
患者女性,39岁。于2019年12月就诊。自述下颌偏斜,前牙不美观,要求改善美观与功能。
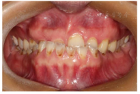
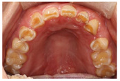
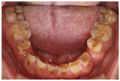
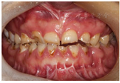
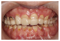
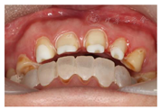
面部外形不对称,颏部居中,两侧口角高度不一致,面下1/3高度减小,两侧颧弓突度一致,下颌前突。中位笑线,上唇长度适中。
面部、关节、口内检查,影像学检查。下颌前突伴上下颌牙中线偏斜;前牙反颌;上颌牙列缺损;牙过度磨耗;釉质发育不全;44牙牙体缺损。
(1)行正颌手术,上下颌骨前份根尖下截骨术,拔除24、34、44牙,改善颌间关系及下颌前突,提供修复空间;(2)前牙行牙周手术,使龈边缘协调对称;(3)上述治疗后,前牙固定修复,恢复牙体形态和功能。
通过语音学评估,患者发音清晰、准确、流畅,唇齿关系良好。完成修复后半年复查,患者主诉无不适,咬合功能良好,关节及肌肉无不适,修复体完整,牙周健康。
口腔科
版权归中华医学会所有。本文为遵循CC-BY-NC-ND协议的开放获取文章。
患者女性,39岁。于2019年12月就诊。自述下颌偏斜,前牙不美观,要求改善美观与功能。右下前磨牙有牙体科病史;舍格伦综合征病史,病情已控制,有鼻炎史、皮肤过敏史;否认紧咬牙、夜磨牙,无关节疼痛、弹响史,颌面部外伤史不详。
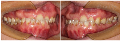
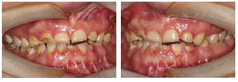
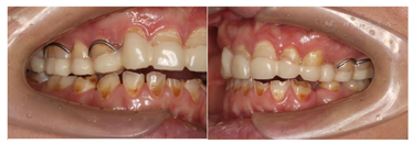
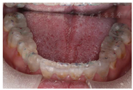
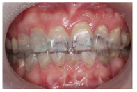
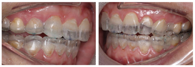
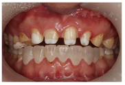
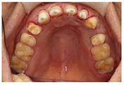
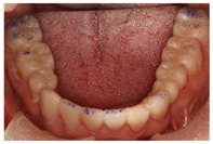
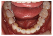
(1)面部检查:面部外形不对称,颏部居中,两侧口角高度不一致,面下1/3高度减小,两侧颧弓突度一致,下颌前突。中位笑线,上唇长度适中(图1)。(2)关节检查:颞颌关节:弹响(-),杂音(-),疼痛(-)。开口度正常,开口型有偏斜,肌肉触诊压痛:右侧上颌结节(+)、左侧上颌结节(++)、双侧翼内肌(+),其他肌肉及颞下颌关节区未诉异常,关节载荷实验无任何紧张和疼痛不适。(3)口内检查:上下颌牙中线较面中线向右偏斜,前后牙广泛不均匀磨耗,前牙磨耗后呈刃状;14、21、22、23及下颌牙唇颊侧颈部见釉质缺损,部分牙本质暴露,呈黄褐色,少量白垩色;44牙见开髓孔,表面暂封。12缺失,缺失牙间隙无。全口牙龈色形质未见异常,11牙、21牙唇侧牙龈龈缘高度不一致,21牙较11牙龈缘高约3mm。全口口腔卫生状况良好,菌斑、软垢少量,未及牙石及牙周袋。咬合检查:11-14牙与对颌牙反
,21牙与31、31牙对刃,左侧尖牙至前磨牙深覆盖,
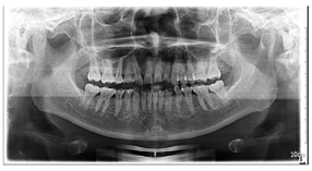
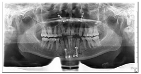
曲线不平(图2,图3)。(4)影像学检查:






曲面体层片示双侧下颌骨未见明显不对称,牙槽骨未见明显吸收;44牙
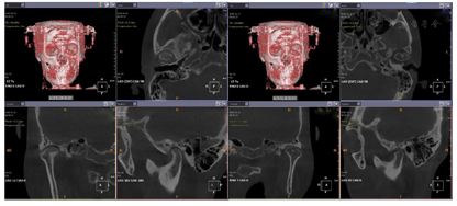
面充填物,未见根充物,根尖无明显异常(图4)。CBCT示:双侧髁突形态不对称,左侧髁突表面中央凹陷,余骨质未见异常(图5)。




下颌前突伴上下颌牙中线偏斜;前牙反颌;上颌牙列缺损;牙过度磨耗;釉质发育不全;44牙牙体缺损。
患者希望改善前牙美观,从美学入手分析,目前前牙区除牙体磨耗、釉质缺损外,亟待解决的是下颌前突及咬合问题。下颌前突标准的治疗模式是正畸-正颌联合治疗,通过术前正畸去除牙代偿、排齐牙列后进行正颌手术。但在本病例中,患者的牙冠严重磨耗,无法粘接正畸托槽,正畸的难度非常大。考虑到患者患有舍格伦综合征,是龋高危人群,正畸采用固定矫治器会增加龋易感性,因此要慎重进行正畸治疗。经正畸、正颌、修复三科会诊,正颌外科调整手术方案,从整体截骨改为局部截骨,上颌右侧截骨,左侧拔除第一前磨牙,骨块不等量移位,调整上颌牙中线。下颌两侧截骨后退,并下移,解决前突及前牙反合,并为修复科咬合重建预留修复间隙。
建议患者:(1)行正颌手术,上下颌骨前份根尖下截骨术,拔除24、34、44牙,改善颌间关系及下颌前突,提供修复空间;(2)前牙行牙周手术,使龈边缘协调对称;(3)上述治疗后,前牙固定修复,恢复牙体形态和功能。
与患者充分沟通,患者决定不做正畸治疗及牙周手术,选择行正颌手术,并在术后行全口咬合重建。因前牙釉质剥脱、牙冠磨耗短小,可利用牙釉质粘接面过小,需根管治疗后桩核冠修复。患者知情同意。
(1)行正颌手术,上下颌骨前份根尖下截骨术,正颌手术后四个月:面部外貌得到明显改善,面部中线与牙齿中线一致,面下1/3高度适中,后牙
平面与瞳孔连线平行(图6,图7)。




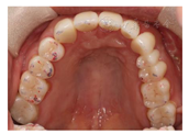
12、24、34、44牙缺失,12牙缺失牙间隙无,13牙与11牙建立邻接,24、34、44牙缺失牙间隙减少。咬合检查:上颌牙中线与面中线一致,下切牙中线右偏约1.5mm,11、13牙对刃,前牙部分开
,21、22、23、43牙与对侧牙无咬合接触,后牙有咬合,磨牙中性关系。余检查同术前(图8,图9,图10,图11)。

面照
面照
面照
面照



影像学检查:曲面断层片及CBCT示,上下颌骨可见多个钛板内固定,12、24、34、44牙缺失。余骨质未见确切异常改变(图12,图13)。




(2)全口咬合重建过程
制作上颌活动
垫:调磨过锐牙尖,取印模,正中关系位记录
关系,制作上颌活动
垫,调磨使后牙功能尖均匀接触,侧方
无干扰。此病例
垫做在上颌,因其下前牙牙冠短,不至于引起前伸
干扰,引起关节后移(图14,图15)。戴用
垫三月后:双侧颞下颌关节及肌肉未诉不适,肌肉触诊上颌结节疼痛减轻,翼内肌疼痛消失。CBCT示:戴用
垫时咬合位拍摄,双侧髁突位置居中,骨质未见确切异常改变(图16)。

垫口内正面照
垫口内正面照
垫口内左右侧咬合照
垫口内左右侧咬合照
垫颞下颌关节CBCT
垫颞下颌关节CBCT制作上下颌透明
垫,确定最终修复下颌位置。取上下颌工作模型,面弓转移上全可调
架,取正中关系,制作全口诊断蜡型、硅橡胶成型阴模,技工室依据诊断蜡型翻制上下颌透明
垫,口内戴入透明
垫后与
架上咬合一致,正中咬合时后牙功能尖多点接触,前牙轻接触,侧方运动时右侧尖牙引导,左侧23、24、25组牙引导。嘱患者发S音,评估前牙的位置及垂直距离,发F音和V音,评价切牙的长度和形状(图17,图18,图19,图20,图21,图22,图23)。

架制作透明
垫
架制作透明
垫
垫
面照
垫
面照
垫
面照
垫
面照
垫
面照
垫
面照
垫
面照
垫
面照
垫正面照
垫正面照
垫左右侧方

垫左右侧方
戴用透明
垫6周后,患者未主诉不适,关节肌肉复查同前。11、13、21、22、31、32、33、41、42、43牙行根管治疗,治疗后无不适。根据上下牙特点,11、13、14、21、22、31、32、41、42、43牙行冠修复,23-25牙、33-35牙行固定桥修复,15、16、17、26、27、36、37、45、46、47牙行贴面修复。
首先对上颌牙进行牙体预备,将诊断蜡型的硅橡胶成型阴模切片,指导前牙预备。牙体预备完成后,制取硅橡胶印模,灌制工作模型。于备牙过程中逐步去除
垫、制取颌位记录以转移咬合关系,使用成型阴模加临时冠桥树脂材料将蜡型Mock up至口内,作为临时修复体(图24,图25,图26,图27,图28,图29,图30,图31)。















架
架临时修复体患者戴用无不适,上颌牙制作永久修复体,戴牙(图32,图33)。同样,对下颌牙进行牙体预备,取模,制作永久修复体,戴牙(图34,图35,图36,图37,图38,图39)。













架
架

最后的修复体使用预烧结的超透氧化锆(DD cubeX2 98 color,Dental Direkt,德国)制作,为了增强
贴面粘接,组织面喷涂硅涂层(LiSi Connect,爱迪特,中国),烧结,完成粘接,调
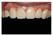
,抛光。治疗结果如图40,图41,图42,图43,图44,图45,图46。





面
面
面
面





复查与随访情况
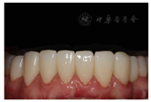
通过语音学评估,患者发音清晰、准确、流畅,唇齿关系良好。完成修复后半年复查,患者主诉无不适,咬合功能良好,关节及肌肉无不适,修复体完整,牙周健康。戴牙后6个月数字化力分析仪(T-scan Ⅲ,Texscan,美国)测试结果显示:两侧对称分布,正中咬合均匀广泛,右侧磨牙区有一个异常力值,前伸
、侧方
未见异常,结合相应的咬合纸印记,进行少量调磨,抛光(图47,图48,图49,图50)。








这个病例中,由于长期错颌畸形,导致了前牙不均匀磨耗,抬高咬合成为了功能设计和美学修复的前提。抬高咬合后,患者需要对新的咬合位置和距离进行数周的检验。本病例先通过上颌可摘
垫抬高咬合,再通过上下颌透明
垫让患者适应。不仅可以检验患者能否适应抬高的咬合高度,而且还可以评估所设计修复体的美观性。
本病例所有修复体均采用整体超透氧化锆制成,弯曲强度大于720MPa,厂家建议可用于制作前牙和后牙区的单冠和3单位固定桥。超透氧化锆陶瓷于2015年问世,氧化钇的含量增加到5mol%(5Y-TZP),氧化锆立方相晶相增加到约53%甚至更高[1]。到目前为止,为改善氧化锆陶瓷的性能,已经生产出了4代的钇稳定氧化锆材料[2],在以往的基础上进一步提高了半透明度,几乎与二硅酸铝陶瓷接近,美观性能非常好。但强度优于玻璃陶瓷,因没有饰面瓷,也避免了未来产生崩瓷等并发症。由于四方相氧化锆晶相含量低,缺乏相变增韧,基于这种新的结构,材料在烧结冷却中几乎没有体积变化,由于陶瓷处于完全稳定状态,因此不会产生因从四方晶相到单斜晶相相变所引发的应力,被称为全稳定氧化锆材料。
在临床研究中,抛光后的氧化锆或抛光和上釉的氧化锆与长石质和玻璃或硅酸锂陶瓷相比,对牙釉质产生相似或者更低的磨损[3]。为了避免因前后牙修复材料不同,造成修复体磨损速度不一致,本病例所有修复体均采用整体超透氧化锆制成的,并且进行了精细抛光,这到底有多大的意义,根据目前的数据尚不能进行结论性的判断。由于其他陶瓷可能造成更大的磨损,使用整体氧化锆材料是合理的。
氧化锆修复体的临床并发症失粘接发生率较其他陶瓷高,其中氧化锆贴面尤为明显[4]。本病例中后牙采用贴面修复,为了提高粘接性能,使用上釉喷涂技术,在氧化锆的表面融附一层低温的玻璃陶瓷,进行表面改性后,氧化锆表面结构和成分已经和玻璃陶瓷材料基本一致,可以通过氢氟酸进行酸蚀来进行表面粗化,从而产生可靠的机械锁合力。本病例随访时间短,远期效果仍需继续观察。
本病例患者有舍格伦综合征,这也为全口咬合重建带来了一定挑战和风险。舍格伦综合征是一种慢性系统性自身免疫性疾病,常累及唾液腺和泪腺。舍格伦综合征(SS)是一种影响外分泌腺的系统性自身免疫性疾病,常累及唾液腺和泪腺。临床体征和症状包括口干、灼烧感、疼痛和吞咽困难[5]。目前尚无治愈舍格伦综合征的方法,治疗主要是缓和疗法。研究显示,患有舍格伦综合征的患者与正常人相比,虽然口腔卫生良好,但龋、失、补指数显著增高,失牙指数更高,菌斑指数、牙龈指数和出血指数也更高,但唾液pH值显著降低[6]。要对患者目前的病情进展密切关注,病情是否反复,对修复体的预后至关重要。确保修复体的边缘密合,并在粘接后精细抛光边缘,减少菌斑堆积,便于患者日常清洁。建议患者使用人工唾液改善口干症状,使用含氟漱口水和含氟牙膏防龋。最后,对患者定期进行密切随访,帮助患者养成良好的口腔卫生保健习惯,树立信心,延缓口腔并发症的进展。
本病例患者要求改善前牙美观及下颌前突,对面部美观要求较高,因此治疗方案着重考虑如何最大程度改善患者面部美观。多学科合作和全方位的治疗方案设计是治疗下颌骨性前突、改善美观的重要保障,使用现代的义齿材料和方案,为复杂的病例提供了功能、微创和美观性兼具的解决方案。
所有作者均声明本研究不存在利益冲突





















