
患者,女性,47岁,摔伤后影像学检查发现胸椎占位;临床实验室检查未见明显异常。
版权归中华医学会所有。本文为遵循CC-BY-NC-ND协议的开放获取文章。
患者,女性,47岁,摔伤后影像学检查发现胸椎占位;临床实验室检查未见明显异常。
PET-CT检查示T11椎体及左侧椎体骨质密度不均匀性增高,未见明显的FDG异常摄取,提示良性病变可能大(病例91图1)。


略。
大体:灰黄棒状小组织两条,长者长1.3cm,直径0.3cm。
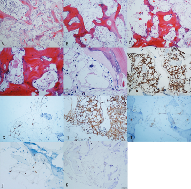
镜下:低倍镜可见部分骨小梁,骨小梁间正常骨髓组织消失,被体积较大的空泡状细胞代替。细胞膜界线清楚,胞质透明或淡红染,部分细胞质内可见嗜酸性透明变性的小球样结构。细胞核大部温和,局灶细胞核可见轻度多形性,核染色质细腻,未见明显异型及核分裂象。部分细胞形似脂肪细胞或脂母细胞,细胞呈片状分布,未见分叶状结构及黏液样间质,局部呈浸润性生长,可见骨小梁哈佛氏管受累;病变区部分骨小梁周围被覆骨母细胞,呈反应性增生改变(病例91图2)。


注:A:低倍镜下部分骨小梁纤细,正常骨髓组织消失;B-D:空泡状细胞代替正常骨髓组织,局部胞质内嗜酸性透明变性的小球样结构,哈佛氏管受累;E:类脂母细胞;F-K:肿瘤细胞广谱CK、EMA、Vimentin、S-100和Brachyury均阳性,Ki67指数较低
免疫组化显示:广谱CK、EMA、Vimentin、S-100和Brachyury均阳性,Ki67指数较低(平均约3%)(病例91图2)。
良性脊索细胞瘤(benign notochordal cell tumor)。
(1)脊索瘤:①脊索瘤局限于脊椎骨内的情况非常罕见,在诊断时脊索瘤总是不可避免的破坏骨组织并累及周围软组织;而良性脊索细胞瘤病变一般局限于椎体骨内;②脊索瘤细胞呈叶状分布,背景为黏液样间质,细胞间丰富的黏液样间质是除临床和影像学资料外,脊索瘤与良性脊索细胞瘤鉴别的重要形态学特征,良性脊索细胞瘤细胞呈片状分布,无黏液样间质;③脊索瘤细胞异型性较明显,可见核分裂,细胞增生活性较高。
(2)脊索残余:一般位于椎间盘中心髓核组织内,不出现在骨内;本例病变位于椎骨内。
(3)转移癌:①转移癌的肿瘤细胞异型性明显,可见核分裂象,肿瘤细胞巢周围有纤维胶原反应;②转移癌免疫组化染色CK阳性,但Vimentin、S-100和Brachyury阴性;而本例Vimentin、S-100和Brachyury均阳性,特别是Brachyury阳性,是脊索来源肿瘤比较特异的免疫组化指标。
(4)透明细胞软骨肉瘤:①透明细胞软骨肉瘤可见体积大的透明细胞片状分布,可见肿瘤性软骨或软骨样基质,以及多少不等的化生性成骨;本例未见软骨样成分及化生性成骨;②透明细胞软骨肉瘤免疫组化染色S-100可阳性,但CK及Brachyury阴性。
(5)脂肪或脂肪源性肿瘤:①正常骨髓组织内含有脂肪细胞,随部位及年龄变化多少不一,成熟脂肪细胞大小一致,胞质透明,核非常小,位于细胞周边;本例细胞体积较大,部分胞质透明,部分胞质粉染,可见嗜酸性透明变性的小球样结构,并且个别细胞核大、轻度异型;②脂肪瘤细胞异型性小,肿瘤细胞形态与正常脂肪细胞一致,一般边界清楚,可有包膜;骨内原发脂肪肉瘤罕见,须首先排除转移。
良性脊索细胞瘤是第四版WHO骨肿瘤分类中新增加的脊索类肿瘤病理类型,组织病理学改变与脂肪组织和脂肪瘤非常相似,极易误诊。空泡状细胞体积较大、大小不一、个别细胞核大而深染,部分细胞质内可见嗜酸性透明变性的小球样结构,是良性脊索细胞瘤的主要组织特征。缺乏分叶样结构、黏液背景和细胞异型,比较容易和脊索瘤鉴别。
就此病例的几点体会:①在椎骨的细针穿刺活检标本病理诊断时,如果正常的骨髓组织内存在有较丰富的脂肪样组织,需要排除良性脊索细胞瘤;②需要仔细寻找是否存在间质黏液变性,以排除脊索瘤的可能;③需要结合影像学意见,看病变是否破坏椎骨累及周围软组织,以资与脊索瘤或其他恶性肿瘤鉴别。
本病例选自上海科学技术文献出版社出版的《病理诊断典型病例》一书





















