
肝错构瘤是一种罕见的先天性肝脏肿瘤样畸形。传统能量检查辐射剂量高,无法常规使用到儿童患者,Force利用儿童专用双能扫描技术,可以在以往形态学基础上提供更多的功能学信息,同时辐射剂量相对传统CT也大幅减低。
版权归中华医学会所有。本文为遵循CC-BY-NC-ND协议的开放获取文章。
16个月女性患儿,发现腹部膨隆,可触及肿块,至当地医院就诊,查彩超示:右中腹可见一液实性回声团块,大小约91mm×66mm,边界清,后至中山大学附属肿瘤医院行穿刺活检,病理示:可见黏液水肿样间质及纤维性间质,未除外瘤样病变或间叶源性肿物。现患儿为进一步治疗来我院就诊,为进一步评估,进行双能量CT(DECT)检查。
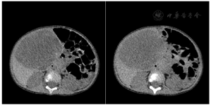
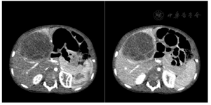
CT图像显示肝右前叶见一巨大囊实性肿物,大小约83mm×63mm×99mm,肿物以囊性成分为主,见粗细不均匀分隔,实性成分呈结节状、斑片状向囊腔内突出,增强后分隔及实性成分见轻度强化,肿物内见纤细血管影,肿块下方部分向腹腔内突出,边界清楚,内壁光滑(图1和图2)。患者随后行"剖腹探查,肝癌切除,胆囊切除,门静脉探查术",冰冻病理示:形态较符合间叶性错构瘤。石蜡切片示肝组织内可见大量疏松水肿的纤维结缔组织明显增生伴粘液样变,其内见萎缩的肝细胞岛,形态符合肝间叶性错构瘤。





| 扫描部位 | 胸部+全腹部 | 转速 | 0.5s |
|---|---|---|---|
| 扫描模式 | 多期双能量 | 螺距 | 1.2 |
| 扫描长度 | 308mm | 准直 | 128mm×0.6mm |
| 扫描方向 | 头-足 | 层厚 | 1.0mm |
| 扫描时间 | 5.95s | 重建增量 | 0.5mm |
| 管电压 | 70/Sn150kV | 卷积核 | Br40,ADMIRE 3 |
| 有效mAs | 380/95mAs | 对比剂浓度 | 350mgI/ml |
| 剂量调制 | CARE Dose4D | 对比剂总量 | 15ml+ 30 ml盐水 |
| CTDIvol | 3.57mGy | 对比剂速率 | 1ml/s + 1 ml/s |
| 总DLP | 109.9mGy·cm |
肝错构瘤是一种罕见的先天性肝脏肿瘤样畸形。实质上肝错构瘤是胚胎发育不良而具有肿瘤的特征,多发于婴幼儿,多见于4个月~2岁,通常5岁前发病。在症状和体检的基础上,肝脏肿瘤的诊断以影像诊断为第一选择,其中CT诊断的临床价值较高。但是儿科患者配合度不高,同时对电离辐射非常敏感,儿童CT检查代价高成功率低,一直是谨慎选择的检查方式。双源CT扫描速度快,可大幅度的抑制运动伪影,多种低剂量常规应用,满足儿童CT检查的前提。DECT技术可获得更多的信息用于肿瘤评估,可得到肿瘤组织更多的定性定量信息,对本病是非常有价值的。
DECT采用选择性光子屏蔽(SPS Ⅱ)技术,在70kV和150kV的电压组合下实现能谱的显著分离。使用syngo.CT DE Virtual Unenhanced生成碘图/VNC融合图像,能显著提高血管和肿瘤的观察能力(图1和图2)。虚拟non-contrast(VNC)图像与常规平扫图像一致性匹配(图3),VNC可取代平扫,减少扫描次数做到降低总的剂量,提高合规管理和安全的儿童CT扫描使用。使用syngo.CT DE Monoenergy Plus,在这两个kV设置下获得的衰减值用于显示不同keV水平的图像。与在120kV下采集的常规CT图像相比,低keV的图像对比度显著增强,使得肿瘤侵犯的范围显示更加清晰(图4),低keV图像对比度是非常优异的(图5)。DECT的优势在于搭配西门子CT独有的水冷球管系统,双能力模式中两套球管独立工作,在同一辐射剂量的水平下,在不影响扫描流程和在不增加设备损耗的前提下,实现常规剂量成像,图像质量优异。70/Sn150kV的电压组合是目前用于儿童能量成像的最优参数设置。为了实现儿童低剂量能量检查,其他先进的技术也被使用,如CARE Dose 4D(实时自动曝光控制)和ADMIRE(高级模型迭代重建)。在本病例中,儿童多期CT检查,其中平扫、动脉期和静脉期用双能量技术,延迟期用自由呼吸大螺距技术,多期联扫总的辐射剂量仅为2.85mSv,为传统CT检查的2/5。








所有作者均声明本研究不存在利益冲突





















