
患者,男,45岁,1个月余前无明显诱因出现记忆力下降,伴头痛,头晕,伴恶心、呕吐,后出现言语不利、答非所问,伴视力下降,无听力下降等症状,当地医院诊断为"病毒性脑膜脑炎",给予甘露醇、抗病毒治疗后,症状未见明显好转;半月前再次出现上述症状伴右侧肢体麻木,右侧肢体不自主抖动,不能持物,行走不稳,遂来我院。
言语不流利,反应迟钝,计算力下降、记忆力下降、理解力下降。左侧肢体肌力、肌张力正常,右侧肢体轻瘫试验(+),右侧肌张力正常,四肢腱反射正常。Romberg征不配合,深、浅感觉不配合,步态不稳。
认知障碍、血乳酸显著增高、磁共振波谱成像显示病灶、≥2次卒中样发作、患者母亲有糖尿病史等临床症状、影像学、家族史协助诊断。
"三磷酸腺苷二钠、银杏提取物"输液,"甲钴胺、辅酶Q10片、维生素E软胶囊、维生素B1片"口服。
1月后随诊病人病情稳定,未再有卒中样发作。
神经科;精神科
版权归中华医学会所有。本文为遵循CC-BY-NC-ND协议的开放获取文章。
线粒体脑肌病伴高乳酸血症和卒中样发作(Mitondrial encephalomyopathy,MELAS)又称线粒体脑肌病,是一种由线粒体DNA或核DNA突变导致的多系统代谢性疾病[1,2],以卒中样发作、癫痫发作、认知与精神障碍、高乳酸血症、肌肉疲劳无力为主要临床特点。MELAS患者发病年龄跨度很大,从幼年到老年的任何年龄均可发病,发病高峰年龄在10~30岁,40岁以后首次发病的晚发成年型MELAS偶有报道。我们报道1例以晚发成年型的线粒体脑肌病,旨在提高对本病的认识,减少误诊和漏诊。
患者,男,45岁,农民。主诉:记忆力下降1月余,加重伴右侧肢体麻木半月余;患者1月余前无明显诱因出现记忆力下降,伴头痛,头晕,伴恶心、呕吐,就诊当地医院诊断为"中暑",给予对症治疗后症状未缓解。后出现言语不利、答非所问,伴视力下降,无听力下降等不适,于当地医院诊断为"病毒性脑膜脑炎",给予甘露醇、抗病毒治疗后,未见明显缓解;半月前因头晕再次入院,住院期间出现右侧肢体麻木,右侧肢体不自主抖动,持物及行走不稳遂来我院。发病以来,神志清,精神差,饮食差,睡眠可,大小便正常,近期体重下降12 kg。患者3年前曾行"左足骨折内固定术",术后恢复可;个人史、婚育史、家族史、冶游史无异常。
内科一般检查:体温36.4℃脉搏88次/分呼吸22次/分血压108/74 mmHg ;心肺腹查体未见明显异常。
专科查体:言语不流利,无失语,反应迟钝,定向力正常、计算力下降、记忆力下降、理解力下降、判断力正常。颈软,无抵抗,Kernig征阴性。双侧瞳孔等大等圆,直径3 mm,对光反射灵敏,眼球运动灵活,双侧额纹对称,双侧鼻唇沟无变浅,口角无偏斜,伸舌居中。左侧肢体肌力、肌张力正常,右侧肢体轻瘫试验(+),右侧肌张力正常,四肢腱反射正常。Romberg征不配合,深、浅感觉不配合,步态不稳。
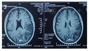
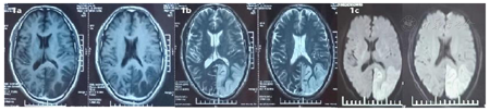
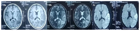
患者中年男性,反复卒中发作,伴有认知下降,外院以"病毒性脑炎"治疗效差,患者外院两次头颅磁共振提示左侧颞枕叶呈现类花边征样改变,且第二次磁共振(图2)提示病灶较第一次(图1)范围扩大,但前次磁共振病变在第二次磁共振呈现好转趋势,呈现"此消彼长"的特点,增强磁共振未病灶未强化(图3),头颈CTA未见异常(图4);患者发病来无四肢抽搐,根据病史及影像学定位为:大脑皮层、枕叶、左侧锥体束、左侧脊髓丘脑束,定性考虑:卒中?代谢性?炎性?感染?








患者入院前磁共振检查:
入我院后检查:
血常规、肝肾功、电解质、激酶、凝血功能、ANA+ENA、ANCA、甲功七项、尿常规、粪常规、免疫全套、神经节苷酯抗体、肿瘤标志物等均未见明显异常;
乳酸:空腹4.19mmol/L,运动后立即5.94mmol/L,运动后2h 5.59mmol/L(图5);




肌电图:神经源性损害肌电图,提示:四肢多发性周围神经传导异常,感觉神经轴索损害为主,伴双腓总神经部分损害;
彩超:1、三尖瓣中度返流;2、主动脉瓣、肺动脉瓣轻度返流;3、右侧颈总动脉内中膜非均匀性增厚;4、右侧颈动脉斑块形成;5、甲状腺右侧叶滤泡赠送;5、胆囊壁毛糙;6、前列腺体积大并回声不均;
脑电图:中度异常脑电图(清醒闭目状态下,两半球枕区背景以6-7Hz的θ节律为主;较多广泛性中高波幅ð波短阵发放,以左侧蝶骨、中颞、额极、额略著,右侧蝶骨、前额、中颞、额极、额次之。)2021-09-24 ADC片2021-09-24 T2;
磁共振:磁共振灌注加权成像(PWI):左侧颞枕叶病灶区高灌注。磁共振波谱分析(MRS):左侧颞枕顶叶见大片状长T2信号,脑MRS示将体素置于左侧枕叶病变实性部位,Cho/cr值为1.17,NAA/cr=0.34,cho/NAA的值为3.38, Lac峰出现。(图7)


1、诊断:
线粒体脑肌病(1.符合2条核心证据:卒中样发作;影像学表现;2.符合4条支持证据:认知障碍、血乳酸显著增高、磁共振波谱成像显示病灶、≥2次卒中样发作、患者母亲有糖尿病史);
2、左足骨折内固定术。
鉴别诊断:
1.急性脑梗死:支持点:一侧肢体无力,磁共振提示左侧颞叶受累,DWI高信号,不支持点:患者认知下降,反复卒中样发作,CTA提示血管无明显狭窄,无脑血管病相关危险因素,乳酸显著增高,肌电图提示周围神经受累?
2.脑炎:支持点:脑皮层受累,不支持点:病前无感冒、发烧、腹泻病史,病程为反复发作,曾在外院按病毒性脑炎治疗效差?
3.可逆性后部白质脑病:支持点:大脑后部受累,不支持点:病灶为单侧,非弥漫对称性改变,非可逆性,多次复查磁共振病灶未好转或消失?
根据《中国线粒体脑肌病伴高乳酸血症和卒中样发作的诊治专家共识2020-03》,在院期间给予"三磷酸腺苷二钠、银杏叶提取物"输液,同时口服"甲钴胺、辅酶Q10片、维生素E软胶囊、维生素B1片"治疗;
出院1月后随诊患者出院后病情稳定,未在出现卒中样发作,认知改善不明显。
患者中年男性,反复卒中发作,伴有认知下降,外院以"病毒性脑炎"治疗效差,患者外院两次头颅磁共振提示左侧颞枕叶病变,第二次磁共振比第一次病灶面积增大,且磁共振提示病灶为分层样改变,患者发病来无四肢抽搐,根据病史及影像学定位为:大脑皮层、枕叶、左侧锥体束、左侧脊髓丘脑束,定性考虑:卒中?代谢性?炎性?感染?结合患者卒中样发作;影像学表现;认知障碍、血乳酸显著增高、磁共振波谱成像显示病灶、≥2次卒中样发作、患者母亲有糖尿病史、肌电图提示周围神经受累、体重下降、卒中样发作急性期病灶弥散加权成像(DWI)弥散受限,皮质受累尤为明显,呈现类花边征样改变。病灶具有进展性、可逆性、多发性以及呈现"此消彼长"的"游走性"特点[3,4]。
80%的MELAS患者由mtDNA3243A>G突变引起[5,6],其次是mtDNA13513G>A突变[7,8],其他mtDNA或nDNA突变所致相对少见。基因突变导致线粒体呼吸链酶复合体蛋白功能缺陷,尤其是酶复合体Ⅰ和Ⅳ的活性下降,进而引发线粒体功能障碍,导致三磷酸腺苷生成减少、氧自由基增多和乳酸堆积。在能量需求高的器官或组织(脑、心肌、骨骼肌)更易出现损害。脑的主要病理改变为受累大脑皮质出现假分层样坏死,伴随微小血管增生。肌肉活体组织检查在改良Gomori三色染色可见不整红边肌纤维,在琥珀色脱氢酶染色可见破碎蓝染肌纤维和深染的小血管。
线粒体脑肌病与影像学、血及脑脊液乳酸测定、肌肉活检及基因检测密不可分,但周围神经病变是该病较为常见症状之一,出现在20%~50%的患者[9]。针极肌电图在少数患者出现肌源性损害或神经源性损害;神经传导速度检测在少数患者出现感觉或感觉运动神经轴索性损害[10]。本患者肌电图提示四肢多发性周围神经传导异常,提示存在多系统损害。
指南提示药物治疗是否有效目前缺乏循证医学证据。MELAS患者脑电图检查可显示癫痫发作期以及发作间期背景活动减慢或痫样放电[11]。本患者并未出现癫痫发作,但脑电图检查提示中度异常脑电图,值得讨论的是是否可根据患者治疗要求预防性应用抗癫痫药。
所有作者均声明本研究不存在利益冲突





















