
本文报道3例口腔软硬腭缺损的修复病例,皆因颌面部肿瘤在本院施行手术,术后口咽有不同程度的软硬组织缺损。
患者术后出现进食困难、发音不清的症状,查体见上颌软硬腭不同程度缺损。
结合主诉、现病史、既往史、体格检查和辅助检查,主要诊断为口腔软硬腭缺损。
经牙体预备、初次印模、试支架和二次印模、试戴、充胶完成等步骤后,以带阻塞器式的赝复体活动义齿修复软硬腭缺损。
经治疗后,患者鼻漏消失,构音正常。
口腔科;耳鼻咽喉科
版权归中华医学会所有。本文为遵循CC-BY-NC-ND协议的开放获取文章。
软硬腭缺损常见于先天性疾病、肿瘤术后或由外伤引起,严重影响患者的生活质量[1]。软硬腭缺损导致腭咽闭合不全,临床症状是发音不清、吞咽时鼻腔反流等[2,3]。目前有效的治疗方法是皮瓣手术重建和赝复体修复。但是软腭结构复杂、功能特殊,故手术具有很大的难度。赝复体制作较简单、费用低、无需手术,可弥补缺损的组织,使患者的语言、吞咽等功能得到明显改善[4],因此赝复体修复是较好的治疗手段。本文通过3个相关病例,旨在介绍一种较简单、廉价的赝复体治疗方法及其治疗效果,以期为临床治疗提供参考。
患者,男,52岁,主因"左颊癌术后吞咽困难伴发音不清半年"于2021年5月24日来我院就诊。曾于2020年10月14日在我院行"左颊癌切除术+皮瓣修复术",出院后左上腭皮瓣连接处挛缩开裂,进而出现吞咽困难伴发音不清。患者拒绝二次手术。既往体健,否认肝炎病史,否认结核病史,否认输血史,有手术史,否认外伤史,否认药物及食物过敏史,有预防接种史。
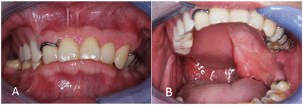
颌面部基本对称,开口约2横指,口内26、27、36、37缺失,缺牙区牙槽骨缺失,左侧软腭完全缺失伴小部分硬腭缺失。左颊、左咽侧壁见皮瓣修复,有瘢痕挛缩。12~21固定桥修复。构音不清,饮水时见鼻漏(图1)。病理结果提示:(癌灶)形态学结合原病史,符合高-中分化鳞癌,浸润肌层。


1.左软硬腭缺损;2.上下颌牙列缺损Kennedy Ⅱ类;3.左颊癌术后。
患者,女,50岁,主因"上腭手术后吞咽困难伴发音不清1年余"于2016年3月14日来我院就诊。患者2015年于我院行"左上腭癌扩大切除术+上颌骨次全切除术+异体皮瓣移植修复术"。术后口鼻相通,吞咽困难,伴发音不清来我院求治。既往史同病例一。
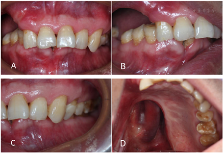
颌面部基本对称,开口约2横指,口内21~27缺失,左侧缺牙区牙槽骨、上颌骨缺失,左侧硬腭完全缺失,软腭完全缺失,口鼻相通。左颊、硬腭缺损处可见皮瓣修复,有瘢痕挛缩。构音不清,饮水时鼻漏(图4)。病理结果示:黏液表皮样癌。


1.左硬腭缺失;2.双侧软腭缺失;3.上颌牙列缺损Kennedy Ⅱ类;4.左上颌黏液表皮样癌术后。
治疗计划:拟行上颌阻塞器式活动义齿修复。治疗过程:(1)牙体预备,制备11~16舌侧导平面和小连接体空间,制备13、14和15、16和16、17间隙卡位置。(2)制取初次印模(同例1)。(3)试支架确定颌位关系,同期制取咽腔功能式印模(同例1)。(4)试戴。(5)充胶戴牙(图5)。


患者,男,46岁,主因"上腭手术后进食困难伴发音不清6个月"于2013年2月16日来我院就诊。患者曾因上腭中分化鳞癌在我院行"右上腭癌切除术+右上颌骨次全切除术+临近皮瓣移植修复术"。术后口鼻相通,进食困难,伴发音不清来我院求治。既往史同病例一。
颌面部基本对称,开口约3横指,口内13~17缺失,缺牙区牙槽骨、上颌骨缺失,右侧硬腭缺失,右侧软腭缺失。右颊、右腭舌弓处有手术瘢痕挛缩。前牙深覆牙合深覆盖,后牙有不同程度磨耗。构音不清,饮水时鼻漏(图7)。病理结果提示:(右上腭)浸润性中分化鳞癌。


1.右软硬腭缺失;2.上颌牙列缺损Kennedy Ⅱ类;3.右上腭鳞癌癌术后。
治疗计划:拟行上颌阻塞器式活动义齿修复。治疗过程:(1)牙体预备,制备12~26舌侧导平面和小连接体空间,制备24、25和25、26和26、27间隙卡位置。(2)制取初次印模(同病例一)。(3)试支架确定颌位关系,制取咽腔功能式印模(同病例一)。(4)试戴。(5)充胶戴牙(图8)。


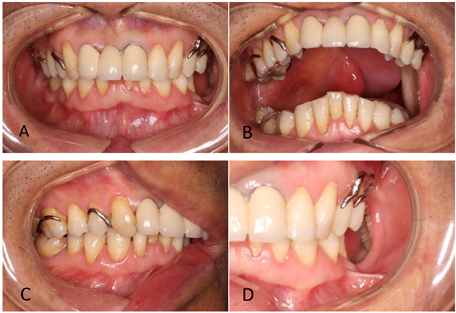
术后效果见图9,患者右侧软硬组织得以恢复,构音清晰度明显提高,饮水无鼻漏。


术后5年肿瘤复发,行二次手术,术后旧义齿松动,构音不清,于2018年8月再次来我院求治。查体:颌面部基本对称,开口约3横指,颏部正中皮肤见手术瘢痕。前牙覆牙合较前加深,后牙磨耗明显,垂直距离有降低(图10),31、41之间见手术切口,牙龈退缩。


治疗计划:(1)升高垂直距离;(2)制作上下颌牙合垫式义齿(上颌义齿附带阻塞器)。
治疗过程:(1)牙体预备,制备47、45、44、34、35、36、37导平面和小连接体空间,制备47近中、45远中牙合支托窝,抛光33~37牙合面尖锐牙尖。(2)制取上下颌印模(同例1)。(3)制作暂基托和蜡堤,确定颌位关系,抬高垂直距离约4 mm(图11),面弓转移,模型上全可调架。(4)制作金属支架(已排牙)。(5)试戴,制取咽腔功能式印模(同例1)。(6)充胶戴牙(图12)。






软硬腭缺损属于颜面颌骨缺损类疾病。硬腭由上颌骨腭突和腭骨水平部组成。硬腭缺损分类方法包括Cordeiro、Brown、Aramany、赵铱民、Okay等五种主要分类法,种类多,尚无统一的分类方法[5]。软腭是由黏膜包被的一系列肌肉组织,前缘与硬腭相连,侧面则附着于咽侧壁上。软腭缺损,依据形态学和缺损的位置范围将其分成三类,即硬软腭联合缺损、全软腭缺损和部分软腭缺损[6]。
无论何种分类方式,软硬腭缺损的修复目标是:恢复清晰的语音;分隔鼻腔和口腔;安全有效的吞咽功能;保持鼻腔的通畅;有利于早期发现复发的肿瘤[7]。修复方式包括皮瓣手术、赝复体修复和外科手术赝复体联合治疗。
皮瓣手术主要是应用各种皮瓣,如邻近瓣、前臂瓣[8]、髂骨瓣[9]、腓骨瓣[10]等,对缺损腔进行修复。赝复体修复主要采用可摘局部义齿伴或不伴阻塞器的设计,阻塞器的制作材料有聚丙烯酰胺树脂、硅胶或薄膜[11]。皮瓣手术和赝复体两种治疗方式各有优缺点,如何选择一直没有定论[5]。赝复体制作较简单、费用低、无需手术,可修复缺损的组织,使患者的语言、吞咽等功能得到明显改善,但对于无牙颌或缺损面积大的患者,皮瓣手术重建可能优于赝复体修复。
腭咽闭合由软腭、咽后壁和咽侧壁的肌肉协同完成[11]。当软腭因先天、肿瘤或外伤缺损时,出现腭咽闭合不全,导致进食鼻漏、构音不清等症状。阻塞器式的赝复体义齿的工作原理是以阻塞器模拟腭咽闭合时软腭水平上抬的状态。当吞咽时阻塞器的侧、后面与收缩隆起的咽侧、后壁肌肉相接触,人为实现了腭咽闭合[12]。
此类治疗难点包括制取印模和阻塞器形态设计。肿瘤术后常伴有瘢痕挛缩,患者张口度均较小,同时制取牙列和缺损腔的印模十分困难。采用二次取模的方法,初印模只制取牙列和少量缺损腔的印模,按活动义齿制作方法先制作义齿金属支架,在支架延伸至缺损腔处预留金属网。试戴支架时使用红白打样膏制取咽部的二次印模。红白打样膏相较于印模蜡等是一种临床易得的廉价印模材[13]。二次印模时,用温水浸软红白打样膏,由少到多堆积在支架后部,每次增加后快速戴入口内,先嘱患者前后左右转动头部,再嘱患者慢慢吞咽,逐渐成型。冷却后取出口外,修剪多余的材料。重复几次后即可获得满意的阻塞器形态。最后充胶完成义齿制作。
例1展示了小面积软硬腭缺损的治疗过程,患侧采用短牙弓设计,故仅制作了阻塞器(无人工牙)。例2示大面积软硬腭缺损,在制作中空阻塞器的同时修复了患侧的牙列。例3治疗难度较大,因为肿瘤复发,5年内制作了两副义齿。健侧牙列磨耗严重,垂直距离下降,为提高咀嚼效率,行咬合重建。但通过上述治疗方法,即咬合重建和阻塞器分步进行,大大降低了治疗难度。
软硬腭缺损在口腔医学中属于少见病,治疗难度较大。本文通过病例分析,旨在分享治疗经验,同时提供戴牙后的发音视频,以期为评价治疗效果提供参考。
所有作者均声明本研究不存在利益冲突
























