
患者女性,61岁,因"食管癌术后多程治疗后5个月,发现右肺转移1周"入院。
版权归中华医学会所有。本文为遵循CC-BY-NC-ND协议的开放获取文章。
患者女性,61岁,因"食管癌术后多程治疗后5个月,发现右肺转移1周"入院。
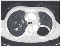
病史:患者2012年9月出现进流质饮食哽咽感,胃镜检查示:距门齿27~30cm肿物。活检示:鳞癌细胞。2012年9月24日在北京某医院行食管大部分切除、食管胃弓上吻合术,术后病理:食管溃疡型中分化鳞状细胞癌。术后分期不详,未行辅助治疗。2014年12月再次出现进食哽噎感,未诊疗。2015年3月出现声音嘶哑,就诊山东省某医院,超声检查示:双侧锁骨上、双侧腋窝淋巴结肿大。胸部CT示:食管癌纵隔、腹腔内淋巴结转移;胃镜吻合口活检:鳞状细胞癌。2015年3月30日给予吻合口、纵隔及腹膜后淋巴结IMRT 54Gy/30次,多西他赛50mg d1、8单药同步化疗1周期,序贯多西他塞60mg d1,40mg d8+顺铂20mg d1~5+西妥昔单抗500mg d1方案治疗2周期。治疗期间骨髓抑制Ⅲ度,复查CT疗效评价SD。2015年7月17日行第3周期多西他塞100mg d1,顺铂20mg d1~5方案化疗,2015年8月12日第4周期改为多西他赛100mg d1+卡铂500mg d2方案化疗1周期,治疗期间骨髓抑制Ⅲ度,胃肠道反应Ⅲ度。于2015年9月8日、2015年10月5日行多西他赛+卡铂方案2周期化疗,化疗后患者无明显不适。2015年11月下旬又出现进食阻挡感,胸部CT检查提示纵隔淋巴结转移治疗后较前进展,双侧锁骨上淋巴结转移,给予纵隔及锁骨上淋巴结精确放疗(病例22图1),1.2Gy,2次/天,共42次,92% PTV 50.4Gy,放疗后予长春瑞滨40mg d1~3+替吉奥40mg 2次/天d1~14方案化疗1周期,骨髓抑制Ⅲ度。2016年5月19日门诊复查示右肺转移(病例22图2)。既往高血压病10余年,食管癌术后血压复常。脑梗死8年余,无明显后遗症。




入院查体:KPS:70分,营养NRS:3分,疼痛NRS:0分。颈部、锁上及腋窝未触及肿大淋巴结。胸廓两侧对称,左侧胸壁及背部见约30cm弧形术痕,愈合好,局部未扪及结节,局部无压痛。余查体无特殊。
辅助检查:
1.胃镜 距门齿25cm达食管胃吻合口,吻合口黏膜充血糜烂,未见明显肿物。
2.胸部CT检查 食管癌术后吻合口增厚,较前基本变化不著;纵隔淋巴结转移治疗后,较前变化不著;右肺结节灶,考虑转移。
入院诊断:
1.食管癌术后放化疗后肺转移(Ⅳ期)。
2.高血压病(高危)。
3.陈旧性脑梗死。
住院医师:患者老年女性,无烟酒嗜好,因"食管癌术后多程治疗后5个月,发现右肺转移"入院。初诊时间为2012年9月,同年9月24日行食管大部分切除、食管胃弓上吻合术,术后病理为食管溃疡型中分化鳞癌,术后未行辅助治疗。2年后出现区域淋巴结进展及吻合口复发,给予可见病变IMRT 54Gy/30次,后序贯含铂类两药联合EGFR单克隆抗体多疗程的治疗,病变持续进展,表现为纵隔和锁骨上淋巴结转移,并于2015年11月底再次入我院行超分割放疗:IMRT 1.2Gy,2次/天,50.4Gy,后继予长春瑞滨+替吉奥方案化疗,不到5个月后门诊复查示右肺转移。患者本次入院一般情况尚可,营养中等,血常规、肝肾功、电解质大致正常,纵隔、锁上、腹膜后淋巴结病变放疗后基本稳定。
主治医师:该患者病情诊断明确,食管中分化鳞癌术后、多程治疗后右肺转移。患者术后出现区域淋巴结进展,并分别于2015年3月、11月进行放疗,第一次常规分割IMRT 54Gy/30次,第二次超分割IMRT 50.4Gy,1.2Gy,2次/天。经过两次放疗,淋巴结病变得到比较满意的控制,且尚未出现急性放射性肺炎的表现。目前患者主要病变为右肺新发病变,影像学提示食管癌肺转移,但无病理学诊断依据,建议患者行CT引导下肺穿刺活检。对于肺转移的治疗,可以考虑三线方案的化疗,或联合靶向治疗;局部放疗需要做好风险-获益的评估,因为该患者在过去一年内接受了两次高剂量的胸部放疗。
主任医师:从疾病整体治疗来看,该患者食管鳞癌术后放化疗后已存活3年,术后2年出现区域淋巴结进展,经多程放化疗后淋巴结病变控制稳定,但新发右肺单一病变。根据临床诊断思维以及影像学特点,都比较符合食管癌的肺部寡转移。但需要做进一步的判断:①建议行全身FDG PET-CT检查,评估目前病变范围;②建议行CT引导下肺肿物穿刺活检,明确病理,进一步排除原发性肺癌的可能,且可进一步监测EGFR、ALK、ROS-1、HER-2等基因突变情况,指导以后的治疗决策。目前患者病情较晚,预期生存期较短,多程化疗后4月余出现肺部转移,说明转移灶对既往化疗方案可能不敏感,因此建议请内科会诊,是否可联合靶向治疗,包括抑制肿瘤血管生成的靶向药物,以提高疗效。考虑患者右肺转移灶为单一转移,病变距离胸膜、纵隔、既往放疗靶区都有一定距离,是否可以考虑第三次胸部放疗,建议采用大分割方式,但短期内第三程放疗势必对脊髓、食管、双肺、心脏大血管等组织器官造成较严重的损伤,因此需详细评估获益-风险。另外,从肺部病灶控制效果来说,大分割放疗的有效率会高于三线方案的化疗。建议回顾患者既往放疗计划,评估好各个危及器官的照射剂量,如果再程放疗能满足正常组织耐受阈值,可以考虑实施第三次放疗,但建议在疾病无快速进展的前提下,尽量延长第三次放疗的间隔时间。
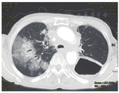
患者拒绝行CT引导下肺穿刺,未行化疗联合靶向治疗,于2016年6月行右肺转移灶精确放疗,仰卧位,负压袋固定体位,激光灯摆位,CT扫描,TPS优化放疗计划,IMRT技术,给予右肺转移灶精确放疗,5.0Gy/次,计划10次,总剂量50Gy。危及器官受量:脊髓最大受量4347cGy,心脏平均受量157cGy,右肺平均受量2622cGy,左肺平均受量474cGy,双肺平均受量289cGy,V20=5%(病例22图3)。放疗结束后胸部CT扫描示病变体积明显缩小,近期疗效PR优。放疗结束1个月,再次发现右肺新发转移,并再次给予大分割放疗(50Gy/10次,病例22图4),3个月后病情基本稳定,出现发热、咳嗽、胸闷、憋气,并逐渐加重,CT诊断为急性放射性肺炎(病例22图5),给予甲强龙,氧气吸入,抗感染,雾化等治疗好转后出院,失访。






患者放射性肺炎,给予甲强龙,氧气吸入,抗感染,雾化等治疗后,咳嗽、胸闷、憋气逐渐好转出院,出院后失访。
1.局部进展期食管癌术前放化疗已成为重要推荐模式,但食管癌术后辅助放疗和(或)联合化疗的价值尚未确立,研究结果尚不一致。几项随机研究评估了术后放射治疗的作用,但报道结果相互矛盾,另外包括5项随机试验的荟萃分析显示术后放疗没有生存获益。尽管缺乏高水平证据,指南目前推荐局部晚期(T2-4N0-1)食管腺癌患者或非R0切除术后患者考虑术后放化疗。Wong等在Annals of Surgery发表了他们基于NCDB数据库的研究结果,结果显示,食管癌术后应用辅助化放疗(序贯或同步)可改善淋巴结阳性或切缘阳性患者的总体生存率(overall survival,OS)。
2.食管癌术后患者失败模式主要是局部复发和区域淋巴结转移,其次是远处淋巴结及器官转移,如肺脏、肝脏、骨。术后应定期随访,包括内镜检查和影像学检查。
3.经过选择的肺内单发转移或寡转移,SABR/SBRT不失为一种有效的治疗方法。治疗计划需评估好周围危及器官受照剂量和体积,具体可参考病例22图6。放射性肺炎是放疗后的严重不良反应,临床需特别注意预防和及时妥善处理。


4.再程或三程放疗需详细评估获益-风险。
1.对于晚期食管癌肺内孤立或局限部位转移(寡转移),局部放射治疗在一部分经过挑选的,一般状况良好的,食管病变稳定的患者治疗中,有一定的治疗价值,可延长生存期。对于孤立或寡转移,SABR如果对受累部位可以安全实施,在这种情况下是一种合适的选择。
2.应用SABR或SBRT,需要注意肿瘤和器官的移动,尤其是呼吸运动,在模拟定位时建议进行呼吸运动管理,如主动呼吸控制(ABC),腹部压迫法浅呼吸,周期性呼吸门控,肿瘤动态跟踪。建议4D-CT,慢速CT扫描获取内靶区,减少靶区外放范围。当使用复杂的运动管理技术时,推荐影像引导放射治疗技术(IGRT)。
本病例选自上海科学技术文献出版社出版的《胸部肿瘤放射治疗典型病例》一书





















