
上腔静脉及其主要属支因为多种原因造成狭窄或者闭塞,导致静脉回流障碍。早期诊断上腔静脉及其主要属支狭窄或者闭塞并积极干预是防止疾病进展的重要手段。大功率球管低千伏80kV大电流技术成像的临床常使用,检查迅速、便捷、无创等优势受到临床一致认可,一次检查可以提供动脉、静脉、大范围血管侧枝形成等病变的详细信息,为临床进一步治疗带来帮助。
版权归中华医学会所有。本文为遵循CC-BY-NC-ND协议的开放获取文章。
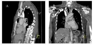
患者男,66岁,胸壁腹壁表浅静脉曲张半年,脸肿1个月余,随后行上腔静脉CT血管成像。
对比剂延扩张的胸壁以及腹壁表浅静脉,分别回流至双侧髂静脉,顺下腔静脉回流至心脏。其中奇静脉和肋间静脉也有扩张和对比剂充盈。上腔静脉中段显示局限性狭窄,接近闭塞,致使大量回流静脉扩张并逆流至髂静脉回流至心脏。







| 扫描部位 | 上腔静脉 | 转速 | 0.33s |
|---|---|---|---|
| 扫描模式 | 螺旋 | 螺距 | 0.8 |
| 扫描长度 | 620mm | 准直 | 64mm×0.6mm |
| 扫描方向 | 头-足 | 层厚/层间隔 | 0.75mm/0.5mm |
| 扫描时间 | 12.24s | 卷积值 | B26f |
| 管电压 | 80kV | 参考毫安秒 | 300mAs |
| CTDI | 3.12mGy | 剂量调制 | CARE Dose4D |
| DLP | 283mGy·cm | 有效辐射剂量 | 4.2mSv |
上腔静脉及其主要属支(头臂静脉、锁骨下静脉、颈内静脉和颈外静脉)可因为多种原因造成狭窄或者闭塞,导致静脉回流障碍[1]。早期诊断上腔静脉及其主要属支狭窄或者闭塞并积极干预是防止疾病进展的重要手段。数字减影血管造影(DSA)一直被认为是诊断上腔静脉及其主要属狭窄的金标准。然而,随着CT技术的飞速发展以及双源CT的广泛应用,多层螺旋CT血管造影术凭借扫描时间短、对比剂用量少、无创等优势逐步得到普遍应用[2]。
CT静脉血管成像能快速、多次连续采集图像,可以全面观察静脉阻塞的直接征象和继发征象。直接征象表现为管腔内充盈缺损,可以明确判断梗阻的部位、狭窄的程度;继发征象包括侧支循环形成、胸腔积液、头颈胸壁水肿等情况[3,4]。
目前上腔静脉狭窄或者闭塞的治疗包括放化疗、外科手术进行上腔静脉狭窄段的血管置换及血管内支架的植入。随着介入放射学的发展,微创介入治疗受到临床的认可,支架植入解除上腔静脉血管阻塞已成为一项成熟的技术,能迅速缓解患者因上腔静脉回流受阻所引起的一系列临床症状[5],受到临床青睐。
总之,CT血管成像检查迅速、便捷、无创等优势受到临床一致认可,一次检查可以提供动脉、静脉、大范围血管侧枝形成等病变的详细信息,为临床进一步治疗带来帮助。
所有作者均声明本研究不存在利益冲突





















