
48岁女性患者,既往有肾病综合征史,高血压病病史3个月余,最高血压191/123mmHg(1mmHg=0.133kPa)。患者突然出现剑突下疼痛,伴后背部疼痛,疼痛剧烈,呈进行性加重,为撕裂样疼痛,伴出汗,伴恶心,无呕吐,无胸闷,无腹痛、腹泻。当地医院可疑主动脉夹层,转诊我院心外科,为明确疼痛原因,随行头颈CTA和胸痛三联CTA明确病因。
版权归中华医学会所有。本文为遵循CC-BY-NC-ND协议的开放获取文章。
48岁女性患者,既往有肾病综合征史,高血压病病史3个月余,最高血压191/123mmHg(1mmHg=0.133kPa)。患者突然出现剑突下疼痛,伴后背部疼痛,疼痛剧烈,呈进行性加重,为撕裂样疼痛,伴出汗,伴恶心,无呕吐,无胸闷,无腹痛、腹泻。当地医院可疑主动脉夹层,转诊我院心外科,为明确疼痛原因,随行头颈CTA和胸痛三联CTA明确病因。
生命体征:T36.5℃;P88次/min;R19次/min;BP138 /86 mmHg。
CTA图像显示:主动脉弓(近左锁骨下动脉根部)-右侧髂外动脉管腔呈双腔改变(图1A~C),破口位于主动脉弓降部(近左锁骨下动脉起始处),真腔小,假腔大,上至左锁骨下动脉根部,下至右侧髂外动脉末端。


三支头臂动脉顺序起源于主动脉弓,三支头臂动脉均起自真腔。
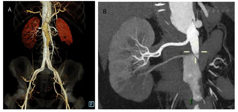
腹腔干起始部呈鱼钩状改变,管腔狭窄;腹腔干、肠系膜上动脉骑跨于真假腔,腹腔干假腔供血为主,肠系膜上动脉真腔供血略占优势,二者管腔充盈良好。双肾动脉起自真腔,右侧副肾动脉起自假腔,其供血区灌注明显减低(图2A~B);肠系膜下动脉起自假腔,充盈尚可。


双侧锁骨下动脉管腔未见明显异常,双侧椎动脉起源未见异常,呈均衡型。Willis环不完整,后交通动脉未见显示。右侧大脑前动脉A1段缺如(图3A~B),双侧大脑前动脉A1段共干,血管显示清晰,以远管腔未见狭窄。


冠状动脉起源、走行未见异常,冠状动脉管腔未见明显狭窄。
主要诊断:
1.主动脉夹层(Stanford B型)。
2 Willis环不完整(后交通动脉缺如,右侧大脑前动脉A1段缺如)。

| 扫描部位 | 头颈+胸痛三联 | 转速 | 0.25s |
|---|---|---|---|
| 扫描模式 | Flash | 螺距 | 3.2 |
| 扫描长度 | 829.5mm | 准直 | 192mm×0.6mm |
| 扫描方向 | 头-足 | 层厚 | 0.75mm |
| 扫描时间 | 0.65s+1.31s | 重建增量 | 0.4mm |
| 管电压 | 80/Sn150kV | 卷积核 | Bv40,ADMIRE 3 |
| 有效mAs | 166/432mAs | 对比剂浓度 | 350mgI/ml |
| 剂量调制 | CARE Dose4D | 对比剂总量 | 55ml + 40ml盐水 |
| CTDIvol | 5.51mGy | 对比剂速率 | 4.5ml/s+4.5 ml/s |
| DLP | 323mGy·cm | 扫描延迟 | 监测肺动脉根部,阈值100HU,曝光延迟3s行肺动脉扫描,再延迟10s行头颈+主动脉全程扫描 |
主动脉夹层(aortic dissection,AD )是由于各种原因导致的主动脉内膜、中膜撕裂,主动脉内膜与中膜分离,血液流入,致使主动脉腔被分隔为真腔和假腔。典型的主动脉夹层可以见到位于真、假腔之间的分隔或内膜片,真、假腔可以相通或不通。血液可以在真、假腔之间流动或形成血栓。术前应充分复习患者病史及影像学资料,主动脉夹层的影像学检查目的是要对全主动脉进行综合评价,包括AD受累的范围、形态、不同部位主动脉的直径、主动脉瓣及各分支受累情况、与周围组织的关系,以及AD的其他相关表现如心包积液、胸腔积液及脏器缺血情况等[1]。具体如下:(1)明确内膜片;(2)明确内膜破口的位置;(3)识别真腔与假腔;(4)明确AD的累及范围;(5)明确主动脉窦、主动脉瓣累及情况;(6)主动脉一级分支受累情况及血流状态;(7)识别主要脏器的缺血情况;(8)识别心包积液、胸腔积液及程度;(9)识别主动脉周围出血与否;(10)识别扫描野内其他脏器的病变及性质。术前脑血管CTA可明确颅底动脉环(Wills环)的完整性及大脑血供情况,为术中选择合适的脑灌注方式提供依据[2,3],本病例中Willis不完整,行体外循及麻醉术时,需要明确其变异情况。
本次研究最突出的技术优势是应用Force CT Turbo Flash扫描模式进行头颈CTA+胸痛三联CTA联合扫描,降主动脉夹层术前需要的影像资料一次扫描完成,与以往多次不同部位CTA扫描不同,为临床术前准备及手术节省更多的时间。由于主动脉夹层患者多数累计肾动脉[4],严重者会造成肾衰,对比剂的使用增加肾功能的影响,本例患者右肾见一支副肾动脉起自假腔,右肾下极灌注减低,因此减少对比剂的使用是影像技术中的热门研究,此次研究的另一个优势减少低对比剂的使用,对比常规头颈CTA和胸痛三联CTA的扫描,对比剂使用减少50%。综上研究发现,较低的辐射剂量和低对比剂的使用下能够获得清晰的图像,且所得到的图像质量能够满足临床诊断价值,值得临床推广应用。
所有作者均声明本研究不存在利益冲突





















