
患者女,56岁,因黄疸、皮肤瘙痒、恶心、纳差1个月来本院就诊。
体温36.3℃,心率98次/min,皮肤及巩膜黄染,腹平坦,剑突下及右上腹无压痛,无反跳痛,肝脏肋缘下未触及,Murphy氏征阴性。1月前就诊于当地医院,诊断为胆总管囊肿,给予保肝治疗,效果欠佳。
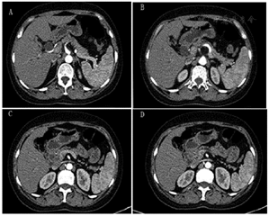
实验室检查:AST: 114 U/L,ALT: 205 U/L,TBIL:141.10μmol/L, DBIL: 125.20μmol/L, IBIL:15.9μmol/L。AFP、CEA、CA125、CA199等肿瘤标志物均正常。腹部超声提示肝内及肝外胆管扩张。CT示胆总管下段占位性病变(图1)。MRCP提示胆总管中段局限性狭窄并肝内外胆管及胆总管上段扩张,不支持典型肿瘤性病变
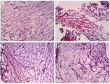
2019年1月8日拟行胰十二指肠切除术,术中见肝脏大小形态正常,呈瘀胆样改变,胆囊体积增大(约10cm×5cm),胆总管增粗(直径约2.0cm),胰腺显著炎性改变,胆总管下段可触及局部狭窄。在狭窄处行纵行切口。可见长约1.5cm,厚约0.5cm的隔膜,表面光滑,呈条状。取切缘送术中快速冰冻,结果为少许慢性炎性改变的纤维结缔组织(图4)。因此,行Roux-en-Y胆管空肠吻合术。
术后病理符合胆总管隔膜。患者顺利康复,黄疸完全消除。随访1年,肝功能及影像学检查均正常。
普外科;消化科
版权归中华医学会所有。本文为遵循CC-BY-NC-ND协议的开放获取文章。
胆总管隔膜(common bile duct septum)是一种极其罕见的胆总管畸形,起初无症状或表现为非特异性症状,如腹痛、恶心和呕吐,严重时表现为梗阻性黄疸。MRCP可作为辅助诊断方法,病理结果为纤维结缔组织为诊断隔膜金标准。如果胆总管隔膜诊断明确,治疗可考虑胆总管球囊扩张及支架植入介入术。若不能辨别良恶性以及诊断困难,可行胆总管探查取病理证实隔膜后,切除胆总管远端,行Roux-en-Y胆囊空肠吻合术。现报道本中心诊断困难的胆总管隔膜一例。
患者女,56岁,因黄疸、皮肤瘙痒、恶心、纳差1个月来我院就诊,无发热、呕吐。查体:体温36.3℃,心率98次/min,皮肤及巩膜黄染,腹平坦,剑突下及右上腹无压痛,无反跳痛,肝脏肋缘下未触及,Murphy氏征阴性。1月前就诊于当地医院,诊断为胆总管囊肿,给予保肝治疗,效果欠佳。
实验室AST: 114 U/L,ALT: 205 U/L,TBIL:141.10μmol/L, DBIL: 125.20μmol/L, IBIL:15.9μmol/L。AFP、CEA、CA125、CA199等肿瘤标志物均正常。腹部超声提示肝内及肝外胆管扩张。CT示胆总管下段占位性病变(图1)。MRCP提示胆总管中段局限性狭窄并肝内外胆管及胆总管上段扩张,不支持典型肿瘤性病变(图2)。ERCP提示胆总管远端正常,导丝无法通过胆总管下段(图3)。






术前诊断为:1.胆总管下段占位(良恶性未知),于2019年1月8日拟行胰十二指肠切除术,术中见肝脏大小形态正常,呈瘀胆样改变,胆囊体积增大(约10cm×5cm),胆总管增粗(直径约2.0cm),胰腺显著炎性改变,胆总管下段可触及局部狭窄。在狭窄处行纵行切口。可见长约1.5cm,厚约0.5cm的隔膜,表面光滑,呈条状。取切缘送术中快速冰冻,结果为少许慢性炎性改变的纤维结缔组织(图4)。因此,行Roux-en-Y胆管空肠吻合术。术后病理符合胆总管隔膜。


最后,患者顺利康复,黄疸完全消除。随访1年,肝功能及影像学检查均正常。
胆总管隔膜十分罕见,国内外已有文献报道数二十例[1,2,3,4,5,6,7,8,9,10,11,12]。胆管隔膜的胚胎遗传学背景与胃或肠道相似。在胚胎发育的早期,胆管经过一个实变的过程,上皮细胞的凝固或增生使胆管闭塞。在正常胚胎发育期间,这些实变结构逐渐变成空泡,形成胆管系统的管腔结构[4]。如果再通不完全,可表现为先天性胆管隔膜其中一些先天性胆总管隔膜没有完全堵塞胆总管,直到成年都没有症状。创伤、硬化性胆管炎、辐射暴露等与胆总管隔膜形成引起的狭窄有关[1,2,3,10]。虽然胆总管隔膜可引起有症状的胆管梗阻,但大多数患者的肝胆汁引流可能没有受到干扰,因此,患者最初可能无症状或表现为非特异性症状,如腹痛、恶心和呕吐,仅表现为转氨酶和碱性磷酸酶水平升高,伴胆管扩张,无阻塞性黄疸。明显的梗阻性黄疸只有在胆总管隔膜梗阻接近完全后才会发生[5] 。
胆总管畸形常见形式有以下3种:①I型为畸形隔膜位于胆总管下端,胆总管被纵行分隔成2个几乎相等、互不相通的腔隙,右侧管腔在胆囊管开口下方闭锁为一盲端,内壁光滑;②II型为畸形隔膜在胆总管后壁向腔内凸起,呈半环形,表面光滑、质软,类似一瓣膜,可上下飘动,隔膜近端胆总管明显扩张;③III型为胆囊管横跨胆总管,开口于胆总管上段左侧,胆总管中部向上有一隔膜将胆总管、肝总管分隔为2个均等腔隙,隔膜表面光滑,左肝管、右后叶肝管汇入肝总管左侧,肝总管和胆总管右侧仅与右前叶肝管相通[12]。本病例为II型胆总管畸形。
经组织病理学证实,胆总管隔膜由肌纤维层组成,覆盖正常上皮[5]。这与我们的病理结果一致。先天性胆总管隔膜必须与良、恶性肿瘤及假性肿瘤鉴别,避免误诊以及进行更有效的治疗。本例中MRCP及增强CT均没有明确隔膜畸形的诊断,仅病理证实隔膜存在,可能与该病发病率低以及对该病影像特征的认识不足有关。MRCP通过多平面重建可对胆总管腔内隔膜部位、走形进行多角度、全方位的观察,被认为无创诊断胆总管隔膜的最佳方法[5,7]。
所有作者均声明本研究不存在利益冲突





















