
双源CT独有炫速大螺距成像技术,可以实现一站式冠脉CTA和主动脉CTA检查,一次打药,一次扫描,在较低的辐射剂量和对比剂用量的条件下,就可以得到主动脉和冠脉的CTA清晰影像,满足临床诊断。
版权归中华医学会所有。本文为遵循CC-BY-NC-ND协议的开放获取文章。
患者,女性,51岁,高血压病史7年。突发胸背部疼痛4h,伴右下肢麻木、乏力并逐渐加重,来院就诊。急诊初诊:心率83/min,律齐,主动脉瓣听诊区可闻及舒张期病理性杂音,右侧股动脉及足背动脉未触及,右侧下肢皮温低。行胸痛三联CTA明确病因。
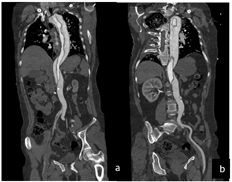
CTA图像显示:主动脉根部至双侧髂总动脉管腔呈双腔样改变(图a~b);两腔密度不一致,假腔大于真腔(图c~d),右侧髂总动脉、髂内外动脉显影明显差;腹腔干受累,显影差(图e~f)。






如下轴位图所见:头臂干、左颈总动脉、左锁骨下动脉管腔亦呈双腔样改变(图2a~b)。右肾动脉起自真腔,左肾动脉起自假腔,显影差(图2c~d)。


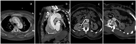
冠脉CTA图像:夹层累及右冠状动脉起始部,起始部管腔中度狭窄,狭窄程度约65%(图3a~c).


Ⅰ型主动脉夹层,夹层范围上自主动脉根部下至右侧髂内外动脉、左侧髂总动脉起始部,夹层累及右冠状动脉、头臂干、左颈总动脉、左锁骨下动脉、腹腔干及左肾动脉;右侧髂总动脉及髂内外动脉大范围受累显影差并血栓形成;左肾显影差。

| 扫描部位 | 全主动脉 | 转速 | 0.28s |
| 扫描模式 | Turbo Flash | 螺距 | 3.2 |
| 扫描长度 | 769mm | 准直 | 128mm×0.6mm |
| 扫描方向 | 头-足 | 层厚 | 1 mm |
| 扫描时间 | 1.68s | 重建增量 | 0.7 mm |
| 管电压 | 100 kV | 卷积核 | B30f medium smooth |
| 有效mAs | 360mAs | 对比剂浓度 | 350mgI/ml |
| 剂量调制 | CARE Dose4D | 对比剂总量 | 60ml + 40ml盐水 |
| CTDIvol | 6 mGy | 对比剂速率 | 5.0ml/s+5.0 mL/s |
| DLP | 384mGy·cm | 扫描延迟 | 监测动脉根部,阈值100HU,曝光延迟5s行主动脉全程扫描 |
主动脉夹层(aortic dissection,AD )是由于各种原因导致的主动脉内膜、中膜撕裂,血液从撕裂口流入主动脉中膜,使内膜与中膜分离,并沿主动脉长轴方向扩展,致使主动脉腔被分隔为真腔和假腔的一种病理改变。急性心梗也是心血管的危疾重症,与主动脉夹层相比,常见的、典型的临床症状均为疼痛,但在鉴别上常有一定困难,且二者有时可同时发生。因此在临床诊断上可行冠脉CTA+主动脉CTA进行诊断。双源CT独有炫速大螺距扫描方式,可以实现一站式冠脉CTA和主动脉CTA检查,一次打药,一次扫描,就可以得到主动脉和冠脉的CTA影像[1]。与以往多次不同部位CTA扫描相比不同,一站式大范围扫描为急性AD患者的临床术前准备及手术节省了更多的时间,同时减少扫描次数也大大减少了所受辐射剂量[2]。而且主动脉夹层患者多数累及肾动脉[3],严重者会造成肾衰,减少对比剂的使用能够减少患者不良反应的发生。双源大螺距一站式主动脉+冠脉CTA成像,可以实现较低的辐射剂量和对比剂用量的条件下,获得清晰、满足临床诊断的图像,该方式已常规应用于我院临床检查扫描中。
所有作者均声明本研究不存在利益冲突





















