
病例1为中年女性,因"皮疹1周,发热、咳嗽、咳痰3天"入院。患者1周前开始出现颈部,双手,脸部皮疹,伴瘙痒,无溃疡;双手远端指节出现红肿,3天前出现咽痛,后发热,最高体温38.2℃,伴咳嗽、咳痰、胸闷。遂至我院就诊。病例2为中年女性,因"咳嗽、咳痰8个月,加重伴气促2个月"入院。患者8个月前无明显诱因出现咳嗽,伴咳白黏痰。2个月前出现气促,呈进行性加重,伴皮疹。遂至我院就诊。
病例1双手可见掌指关节处可见紫红色斑丘疹伴脱屑,颈前胸部可见红色皮疹。肺部听诊闻及双下肺细湿啰音。四肢肌力肌张力正常。病例2体查:指间关节,掌指关节,肘部可见紫红色丘疹,伴破溃结痂。双下肺闻及Velcro啰音。四肢肌力肌张力正常。
2例患者入院后完善相关辅助检查,根据症状体征等临床表现,结合影像学检查和风湿免疫学结果,患者诊断为抗MDA5阳性皮肌炎相关性间质性肺炎(快速进展型)。
治疗均以甲泼尼龙500mg冲击联合免疫抑制剂,同时予吡非尼酮抗纤维化。两例患者在治疗过程中均出现自发性出血。
病例1在治疗过程中出现腹膜后血肿,死亡。病例2左侧大腿肌间血肿,行超选择性左侧股深动脉-穿动脉栓塞术,好转出院。
呼吸内科;风湿免疫科
版权归中华医学会所有。本文为遵循CC-BY-NC-ND协议的开放获取文章。
快速进展性间质性肺病(Rapidly progressive interstitial lung disease,RP-ILD)是皮肌炎尤其是无肌病性皮肌炎(amyopathic dermatomyositis, ADM)最严重的并发症。近年来发现抗黑色素瘤分化相关基因5 (melanoma differentiation-associated gene-5, MDA5)抗体在高达90%的ADM患者中均为阳性。抗MDA5阳性皮肌炎在亚裔人群中主要表现为典型皮疹以及RP-ILD,较少出现肌肉的累及,患者对激素及常规免疫抑制剂治疗反应差,患者6个月内病死率高达50%~70%,预后极差。抗MDA5阳性皮肌炎对血管的累及并不少见,主要表现为血管炎及微血管栓塞等,而出现自发性出血则临床罕见。本文对两例抗MDA5阳性皮肌炎合并自发性出血这一并发症进行报道,有助于进一步理解本病的发病机制,而且在临床治疗过程中,早期识别出血风险,降低患者病死率。
患者,女性,47岁,因"皮疹1周,发热、咳嗽、咳痰3 d"于2020年8月31日入院。患者入院前1周前开始出现颈部,双手,脸部皮疹,伴瘙痒,无溃疡;伴双手远端指节出现红肿,皮肤粗糙,3 d前出现咽痛,随之出现发热,最高体温38.2℃,伴咳嗽、咳痰、胸闷。自服"退热药"及"头孢类"抗生素治疗,症状无好转,至我院就诊,查胸部CT:考虑两肺多发炎症,以两下肺为著。拟"肺炎"收住我科。既往史、家族史、个人史均无特殊。
入院体检:T36.6℃ P108次/分,R20次/分,BP132/73mmHg 。双手可见掌指关节处可见紫红色斑丘疹伴脱屑,颈前胸部可见红色皮疹。肺部听诊闻及双下肺细湿啰音。心率108次/分,律齐无杂音。四肢肌力肌张力正常。余查体无异常。
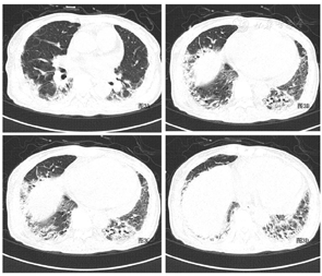
实验室检查:血气分析(FiO2:40%):pH7.416, PaO2:117.3mmHg(氧合指数:293),血常规:白细胞:4.50×109/L;中性粒细胞占:91.8%;淋巴细胞占:5.4%。血红蛋白:144g/L;血小板:273×109/L;心肌酶:肌酸激酶219.4 U/L,肌钙蛋白I 0.09ug/L,肌红蛋白41.0ug/L;乳酸脱氢酶490.5U/L;血沉:65mm/h;血清铁蛋白:1788ng/mL。抗核抗体:1:100,胞浆颗粒型,肌炎谱:抗MDA5-IgG(++)、抗Ro52-IgG (+++);胸部高分辨CT(HRCT)示:双下肺分布实变影,伴有肺容积缩小(图1)。


1.抗MDA5阳性皮肌炎相关性ILD(快速进展型);2.抗MDA5阳性皮肌炎。
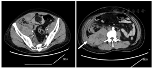
甲泼尼龙500mg×3天,逐渐减量(250mg×3天、160mg×3天、80mg×5天);环磷酰胺0.8gqw×2次;余予以全覆盖抗感染以及吡非尼酮600mg tid /d抗纤维化治疗。患者经过治疗后气促症状好转。患者于9月20日出现右侧大腿及臀部疼痛,未见红肿,皮温不高,无压痛。9月21日出现腹痛,压痛及反跳痛明显。急查血常规:红细胞:2.8*1012/L,血红蛋白:86g/L;凝血功能:PT:14.2秒、APTT:50.1秒、纤维蛋白原1.76g/L。综合上述临床表现,不排除腹腔出血可能性,行床旁B超提示腹膜后混合回声区,不排除脓肿或血肿。为进一步明确诊断,于当日申请急诊腹部CT,提示右侧腹膜后及右侧腹直肌多发血肿,周围脂肪间隙及腹膜增厚(图2)。请介入科会诊后建议介入治疗,因患者一般情况差,家属拒绝进一步治疗自动出院后随访患者死亡。


患者,女,51岁,因"咳嗽、咳痰8个月,加重伴气促2个月"于2020年11月5日入院。患者8个月前无明显诱因出现咳嗽,咳白黏痰。自服中药未见好转。2个月前出现气促,爬2层楼即感气促,休息可缓解,呈进行性加重,伴口干、皮疹。至当地医院就诊,胸部CT考虑双肺散在炎症。抗感染治疗未见好转,遂至我院门诊就诊,门诊拟"间质性肺疾病"收入我科。既往史、家族史、个人史均无特殊。
入院体检:T36.5℃ P136次/分R40次/分BP126/78mmHg,指间关节,掌指关节,肘部可见紫红色丘疹,伴破溃结痂(图4)。双下肺闻及Velcro啰音。四肢肌力肌张力正常。余查体无异常。




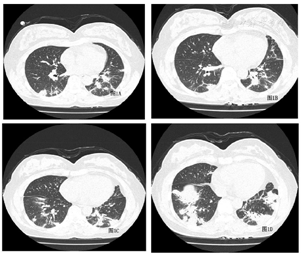
实验室检查:血气分析(FiO2:37%)pH 7.464 ,PaO2:87.4 mmHg (氧合指数:236),血常规:白细胞2.40×109/L,中性粒细胞占:50.5%;淋巴细胞占:23.8%。血红蛋白98 g/L,血小板180×109/L;血沉:81mm/h;血清铁蛋白:1964ng/mL,抗核抗体1:100,胞浆颗粒型,肌炎谱:抗MDA5-IgG(++)、抗Ro52-IgG (+++);胸部HRCT示:双下肺分布实变影,伴有肺容积缩小(图3)。
1.抗MDA5阳性皮肌炎相关性ILD(快速进展型);2。抗MDA5阳性皮肌炎。
甲泼尼龙500mg×3天,继以逐渐减量(250mg×3天、160mg×3天、80mg×5天);环孢素75mg,bid;环磷酰胺0.8g qw×3次,余予以全覆盖抗感染以及吡非尼酮600mg tid /d抗纤维化治疗。患者于11月21日诉左侧大腿肿痛。血常规:血红蛋白:65g/L;血小板:89×109/L。凝血功能PT14.4秒、APTT42.1秒、纤维蛋白原1.24g/L。不能排除下肢肌间出血可能,急行床边B超:左大腿软组织区包块--血肿?行下肢动脉CT:考虑左侧大腿肌间血肿形成(图5)。介入科会诊后行超选择性左侧股深动脉-穿动脉栓塞术(图6)。患者出血停止,血肿吸收,好转出院。目前仍在随访中。




皮肌炎是一类累及多器官的自身免疫性疾病,包括皮肤、肌肉、血管、关节、肺以及食管。其中抗MDA5阳性皮肌炎相关ILD多为RP-ILD,由于病情进展迅速,患者病死率率高,预后差。对于抗MDA5阳性皮肌炎患者早期识别应注意其特征性的皮肤表现。典型的皮肤表现包括向阳疹、Gottron’s征、Gottron’s疹。因此对于呼吸科医师而言,患者表现为RP-ILD,伴有典型的皮疹,应尤其警惕抗MDA5阳性皮肌炎,此时进行风湿免疫血清学尤其是肌炎谱抗体检查,可在疾病早期进行识别及诊断。本文报道的两例病例均存在典型的皮肤表现,尤其第二例患者存在典型Gottron’s疹,提示其可能存在潜在的严重血管病变。
近年来,对于抗MDA5阳性皮肌炎相关ILD治疗开展了一系列的研究,Tsuji等进行了一项前瞻性多中心研究,在抗MDA5阳性ILD人群中使用大剂量激素、他克莫司和环磷酰胺,结果证实,与传统的"逐步升级疗法"相比,三联疗法较传统疗法更能改善患者生存率,且在52周时可降低抗MDA5抗体滴度,改善患者肺功能及HRCT评分。上海团队基于一项单中心开放性试验提出激素联用托法替布的治疗方案,证实其可改善轻症患者的生存率(100% vs. 78%)。基于一些循证学依据,在2020年抗MDA5阳性皮肌炎相关ILD诊治专家共识中推荐,一线治疗方案中,对于轻中度患者采取激素+钙调磷酸酶抑制剂方案;而重症患者采取激素冲击+钙调磷酸酶抑制剂+环磷酰胺的三联治疗方案。本文中两例患者均依据此推荐方案进行治疗,且患者在治疗过程中呼吸系统的症状一度好转。
然而患者在治疗过程中出现自发性出血,导致病情更为复杂棘手。自发性出血是皮肌炎一种罕见但致命的并发症。检索PUBMED文献报道皮肌炎合并出血的仅十几例。有文献总结了皮肌炎合并出血的7例个案报道,发病年龄最小11岁,最大80岁,女性多于男性(5:2)。7例患者中有3例患者合并糖尿病,5例使用了肝素抗凝。均使用糖皮质激素。出血部位:5例腹膜后,1例右侧腰肌和髂肌,2例左侧腹直肌,1例左胸锁乳突肌,2例右髂肌右腰大肌。其中5例为多部位出血。7例中有5例患者死亡,均为合并腹膜后出血[1]。我们回顾了既往的抗MDA5阳性皮肌炎患者合并出血的报道仅发现3例,1例患者通过尸检进行了组织病理学检查,在肺泡、髂腰肌、胃黏膜、脾脏和肾上腺均观察到明显的广泛出血。1例患者发生纵隔气肿和肌内出血,而另1例患者尸检发现弥漫性肺泡损伤和肺泡出血[2,3]。治疗主要积极寻找出血部位,血管介入治疗是比较成功有效的治疗方法,以及输血等对症支持治疗。本文报道的两例患者均为女性,出血部位分别为腹膜后和左大腿肌间。尤其值得注意的是,第一例患者入院病情较轻,但由于合并腹膜后出血,即使在呼吸症状好转的情况下,最终死亡仍难以避免,说明合并腹膜后出血的预后可能更为致命,这一点与文献报道相符。
出血的机制至今尚未确定。我们推测抗MDA5阳性皮肌炎合并自发性出血的原因可能有以下几点:①毛细血管减少,血管内皮损伤。Hanawa等发现了免疫复合物沉积在肌内小静脉和小动脉壁及皮肌炎患者的微血管系统。有人认为毛细血管是疾病早期的特定靶点,微血管损伤是本病的一种病理特征。与其他神经肌肉疾病相比皮肌炎患者的毛细血管数量大约减少了至50%[4]。②药物作用:文献报道的7例患者有5例应用低分子肝素抗凝。大剂量激素和抗凝药物的应用可能是出血的另外一个重要的因素。本文两例患者均使用了大剂量激素。③凝血功能异常:文献报道的7例患者其中有4例患者出现凝血功能异常,主要表现为APTT延长。本文所报道病例均有不同程度的皮肤病变,提示患者可能存在不同程度血管损伤,在这样的背景下,患者使用大剂量激素冲击治疗,可能成为该两例患者出血的原因。
综上所述,自发性出血是抗MDA5阳性皮肌炎罕见且严重的并发症,可能与患者血管损伤及患者治疗方案相关。对于自发性出血的内科治疗目前方法有限,对于出血部位的介入治疗目前是行之有效的方法之一,然而对于大面积或者重要器官的出血往往治疗效果不佳,由于早期识别是改善患者预后的重要途径,对于此类患者自发性出血危险因素的研究具有积极意义。
所有作者均声明本研究不存在利益冲突





















