
CTE采用双能量进行扫描,清晰显示血管和病变肠管,评估病变范围、分布、严重程度、病情分期、肠外情况及并发症,有助于UC的诊断。
版权归中华医学会所有。本文为遵循CC-BY-NC-ND协议的开放获取文章。
19岁女性患者,反复腹痛、粘液血便5个月,再发加重伴发热半个月。患者于5个月前无明显诱因出现腹痛、粘液血便,1~2次/d,有里急后重感,间断服用"胃肠炎药物",腹痛及便血缓解。半个月前患者受凉后上述症状再发加重,5~6次/d,伴发热,最高体温为39℃。入院时无明确病理结果。为进一步评估,进行CT小肠造影(CTE)检查。
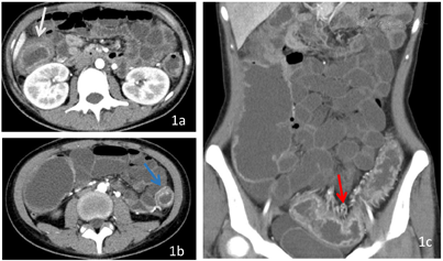
CT图像显示结肠肠壁弥漫性均匀增厚,最厚处约1.5cm,病变肠管内壁呈凹凸不平锯齿样改变,增强扫描呈明显分层强化,病变肠管管腔变细,系膜侧小血管增多、增粗、迂曲。患者随后进行了肠镜和病理活检,病理结果显示为溃疡性结肠炎。临床诊断为慢性复发型全结肠型重度溃疡性结肠炎活动期。给予对症治疗和美沙拉嗪抑制免疫治疗,病情好转。



| 扫描部位 | 腹部 | 转速 | 0.5s |
| 扫描模式 | 双能量 | 螺距 | 0.85 |
| 扫描长度 | 670mm | 准直 | 128mm×0.6mm |
| 扫描方向 | 头-足 | 层厚 | 1.0mm |
| 扫描时间 | 10.9s | 重建增量 | 0.6mm |
| 管电压 | 80/Sn140kV | 卷积核 | B30f medium smooth |
| 有效mAs | 66mAs | 对比剂浓度 | 370mgI/ml |
| 剂量调制 | CARE Dose4D | 对比剂总量 | 60 ml + 30 ml盐水 |
| CTDIvol | 6.22mGy | 对比剂速率 | 4.0ml/s |
| DLP | 417mGy·cm | 扫描延迟 | 监测腹腔干开口,阈值100HU,曝光延迟5s |
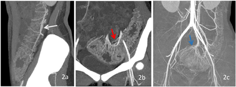
UC是一种非特异性慢性炎症性肠病,病因不明,易复发。诊断主要基于临床症状、实验室结果、内镜及组织学评估[1]。由于内镜是侵入性检查,部分患者无法忍受,且内镜检查无法观察肠外情况[2]。且对于不同分级、分期、病变部位的患者采用不同的治疗方法,准确诊断疾病对治疗及预后至关重要[3]。CTE可作为内镜检查的辅助检查手段,用于评估病变范围、分布、严重程度、病情分期、肠外情况及并发症[4]。CTE是采用双能量进行扫描,检查前患者饮用大量水,将肠腔充盈,有利于显示肠壁及腔内情况,在140kV下采集的CT图像较80KeV对比度增强,两者的融合图像对病变显示最佳(图1,图2)。同样的数据可用于进行MIP和CR后处理,不增加患者的辐射剂量,在MIP图像上,能够显示病变肠管周围的肠系膜血管,对"齿梳征"的显示更加清楚;在CR图像上能显示UC特有的"舞龙征"[5],有助于UC的诊断。骨结构可以通过syngo.CT Direct Angio去除,以清晰显示血管和病变肠管(图4b)。所有这些应用程序都是在自动化的工作流中执行的。




所有作者均声明本研究不存在利益冲突





















