先后在2010年和2016年各报道了一例子宫内膜的微偏腺癌(minimal deviation adenocarcinoma,MDA);2018年McCarthy W等[14]汇报了2例gEA,2021年Stolnicu S[15]新近报道了一例子宫内膜胃肠型黏液腺癌。在有限的个案报道中我们发现,子宫内膜胃型腺癌在组织形态和预后上与宫颈胃型黏液腺癌相似[13]。本例患者虽然接受了积极、完整的治疗,仍于术后20个月死亡,预后不良。对于单一病灶,形态学符合胃型分化黏液腺上皮特点,辅助免疫组化标记MUC6、HIK1083阳性[12],以及p53突变型表达等,诊断难度相对不大;而女性生殖系统出现2个及以上形态学类似的胃型黏液腺上皮病灶,需要仔细鉴别病灶间的关系。本例中宫颈管黏膜表面有一个微小的局限性胃型黏液腺上皮病灶(类似原位腺癌形态),宫角子宫内膜有一个浸润性胃型黏液腺上皮病灶,并累及右侧输卵管、双侧卵巢表面及皮质、大网膜等,宫颈管黏膜表面胃型腺上皮病变与子宫内膜病变的关系是诊断中必须解决的问题:是两者各自原发(女性生殖道同期发生的黏液上皮肿瘤)还是子宫内膜癌累及宫颈管?Lee等[16]的研究表明,部分肿瘤在发生转移或种植时可模拟该部位原发性肿瘤的形态特点,从而给诊断带来挑战,Al-Nafussi等[17]报道了1例最初误诊为宫颈原发绒毛管状腺癌、而全子宫切除标本证实宫颈病灶为内膜癌种植灶。本例通过补取材、将宫颈与内膜病灶间黏膜组织全取,证实两病灶在空间上无过渡关系,结合患者反复阴道出血2年的病史,考虑宫颈病灶为内膜癌种植性病灶。





















