
患者,女,66岁,已绝经,发现右乳肿物2个月余入院就诊。
版权归中华医学会所有。本文为遵循CC-BY-NC-ND协议的开放获取文章。
患者,女,66岁,已绝经,发现右乳肿物2个月余入院就诊。
B超示:右侧乳腺12点低回声肿块,边界欠清(BI-RADS分类:4c类)。钼靶示:右侧乳腺内团块状高密度影,边缘毛糙。妇科B超示:子宫、双侧附件未见异常(病例19图1)。


注:B超示右侧乳内低回声肿块,边界欠清(A);钼靶示右侧乳腺内团块状高密度影,边缘毛糙(B)
术中见右侧乳腺乳头下方2cm、12点处大小2.6cm×2.5cm×1.9cm的肿瘤,边界欠清,冰冻结果示"浸润性癌",遂行右侧乳房改良根治术并清扫同侧腋窝淋巴结。
大体:肿物边界欠清,大小2.5cm×2.5cm×2cm,切面灰白质脆,部分区域呈胶冻状,有光泽(病例19图2)。


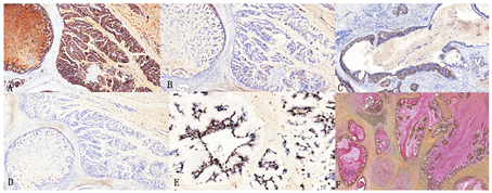
镜下:肿瘤构成大小不等、充满黏液的囊腔,囊壁内衬柱状细胞(病例19图3A),部分区域细胞为单层高柱状,富含黏液,核位于基底部,形态较温和(病例19图3B),部分区域细胞增生呈复层,突向囊腔,形成分支复杂的乳头状结构(病例19图3C)。部分肿瘤细胞内黏液减少,异型性增加,胞质嗜酸性增强(病例19图3D),并可见病理性核分裂象(病例19图3E)。少量黏液外溢进入间质,形成黏液湖,其中可见漂浮的巢状或乳头状的细胞团(病例19图3F)。周围病变伴有普通型导管原位癌,同侧腋窝淋巴结未见癌转移。


注:镜下病理所见:大小不等、充满黏液的囊腔,囊壁内衬柱状细胞(A),部分区域细胞为单层高柱状,富含黏液,核位于基底部,形态较温和(B),部分区域细胞增生呈复层,突向囊腔,形成乳头状结构(C)。部分肿瘤细胞内黏液减少,异型性增加,胞质嗜酸性增强(D),并可见病理性核分裂象(E)。少量黏液外溢进入间质,形成黏液湖,其中可见漂浮的巢状或乳头状的细胞团(F)
免疫组化:肿瘤细胞CK7、GATA-3、Mammaglobin阳性。ER、PR、HER-2阴性。囊壁肿瘤细胞外侧肌上皮细胞P63及SMMHC示少部分囊壁为阳性,大部分囊壁为阴性。Ki67指数约60%,包括细胞形态温和的区域,Ki67指数亦较高。其余抗体阴性(病例19图4,病例19表1)。


注:A: CK7; B: CK20; C: GATA-3; D: P63; E: Ki67; F:黏液卡红。肿瘤细胞CK7阳性,CK20阴性,GATA-3阳性。大部分囊壁周围肌上皮细胞P63阴性。肿瘤细胞Ki67指数较高(约60%),包括细胞形态温和的区域。特殊染色示肿瘤细胞内外黏液呈黏液卡红染色阳性

免疫组化表达情况
免疫组化表达情况
| 抗体名称 | 表达情况 |
|---|---|
| CK7 | (+) |
| GATA-3 | (+) |
| Mammagolbin | (+) |
| P63 | 大部分囊壁肌上皮(-) |
| SMMHC | 大部分囊壁肌上皮(-) |
| Ki67 | 60% |
| ER | (-) |
| PR | (-) |
| HER-2 | (-) |
| CK20 | (-) |
| CA19-9 | (-) |
| CDX-2 | (-) |
| CA125 | (-) |
| WT-1 | (-) |
| TTF-1 | (-) |
特殊染色示:肿瘤细胞内外黏液呈黏液卡红阳性(病例19图4)。
乳腺黏液性囊腺癌(mucinous cystadenocarcinoma)。
(1)转移性肿瘤:与卵巢、胰腺或胃肠道黏液性囊腺癌的鉴别,可以结合病史、临床表现及影像学检查。此外,CK7和CK20免疫组化检测可以辅助诊断。大多数卵巢、胰腺的黏液性癌呈CK7阳性、CK20阳性(部分);胃肠道肿瘤则为CK7阴性、CK20阳性。本例无相关病史,B超示卵巢未见异常,CK7阳性,CK20阴性,因此可基本排除转移性,并且本例癌周可见原位癌成分,更支持肿瘤原发于乳腺。
(2)乳腺黏液囊肿样病变:本病例部分区域出现黏液外溢进入间质,形成黏液湖,当缺乏漂浮其中的细胞簇时,尚需要与黏液囊肿样病变进行鉴别。黏液囊肿样病变衬覆扁平、立方或低柱状上皮,形态温和,胞质内无黏液,而本病例中囊壁衬覆的上皮为富含黏液的高柱状细胞,且有不同程度异型性。
(3)乳腺黏液癌:本文病例可见外溢黏液湖中漂浮的成簇或微乳头状的癌细胞团,胞质内黏液减少,类似乳腺原发黏液癌(胶样癌)。黏液癌在乳腺更常见,且肿瘤细胞的ER、PR多呈阳性表达。
(4)乳腺囊性高分泌癌:囊性高分泌癌可见高度扩张的囊腔,但是囊壁内衬的上皮细胞无细胞内黏液,囊腔内含红染、均质分泌物,类似充满胶质的甲状腺滤泡,且胶质样分泌物中不含有癌细胞,或仅有少量巨噬细胞。本病例的肿瘤细胞内及囊腔内容物均为PAS及黏液卡红染色阳性的黏液。
乳腺黏液性囊腺癌是一种极其少见的乳腺原发肿瘤,目前国外报道仅20余例,且多为个案报道。因其形态学类似于卵巢、胰腺等黏液性囊腺癌,在诊断时需要结合临床、影像学检查并注意观察患者其他器官的情况,首先排除转移的可能。
肉眼观察肿物切面多为囊实性,部分区域呈胶冻样。组织学具有以下特点:肿瘤内见大小不等充满黏液的囊腔,囊壁内衬覆含黏液的柱状细胞,单层或复层,可形成复杂分支的乳头状,不同区域细胞表现不同程度的异型性,部分病例在癌周可找到原位癌成分。
免疫组化肿瘤细胞CK7、GATA3阳性,CK20、CDX-2阴性,ER、PR、HER-2均阴性。大部分囊壁周围肌上皮细胞P63、SMMHC阴性,Ki67阳性指数较高。
本病例选自上海科学技术文献出版社出版的《病理诊断典型病例》一书





















