
43岁女性患者以体检胃镜发现胃部肿物就诊。外院行核磁检查考虑胃间质瘤。患者否认腹痛、腹胀、上腹部饱胀感、恶心、呕吐。否认呕血、黑便、进食哽噎感等不适症状。未行诊疗。病程中精神欠佳,饮食欠佳,睡眠尚可,大小便正常。既往无胃部疾病史,无家族类似遗传病史。
患者无明显症状,查体腹部可见剖宫产术后瘢痕,腹部平软,未触及肿块,患者无压痛反跳痛及肌紧张等体征。
包括常规实验室检查,肿瘤相关抗原、CT、胃镜、胃镜下活检等相关检查
行腹腔镜下胃黏膜内肿瘤切除术,术后给予营养补液对症支持治疗。
术后恢复顺利,术后第七天行上消化道造影未见造影剂外漏,院外随访患者无明显不适主诉。
普外科;肿瘤外科
版权归中华医学会所有。本文为遵循CC-BY-NC-ND协议的开放获取文章。
神经鞘瘤,又称为神经鞘膜瘤,是一种罕见的肿瘤,起源于周围神经鞘的施万细胞[1]。文献流行病学数据表明,胃神经鞘瘤是一种罕见的胃肠道间充质肿瘤,占所有胃肿瘤的0.2%,占所有良性胃肿瘤的4%[2]。在大多数情况下,起病隐匿,临床表现缺乏特异性,如上腹痛、消化不良、出血和腹部肿块等;这些症状主要与肿瘤的大小和部位有关,部分病人无任何症状,仅在体检时发现胃部肿物[3]。本文旨在浅谈对胃神经鞘瘤的认识,提高其诊断和治疗方法。
43岁女性患者以"体检胃镜发现胃部肿物4天"为主诉就诊。患者4天前体检胃镜发现胃部肿物,就诊于新疆医科大学附属中医医院行核磁检查显示胃体大弯侧异常信号影,考虑间质瘤。否认上腹部疼痛、背痛;否认有上腹部饱胀感、反酸、嗳气;否认恶心呕吐、呕血、黑便;否认进食哽噎感;否认触及上腹部包块。病程中精神欠佳,饮食欠佳,睡眠尚可,大小便正常。未行诊疗来我院就诊。既往体健,企业职员,无特殊病史,既往行宫外孕手术史及剖宫产手术史。无家族类似遗传史。
实验室各项检验结果均无明显异常。
胃镜检查提示胃体大弯侧见多发广基息肉,取活检两块;胃角前壁见一直径约5cm黏膜下隆起,表面光滑、质硬。余食管、贲门、胃底、胃窦、十二指肠未见异常。
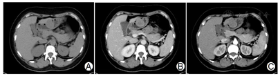
CT检查提示胃窦大弯侧外缘可见椭圆形软组织肿块影,边界清晰,大小约3.5×3.0cm,增强扫描呈渐进性强化,临近胃壁未见明显增厚,腹腔及腹膜后未见明确肿大淋巴结(图1)。


胃体活检标本病理:增生性息肉
1.胃的胃肠间质瘤(gastrointestinal stromal tumor,GIST):起源于一种具有多向分化潜能的间质干细胞,主要成分是梭形细胞(70%~80%),类上皮细胞(20%~30%)。GIST可发生于消化道的任何部位,多见于胃(60%~70%)和小肠(20%~30%),结直肠(10%~20%),食管(0%~6%),肠系膜、大网膜及腹膜后罕见。常发生于50岁以上中老年人。病变多为单发,密度不均,内部出血、坏死、囊性变多见增强时肿块呈不均匀强化。免疫组化为CD117、CD34阳性而S-100及GFAP多为阴性。
2.胃神经鞘瘤(gastric schwannoma,GS):好发于胃体部,其次为胃底,胃窦部少见可向腔内、腔外或同时骑跨腔内外生长。多为单发壁内起源的圆形、椭圆形或分叶肿块,边界清楚。肿瘤直径多小于5 cm,内部结构比较均匀,很少出现坏死及钙化,低密度区通常代表肿瘤内部的坏死、囊变、陈旧出血或神经鞘瘤富含Antoni B型细胞区。可有小溃疡形成龛影,其特征是浅表、直径小、发生于胃腔内面的特点;有合并脓肿并继发胃穿孔的个案报道。CT平扫肿瘤呈等或稍低密度影,密度均匀,分界清楚,较少发生钙化或囊变[4]。增强后肿瘤多呈轻中度强化,部分病例动脉期可见局部黏膜线完整;也有部分学者认为呈明显强化,但有缓慢强化的特征。大体标本,GS多表现为黄白色外观,而GIST多表现为暗红色外观或出血表现;免疫组化检测,CD117、CD34、Desmin和SMA均为阴性,而S-100呈弥漫强阳性者可确诊,这与GIST相反。
3.胃平滑肌瘤(gastric leiomyoma,GL):GL是起源于中胚层的良性肿瘤,常无特异性临床症状,病变以单发常见,增大后向黏膜或浆膜面生长,好发于贲门及胃底。GL内镜下表现为半球形隆起或长梭形,因此表现易被误诊为GIST。胃平滑肌肉瘤多从胃固有肌层发生,较为少见。肿瘤的大小并不能作为判断良恶性的指标,有文献报道其强化通常较胃神经鞘瘤明显,尤其在门脉期。良恶性及肿瘤性质的鉴别主要通过术后病理和免疫组化,光镜下胃平滑肌瘤无"淋巴套"样结构,细胞密度大而无分裂象或甚少分裂象;GL标本免疫组化除了SMA和Desmin表现为阳性外,其余免疫学标记物多均为阴性。
4.胃异位胰腺(gastric ectopic pancereas,GEP)异位胰腺亦称为迷走胰腺或副胰,是正常胰腺以外孤立的胰腺组织,常发生在胃、十二指肠及近段空肠等部位。GEP缺乏临床症状,当并发炎性病变、出血、梗阻时可出现相关临床表现。胃镜下GEP多表现为扁圆形或半球形黏膜下隆起,病灶中央多可见呈特征性脐样凹陷的导管开口,而GS胃镜下多为半球状黏膜隆起,缺乏导管开口。
完整的手术切除是治疗GS的有效方法,选择手术方式根据肿瘤的大小、位置、生长方式以及周围结构的关系,包括腹腔镜或开腹的胃楔形切除术,次全胃切除或胃近/远端切除术以及全胃切除术是治疗选择。随着内镜技术的发展,位于黏膜下且直径小于3cm的GS可行内镜下切除,但对于位于固有肌层且直径大于3cm的GS考虑首选外科手术切除。完整切除肿瘤被认为是根治性治疗[5]。故本例病例经过术前评估后选择手术治疗。
术中腹腔镜探查可见病灶位于胃角前壁,侵出浆膜向腔外生长,腹盆腔未见转移种植结节。决定行胃黏膜下肿物切除手术。分离裸化胃小弯侧脂肪组织,提起胃壁组织用超声刀切开胃壁,见肿瘤向腔内生长,大小约3 cm×4cm,沿肿物周围1cm胃壁将肿物完整切除,置入腔镜保护套内。3-0缝线横向间断缝合悬吊胃壁组织,2把腔镜下直线切割闭合器(威高蓝色6cm)闭合残胃前壁,将残端置入腔镜保护套内,冲洗腹腔,检查无活动性出血、纱布器械无误,留置肝下引流管1根经右侧腹壁引出。扩大脐部切口,置入切口保护套,将肿物完整取出,确认病灶后送快速。术中快速回报,梭形细胞肿瘤,切缘阴性,详待常规。逐层关腹。
患者术后48小时预防性使用二代头孢;第二天饮水,全肠外营养。术后第四天全流质无渣饮食,无不适;术后第5天进稀半流流食,停肠外营养。术后第七天行上消化道造影,未见造影剂外泄后出院。
术后病理:胃梭形细胞肿瘤,结合免疫组化结果符合神经鞘瘤。CD34(-),CD117(-),DOG-1(-),Desmin(-),SMA(-),SDHB(+),STAT6(-),S-100(+),Ki-67(10%+),AE1/AE3(CK)(-),SOX10(+)。
明确诊断:胃体神经鞘瘤。随访:患者每三月门诊随访,目前术后1年6个月恢复良好,无不适主诉,未见复发及转移。转归:治愈。
胃黏膜下肿瘤分为三类,即肌源性肿瘤、神经源性肿瘤和胃间质瘤[6]。其中神经源性肿瘤包括神经鞘瘤、颗粒细胞瘤和神经纤维瘤。神经鞘瘤是一种极为少见的肿瘤,最早由Daimru等于1988年报道,占所有神经鞘瘤的0.2%,占胃间叶源性肿瘤的3%,占胃神经源性肿瘤的78.0%~82.4%,且多为良性[7]。胃神经鞘瘤生长缓慢,根据肿瘤的生长特点可分为腔内生长型、腔外生长型和腔内外生长型,以后两者多见。发病患者多为成年人,国内男女发病率相似[8],但也有报道女性发病率高于男性[3]。
GS通常见于胃体,其次是胃窦和胃底。大多数胃神经鞘瘤是偶然发现的[9]。对于胃神经鞘瘤具体分布位置,国内学者仍有分歧[10],可能与研究中样本量较少导致的数据偏倚有关。诊断上GS主要与胃GIST进行鉴别,胃间质瘤为潜在恶性肿瘤,而GS几乎很少恶变,蒲昌盛报道[11],约有66.7% GS被误诊为胃GIST。因此,术前诊断对选择治疗方法具有重要意义。CT检查发现,神经鞘瘤表现为胃腔内生长的肿块,具有外生或混合生长模式,通常未见出血、坏死、囊性改变或钙化的征象[12]。然而,较小的胃GIST可表现为高密度肿块影,增强后强化明显,使其与GS的鉴别诊断更加困难[13]。CT图像上,胃平滑肌瘤多表现为均匀的低密度肿块影,向腔内生长模式及动脉期轻中度增强。胃平滑肌瘤的另一个典型特征是常累及贲门和食管胃交界处。Choi等根据一系列随访患者的CT图像基础上计算生长速度的基础上算出,发现胃神经鞘瘤的肿瘤体积倍增时间明显长于胃肠道间质瘤[14]。对于胃神经鞘瘤、胃间质瘤以及平滑肌瘤内镜检查通常表现为黏膜隆起,提示黏膜下肿瘤,被覆光滑正常黏膜;25%~50%的病例由于覆盖黏膜的缺血性改变,可见中心性溃疡[9]。然而,由于胃黏膜下肿瘤的表面覆盖着正常的上皮细胞,而表面内镜活检通常显示正常的黏膜,因此单靠标准的内镜活检很难获得正常的组织学诊断[2]。超声内镜的特性可能有助于区分胃神经鞘瘤与其他间充质肿瘤。超声内镜是诊断胃黏膜下肿瘤的有效手段。然而,超声内镜鉴别神经鞘瘤与胃肠道间质瘤或平滑肌瘤并非100%的准确性,因为肿瘤起源于固有肌层[15]。超声内镜引导下细针穿刺活检的组织学诊断是胃黏膜下肿瘤的一种可靠、有效的组织学评估方法。据报道,结合诊断,超声内镜引导下细针穿刺活检的组织学诊断对胃黏膜下肿瘤的总体诊断率相对较高[16]。
由于GS对放化疗均不敏感,手术治疗仍然为主要治疗方式[17]。针对GS的手术方式有文献分析显示,有140例患者接受了局部切除,中位随访38个月[18]。另有148例患者接受了扩大手术,包括胃大部或全胃切除,平均随访33个月[19]。两组均报告了较好的生存率,但差异无统计学意义。鉴于GS的良性临床表现,微创技术似乎是一种新的可行且可靠的治疗方式[5]。文献分析显示,31例患者行内镜下切除胃病变,本组中位随访时间为27个月,无复发报道。Cai等报告12例成功的内镜手术[18],平均肿瘤大小为1.73±1.10cm,大部分病变位于胃体,中位随访4年,未发现复发或转移。本病例患者术前诊断为胃间质瘤,依照胃间质瘤手术治疗原则实施手术。术后病理证实为胃神经鞘瘤,类似情况也有报道[20]。由于GS很少恶变,术中不需要进行淋巴结清扫,但是对于伴有局部淋巴结肿大的GS,任建议术前进行PET/CT显影评估后进行同期切除。恶性GS容易转移至肝脏及腹膜,但淋巴结转移较少。放化疗对GS效果均不佳。因此,针对此例患者术后不需其他治疗,定期随访即可。
本病例患者在院外做了核磁检查,并在我院行胃十二指肠镜及CT检查,结果均考虑为胃间质瘤,因此未进一步行超声内镜检查。胃神经鞘瘤的治疗方案以及疗效评估并不难解决,其难点是如何在术前明确诊断,由于GS缺乏特异性表现,不易与其他胃肿瘤相鉴别,手术切除后病理检查是主要诊断方法。对胃黏膜下隆起型肿物,应结合超声内镜及CT检查,谨慎诊断GS,以免造成误诊或治疗不当,影响患者预后。今后应加强临床资料的收集,在影像学检查中更进一步分析GS的诊断及鉴别要点,以提高无创检查的准确性,避免有创检查带来的相关风险。通过本病例,笔者认为若条件允许情况下,胃黏膜下肿瘤应尽可能做超声胃镜检查及CT影像学检查,对于可切除的病变不考虑行细针穿刺活检,避免恶性肿瘤所致扩散风险,PET/CT不仅可以鉴别GIST、胃肠自主神经肿瘤等,而且还可以对肿大淋巴结进行评估,从而有助于手术方式的选择。大部分GS为良性肿瘤,少有恶化。对于良性GS考虑手术完整切除肿瘤为首选方案,无需进行淋巴结清扫,术中做到无菌、无瘤及完整切除至关重要,通过微创手术可以减轻患者治疗过程中的痛苦体验,提高患者治疗后的生活质量。
所有作者均声明本研究不存在利益冲突





















