
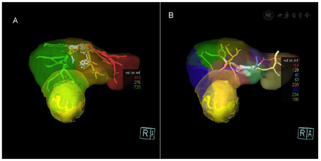
肝切除术是肝癌最主要的治疗手段,精细的术前评估和合理的手术规划。采用肝分析三维可视化软件重建的图像,确定拟切除的肝脏范围及受累需要重建的血管,对肿瘤体积及剩余肝脏体积进行精准定量,指导临床医生选择合适的手术方式,提高手术的精准性和安全性。图像立体直观,且符合个性化需求,并可永久性存储重建后的图像,对手术方式的选择及术后随访有重要意义。
版权归中华医学会所有。本文为遵循CC-BY-NC-ND协议的开放获取文章。
患者,男,78岁,因右上腹痛两周入院。患者2周前无明显诱因出现右上腹疼痛,于当地医院检查上腹部CT平扫提示肝右叶占位,患者为求进一步治疗来院诊治。AFP>1210ug/l。既往乙肝病史二十余年。
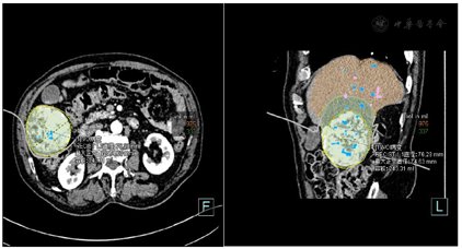
肝脏形态尚可,肝Ⅴ-Ⅵ段见一类圆形稍低密度肿块,边界尚清,内密度欠均匀,增强扫描病灶明显不均匀强化,其强化程度与腹主动脉相仿,内见低密度不强化灶,静脉期及延迟期病灶密度减低,呈快进快出表现。
三维容积分析RECIST肝脏总容积1311.68ml,左叶体积约374.8ml,右叶体积约936.81ml;病灶直径76.28mm,最大正交直径74.63mm,容积243.31ml,虚拟手术2cm安全距离内容积约:337ml(虚拟手术切除容积),2cm安全距离外容积约:975ml(虚拟手术剩余肝容积)。
诊断意见:肝Ⅴ-Ⅵ段占位,考虑原发型肝癌可能性大。







| 扫描部位 | 肝脏 | 转速 | 0.5s |
|---|---|---|---|
| 扫描模式 | 薄层增强扫描 | 螺距 | 0.8 |
| 扫描长度 | 223mm | 准直 | 64mm×0.6mm |
| 扫描方向 | 头-足 | 层厚 | 1mm |
| 扫描时间 | 32.5s | 重建增量 | 0.7mm |
| 管电压 | 80kV | 卷积核 | BV30,迭代3 |
| mAs/ref | 520/1044 | 对比剂浓度 | 350mgI/ml |
| 剂量调制 | CARE Dose4D | 对比剂总量 | 18ml盐水+70ml+30盐水 |
| CTDIvol* | 39.65mGy | 对比剂速率 | 3.5ml/s |
| DLP | 1188mGy·cm | 扫描延迟 | 监测主动脉,阈值100HU,曝光延迟10s |
我国肝癌发病率高,呈逐年上升的趋势,病死率居恶性肿瘤第二位[1]。肝切除术是肝癌最主要的治疗手段。精细的术前评估和合理的手术规划,在保证彻底切除肿瘤的同时尽可能保存残余肝脏体积和功能,可以减少手术并发症,延长患者生存期。肝脏肿瘤三维可视化是指用于显示、描述和解释肝脏肿瘤三维解剖和形态特征的一种影像学工具。以SOMATOM Definition Flash机器采集的原始数据为基础,采用三维可视化软件重建的图像,可单独或联合显示肿瘤、全肝、肝动脉、肝静脉及门静脉的解剖关系及变异情况,确定拟切除的肝脏范围及受累需要重建的血管,对肿瘤体积及剩余肝脏体积进行精准定量,指导临床医生选择合适的手术方式,提高手术的精准性和安全性[2]。图像立体直观,且符合个性化需求,并可永久性存储重建后的图像,对手术方式的选择及术后随访有重要意义。
所有作者均声明本研究不存在利益冲突





















