
患者男,30岁,诊断为I型神经纤维瘤病20年。
1个月余前发现右颈部痛性肿物。随访期间肿物进行性增大并伴右手内在肌萎缩及肌力下降。
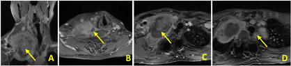
CT及MR增强显示右颈部不均质肿物,包绕右锁骨下动脉并压迫锁骨下静脉及臂丛神经。
行右椎动脉造影+介入栓塞术,后行肿瘤切除术+锁骨下动脉置换术+颈内静脉吻合术。病理结果显示恶性侵袭性神经纤维瘤。
术后随访过程未见复发。
骨科;肿瘤科
版权归中华医学会所有。本文为遵循CC-BY-NC-ND协议的开放获取文章。
患者,男性,30岁,意外发现右颈部痛性肿物并进行性增大,伴右手乏力及手内在肌萎缩,于2020年12月15日入院。既往确诊为I型神经纤维瘤病二十余年,祖父曾诊断为I型神经纤维瘤病。2007年曾于空军军医大学西京医院行脊柱侧弯矫形术。入院查体:右颈部可见一大小约15cm×10cm的椭圆形质中偏硬的肿物,明显压痛及叩击痛,可闻及血管杂音。气管明显受压左偏。右手内在肌萎缩,肌力Ⅲ级。全身散在牛奶咖啡斑及大小不一的质软结节,偶见皮下丛状神经纤维瘤伴表皮溃疡(图1)。


影像学检查:CT平扫+增强:右颈部胸锁乳突肌内侧肌间隙内肿瘤性病变,大小约166 mm×85 mm,考虑神经纤维瘤可能;由右锁骨下动脉及右侧椎动脉供血,右颈总动脉、气管及临近结构向左移位。右锁骨下动脉及颈内静脉被肿瘤紧密包绕(图2)。MR平扫+增强显示:肿物与C6-T2右侧椎间孔关系密切,考虑神经纤维瘤可能,右锁骨下动脉及右侧椎动脉供血。我们通过提取术前薄层CT增强数据,通过Mimics V20.0(比利时Materialise公司)软件重建患者肿瘤及邻近组织的三维立体图像,从而更直观观察肿瘤大小、形态以及规划手术切除方案(图3)。




于2020年12月23日行超声引导下肿瘤穿刺术,术后病理:病变符合神经纤维瘤恶性变,恶性外周神经鞘膜瘤。经骨科、胸外科、血管外科、头颈颌面外科、ICU、肿瘤科、病理科、超声科、影像科、麻醉科等多学科联合会诊(MDT)后,决定先行右侧椎动脉造影栓塞术以减少术中出血,待患者病情稳定无特殊不适后行肿瘤根治性扩大切除术。后于2020年12月29日行右锁骨下动脉造影术及椎动脉栓塞术,次日(2020年12月30日)行颈胸部软组织病损切除术+锁骨下动脉置换术+静脉吻合重建术。术中截断锁骨中段并劈开部分胸骨,充分暴露肿物,可见:右颈部胸锁乳突肌内侧肌间隙内一大小约140 mm×90 mm类椭圆形肿物,上至会厌水平,下部穿过颈胸部及胸膜顶并长入胸腔至第3肋间隙。右锁骨下动脉及膈神经被肿瘤包绕无法分离,颈内静脉及颈总动脉被肿瘤推挤压迫。将肿瘤周缘软组织、臂丛神经、颈内动脉、迷走神经、锁骨下静脉彻底游离并予以保护,将肿瘤包裹的颈内静脉、右侧膈神经、锁骨下动脉锁骨段、椎动脉起始段结扎切断并连同肿瘤组织完整切除。切除肿瘤大小约140 mm×90 mm×70 mm,重约4500 g。用约70 mm×8 mm人工血管(美国戈尔公司)重建右锁骨下动脉,并将残留的颈内静脉游离松解后行端端吻合(图4)。术后病理:病变符合神经纤维瘤恶性转化,恶性外周神经鞘膜瘤。免疫组化:肿瘤细胞PGP9-5(+)、S100(+)、SOX10(-)、EMA(-)、CK(-)、Bcl-2(+)、CD99(+)、Desmin(-)、CD34(-)、Dog-1(-)、INI-1(+)、Ki67(热点70%+)(图5)。




术后患者右上肢无感觉障碍,运动查体同术前,桡动脉搏动有力。颜面部可见右上睑下垂、面部少汗、眼窝凹陷等轻度霍纳综合征(Horner’s sign)表现,考虑为术中扰动颈交感干导致其功能减退所致。磁共振平扫+增强复查可见原颈部肿物消失,右锁骨下动脉通畅未见狭窄,臂丛神经完整可见。术后恢复良好,痊愈出院。出院后继续予以规律局部放疗一疗程(共35次),未予全身化疗。术后6个月随访右手内在肌肌力V级,无活动障碍,颜面部症状明显缓解。影像学检查未见原部位肿瘤复发(图6)。


NF1是一种常染色体显性遗传病,其发病率约为1/3000,约50%的NF1患者无家族史。临床表现为皮肤咖啡色斑、皮下神经纤维瘤、认知损害、腋下和(或)腹股沟斑点、虹膜结节以及骨发育不良等[1]。目前NF1的临床诊断仍是参考1997年美国国立卫生研究院(NIH)制定的NF1诊断标准[1]。本例患者在20余年前即发现全身广泛多发牛奶咖啡斑,局部可见蔓状神经纤维瘤及皮肤肉瘤样病变,并伴胸椎侧弯畸形(已行矫形手术治疗),因此该患NF1诊断明确。然而截至目前,关于局部巨大神经纤维瘤的外科治疗病例仍鲜有报道[2,3,4,5]。由此可见,巨大神经纤维瘤的外科治疗仍然是一项严峻的挑战。随着手术及麻醉技术的进步,手术切除逐渐成为该病种的主流治疗手段[2,6,7]。然而,神经纤维瘤的形态学多样性、解剖学异常及相对模糊的肿瘤边界仍然是横亘在外科医生面前的巨大难题。此外,神经纤维瘤体本身血供丰富,加之肿瘤内部存在大量的血窦、动静脉瘘及动脉瘤[6,8],因此手术切除时的大量出血也是需要关注的重点问题之一[9]。
同大多数软组织肿瘤一样,巨大神经纤维瘤切除时所出现的大出血往往导致死亡率升高[10]。因此,有效的阻止和遏制失血性休克的发生及发展是至关重要的。显然,异体血输注及术中自体血回输仍然是防止失血性休克的有效手段之一[11]。另外,术前详尽的软组织MRI平扫+增强、动静脉CT平扫+增强+三维重建以及血管造影也是至关重要的辅助检查。例如:高质量的磁共振检查能够帮助术者有效勾勒出肿瘤组织和正常组织的交界面,有利于确定安全的手术界面,尽量做到经正常组织实现肿瘤的整块切除而非经瘤体切除;术前详尽的动静脉CT增强+三维重建则可清晰分辨肿瘤的瘤体、供血血管同周围重要血管、神经等组织的毗邻关系。我们的手术团队在术前充分利用数字骨科技术,通过专业医学重建软件重建出高分辨率的肿瘤及周围邻近组织数字模型,配合3D打印技术,能够让术者在术前对肿瘤及周围邻近组织有更加直观的认知,从而合理设计手术方案,可以说数字骨科技术是保证手术顺利成功的不可或缺的技术之一。
术前血管造影也是一项值得推荐的减少围手术期出血的。该技术具有超过30年的历史。自1983年被首次报道以来,多个外科团队相继报道通过术前滋养血管栓塞成功减少手术出血的实例[12,13,14]。截至今日,术前滋养血管造影及栓塞已逐渐发展为一项成熟的辅助技术用以有效减少术中出血[15,16]。然而对于血供丰富、血管畸形明显的神经纤维瘤,这种高选择性的血管栓塞具有较高风险。有报道称有的人会造成血管破裂、皮肤坏死、不可逆性器官缺血性损伤[17,18],因此这项技术不光要求医师的丰富经验及操作技术,还需要我们在开始操作前慎重地权衡利弊[19]。在我们的病例中,神经纤维瘤的供血动脉来自于右侧锁骨下动脉及其分支,血管变异复杂,较难辨别其主干的供血动脉;且右锁骨下动脉从瘤体中间穿过供应右上肢,其并未产生明显的狭窄及堵塞,侧支循环尚未建立,因此栓塞肿瘤供血动脉显然具有大出血、上肢缺血性坏死等较高风险。而右侧椎动脉由于长期被肿瘤组织压迫,已严重萎缩并功能减退,其大部分供血功能已被左侧椎动脉代偿。因此在本病例中我们并未选择栓塞肿瘤主要供血动脉,而是选择提前栓塞右侧椎动脉,以降低切除肿瘤时因误伤椎动脉造成脑供血骤减而导致不可逆性脑损伤的风险。
对于单个巨大神经纤维瘤的手术切除范围和方式,业内仍存在多种不同的理念。尽管既往已有较多研究报道,减瘤手术及肿瘤部分切除手术具有更广泛的应用[2],但根据我们的经验及术前多学科探讨,我们更倾向于选择肿瘤整块切除。正如前文所讲,由于瘤体内动静脉畸形及增生较为丰富,存在大量的静脉窦、动脉瘤及动静脉瘘等,因此经瘤切除手术很可能导致术中难以控制的致命的大出血。相比之下,在肿瘤周围正常组织中构建手术切除平面显然是更为安全的方法。同时,由于神经纤维瘤本身的复发率高,除非肿瘤同重要器官紧密黏连无法分离,否则肿瘤部分切除的手术价值有限[3]。
总而言之,对于这种罕见的I型神经纤维瘤病合并局部巨大神经纤维瘤的患者,手术切除的风险高、难度大、并发症多、严重时常可能危及生命。因此,我们推荐应建立在多学科共同协作诊疗的基础上,在减少围手术期并发症风险的前提下,尽量达到整块切除的效果,并在围手术期密切检测病情,以期最大限度降低复发率、改善患者预后。
所有作者均声明本研究不存在利益冲突





















