
• 影像之窗 •
双源CT评估儿童牙外伤1例
中国临床案例成果数据库, 2022,04(1)
: E03701-E03701. DOI: 10.3760/cma.j.cmcr.2022.e03701
摘要
对于外伤下的儿童患者,CT检查最大的问题在于患儿不配合,Force CT利用双源的炫速扫描模式完美解决了此类问题,78cm的超大孔径也可使患儿减轻紧张情绪。
引用本文:
陈峥云,
杨磊,
陈中银,
等.
双源CT评估儿童牙外伤1例
[J/OL]
. 中国临床案例成果数据库, 2022, 04(1)
: E03701-E03701.
DOI: 10.3760/cma.j.cmcr.2022.e03701.
扫 描 看 全 文
正文
作者信息
基金 0 关键词 0
English Abstract
评论
阅读 0 评论 0
相关资源
引用 | 论文 | 视频
版权归中华医学会所有。本文为遵循CC-BY-NC-ND协议的开放获取文章。
一、临床病史

4岁男性儿童,2个月前骑车不慎摔倒致牙龈出血及嘴唇出血肿胀,后发现右侧中切牙中间断裂,由于患儿不配合检查,未行进一步治疗,近发现牙龈增大(图1),随后患儿在家长陪护下行双源CT低剂量口腔全景扫描。

点击查看大图
图1
患儿牙龈增大图

点击查看大图
图1
患儿牙龈增大图
二、影像表现与诊断






点击查看大图
图2
CT图像 MPR显示右侧中切牙中间断裂

点击查看大图
图2
CT图像 MPR显示右侧中切牙中间断裂

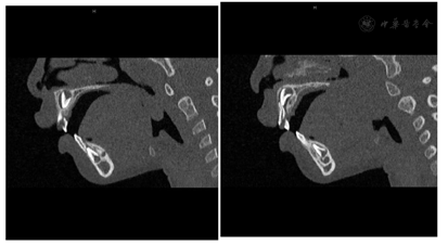
点击查看大图
图3
CT CPR重建图 显示右侧中切牙中间断裂

点击查看大图
图3
CT CPR重建图 显示右侧中切牙中间断裂

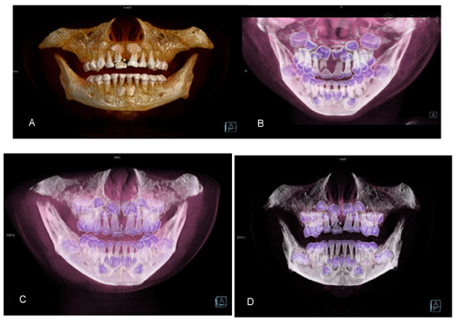
点击查看大图
图4
A~D CT VRT重建位 显示断裂牙齿整体状况

点击查看大图
图4
A~D CT VRT重建位 显示断裂牙齿整体状况
检查方案

点击查看表格
| 扫描部位 | 头部 | 转速 | 0.5s |
|---|---|---|---|
| 扫描模式 | 螺旋扫描 | 螺距 | 0.8 |
| 扫描长度 | 50mm | 准直 | 128mm×0.6mm |
| 扫描方向 | 头-足 | 层厚 | 0.75mm |
| 扫描时间 | 2.15s | 重建增量 | 0.4mm |
| 管电压 | 80kV | 卷积核 | J49S |
| 有效mAs | 60mAs | DLP | 23mGycm |
讨论
儿童由于患者本身的不配合,所以需要极短的扫描时间来避免运动伪影,极低的扫描剂量避免辐射损伤及不确定性生物效应,而双源CT的炫速扫描模式、CareDose4D自动管电压、管电流调节技术能在保证图像质量最优的同时拥有最低的剂量和急速扫描,而全新的Admire高级模型迭代重建平衡了图像的空间分辨率和密度分辨率,从而得到了低剂量的高清晰图像。由于人体的很多器官都是拥有自主运动的,因此CT扫描就需要CT设备极高的时间分辨率,而双源CT的高扫描速度、低辐射射剂量及后处理工作站强大的特点及优势,完美地解决了此类患儿因烦躁可能带来的运动伪影问题,而且双源CT强大的成像能力和信息量,能更好地挖掘出更丰富、更细微、更本质的疾病信息。
利益冲突
利益冲突声明
所有作者均声明本研究不存在利益冲突
参考文献
[1]
.《双源CT冠脉成像安全辐射剂量与图像质量研究》,川北医学院报,2018年02期
[2]
《双源螺旋CT小剂量扫描对患儿鼻咽部图像质量的影响》,医疗装备,2017年01期
[3]
《双源螺旋CT的临床应用进展》,临床儿科杂志,2010年04期
[4]
《多排螺旋与双源CT在多发伤诊断中的价值》,中华临床医师杂志(电子版),2008年12期
[5]
《第3代双源CT低剂量Turbo Flash成像图像质量与诊断效能的临床研究》,国际放射医学核医学杂志,2018年06期





















