
双源CT可以清晰显示骨质破坏和炎性反应过程,能更好显示肌腱与痛风石的关系,便于手术切除时保护肌腱,通过测量尿酸盐结晶的体积和分布情况,可以评价保守治疗的效果和预后。
版权归中华医学会所有。本文为遵循CC-BY-NC-ND协议的开放获取文章。
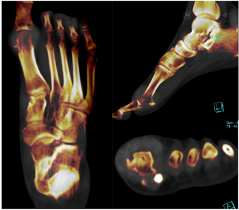
发现左足包块1年余。
22岁男性患者,自诉1年前无意中发现左足内外侧结节,大小分别约2cm×2cm,1cm×2cm,质硬,边界不清,活动度差,无疼痛,无发热及活动受限,局部无破溃及波动感。当地医院检查血尿酸386umol/L,给予降尿酸及理疗等对症治疗,病情无好转,为求进一步诊治,入院进行双能量CT(DECT)检查。
双源CT后处理图像显示左足第一跖趾关节周围及跟骨上方软组织结节,其内见多发尿酸盐结晶(绿色)沉积、跟距关节面散在少许尿酸盐结晶(图1);通过尿酸(基)图MPR及cVRT显示尿酸盐结晶的分布及与骨、关节的关系(图2);碘图清晰显示痛风石周围第一跖趾关节面、第一跖骨出现特征性的"穿凿样"骨质破坏区,边缘硬化(图3);cVRT显示第一跖趾关节痛风石与踇长伸肌腱紧密粘连,跟骨上方痛风石与跟腱紧密粘连,均未破坏或包裹邻近肌腱(图4)。患者随后手术剥离切除了第一跖趾关节及跟骨上方痛风石,并切断结扎与肌腱粘连的蒂部,病理学结果显示左足痛风结节,因跟距关节周围尿酸盐结晶散在并位于关节深部,未出现骨质破坏,选择保守治疗后复查。









| 扫描部位 | 足 | 转速 | 0.5s |
| 扫描模式 | 双能量 | 螺距 | 0.6 |
| 扫描长度 | 304mm | 准直 | 32mm×0.6mm |
| 扫描方向 | 足-头 | 层厚 | 1.0mm |
| 扫描时间 | 9.3s | 重建增量 | 0.7mm |
| 管电压 | 80/Sn140kV | 卷积核 | D30S medium smooth |
| 有效mAs | 132/69mAs | 辐射剂量 | 158mGy |
痛风(gout)是一种常见的代谢性疾病,且血尿酸水平与患者临床症状并不一定相关,因此临床及传统影像检查方法难以定性诊断[1,2], 2015年ACR/EULAR痛风分类标准把双能量CT检测尿酸盐结晶作为诊断痛风的重要依据[3]。双源CT除了诊断痛风有较高的敏感性和特异性[4],更有助于辅助临床制定痛风的治疗方案,例如随着单钠尿酸盐不断沉积导致慢性肉芽肿反复发生,痛风石形成需及时进行手术治疗防止对周围组织、骨关节造成损害[5,6,7]。双源CT可以在80和140kV的设置下实现物质标记,除清晰显示骨质破坏和炎性反应过程(图2、图3),还可对痛风石进行颜色编码。同样的图像数据也能更好显示肌腱与痛风石的关系,便于手术切除时保护肌腱(图4),通过测量尿酸盐结晶的体积和分布情况,还可以评价保守治疗的效果和预后。
所有作者均声明本研究不存在利益冲突





















